
患者,男性,57岁,因间断痰中带血2周入院。
患者痰中带血2周,无发热、胸痛、喘息,口鼻腔出血,否认误吸及基础肺病病史。体格检查:生命体征正常范围,皮肤巩膜无黄染,双肺呼吸音稍粗,未及明显啰音,腹部平软,无压痛、反跳痛,腹部无包块,双下肢无水肿。
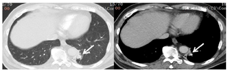
入院肺部CT显示左下叶基底段嵌有高密度影,其远端阻塞性肺炎。
在气管镜探查之前,我们先根据肺CT进行手绘支气管导航绘图。在导航图的引导下,超细支气管镜顺利达到LB10ciiβ,发现异物坎顿于此,伴有明显的肉芽组织增生及大量脓性分泌物。以活检钳多次钳取,取出多片碎小辣椒屑,镜下探查未及明显异物后予以局部气道清理结束手术。术后复查肺CT显示左侧基底段的异物没有完全清理干净,剩下部分残屑被推向LB10ciiβ更远端。全麻气管插管下进行了第2次气管镜治疗,此次我们使用了超细支气管镜联合1.1 mm超细冷冻探头,将异物顺利冻取出来。
术后复查肺CT显示异物已完全取出,阻塞性肺炎改善。
呼吸与危重症医学科;呼吸介入科;胸外科
版权归中华医学会所有。本文为遵循CC-BY-NC-ND协议的开放获取文章。
成人肺异物较儿童少见,与儿童异物吸入相比,成人异物多位于肺外周、诊断多有延迟、患者吸入史不明显[1,2]。其CT影像表现为局灶高密度影、局部的支气管扩张、复发性肺炎或肺不张[3]。气管镜可以直观地诊断气道异物,大多数情况下联合异物钳、网篮等工具可成功地取出异物[2]。冷冻探头多用于诊断和治疗肺肿瘤[4,5,6],在长时间气道异物坎顿、肉芽增生的情况下,冷冻探头可以用来清除肉芽组织,以协助异物取出[2]。在过去,对于常规气管镜不能窥及的肺外周异物,外科手术似乎是唯一的治疗方式。然而随着气管镜技术的发展,超细支气管镜的应用,各种支气管镜导航技术的辅助,肺外周病灶的诊断率不断提高[7],这些技术也让肺外周异物的取出变成可能,从而避免胸外科手术。本文报道1例手绘支气管导航引导下由超细支气管镜联合超细冷冻探头成功取出肺外周异物的病例。
患者,男性,57岁,主诉"间断痰中带血2周",于2021年5月就诊于我院。患者既往吸烟20包年,否认酗酒史及误吸史,否认高血压,糖尿病、心脏病病史,体格检查:体重65 kg,生命体征正常范围,皮肤巩膜无黄染,双肺呼吸音稍粗,未及明显啰音,腹部平软,无压痛、反跳痛,腹部无包块,Murphy征阴性,无移动性浊音,肠鸣音正常。
2021年5月8日入院肺部CT显示左下叶基底段嵌有高密度影,其远端阻塞性肺炎表现(图1)。


入院初步诊断为肺部阴影性质待查,肺异物可能。
考虑病灶位于肺外周,在气管镜探查之前我们先根据肺CT进行手绘支气管导航绘图,即以圆圈代表支气管开口,在内部逐级绘制圆圈以代表下级支气管的走向,以此图来模拟支气管镜下视图,从而引导支气管镜顺利到达病灶。首先,我们阅读患者的薄层轴位CT,寻找病灶所在支气管,再回到所支配的段支气管,由段支气管逐步往病灶所在支气管滑动,在每一个支气管分叉处绘制示意图。如图2A所示,为与支气管镜视图的头-足位相对应,我们镜像翻转足-头位的肺CT图像,此时,CT图像上所显示的支气管的位置关系即与支气管镜视图一致。接着,如图2B所示,根据CT所显示的支气管分叉的位置关系及形态大小,从段支气管,也就是第3级支气管开始,逐层绘制支气管示意图。我们的手绘图提示CT上显示的高密度病灶在LB10ciiβ(左后基底段亚亚亚段)。


在全麻喉罩下,我们进行了气管镜探查。首先使用外径为5.9 mm的常规支气管镜(1TQ290,奥林巴斯),因LB10的狭窄,气管镜不能窥及远端。遂我们更换外径为2.8 mm,操作孔径为1.2 mm的超细支气管镜(UTB,BF-XP260,奥林巴斯)。在手绘支气管导航的引导下,我们顺利达到LB10ciiβ,发现异物坎顿于此,伴有明显的肉芽组织增生及大量脓性分泌物(图2C、D)。将气管镜固定于此处,经操作孔置入活检钳进行钳取,但是由于肉芽组织增生,管腔狭窄,异物钳无法张开。遂更换为常规支气管镜,交替使用高频电刀与活检钳从LB10近端至远端逐级清理肉芽组织。后再次更换超细支气管镜进入LB10ciiβ,以活检钳多次钳取,取出多片碎小辣椒屑,镜下探查未及明显异物后予以局部气道清理后结束治疗。
2021年5月10日复查肺CT显示左侧基底段的异物没有完全清理干净,剩下部分残屑被推向LB10ciiβ更远端(图3A)。2021年5月12日在全麻气管插管下,我们进行了第二次气管镜治疗。为避免活检钳将异物推向远端,我们使用了1.1 mm超细冷冻探头(ERBECRYO2,爱尔博)。如图3B所示,将超细支气管镜固定于LB10ciiβ病灶所在处,经操作孔置入超细冷冻探头,探头贴紧异物,冷冻4秒,冷冻结束后气管镜连同冷冻探头一起快速取出,经过2次冻取,剩余辣椒屑全部取出(图3C),术毕超细支气管镜探查未及异物。


2021年5月14日复查肺CT显示异物已完全取出,阻塞性肺炎改善(图3D)。
肺异物中骨头及蔬菜是较常见的异物类型[2,8]。慢性异物吸入的成年患者通常没有明显的临床表现,甚至部分患者在吸入异物的当时也没有明显的误吸表现。因此,在酗酒、高龄、吞咽反射受损的患者中,若存在复发性阻塞性肺炎,需警惕肺异物的存在。
慢性吸入的成人患者中,异物多位于肺外周[1],因此,在进行气管镜探查前需确认进镜路线以顺利发现异物。三维CT支气管血管成像技术通过软件导入薄层二维胸部CT图像,将支气管、血管进行三维重建。该技术确实可以帮助操作者了解病灶位置、病灶所引流支气管的形态及周围血管情况等,但对于5级以上的支气管重建过程需要花费大量的时间与精力,而且三维支气管图像并不能直观反映支气管镜下的路径。由此,如雨后春笋般的支气管镜导航技术应运而生。目前有诸如电磁导航,虚拟导航等支气管导航设备,有报道显示,虚拟导航可以提高肺异物诊断敏感性至92.3%,提高特异性至85.7%[9]。但上述设备价格高昂,并非所有的内镜中心均拥有这样的导航设备。手绘支气管导航是一种经济、高效的导航技术,具有较高的导航成功率,可以提高肺外周病灶的诊断率[10,11]。然而这项技术的相关报道鲜少。2016年一项横断面研究显示,肺外周恶性病灶的刷检敏感性为17%,而手绘支气管导航的应用将刷检敏感性提高至31.5%[10]。2021年一项回顾性研究显示,手绘支气管导航对肺外周病灶的导航成功率高达98.9%,手绘支气管导航引导下肺外周病灶镜下活检的诊断率达88.8%[11]。像我们这例患者,支气管内由于肉芽组织增生,管腔狭窄,变形明显,尤其需要手绘支气管导航的辅助以顺利找到病灶。
电子支气管镜在肺异物的诊断及治疗上发挥重要作用,其一次性取出异物的成功率高达90%,在慢性吸入病例中,还需要高频电及冷冻技术来协助清除气道肉芽组织,以便于异物的顺利取出[2]。当气道内肉芽组织及疤痕增生明显,或者有可能划伤气道、血管的尖锐异物坎顿时,则需要使用硬质支气管镜[2]。当异物长时间坎顿于远端支气管、较大或者坚硬的异物穿透支气管壁、骨性或金属异物靠近大血管时,手术可能是唯一的解决方法[12]。我们的病例中,异物长时间坎顿于第六级支气管,伴明显肉芽组织增生,如果经气管镜无法取出,则需外科手术干预。超细支气管镜外径≤3.5 mm,工作孔径多为1.2 mm,其可直观地诊断肺外周异物。超细支气管镜因其细、软的特征可顺利地进入小气道,因此非常适用于肺外周病灶的诊断和治疗,有报道显示其对外周病灶的整体诊断率可达66%[7]。但其在肺外周异物的诊断和取出中的应用尚未见报道。
超细支气管镜在肺外周病灶的应用中存在一大挑战,即其操作孔径仅支持外径1.2 mm以内的取材工具,而小杯口活检钳取得的组织量甚少,且远端气道操作空间狭小,活检钳张开困难,这些都影响了超细支气管的诊断率。应运而生的超细冷冻头则弥补了上述缺点。其细小、易弯曲,可顺利进入远端支气管,无须太大的操作空间,只需贴紧病灶,冷冻数秒,即可获得较大的组织标本量,因此在肺外周病灶的诊断中具有优势[6,13]。我们的病例首先使用了活检钳,但其在气道远端张开困难,每次取出的异物量非常少,且由于异物紧贴于支气管壁,活检钳难以完全将其夹住。此外,慢性吸入的食物残渣质软,夹取易碎,因而活检钳无法将其完全取出,甚至将其推向更远处。而超细冷冻头则不需要太多操作空间,紧贴异物后将其冻硬便可迅速取出。这也是超细冷冻头冻取异物的首次报道。
我们首次报道了手绘支气管导航、超细支气管镜与超细冷冻探头的联合应用,展示了这种联合应用在肺外周异物诊断和治疗方面的优势。
袁明丽,肖阳,倪芳,等.手绘支气管导航引导下超细支气管镜联合超细冷冻探头取出肺外周异物1例[DB/OL].中国临床案例成果数据库,2023(2023-03-10).http://journal.yiigle.com/LinkIn.do?linkin_type=cma&DOI=10.3760/cma.j.cmcr.2023.e00906.
所有作者均声明本研究不存在利益冲突





















