
患者,男,65岁。发现左颌下肿物半年,无明显症状,于2个月前肿物增大,当地医院行颈部彩超提示左侧颌下腺内及颌下多发淋巴结肿大;左侧颈部多发淋巴结肿大;右侧颈部及右侧颌下多发淋巴结存在。患者于2020年5月25日就诊于本院。
于左侧颌下可触及数枚大小1.0 cm~3.0 cm的实性肿物,相互融合,边界尚清。
查血常规,外周血,淋巴结切除活检,免疫组化检查及FISH检测,最终诊断为滤泡性淋巴瘤(FL)Grade3B(高级别FL Bcl-2、Bcl-6、C-myc基因重排)。
入院后行左颌下淋巴结切除术,术后给予R-CTOEP方案(利妥昔单抗、环磷酰胺、长春地辛、多柔比星脂质体、依托泊苷、氢化泼尼松),R-EPOCH方案(利妥昔单抗、依托泊苷、氢化泼尼松、长春新碱、环磷酰胺、阿霉素)化疗,同时辅以保肝止吐药。
患者末次出院行PET/CT评估疗效为CR,后经电话随访,患者目前生存状态佳。
病理科;血液科
版权归中华医学会所有。本文为遵循CC-BY-NC-ND协议的开放获取文章。
滤泡性淋巴瘤(follicular lymphoma,FL)起源于生发中心B细胞,在我国占所有非霍奇金淋巴瘤的4%~8%,大部分患者存在Bcl-2重排的遗传学改变[1]。FL组织学分级根据中心母细胞/高倍视野的平均数量分级为1、2、3A和3B,其中FL1-3A级为惰性类型,也有文献认为FL-3A级的治疗应个体化。而FL-3B级被认为是侵袭性淋巴瘤,其应按弥漫大B细胞淋巴瘤进行治疗[2]。本文报道1例伴Bcl-2、Bcl-6及C-myc基因重排的FL,旨在提高对本病的认识。
患者,男,65岁。发现左颌下肿物半年,无明显症状,于2个月前肿物增大,当地医院行颈部彩超提示左侧颌下腺内及颌下多发淋巴结肿大;左侧颈部多发淋巴结肿大;右侧颈部及右侧颌下多发淋巴结存在。患者于2020年5月25日就诊于本院。行体格检查于左侧颌下可触及数枚大小1.0 cm~3.0 cm的实性肿物,相互融合,边界尚清。患者既往体健。入院后于2020年5月29日在全麻下行左颌下淋巴结切除术。
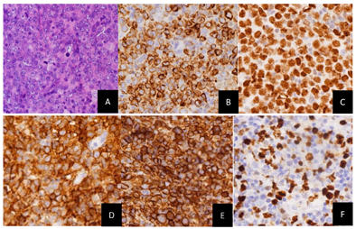
病理检查:送检不整形组织一块,大小3.0 cm×2.0 cm×1.5 cm,沿最大径打开,切开见一结节,结节直径2 cm,结节切面灰白、质软,与周围组织界不清。镜下观察:淋巴结正常结构消失,代之以大小不等的结节,结节内大淋巴样细胞弥漫分布。免疫表型:CD3(−)、CD20(+)、CD10(+)、Bcl-2(+)、Bcl-6(+)、CD21(滤泡树突状细胞+)、Ki67(阳性指数约50%)、MUM1(−)、CD30(−)、p53(部分+)。分子病理结果:EBER(−)、Bcl-2基因重排、Bcl-6基因重排、C-myc基因重排(图1)。


病理诊断:FL Grade3B(高级别FL伴Bcl-2、Bcl-6、C-myc基因重排)。
患者入院完善各项检查后,于2020年5月29日全麻下行左颌下淋巴结切除术,术后1周后行R-CTOEP方案(利妥昔单抗、环磷酰胺、长春地辛、多柔比星脂质体、依托泊苷、氢化泼尼松)化疗1个周期,并行腰穿鞘注化疗1次,化疗效果佳,肿大淋巴结较前明显缩小,未出现明显的不良反应。2020年8月5日入院后给予R-EPOCH方案化疗1个周期,并行腰穿鞘注化疗1次。2020年8月5日入院后行颈胸腹盆PET/CT评估疗效为CRu(未确认的完全缓解),随后行R-EPOCH方案化疗1个周期,并行腰穿鞘注化疗1次。2020年9月7日入院后行PET/CT评估疗效为CMR(完全代谢缓解),给予R-EPOCH方案化疗1个周期,并行腰穿鞘注化疗1次。之后分别于2020年9月29日、2020年10月26日行R-EPOCH方案化疗2个周期。2020年11月23日入院后行PET/CT评估疗效为CMR,之后行R-EPOCH方案化疗1个周期。2021年1月4日入院后给予R-CTOP方案化疗1个周期。2021年3月23日入院行PET/CT评估疗效为CR(完全缓解),之后给予利妥昔单抗维持治疗1个周期。随后分别于2021年7月6日、2021年10月26日、2022年2月17日及2022年6月21日行利妥昔单抗巩固治疗。
患者术后确诊后行8个周期的化疗、1个周期利妥昔单抗维持治疗及4个周期利妥昔单抗巩固治疗,行PET/CT评估疗效为CR,后经电话随访,患者目前生存状态佳。
FL是生发中心B细胞发生的淋巴瘤,FL的诊断主要基于包括形态学和免疫组化检查在内的组织病理学检查,必要时参考流式细胞术及细胞遗传学检查结果,FL肿瘤细胞表面表达泛B细胞的标志物。免疫组化检查常选用CD20、CD3、CD5、CD10、Bcl-2、Bcl-6、CD21、CD23、cyclin D1。此外,对于FL-3级的患者,要检查MUM-1,MUM-1/IRF4常见于FL-3B级或FL伴DLBCL转化患者,常累及韦氏环,临床表现为侵袭性,但对化疗反应良好[2]。在日常工作中,完整切除的淋巴结组织,常由于固定时组织未切开,使淋巴结中央固定不佳,结构不清,影响免疫组化的表达效果,对诊断造成了困扰,因此对于完整切除的淋巴结组织,应当充分切开后进行固定。对于无法进行切除活检的病例,应进行粗针穿刺活检以明确病理诊断。本例患者老年男性,入院后行淋巴结切除术,肿物呈结节状生长,术中冰冻考虑非霍奇金淋巴瘤可能性大,随后进行石蜡切片,完善免疫组化检查,镜下示淋巴结正常结构消失,代之以大小不等的结节,结节内大淋巴样细胞弥漫分布。结合免疫组化结果,提示大细胞为生发中心B细胞来源,CD21免疫标记提示部分区域滤泡树突状细胞残留,诊断非霍奇金淋巴瘤,倾向高级别FL。随后我们又进行了Bcl-2、Bcl-6及C-myc FISH检测,结果显示,Bcl-2基因重排、Bcl-6基因重排、C-myc基因重排,最终经全科会诊,诊断FL Grade3B(高级别FL伴Bcl-2、Bcl-6、C-myc基因重排)。
Bcl-2、Bcl-6及myc FISH检测有利于双重打击淋巴瘤(double-hit lymphoma,DHL)及三重打击淋巴瘤(triple-hit lymphoma,THL)的检出,研究表明myc、Bcl-2和Bcl-6共同重排增加了其对标准化疗方案的耐药性。另一项研究表明,对于DHL/THL患者,R-CHOP组的2年和4年无进展生存率分别为40%和28%,而强化化疗组为57%和52%(P=0.063),总生存率(OS)无差异,由此可见强化诱导方案可以使其获得更好的无进展生存(PFS),但对总生存(OS)无明显改善,因此对所有侵袭性B细胞淋巴瘤进行FISH检测是值得提倡的[3,4]。THL较为罕见,研究表明,大多数THL病例,对常规化疗反应差,90%以上的患者治疗后进展为复发难治性疾病,OS率很低,因此能够及时检出THL,对于患者的预后预测及治疗方案的选择具有重要意义。但值得一提的是尽管同时存在Bcl-6重排,但THL患者的预后仍与myc/Bcl-2 DHL患者相似[5]。有研究发现,R-DA-EPOCH与R-CHOP方案相比完全应答率更高,可以显著降低疾病进展率,且不良反应也比其他强化诱导方案小,因此许多研究中心将本方案作为DHL/THL的首选诱导方案[6]。
FL很少出现myc、Bcl-2和/或Bcl-6重排,称为双打击滤泡性淋巴瘤(double-hit follicular lymphoma,DHFL)或三打击滤泡性淋巴瘤(triple-hit follicular lymphoma,THFL)。1992年,Yano等[7]首次报道了1例DHFL,在1例非转化FL患者中偶然发现了myc重排。研究发现,与其他细胞遗传学改变相比,诊断时myc基因重排或myc基因扩增与总生存率在统计学上呈负相关[8]。并且在治疗方面,Miao等[9]描述了7例晚期DHFL患者,其中一半患者接受了与DHL方案相似的治疗方案,如da-EPOCH-R方案,结果表明,此类患者对治疗有更好的反应,与接受R-CHOP或其他用于治疗低级别或惰性淋巴瘤的方案的患者相比,获得完全缓解的可能性更大。有研究认为,DHFL的预后比经典FL更差,因此有必要对此类患者进行明确诊断,并进行进一步研究[10]。我们建议在FL的诊断过程中进行Bcl-2、Bcl-6及myc FISH检测。本例患者经FISH检测,确诊为FL Grade3B(高级别FL伴Bcl-2、Bcl-6、C-myc基因重排),于手术治疗后行R-CTOEP方案1个周期、R-EPOCH方案6个周期、R-CTOP方案1个周期及利妥昔单抗5个周期。末次出院时患者一般状况佳,KPS评分80分,经电话随访,患者目前生存状态佳。
综上所述,在日常工作中,FL的诊断主要基于形态学和免疫组化检查,FL很少出现myc、Bcl-2和/或Bcl-6重排,其预后比经典FL更差,对于此类病例,我们应该尽早作出明确诊断,因此,对于FL患者,建议普遍进行Bcl-2、Bcl-6及C-myc FISH检测,这将有助于准确地诊断和精准的治疗。
张红玲,白中元,郗彦凤.伴Bcl-2、Bcl-6及C-myc基因重排的滤泡性淋巴瘤1例[DB/OL].中国临床案例成果数据库,2023(2023-04-18).http://journal.yiigle.com/LinkIn.do?linkin_type=cma&DOI=10.3760/cma.j.cmcr.2023.e01153.
所有作者均声明本研究不存在利益冲突




















