
男性,13岁,学生。主诉右上前牙脱落1年后恒牙一直未萌,曾于外院拍x线片,当时诊断为多生牙,未行治疗,现因右上恒前牙未萌来诊。
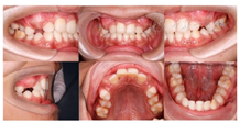
患者身材矮小,肩膀窄而下垂,活动范围大,可在胸前相互靠拢,面中部发育不足;口内检查11部分萌出;31反
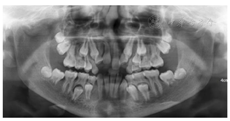
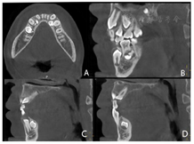
。CBCT示11牙根向远中明显弯曲,牙根发育至Nolla9期;21牙根发育至Nolla9期,腭侧见两颗正置锥形多生牙,牙根未发育完成;12、22牙根发育至Nolla9期;23牙冠近中倾斜至62根方。
1.上颌前牙区、下颌双侧后牙区多生牙;2. 11、13、21、22、23恒牙迟萌;3. 16、26、36、46釉质发育不全;4. 55、16、65、46中龋;5.牙安氏Ⅲ类:牙列拥挤、骨性I类、均角型;6.42缺失;7.53、63乳牙滞留;8.颅骨锁骨发育不全综合征?
通过儿童口腔科、口腔颌面外科、口腔影像科多学科联合治疗,充填龋齿拔除患者口内多生牙,同期佩戴上颌
垫舌簧活动矫治器牵引上前牙+慢速扩弓+舌簧改善失状向及横向不调,并于解除反合后逐步调磨
垫直至全口后牙基本建
。定期随访,拍摄CBCT,关注未萌出恒牙、多生牙及下颌发育情况。
上前牙牵引到位,上下颌覆
覆盖正常,全口后牙建
,摘除埋伏多生牙5颗,全口深窝沟牙齿完成窝沟封闭,龋齿完成充填或PRR治疗。
口腔全科;口腔正畸科;儿童口腔科
版权归中华医学会所有。本文为遵循CC-BY-NC-ND协议的开放获取文章。
多生牙是形成于正常牙列之外的牙,多颗多生牙的出现常常伴随着全身系统性疾病,其发展常造成牙列拥挤、恒牙萌出异常及相邻牙齿的吸收等不良后果。本病例中患者口腔内上下颌发现多颗多生牙,同时伴有恒牙萌出异常、面中发育不足、肩部发育异常等症状,高度怀疑其患有颅骨锁骨发育不全综合征。本病例通过外科-正畸多学科联合治疗,一定程度改善患者的咬合关系,恢复其功能及美观,旨在提高对多颗多生牙病例的认识,并进一步探讨其治疗方式。
患者,男性,13岁,学生。
主诉:右上前牙未萌出1年余。
现病史:患儿1年前拔除右上门牙后,新牙一直未萌出,曾于外院拍"X线片",医生建议观察,未行干预,现无不适,来我院要求进一步检查及治疗。
既往史:既往体健,无正畸史,无不良习惯,否认传染病史及手术外伤史,母亲多颗后牙缺失,暂未查及系统性疾病史。
体格检查:患者身高矮小、双肩狭窄下垂,活动范围大,可在胸前相互靠拢。面容、精神、言语、智力正常;血压、心率、体温无异常。
颌面部检查:颏部稍前突,面部对称,无肿物、肿胀,颌面部无明显畸形或缺损,无瘢痕、窦道;淋巴结无明显肿大;TMJ运动无异常,无开闭口杂音,张口度、开口型正常,咀嚼肌群无压痛。
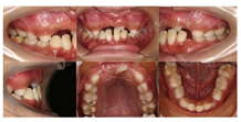
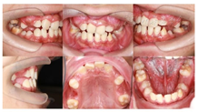
口内检查:全口口腔卫生较差。11、12、22、42未见萌出。
21部分萌出3~4 mm,牙龈缘稍红肿,与31反
,反覆
1~2 mm,反覆盖2 mm。
26、36釉质表面呈黄褐色,质硬、光滑,探及深窝沟,未探及龋坏。
55、16、65、46探及龋坏达牙本质中层,质软,无松动,叩诊(-),根尖区黏膜未见红肿、窦道等异常,扪诊无不适。
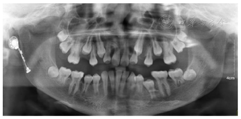
根尖片示:11自根中向远中弯曲约35°,属Ⅱ类弯曲牙,牙根发育至Nolla9期,21牙根发育至Nolla9期,腭侧见两颗正置锥形多生牙;12、22牙根发育至Nolla9期。
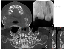
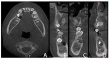
CBCT示:上颌恒牙胚萌出间隙不足,根据Moyers混合牙列分析法,牙弓现有长度为177.4 mm,牙弓应用长度为181.6 mm,拥挤度为4.2 mm。42缺失;11、21、22发育至Nolla9期;55、16、65、46冠部低密度影及牙本质中层,根管内未见高密度充填影,根尖周未见明显异常。53、63牙根吸收不足1/3,13、23发育至Nolla8期。
头颅侧位片示:下颌相对颅底位置靠前,趋向Ⅲ类错
,上下切牙舌腭向倾斜,骨龄CS1起始期。
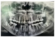
患者母亲身高矮小、智力正常,下颌前突,曲面体层片示上下颌共缺失5颗恒牙(14、24、32、34、44),18、28、38、45、48阻生。

















患者治疗前头影测量分析结果
患者治疗前头影测量分析结果
| 北京大学分析法 | ||||
|---|---|---|---|---|
| 测量结果 | 测量值 | 正常值 | 标准差 | 诊断提示 |
| 骨测量 | ||||
| SNA | 84.5° | 82.3 | 3.5 | 上颌相对颅底位置正常 |
| SNB | 81.9° | 77.6 | 2.9 | 下颌相对颅底位置靠前 |
| ANB | 2.6° | 4.7 | 1.4 | 趋向Ⅲ类错![]() |
| FH-NPo | 87.4° | 83.1 | 3 | 颏部前突 |
| NA-Apo | 2.9° | 10.3 | 3.2 | 上颌相对面部后缩 |
| FMA | 28.1° | 31.8 | 4.4 | 均角型 |
| SGn-FH | 62.1° | 65.5 | 2.9 | 聚合生长型,颏部前突 |
| MP-SN- | 32.5° | 35.8 | 3.6 | 下颌提陡度、面部高度适宜 |
| Po-NB | 2mm | 0.2 | 1.3 | 颏部发育量较大,颏部前突 |
| 牙测量 | ||||
| U1-NA | -1.2mm | 3.1 | 1.6 | 上中切牙后缩 |
| U1-NA | 7° | 22.4 | 5.2 | 上中切牙腭向倾斜 |
| L1-NB | 3.5mm | 6 | 1.5 | 下中切牙后缩 |
| L1-NB | 19.4° | 32.7 | 5 | 下中切牙舌向倾斜 |
| U1-L1 | 151.1° | 122 | 6 | 上下前部牙弓突度较小 |
| U1-SN | 91.5° | 104.8 | 5.3 | 下中切牙相对前颅底平面舌向倾斜 |
| IMPA | 85.1° | 94.7 | 5.2 | 下中切牙相对下颌平面舌向倾斜 |


1.上颌前牙区、下颌双侧后牙区多生牙;2. 11、13、21、22、23恒牙迟萌;3. 16、26、36、46釉质发育不全;4. 55、16、65、46中龋;5.牙安氏Ⅲ类:牙列拥挤、骨性I类、均角型;6.42缺失;7.53、63乳牙滞留;8.颅骨锁骨发育不全综合征?
针对本病例,总体治疗计划为根据恒牙牙根形成情况逐步拔除滞留乳牙及多生牙,对迟萌恒牙进行开窗助萌或正畸牵引,早期矫治改善上下颌骨间矢状向及横向不调,排齐牙列,整平牙弓,调整咬合关系。
告知患者及其家属病情、治疗计划、费用及预后,建议患者及其家属进行血液及影像学检查辅助诊断颅骨锁骨发育不全综合征并分次拔除上前牙区及双侧下前磨牙区多生牙,患者及其家长拒绝进一步诊断颅骨锁骨发育不全综合征并表示愿意积极配合口腔疾病诊治。
2020年10月11日门诊局麻下摘除下颌双侧前磨牙区多生牙及其牙囊3颗。
2020年12月21日口腔颌面部CBCT精确定位、笑气镇静+4%肾上腺素-盐酸阿替卡因注射液局部浸润麻醉下先行拔出恒中切牙腭侧多生牙,同期切除部分牙龈暴露双侧上中切牙牙冠最宽径。4个月后11仍未有萌出迹象,21萌出,与31反
。门诊外科手术暴露11牙冠并粘接舌侧扣,佩戴上颌
垫舌簧活动矫治器利用后牙区乳牙及已萌恒牙作为支抗对11进行橡皮链牵引,并在12、21及22舌侧增加舌簧。活动矫治器在上颌腭部增加螺旋扩弓器,对上颌骨进行慢速扩弓纠正其横向发育不良。因无确切证据表明上颌存在失状方向上发育不足,故暂不考虑佩戴上颌前方牵引器。11橡皮链牵引持续6个月,扩弓持续11个月,扩弓结束后保持3个月。
余牙评估恒牙发育阶段,于Nolla8期时拔除乳牙,减轻继承恒牙萌出阻力。治疗过程中逐步拔除上下颌双侧第一、第二乳磨牙及右上乳尖牙。根据恒牙萌出情况逐步磨除
垫,引导后牙建
。
对萌出的恒牙的深窝沟进行及时的窝沟封闭,预防龋病发生。
治疗结果:总疗程共19个月,矫治后患者上颌双侧中切牙基本牵引至正常位置,左上恒中切牙及左下恒中切牙反
解除,上前牙恢复正常突度及倾斜度,下前牙恢复正常突度,稍舌倾。上下颌切牙覆
覆盖正常。上颌双侧恒尖牙未萌,间隙保留,左上恒尖牙异位好转,牙冠近中向倾斜程度减轻。下颌缺失右侧恒侧切牙,间隙关闭并排列整齐。通过慢速扩弓与及时拔除萌出通道上相应乳牙及多生牙,上下颌前磨牙、磨牙自然萌出到正常位置并建
。埋伏多生牙拔除手术顺利,无术后感染及复发。所有萌出恒牙完成窝沟封闭术。
随访:矫治治疗结束后随访期5个月,疗效稳定,发现左下第二恒前磨牙根尖舌侧出现一多生牙牙胚,由于下颌牙列无间隙,考虑该多生牙无保留价值,且有导致35牙根吸收的风险,建议患者择期拔除。

垫舌簧活动矫治器
垫舌簧活动矫治器
垫螺旋扩弓器
垫螺旋扩弓器




















患者治疗前后头影测量分析结果
患者治疗前后头影测量分析结果
| 北京大学分析法 | ||||
|---|---|---|---|---|
| 测量结果 | 治疗前 | 治疗后 | 标准值 | 诊断提示 |
| 骨测量 | ||||
| SNA | 84.5° | 84.7° | 82.3±3.5 | 上颌相对颅底位置正常 |
| SNB | 81.9° | 82.9° | 77.6±2.9 | 下颌相对颅底位置靠前 |
| ANB | 2.6° | 1.8° | 4.7±1.4 | 趋向Ⅲ类错![]() |
| FH-NPo | 87.4° | 89° | 83.1±3 | 颏部前突 |
| NA-Apo | 2.9° | 1.3° | 10.3±3.2 | 上颌相对面部后缩 |
| FMA | 28.1° | 28.1° | 31.8±4.4 | 均角型 |
| SGn-FH | 62.1° | 61.3° | 65.5±2.9 | 聚合生长型,颏部前突 |
| MP-SN- | 32.5° | 33° | 35.8±3.6 | 下颌提陡度、面部高度适宜 |
| Po-NB | 2mm | 2mm | 0.2±1.3 | 颏部发育量较大,颏部前突 |
| 牙测量 | ||||
| U1-NA | -1.2mm | 3.5mm | 3.1±1.6 | 上中切牙突度正常 |
| U1-NA | 7° | 18.2° | 22.4±5.2 | 上中切牙倾斜度正常 |
| L1-NB | 3.5mm | 3.5mm | 6±1.5 | 下中切牙后缩 |
| L1-NB | 19.4° | 16° | 32.7±5 | 下中切牙舌向倾斜 |
| U1-L1 | 151.1° | 144.1° | 122±6 | 上下前部牙弓突度较小 |
| U1-SN | 91.5° | 102.9° | 104.8±5.3 | 下中切牙相对前颅底平面倾斜度正常 |
| IMPA | 85.1° | 80.1° | 94.7±5.2 | 下中切牙相对下颌平面舌向倾斜 |


多生牙是形成于正常牙列之外的牙,在替牙期的混合牙列及恒牙列多见。多颗多生牙常常伴随着全身系统性疾病,包括颅骨锁骨发育不全综合征、Gardner综合征等。多生牙常常会导致牙列拥挤、恒牙萌出异常、囊性病变及相邻牙齿的吸收,因此对于多生牙,尤其是具有多颗多生牙的患者,早期诊断、正确评估和适当治疗至关重要[1]。
颅骨锁骨发育不全综合征是一种罕见的常染色体显性遗传病,具有明显的家族聚集性,其主要的临床特征为锁骨发育不全、颅缝的延迟融合和牙齿畸形。锁骨缺陷导致双肩下垂、肩部活动度变大。其口腔临床表现主要为多颗甚至大多数乳牙滞留以及相应的恒牙替换障碍、数目不等的多生牙、面中发育不足、下颌发育过度等[2],与本例患者肩部及口腔内临床症状高度相似,结合患者家族史,高度怀疑该患者患有颅骨锁骨发育不全综合征。
本例患者口腔内存在多颗不同发育阶段多生牙,伴随多颗乳牙滞留及恒牙迟萌,情况复杂,需要儿童口腔科、口腔影像科、颌面外科等多学科联合治疗以期取得良好效果。
恒牙迟萌病因较多,个别恒牙迟萌多与乳牙病变、过早脱落或滞留、牙瘤、囊肿、多生牙有关。除此之外,多颗恒牙迟萌多与全身系统性疾病相关,如颅骨锁骨发育不全综合征、遗传性成骨不全、先天性甲状腺激素分泌缺乏等有关。
患者初诊时根据恒牙发育Nolla分期诊断该患者11、21、22迟萌,其可能原因与腭侧多生牙、11牙根弯曲及可能患有颅骨锁骨发育不全综合征相关。
弯曲牙是指牙齿在发育过程中受损伤,牙冠与牙根的线性关系发生转折,使牙齿出现弯曲的现象。弯曲牙上颌多见[3,4],最常发生于上颌恒中切牙[5] 。前牙弯曲的最主要成因是恒牙胚发育时的乳牙外伤[4]。此外,异位牙胚发育、乳牙拔除、囊肿形成、根管感染、萌出空间不足、瘢痕组织、面裂、解剖结构的异常、药物、精神因素和系统性疾病等,也可导致前牙弯曲[6,7,8]。
关于弯曲牙的诊疗,尚无统一的分类标准及治疗规范。有学者结合弯曲牙根发育程度和萌出潜力,模拟弯曲牙牙冠复位后牙根与牙槽嵴的包容关系,以及弯曲牙复位技术的实施难度,将弯曲牙分为4类[9]并提出相应治疗策略。该分类如下:
I类:牙冠或冠根轻度弯曲(<30°),垂直向埋伏,患牙牙根发育与正常同名牙近乎同步,并且具有萌出的潜力(X线片评估牙囊、牙根及牙周组织、根尖牙乳头组织无明显异常)。
Ⅱ类:牙冠或冠根轻、中度弯曲(30°~60°),垂直向阻生,患牙萌出迟滞于健康同名牙,牙根形态正常并且发育仍未完成。可采用诱导干预方法。通过外科开窗助萌或局部固定矫治器开辟患牙萌出间隙,定期观察患牙自然萌出情况;待患牙萌出后修复牙冠形态,或正畸平整牙列。
Ⅲ类:冠根及牙根弯曲,倒置或水平阻生,牙根发育完成或牙根形态发育异常。
Ⅳ类;冠根及牙根严重弯曲(>60°),无法正畸牵引复位者。
本例患者11属于Ⅱ类弯曲牙,21未见牙根弯曲。对11、21采取早期矫治手段,通过外科开窗助萌开辟患牙萌出间隙,定期其自然萌出情况,必要时利用矫治器牵引患牙使其萌出。该患者于笑气辅助局麻一次性拔除上颌前牙区多生牙后,对11、21进行开窗助萌,观察4个月后因11仍无法自行萌出,因此对其进行正畸牵引,6个月后11完全萌出,并与41形成浅覆牙
浅覆盖关系。
本例患者后续矫治期间陆续查及多生牙6颗,分别位于上颌前牙区及下颌双侧磨牙区,下颌磨牙区多生牙位于颌骨深处且无萌出通道,对邻近牙造成牙根吸收的风险,上颌区多生牙位于恒前牙萌出通道上,因此对于此患者口内多生牙均不予保留,采取外科手术方法拔除。
多种颅骨锁骨综合征治疗口腔疾病治疗方案[10]建议患者全麻下一次性拔除多生牙及滞留乳牙,但本病例考虑到一次性拔除乳牙及多生牙创伤较大且极大影响患儿咀嚼功能,以及患者口中乳牙牙根吸收程度、恒牙发育阶段的差异,选择逐步拔除乳牙减轻继承恒牙萌出阻力。该患者经18个月治疗及观察后,上下颌后牙全部萌出并建
。
本病例不足之处在于未针对颅骨锁骨发育全综合征及其余系统性疾病对患者进行血液及影像学检查,因为未能明确患者恒牙迟萌的全身因素。患者末次就诊双侧上颌恒尖牙仍未萌出,左侧下颌前磨牙区仍遗留多生牙1颗。后续建议患者及时拔除多生牙并定期复查尖牙萌出情况。根据矫治后头影测量结果,患者下颌仍存在过度发育现象,且因骨龄仍处于高速生长发育阶段,有随年龄增长而加重的风险,建议患者定期复查,必要时进行干预。
刘珍妮,李子凌,黄文燕,等.外科-正畸多学科联合治疗上下颌多颗埋伏多生牙1例[DB/OL].中国临床案例成果数据库,2023(2023-03-19).http://journal.yiigle.com/LinkIn.do?linkin_type=cma&DOI=10.3760/cma.j.cmcr.2023.e01002.
所有作者均声明本研究不存在利益冲突























