
患者,女性,16岁,主诉前牙不能咬合1+个月,现要求矫治。患者自述1+个月前因右侧关节弹响就诊于我院颞下颌关节外科,X线检查及单光子发射计算机断层扫描检查提示"左侧髁突骨质代谢异常活跃",诊断为"活跃型左侧髁突肥大(垂直型)"。后全麻下行"左侧髁突肥大高位切除术+阻生牙拔除术"。现关节症状稳定,自觉前牙不能咬合,要求正畸矫治。
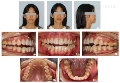
患者自然状态下面部不对称,颏部右偏,面上、中、下比例约为1:1:1.4;侧面观为凸面型,颏唇沟浅、均角。以颏部正中与面中线对齐为标准,口内检查左侧磨牙早接触,前牙及对合牙开合;左侧上后牙及右下后牙代偿性舌倾,左侧后牙反合、右侧后牙正锁合;尖磨牙关系左侧Ⅱ类、右侧Ⅲ类,上、下中线相对面中线各右偏1.5 mm,左偏6 mm。曲面断层X线片未见明显牙槽骨吸收,未见18、28、38、48。锥体束计算机断层扫描显示左侧髁突切除术后断面平整,关节间隙增大;右侧髁突形态不佳,骨皮质连续,关节前、上、后间隙约为1:1:2;各牙根骨关系未见明显异常。头颅侧位X线片测量数据:SNA角81.8°,SNB角80.6°,ANB角1.2°,FH-MP角36.9°,PP-GoGn角29.8°。
口腔检查、影像学检查。
患者选用隐形矫治器。以患者颏部正中与面中线对齐为标准建立初始咬合,排齐上下牙列,种植钉辅助压低左上后牙,解决前牙及对合牙开合,通过咬合跳跃达到双侧尖磨牙I类咬合关系。建议患者定期于颞下颌关节外科复诊复查。
隐形矫治后患者自然状态下面部未见明显偏斜。口内检查前牙达到正常覆合覆盖,双侧尖磨牙I类咬合关系,具有前牙及尖牙保护合。曲面断层X片显示牙根平行度尚可。锥体束计算机断层扫描显示左侧关节间隙减小,髁突术后截面骨皮质连续;各牙根尖均位于松质骨内。正畸术后2年随访记录显示疗效稳定。
口腔正畸科;口腔全科;口腔正颌外科
版权归中华医学会所有。本文为遵循CC-BY-NC-ND协议的开放获取文章。
单侧髁突肥大(Unilateral condylar hyperplasia, UCH)是髁突一种自限性、进行性、非肿瘤性的过度生长[1]。临床上表现为颏部偏斜、牙齿代偿性改变,并有诱发颞下颌关节紊乱病可能[2]。目前诊断UCH最为成熟的影像学诊断方法是单光子发射计算机断层扫描(Single photon emission computed tomography,SPECT)[3]。活跃型UCH常需手术切除过度生长的髁突,术后患侧后牙接触,前牙及对合牙呈开合状。本文报道1例隐形矫治器辅助种植钉矫治UCH术后开合病例,旨在为该疾病的正畸治疗提供一定参考。
患者,女性,16岁,主诉前牙不能咬合1+月,要求正畸矫治。患者自述1+个月前因右侧关节弹响不适就诊于我院颞下颌关节外科,行X线检查和SPECT检查后诊断为"活跃型左侧CH(垂直型)",住院行"左侧CH高位切除术+阻生牙拔除术",术后前牙不能咬合。现关节无明显不适,遂至正畸科就诊,要求矫治前牙开合。
(1)关节术前X线检查:曲面断层X线片显示左侧下颌较右侧在三维方向上增大,左侧髁突颈较右侧更为细长,左侧下颌升支较右侧长约4 mm。头颅三维重建可见颏前点相对于面中线右偏3.5 mm;双侧下颌体界限不对称。锥体束计算机断层扫描(CBCT)显示双侧颞下颌关节闭口位时,右侧关节前、后、上间隙等大,右侧髁突骨质吸收,形态短小,骨质轻度硬化;左侧关节前间隙增大,髁突头体积增大。SPECT检查结果显示左侧髁突放射性密度增高,左侧髁突同位素摄取百分率约为60.1%。综上,满足"活跃型左侧CH(垂直型)"的诊断特征[4,5](图1)。


(2)正畸术前颞下颌关节临床检查:患者开口度为4.0 mm,开口右偏,张闭口耳前区无弹响、疼痛;左侧髁突动度较右侧为大;双侧咀嚼肌收缩协调。
(3)正畸术前面部检查:患者自然状态下面部不对称,颏部右偏,面上、中、下比例约为1:1:1.4;侧面观为凸面型,颏唇沟浅、均角。
(4)正畸术前口内检查:以颏部正中与面中线对齐为标准,左侧磨牙早接触,前牙及对颌牙开合约3 mm;左侧上后牙及右下后牙代偿性舌倾,左侧后牙呈反合、右侧后牙覆盖过大,14、15、16与45、46、47间呈正锁合;尖磨牙关系左侧Ⅱ类、右侧Ⅲ类,上、下中线相对面中线各右偏1.5 mm,左偏6 mm;26颌面龋、36、46颌面大面积充填物(图2)。


(5)正畸术前X线检查:自然头位下,曲面断层X线片未见明显牙槽骨吸收,未见18、28、38、48。头颅三维重建可见颏部明显右偏。CBCT显示左侧髁突术后断面平整,关节间隙增大;右侧髁突形态不佳,骨皮质连续,关节前、上、后间隙约为1:1:2;各牙根-骨关系未见明显异常。头颅侧位X线片测量数据:SNA角81.8°,SNB角80.6°,ANB角1.2°,FH-MP角36.9°,PP-GoGn角29.8°(图3,表1)。



患者治疗前后头影测量分析
患者治疗前后头影测量分析
| 测量项目 | 正常值 | 正畸术前 | 正畸术后 |
|---|---|---|---|
| SNA(°) | 82.8±4.0 | 81.8 | 80.5 |
| SNB(°) | 80.1±3.9 | 80.6 | 78.6 |
| ANB(°) | 2.7±2.0 | 1.2 | 1.9 |
| FH-MP(°) | 29.0±4.0 | 36.9 | 35.0 |
| PP-GoGn(°) | 21.0±4.0 | 29.8 | 29.43 |
| L1-MP(°) | 93.9±6.2 | 83.89 | 86.28 |
| U1-NA(°) | 24.0±6.0 | 24.8 | 26.03 |
| U1-L1(°) | 121.0±9.0 | 127.7 | 125.5 |
(6)正畸术前模型分析:上颌牙列拥挤度3 mm,下颌牙列拥挤度5 mm;Bolton比:前牙比79.6%,全牙比92.2%;Spee曲线曲度1.5 mm;上牙弓后段宽度46.8 mm,下牙弓后段宽度41.0 mm(图4)。


1.面部不对称;2.骨性I类;3.安氏Ⅲ类;4.I度开合; 5.左侧后牙反合,右侧后牙正锁合;6.上下牙列I度拥挤;7.26龋,36、46牙体缺损
(1)治疗目标
1.纠正患者面部偏斜,改善面容美观;2.纠正前牙及右侧后牙开合,纠正右侧后牙正锁合及左侧后牙反合;3.排齐整平牙列;4.获得理想的咬合关系。
(2)治疗计划
患者选择隐形矫治器。以患者颏部正中与面中线对齐为标准建立初始咬合,排齐上下牙列,左上颊、腭侧种植钉辅助压低左上后牙,解决前牙及对颌牙开合,通过咬合跳跃达到双侧尖磨牙I类咬合关系。建议患者定期于颞下颌关节外科复诊复查。
(3)治疗过程
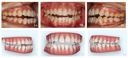
①以颏部正中与面中线对齐为基准建立初始咬合(图5)。


②隐形矫治方案细节及目标位置的确立
2.1双侧磨牙颌间牵引+左上及右下后牙舌侧椭圆附件辅助纠正左侧后牙反合、右侧后牙正锁合。
2.2左上颊、腭侧种植钉辅助下压低左上后牙,通过咬合跳跃,解决前牙及右侧后牙开合,达到双侧尖磨牙I类咬合关系(图6)。


③正畸治疗中
3.1第一版方案40副矫治器
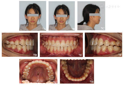
左上颧牙槽嵴处植入一枚2.0 mm×12 mm种植钉,26、27腭侧对应腭中线中点处植入一枚1.4 mm×10 mm种植钉。16颊侧、25舌侧、36颊侧、46舌侧粘接舌侧扣。教会并嘱咐患者戴用牙套时挂用弹性皮筋:16、46舌侧扣间,25、36舌侧扣间使用1/4大小1/2Oz皮筋;左上颊、腭侧种植钉间使用5/16大小1/2Oz皮筋,强调皮筋需横跨26、27矫治器合面,辅助压低左侧上后牙。考虑到皮筋的弹力衰减,应在12小时内更换皮筋,每天至少挂用20小时。嘱咐患者戴用牙套进食,通过隐形矫治器的合垫作用去除合干扰。患者佩戴完成40幅矫治器情况如下(图7)。


第一版矫治器佩戴完成后,患者自然头位下左侧后牙反合、右侧后牙正锁合及前牙和右侧后牙开合已经解除,双侧尖磨牙均为I类咬合关系,上下牙列中线基本与面中线一致,颏部无明显偏斜。但双侧上后牙腭尖下垂,颊侧咬合紧密度欠佳且前牙覆盖小,因此对该患者进行第一次精细调整。
3.2第二版方案20幅矫治器
矫治方案设计33-43各牙近远中邻面片切0.25 mm,关闭前牙散在间隙,达到前牙正常覆合覆盖,双侧后牙重咬合(图8)。


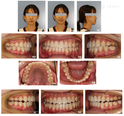
该患者矫治时间共29个月,矫治后患者自然状态下左右面部基本对称,颏部无明显偏斜,面下1/3高度减小,相貌趋向直面型,颏部肌肉放松。口内检查显示,前牙达到正常覆合覆盖,双侧尖磨牙I类咬合关系,上下中线齐,上下牙弓均呈光滑卵圆形,患者具有前牙和尖牙保护合。曲面断层X线片显示矫治后各牙牙根平行度尚可,未见明显牙根及牙槽骨吸收。CBCT显示左侧关节间隙减小,双侧髁突骨皮质连续;各牙根尖均位于松质骨内。矫治后头颅侧位X线片显示:SNA角80.5°,SNB角78.6°,ANB角1.9°,FH-MP角35.0°,PP-GoGn角29.4°,矫治后FH-MP角较术前减小1.9°。矫治前后头颅侧位片X线片重叠图显示下颌稍有逆时针旋转。术后2年随访记录显示患者面部无明显偏斜,咬合关系良好,双侧髁突骨皮质连续光滑,牙齿根骨关系正常,治疗效果稳定(图9,图10,图11,图12,图13,表1)。










UCH分为垂直型、水平型以及混合型,是一种髁突进展性、过度生长性的疾病,11~30岁年龄组人群好发[6]。病程长者可导致关节源性的下颌偏斜,健侧关节出现弹响、疼痛及张口受限等不适,同时患者具有典型的口外及口内特征:下颌向健侧偏斜,双侧口角高低不一,面下1/3高度增加,面型狭长;合平面偏斜,患侧上后牙及健侧下后牙代偿性舌向倾斜,使得健侧后牙对刃甚至反合。UCH的病因及发病机制目前尚不明确,可能与偏侧咀嚼、反锁合、外伤、肿瘤、内分泌紊乱及关节先天畸形等因素有关[7]。对于UCH的诊断,除了临床专科检查外,SPECT因其具有较高的解剖学精度和灵敏度,成为目前诊断UCH最为成熟的影像学诊断方法。当SPECT的检查结果显示患侧髁突的同位素摄取百分率≥55%时,考虑该侧髁突骨质代谢异常活跃[3]。对于活跃型UCH,目前临床上发现采用"髁突高位切除术+术后正畸"能使垂直型及混合型患者获得高质量的美观及功能疗效,然而对于水平型患者,这种治疗方式并不能明显改善面容美观以及咬合关系[8]。"髁突高位切除术+术后正畸"这一联合治疗先通过手术切除过度生长的髁突,术后再进行正畸治疗去除代偿,使髁突回到关节窝,并获得功能咬合,从而促进关节结构的稳定。本病例患者通过临床检查、X线片检查以及SPECT检查后发现,患者具有垂直型UCH的典型特征并且左侧髁突处于过度活跃状态,因此对其诊断为"活跃型左侧CH(垂直型)"。后对患者采取了"左侧CH高位切除术"。术后患者关节症状改善,但面部仍然偏斜,并且前牙及右侧后牙开合,遂至正畸科就诊。
UCH术后面部偏斜患者隐形矫治的重要前提是正确建立初始咬合。须以颏部正中与面中线对齐为标准建立初始咬合,旨在在这种状态下模拟患者终末颏部对齐面中线的状态,准确发现该状态下现存咬合干扰的位点,然后通过隐形矫治器去除牙齿代偿及干扰,并最终达到改善患者面部偏斜的目的。本病例患者以颏部正中与面中线对齐为标准建立初始咬合后发现,前牙及右侧后牙I度开合,左侧后牙反合,右侧后牙正锁合。
UCH术后患者患侧后牙常常早接触,导致前牙及对颌牙开合。近期的研究表明,辅助微种植钉压低磨牙是一种效纠正骨性I类或Ⅱ类患者前牙开合的矫治策略,具有微创、无需患者依从的优点[9]。在本病例中,左上颊腭侧各植入一枚种植钉,辅助弹性橡皮筋跨越隐形矫治器合面直接压低患侧上后牙,避免了传统矫治方式压低后牙时粘接舌侧扣的操作,简化了临床操作,提高了患者的舒适性。当左侧后牙有效压低后,咬合跳跃使患侧髁突向后上旋转,使患侧髁突回到关节窝,达到双侧尖磨牙I类咬合关系。
值得一提的是,隐形矫治器自带的合垫作用尤其适用于UCH术后等具有颞下颌关节病史的患者。有研究表明,合垫有利于去除咬合干扰,减轻关节负荷,促进关节重塑[10]。本病例在第一版矫治方案中,嘱咐患者佩戴牙套进食,一方面在于减轻关节负荷,另一方面在于通过矫治器的合垫效应解除左侧后牙反合及右侧后牙锁合。第一版矫治器佩戴完成后,双侧后牙获得了正常的尖窝锁结关系,并且患者在该过程中未出现任何关节不适。此外,对比正畸前后的关节CBCT可看出,矫治后双侧髁突骨皮质改建得连续光滑。
应该注意的是,在合垫效应下,隐形矫治器压低后牙的效果显著[11],此外颊侧附件的设计使后牙颊侧受力大于腭侧,导致后牙出现颊侧压低,腭尖下垂的情况,因此隐形矫治结束后后牙咬合常不十分紧密。针对本病例出现的这一现象,我们进行了精细调整,设计方案为双侧后牙达到重咬合,并嘱咐患者进食时取下牙套,辅助后牙伸长,最终达到良好的矫治效果。正畸术后2年随访记录提示,患者面部无明显偏斜,咬合关系良好,矫治效果稳定。
彭洁瑞,李云飞,周强,等.隐形矫治器矫治单侧髁突肥大术后患者1例[DB/OL].中国临床案例成果数据库,2023(2023-04-18).http://journal.yiigle.com/LinkIn.do?linkin_type=cma&DOI=10.3760/cma.j.cmcr.2023.e01160.
所有作者均声明本研究不存在利益冲突





















