
患者,男性,27岁,以行走不稳10余年,加重伴饮水呛咳、反应变慢1年余,于2020年至空军军医大学西京医院神经内科就诊。病程中无中毒、特殊药物服用史,否认相似家族史。
小脑性共济失调、下肢痉挛性截瘫、周围神经损伤(感觉重于运动)。
该患者临床表现符合ARSACS三联征,为进一步明确诊断,完善眼底照相、影像学检查(头和脊椎MRI、周围神经超声)、神经电生理检查(周围神经传导速度、体感诱发电位、视觉和脑干听觉诱发电位、眼震电图检查)。取患者外周血提取DNA进行二代全外显子测序(重点关注SACS基因)+动态突变检测(鉴别诊断Friedreich共济失调),该项目由北京迈基诺医学检验所完成,捕获芯片必须覆盖遗传性痉挛性截瘫等致病基因。取患者父母外周血提取DNA并对SACS突变基因进行家系验证。
给予5-羟色胺1A受体激动剂丁螺环酮改善共济失调症状,巴氯芬改善痉挛症状,艾地苯醌及辅酶Q10、甲钴胺片对症治疗,参照前庭康复的方法训练改善步态不稳,构音障碍参照球麻痹和言语康复训练的方法。
患者服药3个月后行走不稳症状稍有改善,皮肤瘙痒较前减轻,双下肢僵硬感缓解明显,饮水呛咳无明显改变。目前可以从事手机修理工作。
神经科
版权归中华医学会所有。本文为遵循CC-BY-NC-ND协议的开放获取文章。
遗传性共济失调(hereditary ataxia,HA)是一大类具有高度临床和遗传异质性的遗传性神经系统退行性疾病,占神经系统遗传性疾病的10%~15%。根据遗传方式分为常染色体显性遗传小脑性共济失调、常染色体隐性遗传小脑性共济失调、X-连锁共济失调和线粒体综合征伴共济失调。常染色体隐性遗传性痉挛性共济失调Charlevoix-Saguenay型(autosomal recessive spastic ataxia of Charlevoix-Saguenay,ARSACS)是常染色体隐性痉挛性共济失调综合征的第二大常见病因,目前以散发个案报道居多,缺乏明确的基因型-表型特征。该病是由SACS(spastic ataxia of Charlevoix-Saguenay)基因突变导致的,以运动协调功能进行性减退为主要表现,ARSACS患者的症状,除儿童期起病的小脑性共济失调、下肢痉挛、周围神经病这三个临床三联征外,还可有认知障碍、三联症表现不全等不典型表现。正是由于这些特征的不同组合,ARSACS患者临床鉴别诊断较为困难,常常误诊为痉挛性截瘫或Friedreich共济失调。探索有效可靠的检查方案,对ARSACS的诊断和鉴别有重要意义。在本报告中,我们报道了一例SACS基因新发复合杂合突变的男性患者,拓展了ARSACS的致病基因谱,在指导此类疾病的临床精准诊断方面具有重要意义。
患者,男性,27岁,以行走不稳10余年,加重伴饮水呛咳、反应变慢1年余,于2020年至空军军医大学第一附属医院神经内科就诊。2006年家人发现患者走路姿势怪异,本人并未重视;2009年患者诉狭窄路面行走明显不稳,伴发僵,自觉迈不开腿(至今未加重),后出现下楼梯容易前冲,需抓握防跌倒;2012年患者走路右腿画圈,言语含糊,头位或姿势改变时有自身不稳感);2017年出现饮水呛咳、吞咽尚可;2019年患者自觉上述症状明显加重,坐位起立行走时僵硬,需手扶物体保持平衡,期间曾多次就诊于当地医院,考虑痉挛性截瘫,给予对症治疗效果欠佳。其姐回忆患者自幼动作慢,语速慢。否认相似家族史,既往史及个人史无特殊。专科查体:高级智能中枢及颅神经功能正常,双眼视力下降。四肢肌力5级,上肢肌张力减低,下肢肌张力增高,上肢腱反射减弱而下肢活跃,髌阵挛及踝阵挛阳性。双下肢远端痛觉、振动觉减退。四肢远端皮温低。指鼻试验、指指试验尚可,跟膝胫试验及Romberg征阳性,病理征阳性。患者行走时上身左右摇晃不稳,阔基步态,高弓足(图1),下肢远端下1/3纤细,可见抓痕。


既往史:否认中毒、特殊药物服用史;否认相似家族史。
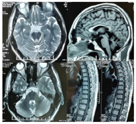
入院后进行了如下检查:眼底照相、影像学检查(头和颈椎MRI、周围神经超声)、神经电生理检查(周围神经传导速度、体感诱发电位、视觉和脑干听觉诱发电位、眼震电图检查)。取患者外周血提取DNA进行二代测序(测序机构:北京迈基诺医学检验所),捕获芯片覆盖Friedreich共济失调及遗传性痉挛性截瘫等致病基因,并取患者父母外周血提取DNA并对SACS突变基因进行家系验证。眼底检查提示双侧静脉阻塞,有髓神经纤维增生,视盘发育异常(图2)。头颅+脊髓磁共振T2WI和T2 FLAIR示小脑萎缩,蚓部及旁蚓部明显,小脑中脚可见对称长T2信号影,脑桥相对饱满,小脑明显萎缩,上胸髓萎缩变细(图3)。周围神经超声:双侧臂丛神经、坐骨神经及右侧腓总神经内径普遍增粗,疑有慢性损伤后修复(图4)。神经电生理检查:主要表现为四肢运动感觉神经损伤,感觉受损为著,右正中神经F波潜伏期稍延长、出现率降低、波幅降低,双胫神经H反射未测出;右手第一骨间肌、左胫前肌神经源性损害,左股内侧肌MUP个别波幅高。眼震电图检查提示视跟踪试验Ⅲ型;凝视试验:暗环境向左凝视可见2度左向眼震;变位试验:DH左20度下跳眼震6 s,后出现4度上跳眼震20 s,回原位未见眼震,深悬头位有5度上跳眼震7 s。基因检查:二代测序检测基因目标区覆盖度99.7%,目标区平均深度为149.94,目标区平均深度>20×、比例为99.2%。测序发现该患者SACS基因存在c.7656T>G(p.N2552K)和c.2387T>A(p.L796X)两个突变,根据ACMG指南,c.7656T>G(p.N2552K)突变判定为临床意义未明;c.2387T>A(p.L796X)判定为无义突变,对蛋白功能影响可能较大,为疑似致病性突变。Sanger测序结果显示母亲携带SACS基因c.7656T>G(p.N2552K)杂合突变,父亲携带c.2387T>A(p.L796X)杂合突变(图5)。








综上分析,青年男性,隐匿起病,缓慢加重,核心症状为步态不稳、下肢僵硬、言语不清,阳性体征小脑性共济失调、下肢上运动神经元损伤合并四肢周围神经损伤,检查结果提示眼底双侧静脉阻塞,有髓神经纤维增生,视盘发育异常,T2-WI及T2-FLAIR发现小脑及上胸髓萎缩,神经电生理提示有广泛四肢运动和感觉神经损伤及前庭功能异常。测序发现SACS基因存在新发复合杂合突变,分别为c.2387T>A(p.L796X)及c.7656T>G(p.N2552K),经家系验证突变分别来自患者父亲和母亲。该患者临床特征符合ARSACS三联征,即:小脑性共济失调、下肢上运动神经元损伤、周围神经病。综上,考虑ARSACS诊断成立,并重点鉴别Friedreich共济失调、痉挛性截瘫、Refsum病等。
治疗原则包括药物治疗及非药物治疗,前者包括5-羟色胺1A受体激动剂丁螺环酮和坦度螺酮,可用于部分改善共济失调及眼动异常。4-氨基吡啶可用于改善下跳性眼震,痉挛症状可以给予巴氯芬、氯硝西泮等。可试用辅酶Q10、艾地苯醌等抗氧化药物,以及认知功能下降等症状的对症治疗。非药物治疗包括神经康复如前庭康复、言语康复等,可同时采取情感支持及行为认知疗法。可对患者尝试经颅磁刺激以改善共济失调症状。基因治疗和干细胞移植仍处于研究阶段,未进入临床应用。
根据该患者的核心临床特征,对其给予了盐酸丁螺环酮、巴氯芬、艾地苯醌、辅酶Q10及甲钴胺等对症支持治疗,同时辅助前庭康复及语言康复训练。
患者服药3个月后行走不稳症状稍有改善,皮肤瘙痒较前减轻,双下肢僵硬感缓解明显,饮水呛咳无明显改变。目前可以从事手机修理工作。建议长期药物维持治疗,辅助康复训练。并给予遗传学咨询建议。
本病例为西北地区首例报道的ARSACS。患者具备典型ARSACS的下肢锥体束征及轴索性多发性周围神经病变,但与经典型早发型小脑性共济失调相比,该患者发病较晚,且主要为下肢痉挛性共济失调,小脑性症状比较轻,此非ARSACS的典型特征。相关文献也证明,不典型患者在非魁北克地区更易出现。我们运用神经科定位定性诊断策略结合眼底检查、头和脊髓MRI、神经电生理检查等检查手段促进了鉴别诊断,并临床诊断了ARSACS。同时,我们还利用全外显测序及Sanger家系验证发现了SACS基因c.2387T>A(p.L796X)及c.7656T>G(p.N2552K)的复杂杂合突变。该病例的报道为ARSACS提供了新的基因型与新的临床表型。
对于ARSACS的发病率尚缺乏全球的样本数据,2019年Georgia及其团队系统回顾了所有已发表的SACs突变病例,ARSACS似乎是共济失调和许多不同症状的组合,重要突变已被确定,主要位于10号外显子。所有报告的病例中绝大多数呈共济失调(78.9%)、多发性神经病变(73.7%,以脱髓鞘为主)和痉挛(78.1%)。绝大多数患者同时具备三种以上临床特征,约19.1%有2种临床特征,单一症状出现频率最低。另外有11.4%的患者出现认知功能障碍,8.6%出现尿急、尿失禁,约4.8%有癫痫发作,主要类型为肌阵挛发作。我们所报道的这位患者具备典型的ARSACS三联征,但与经典型患者相比,该患者发病较晚,为ARSACS迟发型。患者首先出现行走不稳的小脑性共济失调症状,随后出现双下肢发僵锥体束损害症状,查体有明显的双下肢痉挛,下肢肌张力增高,腱反射活跃,周围神经病出现较晚。
神经电生理检查提示患者有多发感觉、运动以及自主神经受累症状,这与之前已发表病例类似。当周围神经损伤严重锥体束损害症状常常被掩盖,下肢痉挛并不明显,出现下肢肌张力及腱反射均降低,甚至可出现尿急、尿失禁、勃起功能障碍,患者还可以伴随癫痫、智力和听力受损、精神异常,而该患者均无相似症状,提示该患者仍处在病情较轻的阶段。许多患者眼底检查可见视盘边缘发出黄色条带状高髓鞘纤维,此表现也见于该患者。该患者可见双侧静脉受阻,可能与增厚的神经纤维压迫有关。此外,光学相干成像还可见视网膜纤维增厚,这些可能是ARSACS特征性表现,该患者无此表现。混合型视网膜异常对ARSACS是高度特异性的,视网膜的增生是由于异常视网膜髓鞘发育所致。未来OCT可能为ARSACS的临床诊断提供潜在的生物标志物。小脑半球及上蚓部萎缩,脑桥旁正中线性低信号条带,小脑中脚增厚、丘脑周围高信号环被认为是ARSACS特征性的影像学表现,该患者也具备部分特点。值得注意的是,影像学上,该患者小脑萎缩累及前庭小脑及绒球小结叶,这在以往报道中并未出现。此例病例发现脊髓萎缩波及上胸髓,但文献报道脊髓萎缩常见多累及颈髓,少有胸髓萎缩。此外部分文献发现还可出现胼胝体、脑干以及大脑皮质的萎缩,但该患者未出现上述表现。
SACS基因位于染色体13q12.12,由一个12800 bp组成的巨大9号外显子和后来发现的8个较小的上游外显子组成,编码sacsin蛋白,后者被认为整合了泛素蛋白酶体系统和Hsp70伴侣与ataxin-1的加工过程有关,在小脑浦肯野细胞、皮质脊髓束及脑运动神经元中高度表达,与运动协调及周围神经系统密切相关。该患者检测到SACS基因外显子区域存在c.2387T>A(p.L796X)及c.7656T>G(p.N2552K)复合杂合突变,这两个变异在本地基因组数据库、千人基因组数据库、ExAC数据库以及人类基因突变数据库(HGMD)中均未见报道。根据美国ACMG遗传变异解读指南,提示c.2387T>A(p.L796X)可能为致病突变,患者临床特征符合ARSACS的经典表型,因此我们推测c.7656T>G也有可能为致病性突变,两处突变分别来自父母,突变在家系中存在遗传共分离现象,符合常染色体隐性遗传模式,此患者是按照复合杂合突变确诊的,但是功能学研究还要进一步确定设计。上述突变既往均无文献报道,为我们首次报道的新发突变。总之,ARSACS的发生频率可能大大高于之前的估计。我们预测,对SACS突变的基因分析以及对典型的ARSACS表型深入认识将带来更多的诊断率,对年轻患者的诊断也大有帮助。
满钰霖,宋长庚,王圆圆.1例SACS基因新发复合杂合突变的罕见共济失调[DB/OL].中国临床案例成果数据库,2023(2023-03-17).http://journal.yiigle.com/LinkIn.do?linkin_type=cma&DOI=10.3760/cma.j.cmcr.2023.e00959.
所有作者均声明本研究不存在利益冲突





















