
患者,男性,45岁,病程5个月,诊断为鸟分枝杆菌肺病合并非鳞状细胞癌。
患者为体检发现无明显症状,体格检查无明显阳性体征。
支气管活检病例确诊角化型肺鳞状细胞癌,手术病理确诊为鸟分枝杆菌肺病和角化型肺鳞状细胞癌。
单孔胸腔镜左肺上叶切除+系统性纵隔淋巴结清扫保留神经+粘连松解+肺修补手术,鸟分枝杆菌肺病给予患者口服阿奇霉素、莫西沙星和乙胺丁醇抗鸟分枝杆菌治疗中。
一般情况良好,无不适主诉2~3个月复查胸部CT,目前肺病情况稳定。
肿瘤科;胸外科;结核科
版权归中华医学会所有。本文为遵循CC-BY-NC-ND协议的开放获取文章。
非结核分枝杆菌(non-tuberculous mycobacteria,NTM)大部分为寄生菌,仅少部分对人体致病,属条件致病菌。NTM肺病是最常见的NTM病,在国外约占70%~80%。合并肺部基础疾病,如支气管扩张、囊性肺纤维化、肺尘埃沉着症、肺气肿、慢性阻塞性肺疾病等,均易合并NTM肺病[1]。鸟分枝杆菌复合群(Mycobacterium avium complex,MAC)在全球各大洲均为主要的NTM菌种,也是NTM肺病,淋巴结病及播散性NTM病的主要菌种[2,3]。肺鳞状细胞癌是原发性支气管肺癌常见的一直组织病理分型。多为中央型,可能阻塞支气管腔而导致肺不张、支气管扩张和阻塞性肺炎[4]。本例为病理证实的肺鳞癌合并鸟分枝杆菌感染。肺鳞癌的早期治疗以手术为主,鸟分枝杆菌肺病的治疗以药物治疗为主。
患者,男性,45岁,主诉体检发现肺部阴影5个月。
现病史:患者于5个月前就诊于体检中心,行胸部CT检查,结果回示左肺上叶阴影。患者无明显不适症状。后就诊于外院,行PET/CT(2021年12月),结果回示左肺上叶阴影,性质待查。并给予拜复乐口服后,复查胸部CT,提示肺部阴影较前增大。患者就诊于本院,并于2022年4月12日行电子支气管镜检查,结果回示左上叶舌叶支气管病变,病理提示鳞癌。患者自发病以来,无咳嗽、咳痰,无咳血,无发热、胸痛、声音嘶哑,无盗汗、乏力、气短、消瘦,无上腔静脉压迫症、关节痛、杵状指。今患者为行进一步检查和治疗,门诊以"左肺上叶鳞癌"收住我科。自发病以来,患者精神状态良好,体力情况良好,食欲食量良好,睡眠情况良好,体重无明显变化,大便正常,小便正常。
结核病接触史:无家庭结核病接触史。卡介苗接种史:不详。
既往史:既往2型糖尿病3年,自服二甲双胍,血糖控制可。否认肝炎、结核、疟疾病史,否认高血压、心脏病史,否认脑血管疾病、精神疾病史,否认手术、外伤、输血史,有过敏史,对磺胺类药物过敏,预防接种史不详。
个人史:久居本地,无疫区、疫情、疫水接触史,无牧区、矿山、高氟区、低碘区居住史,无化学性物质、放射性物质、有毒物质接触史,无吸毒史,无吸烟、饮酒史,育女1人、配偶女均健康。
家族史:父亲及奶奶死于肺癌。否认冠心病、高血压、糖尿病、遗传性疾病家族史。
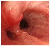
纤维支气管镜检查:气管正常,隆突锐利,左上叶舌段支气管黏膜充血、水肿、肥厚,局部结节状新生物见图1。余双侧主支气管及各叶、段支气管黏膜均无充血、水肿,管腔通畅无狭窄。


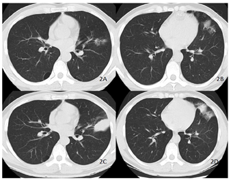
胸部CT检查:左肺上叶上舌段支气管狭窄,远端病变,考虑恶性病变可能;纵隔4 L、10 L淋巴结饱满;双肺多发间隔旁肺气肿;气管憩室。2022年4月14日胸部CT较2022年3月29日胸部CT左肺上叶病大(图2)。


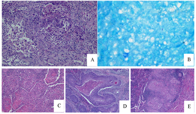
左肺上叶术后病理:左肺上叶肺叶切除标本为角化型鳞状细胞癌(长径约1.0 cm)。肉芽肿病变,抗酸染色(+),PAS染色(−),六胺银染色(−),结合分枝杆菌基因检测,符合鸟分枝杆菌感染。上皮样肉芽肿,长径约4.5 cm,未见明确坏死。角化型鳞状细胞癌,长径约1.2 cm。癌灶周边见肉芽肿病变(图3)。


诊断:1.肺鳞状细胞癌。支气管镜左上叶舌段和左肺上叶切除标本病理结果均明确诊断为角化型鳞状细胞癌。2.非结核分枝杆菌肺病(鸟分枝杆菌)。胸部CT提示肺部存在感染性病变,左肺上叶切除标本病理结果找到抗酸染色(+),分枝杆菌基因检测(+,鸟分枝杆菌)诊断鸟分枝杆菌肺病。
鉴别诊断:1.肺脓肿。多有高热,咳大量脓臭痰,胸片表现为带有液平面的空洞伴周围浓密的炎性阴影,发生在下叶者较多。血白细胞和中性粒细胞增高。2.炎性假瘤。既往慢性支气管炎、肺炎、肺脓肿病史,影像学检查发现肺周边圆形结节,密度均匀,边缘光滑。3.局灶机化性肺炎。为慢性肺实质浸润伴有不同程度的纤维组织增生,影像表现多为胸膜下的不规则团块状阴影,密度不均,内有大小不等的透光区,为扩张的肺泡及小支气管而非空洞,常伴有胸膜的增厚,可迁延较长时间不能吸收。
单孔胸腔镜左肺上叶切除+系统性纵隔淋巴结清扫保留神经+粘连松解+肺修补手术。
全麻成功后,右侧卧位,常规消毒铺巾,经左腋中线第6肋上缘长约3 cm切口入胸,逐层切开胸壁各层。胸腔镜进胸探查见:胸膜索条粘连,电刀分离,肺表面有中量炭沫沉积,肺裂发育不全,病变位于左肺上叶舌段,大小约3 cm×3 cm×2 cm,质硬,无肺不张、肺实变。行左肺上叶切除,打开前纵隔胸膜,游离出上肺静脉,以血管切割闭合器断离,于叶间暴露上叶各动脉分支,分别用血管切割闭合器离断,同时清扫叶间淋巴结,因左肺上叶舌段及固有段支气管分支较远,遂分别暴露出上叶固有段及舌段支气管,分别距其开口约0.5 cm以支气管切割闭合器闭合,膨肺见余肺复张,上叶仍完全萎陷。遂切断闭合上叶固有段及舌段支气管,完整切除左肺上叶,残端送冰冻病理,回报支气管残端(−),清扫各组纵隔淋巴结,游离下肺韧带达下肺静脉下缘,清扫下肺韧带旁淋巴结。蒸馏水冲洗胸腔,试水肺断面及支气管残端无漏气,余肺复张可。置双腔引流管。查胸腔内无活动性出血,清点纱布器械无误,分层缝合胸壁各层,结束手术。
术后病理确诊合并鸟分枝杆菌肺病,给予阿奇霉素0.5 g、1次/d,莫西沙星0.4 g、1次/d,乙胺丁醇0.75 g、1次/d,口服抗鸟分枝杆菌治疗。
肺鳞状细胞癌已手术根治,未发现远处转移,目前定期随访中。鸟分枝杆菌肺病主病灶已行手术切除,口服阿奇霉素、莫西沙星和乙胺丁醇治疗中,每2~3个月行胸部CT、痰分枝杆菌培养+鉴定检查。目前患者无明显不适。
NTM肺部的感染因素包括宿主因素、药物因素和环境因素。研究显示有肺部基础疾病的人群易合并NTM肺病[5]。肺鳞状细胞癌阻塞支气管易合并肺部感染,本例患者罹患左肺上叶鳞状细胞癌,是NTM肺病的诱发因素之一。鸟分枝杆菌复合群是最常见的NTM致病菌种之一,包括鸟分枝杆菌、胞内分枝杆菌、奇美拉分枝杆菌、马萨分枝杆菌等[6]。随着基因分型技术的不断完善,新的NTM菌种及亚种还将不断被发现。
鸟分枝杆菌通过呼吸道定植到支气管和肺组织中,在肺泡组织和支气管黏膜上皮细胞停留并增殖,大多数被中性粒细胞识别吞噬杀灭。部分被巨噬细胞吞噬捕获,进入巨噬细胞内,吞噬了鸟分枝杆菌的巨噬细胞在肺组织参与肉芽肿的形成[7]。一方面,机体调动免疫细胞和细胞因子对侵入机体的鸟分枝杆菌进行杀灭,另一方面,由于迟发性变态反应、细胞因子和免疫逃逸的鸟分枝杆菌的毒力破坏肺组织,导致肺组织出现纤维空洞、支气管扩张和肺结节等病灶。
鸟分枝杆菌肺病和肺鳞状细胞癌发病先后探讨:1.鸟分枝杆菌肺病先于肺鳞癌发病。鸟分枝杆菌侵入肺组织内完成定植后形成感染灶,患者可无临床表现,仅在体检时发现。美国癌症协会发现结核病患者患肺癌的危险程度是正常人群的10倍[8]。NTM如鸟分枝感染,在肺癌的发病中是否为危险因素之一,目前并没有报道,是未来探索的方向之一。2.肺鳞癌先于鸟分枝杆菌肺病发病。肺鳞癌多为中心型肺癌,本患者左舌段支气管受累,阻塞所属肺组织,鸟分枝杆菌定植在阻塞的肺组织,形成密闭感染环境,沿着阻塞的支气管发病,形成了肉芽肿炎。3.鸟分枝杆肺病和肺鳞癌同时独立发病。二种疾病互不干扰同时发病,这种情况的概率较低,探讨的病例肺鳞癌和鸟分枝杆菌累及均为左肺上叶,发病部位相同,病灶C角化的鳞癌周边可见肉芽肿病变,若肉芽肿病变为鸟分枝杆菌感染所致,推测可能有某些因素在二者的发病过程中起着关键作用。
吕子征,刘荣梅,高孟秋.鸟分枝杆菌肺病合并肺鳞状细胞癌的诊治1例[DB/OL].中国临床案例成果数据库,2023(2023-03-11).http://journal.yiigle.com/LinkIn.do?linkin_type=cma&DOI=10.3760/cma.j.cmcr.2023.e00912.
所有作者均声明本研究不存在利益冲突





















