
患者,男性,49岁,以"右上腹间断隐痛2个月余"为主诉于2020年2月26日收入本院,2个月余前无明显原因出现右上腹间断隐痛,至当地医院行上腹部增强CT示:肝实行占位,考虑肝癌。发现乙肝2个月余,口服恩替卡韦片(0.5 mg/d)治疗。无特殊既往史。母亲曾患"肝硬化",因"肝病"去世。
以右上腹隐痛为临床症状,查体未见明显阳性体征。
结合患者乙肝病史,入院检查甲胎蛋白升高、血常规示血小板降低及腹部增强MRI检查结果,根据《原发性肝癌诊疗指南(2019年版)》,考虑患者初步诊断:1.原发性肝癌,CNLC分期:IIIa期;BCLC分期:C期;2.慢性乙型病毒性肝炎;3.肝硬化;4.脾大、脾功能亢进。
给予甲磺酸阿帕替尼靶向治疗联合卡瑞利珠单抗免疫治疗及恩替卡韦(0.5 mg/d)抗乙肝病毒治疗,长期皮内注射胸腺肽(1.6 mg,2次/周)提高免疫力,转化成功后行手术治疗,术后患者出现肺转移及肝转移,给予CT引导肺肿瘤碘125粒子植入术、肺微波消融术、B超引导下肝脏肿瘤射频消融术局部治疗。
患者术后无瘤生存期达6个月余,目前生活质量良好,每个月定期复查,规律用药,未见复发。
肝胆胰外科;肿瘤内科
版权归中华医学会所有。本文为遵循CC-BY-NC-ND协议的开放获取文章。
原发性肝癌(primary carcinoma of the liver)是指肝细胞或肝内胆管细胞发生的肿瘤,包括肝细胞癌、胆管细胞癌和混合型肝细胞癌-胆管癌。目前肝癌位居全球肿瘤发病率的第6位,在肿瘤致死原因中排第3位[1]。外科治疗仍是患者获得长期生存的最重要方法,但免疫治疗、靶向治疗等系统抗肿瘤方案使中晚期肝癌患者的治疗有了更多选择,部分患者甚至可以达到转化切除的根治性疗效。我们报道1例转化切除成功的晚期肝癌,为晚期肝癌治疗提供新思路。
患者,男性,49岁,以"右上腹间断隐痛2个月余"为主诉于2020年2月28日收入院,体检未见明显阳性体征。患者2个月余前无明显诱因出现右上腹间断隐痛,无放射。按慢性胆囊炎自服"消炎利胆片"2个月,其间症状渐加重,至当地医院行上腹增强CT检查提示:肝实性占位,考虑肝癌。发现"乙肝"2个月,口服恩替卡韦片(0.5 mg/d)抗病毒治疗。既往无特殊病史。母亲曾患"肝硬化",因"肝病"去世。
肝功能Child-Pugh A级,肿瘤标志物:癌胚抗原及CA199在正常范围内,甲胎蛋白>1210.00 ng/ml;肝穿刺检病理诊断回示:(肝穿刺)癌组织,倾向肝细胞癌。
乙肝表面抗原、乙肝表面e抗体、乙肝表面核心抗体阳性,病毒DNA定量为5.49×102 IU/ml。
首次入院行腹部增强MRI检查回示:1.肝右叶肿块影,考虑原发性肝癌。2.腔静脉、肝右静脉、肝门静脉右支及主干多发栓子形成。3.肝硬化、脾大。手术治疗前于2020年5月28日复查增强CT回示:1.肝右叶占位,较前范围缩小;肝静脉右支及门静脉右支内充盈缺损影,考虑栓子形成,较前范围略缩小。2.肝硬化、脾大、侧支循环形成。
术后病理示:(右半肝)低-中分化肝细胞癌,侵及肝被膜,神经侵犯(-),脉管癌栓(+)。(肝切缘)干净。(脾脏)慢性瘀血性改变。(胆囊)粘膜慢性炎伴胆石症。(另送门静脉栓子)镜下炎症纤维背景中见大量凝固性坏死及组织细胞,未见癌累及。
2020年12月11日复查胸部CT示:左肺小结节,转移可能。2021年7月13日复查胸部CT示:左肺下叶结节,呈治疗后改变,较前增大。2021年9月10日复查上腹部MRI示:肝右叶异常信号,考虑子灶。
总治疗期间甲胎蛋白变化:首次入院甲胎蛋白>1210.00 ng/ml,用药后逐渐降低,首次手术治疗后降至正常范围之内,此后复查均在正常范围之内。
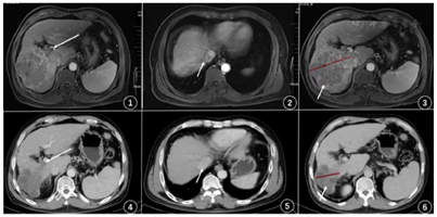
患者既往乙肝病史,乙肝表面抗原、乙肝表面e抗体、乙肝表面核心抗体阳性,病毒DNA定量为5.49×102 IU/ml,肝功能Child-Pugh A级,ECOG评分:0分。实验室检查:癌胚抗原及CA199在正常范围内,甲胎蛋白>1210.00 ng/ml;血常规示血小板65×109/L,余结果均在正常范围内。入院行腹部增强MRI提示:肝右叶占位(图3),大小约10.3 cm×10.7 cm×14.3 cm,动脉期不均匀强化,静脉期及延迟期强化减退,腔静脉、肝右静脉、肝门静脉右支及主干多发栓子形成(图1、图2);肝硬化、脾大,根据《原发性肝癌诊疗指南(2019年版)》,初步诊断为:1.原发性肝癌,CNLC分期:IIIa期;BCLC分期:C期;2.慢性乙型病毒性肝炎;3.肝硬化;4.脾大、脾功能亢进。


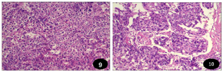
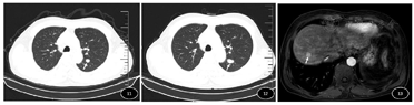
患者入院完善检查后,于2020年3月8日行肝穿刺活检,病理诊断回示:(肝穿刺)癌组织,倾向肝细胞癌。经多学科讨论,考虑患者无手术机会,建议行卡瑞利珠单抗免疫治疗联合阿帕替尼靶向治疗。经患者同意于2020年3月13日开始口服甲磺酸阿帕替尼(500 mg/d)靶向治疗联合静脉输注PD-1抗体卡瑞利珠单抗(200 mg/3周)免疫治疗及长期口服恩替卡韦片(0.5 mg/d)抗病毒治疗。患者用药后无明显原因出现发热,最高体温达38.0℃,行胸部CT及多次血培养检查未提示与感染相关,考虑与用药后肿瘤坏死引起无菌性炎症相关,给予对症治疗后较前好转。复查患者血常规及肝功能提示血小板、白细胞持续降低及转氨酶、总胆红素持续升高,血小板22×109/L,白细胞1.42×109/L,总胆红37.6 umol/L,谷草转氨酶341 U/L,给予对症治疗未见好转,根据NCI-CTCAE4.03标准,考虑出现应用靶向药物不良反应—严重骨髓抑制(3级)及肝功能损伤(3级),于2020年3月31日给予停用甲磺酸阿帕替尼,加用长期皮内注射胸腺肽(1.6 mg,2次/周)提高免疫力后上述症状较前好转。上述治疗方案治疗2个周期后复查腹部增强CT提示肝右叶占位及静脉癌栓较前缩小,甲胎蛋白降至788.0 ng/ml。患者头部皮肤出现少量皮疹,根据《CSCO免疫检查点抑制剂毒性管理指南》及NCI-CTCAE4.03标准,考虑患者出现与PD-1抗体治疗相关不良事件-反应性皮肤毛细血管增生症(1级),给予局部使用润肤剂后可耐受,未停药。治疗4周期后行腹部增强CT提示肝右叶占位较前范围缩小(图6),门脉主干癌栓及腔静脉癌栓消失(图4、图5),肝静脉右支及门静脉右支内癌栓较前缩小,甲胎蛋白降至117.5 ng/ml,影像学评价为部分缓解。再次行多学科讨论,考虑前期免疫联合靶向治疗有效,建议下一步行手术治疗,此外复查患者血常规示血小板49×109/L,考虑脾功能亢进未见好转,建议术中联合脾脏切除。排除相关手术禁忌后于2020年6月9日在全身麻醉下行"右半肝切除加脾脏切除加胆囊切除加肠粘连松解术"(图7、图8),术后恢复良好,无并发症,甲胎蛋白降至正常范围之内。术后病理(图9、图10)提示低-中分化肝细胞癌,侵及肝被膜,神经侵犯(-),脉管癌栓(+)。(脾脏)慢性瘀血性改变。(胆囊)黏膜慢性炎伴胆石症。(另送门静脉栓子)镜下炎症纤维背景中见大量凝固性坏死及组织细胞,未见癌累及。术后再次行上述方案治疗1周期后经多学科讨论,考虑患者具有高危复发因素:肿瘤直径大于5 cm,血管癌栓,中-低分化肝癌,建议继续行甲磺酸阿帕替尼(250 mg/d)靶向治疗联合PD-1抗体卡瑞利珠单抗(200 mg/3周)免疫治疗。上述方案再次治疗8周期后复查甲胎蛋白在正常范围值之内,复查胸部CT提示左肺小结节(图11),考虑患者术后出现肺转移,再次经多学科讨论,建议行肺转移灶局部治疗。于2020年12月14日在全身麻醉下行CT引导肺肿瘤碘125粒子植入术,术后恢复良好。继续治疗13周期后复查甲胎蛋白在正常范围值之内,复查胸部CT提示左肺下叶结节呈治疗后改变,较前增大(图12),考虑肺转移灶仍有活性,于2021年7年20日在全身麻醉下行肺部转移灶微波消融术,术后恢复良好。继续治疗1周期后复查甲胎蛋白仍在正常范围值之内,复查腹部增强MRI提示肝右叶异常信号(图13),考虑术后肝内复发,再次经多学科讨论,建议行肝内转移灶局部治疗。于2021年9月13日在局麻下行"B超引导下肝脏肿瘤射频消融术",术后恢复良好。目前患者定期复查规律应用上述方案,未见复发。






患者每个月定期返院复查,复查内容包括甲胎蛋白、肝功能、凝血功能、乙肝病毒DNA定量、VEGF、胸部及上腹部增强CT等,目前患者规律用药至今,未见复发(图14)。


本例患者最初入院时诊断为原发性肝癌IIIa期,无手术机会,通过靶向药物甲磺酸阿帕替尼联合卡瑞利珠单抗免疫治疗,结合胸腺肽提高免疫力,成功达到根治性切除的治疗效果,行手术切除后无瘤生存期达6个月,术后出现肺转移及肝转移也可在靶向治疗联合免疫治疗的基础上联合肝肺转移灶局部治疗,使患者获益。目前患者生存质量良好,无特殊不适,肝功能A级,治疗效果显著。患者目前达到完全缓解,无疾病进展期达10个月,生存期已达28个月。
近年来,免疫治疗已然成为了原发性肝癌治疗的热点,并改变了治疗模式,新版指南已然指出,绝大多数不宜首选手术切除的患者,应首选以系统抗肿瘤治疗为主的非手术治疗,通过免疫治疗联合靶向药物免疫治疗的单药或联合治疗等策略联合其他局部治疗的方式实施转化后再行手术切除,并进一步延展到可手术切除患者围术期新辅助治疗领域中。而且多项程序性死亡受体1及其配体的免疫抑制剂已纳入了我国原发性肝癌的多线用药。已然有研究证明,PD-1免疫治疗联合靶向治疗对肝内肿瘤的反应不如肿瘤血栓显著,这表明当肿瘤血栓发生时,可以使用局部区域治疗来改善对肝内肿瘤的控制,本例患者也符合上述规律[2]。目前,原发性肝癌的发生机制认为是肝肿瘤中PD-L1表达的上调,特别是与肿瘤浸润活化T细胞表达的PD-1结合,从而抑制效应T细胞的抗肿瘤免疫活性,从而逃避抗肿瘤免疫反应,用相应的阻断抗体可以逆转免疫T细胞的衰竭状态,并重振它们的抗肿瘤活性[3,4]。已经有研究表明,PD-1单抗治疗肝癌客观缓解率为15%~20%。胸腺肽是一种免疫调节剂,它可以通过促进T淋巴细胞的成熟,刺激激活后的T细胞分泌干扰素α,进而提高免疫力。
王恩泽,张珉,张璐阳,等.晚期原发性肝癌转化治疗1例[DB/OL].中国临床案例成果数据库,2023(2023-03-23).http://journal.yiigle.com/LinkIn.do?linkin_type=cma&DOI=10.3760/cma.j.cmcr.2023.e01055.
所有作者均声明本研究不存在利益冲突





















