
患者,女性,36岁。入院2个月前逐步出现难以缓解的严重呼吸困难,伴口腔多发糜烂、口唇部疱疹及手足部分皮肤发红脱皮。外院诊断"肺栓塞、支气管扩张伴感染、Ⅰ型呼吸衰竭、天疱疮"后予以免疫抑制、抗凝、抗感染等处理后症状稍缓解。本次呼吸困难再次加重,收入我院呼吸与危重症医学科进一步治疗。
患者无明显诱因的、逐步加重的、持续性呼吸困难伴呼吸衰竭,使用无创通气呼吸支持下缓解不明显,且呼吸困难症状与肺部相关检查结果程度不平行。且伴口腔多发糜烂,手足皮肤发红、脱皮。肺部听诊闻及少许散在哮鸣音。心脏、四肢、神经肌肉查体未见异常。
完善全面检查,包括CTPA、心脏检查、肺功能、免疫指标血检、天疱疮抗体、骨穿等考虑天疱疮,分类倾向于具有闭塞性细支气管炎特征的副肿瘤天疱疮。
给予利妥昔单抗+泼尼松联合免疫抑制,免疫调节,抗感染,呼吸机辅助通气,口腔局部治疗等。
呼吸困难和呼吸衰竭较前明显缓解,口腔溃烂愈合,可脱机改为面罩/鼻导管吸氧。继续足疗程治疗并嘱出院后长期随访。
呼吸与危重症医学科;皮肤科;风湿免疫科;
版权归中华医学会所有。本文为遵循CC-BY-NC-ND协议的开放获取文章。
天疱疮是一组以皮肤棘层松解为特征、可威胁生命的水疱性疾病,分4种主要类型:寻常型天疱疮、落叶型天疱疮、IgA天疱疮和副肿瘤性天疱疮(paraneoplastic pemphigus, PNP)。副肿瘤性天疱疮为一种罕见疾病,患者可表现为重度糜烂性口炎、多形性皮肤病损、淋巴网状内皮细胞或恶性肿瘤,以及闭塞性细支气管炎(bronchiolitis obliterans,BO)特征的肺部受累。我们报道1例以严重呼吸困难为表现的天疱疮,分类考虑PNP合并BO肺部受累所致呼吸衰竭,旨在提高呼吸科医生对本病的认识,并引发多学科医师对于"呼吸困难"这一常见呼吸系统症状更多的思考。
患者,女性,36岁,因"进行性呼吸困难2个月"入院。入院约2个月前,患者无明显诱因出现活动后喘累,表现为床旁稍活动即感明显气促伴呼吸困难。于外院就诊住院完善CTPA(2022年3月11日):双肺下叶部分分支动脉见充盈缺损,双肺支气管管壁增厚并支气管轻度扩张。肺灌注显像(2022年3月15日):左肺下叶前内基底段肺血流灌注稍减低,右肺中叶外侧段及下叶肺血流灌注减低,考虑肺栓塞可能。四肢超声:四肢动静脉未见血栓征象。心脏超声:心脏各腔室大小正常,肺动脉主干未见增宽,三尖瓣微量反流,左室舒张和收缩功能正常,室壁未见典型节段性运动异常。考虑呼吸困难为肺栓塞所致可能,诊断为"肺栓塞(低危组)、支气管扩张伴感染、呼吸衰竭"后予以标准抗凝、解痉平喘、抗感染、祛痰等治疗数周,患者喘累症状稍许缓解但仍明显存在。复查CTPA(2022年4月2日):右下肺动脉部分小分支栓塞可能,余双肺动脉及静脉未见异常。住院期间,患者开始出现口腔黏膜多处溃烂及口唇部疱疹,仍伴活动后明显呼吸困难,需依赖持续呼吸支持。完善天疱疮抗体:抗桥粒芯蛋白1抗体、抗桥粒芯蛋白3抗体阳性,BP 180抗体及BP230抗体均阴性。请多学科会诊后修正诊断为"肺栓塞、支气管扩张伴感染、Ⅰ型呼吸衰竭、天疱疮",主要治疗方案为泼尼松25 mg qd口服、口腔局部治疗、抗凝、抗病毒。患者呼吸困难症状有所缓解后出院,嘱继续家庭氧疗,院外口服达比加群酯110 mg bid及泼尼松25 mg qd维持。随访诉平日稍活动仍感喘累。2022年4月17日患者呼吸困难再次加重,急诊入我院呼吸与危重症医学科监护室住院。复查CTPA(2022年4月17日):肺动脉显影不佳,主干及左右肺动脉及主要分支管腔内无明显充盈缺损征象,双肺支气管扩张,左肺上叶见后端少许炎症。血气分析提示Ⅱ型呼吸衰竭。心电图、心脏超声、D二聚体等均未见明显异常。口腔溃烂仍存在,见下唇肿胀,表面有皮损及白斑,伴疼痛不适。口腔黏膜组织病理提示鳞状上皮增生,见上皮内疱,炎性渗出物伴大量中性白细胞浸润。诊断"Ⅱ型呼吸衰竭、天疱疮、支气管扩张伴感染、肺栓塞?"。生育史:育有1子,3女,发病数月前刚生产双胎。既往史、家族史无特殊。
查体:体温36.9℃,脉搏155次/分,呼吸33次/分,血压157/84 mmHg,SPO2 80%(未吸氧),95%(氧疗后)。查体一般情况可,喘累明显,神志清晰,对答切题。口腔黏膜糜烂(图1),四肢指端皮肤发红伴脱皮。杵状指明显。全身淋巴结未扪及肿大。颈软,气管居中,颈静脉无怒张,肝颈征阴性,胸廓未见异常,双肺呼吸音清,双肺闻散在哮鸣音,无湿啰音,心律齐约155次/分,心浊音界正常,各瓣膜区未闻及病理性杂音。腹部及双下肢查体未见异常。


放射影像学检查
CTPA 2022年3月11日:双肺下叶部分分支动脉管腔内见充盈缺损影;双肺支气管管壁增厚,考虑支气管炎,支气管轻度扩张;双肺上叶数个磨玻璃结节灶;永存左上腔静脉。
CTPA 2022年3月15日:肺灌注显像:左肺下叶前内基底段血流灌注稍减低;右肺中叶外侧段、右肺下叶肺血流灌注减低,考虑肺栓塞可能。
CT 2022年3月24日:右侧永存上腔静脉。双肺支气管扩张,右肺下叶后段部分支气管内黏液栓形成可能性大,右肺上叶及左肺多发微结节,考虑增殖灶。
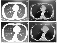
CTPA 2022年4月17日:肺动脉显影不佳,主干、左右肺动脉及其主要分支管腔无明显充盈缺损征象,双肺支气管扩张,左肺上叶尖后段少许炎症(图2)。


CT 2022年6月6日:双肺支气管扩张较2022年4月22日相仿。左肺上叶尖后段小结节考虑炎性肉芽肿,较前新增,原双肺炎症已吸收(图3)。
自身免疫相关检查:天疱疮抗体:抗桥粒芯蛋白1抗体阳性。抗桥粒芯蛋白3抗体阳性。BP180抗体及BP230抗体阴性。ANA抗着丝点抗体阳性(++,1:320胞浆纤维型)。体液免疫、心磷脂抗体,ANCA、肌炎抗体,类风湿关节炎相关因子、血沉、尿常规、肌酶谱均为阴性。
血液检查:血气反复提示Ⅱ型呼吸衰竭,血乳酸正常,血常规及白细胞及中性粒细胞升高为主,肝肾功,电解质、G实验、GM实验、PCT、癌谱、D二聚体未见明显异常。
心脏检查:心脏超声:心脏各腔室大小正常,肺动脉主干未见增宽,左室舒张和收缩功能正常,室壁未见典型节段性运动异常,估算肺动脉压力正常;心电图为窦性,心动过速。
肺功能:通气功能:极重度混合性通气功能障碍;残气功能:残气占肺总量显著增高;弥散功能中度下降;最大呼气流速容量曲线各项均有显著降低,呼吸阻力,呼吸总抗阻,总气道阻力,周边气道阻力均有增高。
膈肌功能:膈肌动度1.8 cm,增厚变异度23%,提示无膈肌功能障碍表现。
骨穿:骨髓增生活跃。
气管镜:镜下所见未见明显异常,灌洗液送检NGS未见明显异常。
对患者近半年诊疗过程中主要检查结果进行总结及分析,患者核心症状为持续呼吸困难,胸部影像学检查提示发病早期的确存在少许肺栓塞征象,初期考虑肺栓塞为呼吸困难的主要病因,但经过治疗后,在肺栓塞征象已消失且D二聚体结果基本正常情况下,呼吸困难并未相应缓解,仍然存在明显气促和呼吸衰竭,且血气分析从早期的Ⅰ型呼吸衰竭逐步变为Ⅱ型呼吸衰竭,不排除呼吸肌的逐步疲劳可能,进一步证明主要病因并非肺栓塞。常见的呼吸困难症状通常为肺部疾病(气道、肺实质、血管、胸膜等)、心功能不全、贫血、神经肌肉病变等疾病首发表现,病因复杂,临床鉴别为难点。该患者有4~8周以上的慢性呼吸困难、呈持续性,程度重,上述全面的检查证据并不支持包括肺部感染、肺血管疾病、慢性气道疾病如COPD或哮喘,胸膜疾病、间质性肺疾病,心衰、或神经肌肉如膈肌功能障碍所导致的呼吸困难。众多检查结果中,少数阳性结果包括胸部CT提示持续存在的支气管扩张,但支气管扩张程度、伴发的感染及痰潴留征象并不重,同临床所见的相似程度的支气管扩张患者存在的呼吸困难程度极为不匹配,因此考虑支气管扩张所导致的肺功能损害或许参与患者呼吸困难,但绝不是主要病因。支气管镜及灌洗病原学同样不支持感染(包括真菌)为其病因。因此,对常见呼吸困难病因进行排除后,结合患者既有天疱疮的诊断,需警惕此病例症状是否与天疱疮有关,即需证明是否为以天疱疮的一类少见亚型闭塞性细支气管炎(bronchiolitis obliterans,BO)特征的肺部受累为特征的PNP所致难以解释的呼吸困难。闭塞性细支气管炎由多种病因所致,其HRCT的典型表现可有肺密度下降的斑片影,伴随着血管口径的减少,即马赛克式灌注或马赛克式减低。且在疾病进展的患者,常会有支气管扩张的征象,CT表现为气道壁的增厚和口径的扩张。因此,考虑这位患者CT的双肺支气管扩张为BO所致可能性大。
1)天疱疮 依据:口腔、皮肤黏膜受累,天疱疮抗体阳性,口腔黏膜组织病理提示口腔鳞状上皮增生,见上皮内疱,炎性渗出物伴大量中性白细胞浸润。皮肤科会诊后考虑天疱疮诊断。类别需考虑寻常型天疱疮,但因合并呼吸困难症状,副肿瘤天疱疮亦不可除外,建议完善皮肤活检。
2)呼吸困难待查
①副肿瘤性天疱疮合并闭塞性细支气管炎 依据:患者天疱疮基础,以口腔、皮肤黏膜广泛受累起病,病程中逐步出现难以逆转的呼吸困难,肺功能提示极重度混合性通气功能障碍,故本案例我们最倾向于此诊断。
②肺栓塞 依据:外院CTPA及灌注显像提示少量分支肺栓塞表现,给予抗凝治疗后复查CTPA未探及肺栓塞证据,双下肢静脉无血栓形成,但仍存在呼吸困难,故无法用肺栓塞完全解释。
③呼吸衰竭 依据:患者有呼吸困难症状,多次血气分析达到呼吸衰竭标准。
④支气管扩张 依据:胸部CT提示双肺支气管扩张影像表现。
⑤结缔组织疾病合并闭塞性细支气管炎? 依据:青年女性,以呼吸困难入院,除ANA 1:320胞浆纤维性(+)外,ANCA、磷脂相关抗体、肌炎抗体谱、类风湿关节炎相关抗体、血常规、尿常规、肌酸激酶、体液免疫均正常。HRCT未见肺间质病变。结缔组织疾病诊断尚缺乏证据支持。
①皮肤科:考虑副肿瘤天疱疮合并闭塞性细支气管炎可能,该病治疗预后较差,合并肺部系统损害时治疗较困难,建议可予以利妥昔单抗联合泼尼松。用药时需关注有无过敏反应,建议用药前使用NSAIDs联合苯海拉明预处理。
②风湿免疫科:患者以呼吸困难入院,除ANA 1:320胞浆纤维性(+)外,ANCA、磷脂相关抗体、肌炎抗体谱、类风湿关节炎相关抗体、尿常规、肌酸激酶、体液免疫均正常。HRCT提示支气管扩张未见明确间质病变。患者呼吸困难考虑与闭塞性细支气管炎相关,原因不清楚,不排除结缔组织病出现闭塞性细支气管炎可能。虽ANA(+)需考虑结缔组织病,但患者炎症指标及活动性指标正常,诊断仍缺乏证据。
利妥昔单抗200 mg iv st,每两周一次,两次后改为每半年一次。联合泼尼松50 mg口服qd,根据病情缓解程度缓慢减量。辅以补钙、护胃等预防激素副反应。加用丙种球蛋白提供额外免疫调节作用。皮肤科门诊规律随访。
患者长期使用免疫抑制剂,合并广泛皮肤黏膜皮损,已加用广谱抗生素及真菌药物抗感染治疗。
加用大环内酯类抗生素进行免疫调节,支气管舒张剂改善通气,辅助呼吸机改善呼吸衰竭。
患者于2022年5月开始已经过两周期利妥昔单抗治疗,联合规律口服激素超1个月,现呼吸困难和呼吸衰竭程度较前明显好转,活动耐量明显提升,口腔糜烂和皮损已愈合。按计划拟间断利妥昔单抗联合持续泼尼松治疗(目前疗程尚不足),择期再次完善皮肤活检,并告知密切关注并门诊随访筛查肿瘤。
天疱疮是一组以皮肤棘层松解为特征、可威胁生命的水疱性疾病,分4种主要类型:寻常型天疱疮、落叶型天疱疮、IgA天疱疮和副肿瘤性天疱疮(paraneoplastic pemphigus,PNP)。其中,PNP为一种罕见类型的自身免疫性皮肤黏膜疾病,患者可表现为重度糜烂性口炎、多形性皮肤病损、淋巴网状内皮细胞、恶性肿瘤,以及闭塞性细支气管炎(bronchiolitis obliterans,BO)特征的肺部受累。
副肿瘤性天疱疮可继发于肿瘤,典型的临床特征之一是重度糜烂性口炎,几乎半数患者的最初疾病表现是口腔黏膜糜烂。此外还包括多形性皮肤病损,最常见的皮肤表现是松弛性或紧张性大疱、苔藓样丘疹或斑块、靶形皮损及糜烂。皮肤外表现包括眼部并发症、肌无力、重症肌无力,以及以闭塞性细支气管炎为特征的严重气道病变。其中闭塞性细支气管炎是PNP引起的严重而少见的并发症,常表现为进行性加重的呼吸困难,治疗效果和预后极差,绝大多数患者最终死于呼吸衰竭[1]。约84%的PNP与淋巴网状内皮细胞恶性肿瘤或淋巴细胞增生性疾病相关,其中非霍奇金淋巴瘤是最常见的相关疾病,其次是慢性淋巴细胞白血病和淋巴结增生症。约2/3的患者恶性肿瘤的诊断通常早于PNP诊断[2]。然而,一项研究纳入104例临床和免疫学表现符合PNP的患者,发现12例患者未发现可识别的肿瘤[3]。因此,当患者疑似PNP但无已探查的恶性肿瘤病史时,需进行恶性肿瘤的筛查与随访。与闭塞性细支气管炎表现相符的、威胁生命的限制性细支气管炎为PNP肺部受累严重的表现之一。在一项纳入17例PNP患者的回顾性研究中,18%患者具有限制性细支气管炎[4],在另一项纳入了28例淋巴结增生症相关PNP患者的病例系列研究中,93%患者存在肺部受累[5]。闭塞性细支气管炎易出现与胸部影像学所见不匹配的呼吸困难,肺功能提示明显阻塞性通气障碍。其发病机制目前尚不明确,可能原因包括PNP患者肺部上皮的棘层松解、混合性炎症细胞浸润及抗体沉积等[6]。研究显示,支气管上皮细胞的血小板溶素作为免疫靶点使细胞脱落碎片堵塞末梢肺泡囊[7],抗epiplakin抗体可能是PNP患者肺部受累的标志物及致病机理之一[8],但相关研究尚不明确。作为一种罕见病,针对该病的病理研究与治疗手段有限,故循证医学证据并不充分。目前,免疫抑制治疗为治疗的核心。泼尼松(1 mg/kg)可改善皮肤黏膜损害,并建议尽快使用利妥昔单抗联合治疗。在疾病有效控制的维持治疗中,泼尼松在耐受范围内缓慢逐渐减量。对于接受上述方案后仅部分缓解或在泼尼松逐渐减量期间疾病加重的患者,可加用一种免疫抑制剂,如吗替麦考酚酯或硫唑嘌呤。必要时使用免疫球蛋白提供额外的免疫调节作用。
综上所述,本例以天疱疮皮肤黏膜损害为表现,并以严重呼吸困难为核心主诉就诊,诊疗过程复杂曲折。患者在数月前刚完成双胎生产,初期以天疱疮起病,考虑为罕见亚型副肿瘤性天疱疮所致的闭塞性细支气管炎为特征的肺部受累。病程中,闭塞性细支气管炎及其所致的支气管扩张、进一步的肺功能损害,以及不排除与妊娠过程相关的肺栓塞共同加重了核心症状呼吸困难。在经过抗凝、抗感染、免疫抑制、免疫调节及呼吸支持等治疗后,症状明显缓解,可逐步脱机改为鼻导管氧疗,氧合及活动耐量明显提高。因PNP合并BO属于罕见病,呼吸科医师通常以排除法为主要诊断思路,当临床证据不支持常见的心、肺、神经肌肉及其他系统所致的呼吸困难后,联合多学科诊疗逐步推进,令本病最终能以"一元论"解释。虽然PNP常与恶性肿瘤伴行,但本病例经过癌谱、骨穿、胸腹部增强CT等检查后未发现肿瘤证据,不排除肿瘤尚早期未被上述手段探及可能,或属于少见的未合并肿瘤的PNP病例。故患者在未来的随访中重点关注肿瘤相关筛查,并完善手足皮肤破损处的皮肤活检并行免疫荧光法显微镜检查进一步证实病理学证据。虽然患者仍在住院期间,且因自身原因尚未完善皮肤活检行病理学确诊,但现有临床证据仍支持PNP合并BO的诊断。本案例旨在提供1例少见的以呼吸困难合并多发皮肤黏膜受损的案例,指导多学科医师不断在诊疗过程中开拓视野,拓宽思维,不断完善诊疗水平。
袁颖,陈亚娟,吴金星,等.伴严重呼吸困难的天疱疮1例[DB/OL].中国临床案例成果数据库,2022(2023-04-13).http://journal.yiigle.com/LinkIn.do?linkin_type=cma&DOI=10.3760/cma.j.cmcr.2023.e01106.
所有作者均声明本研究不存在利益冲突





















