
患者,女性,38岁。腹腔镜下宫颈癌根治术后13个月,发现阴道残端复发9天。MDT讨论后行阴道残端肿瘤切除+术中放疗术,术后补充EP方案化疗3程及盆腔外照射放疗,后因放疗不良反应停止治疗,末次放疗时间2021年6月29日。
患者一般情况可,心肺腹检查未见异常。妇科检查提示阴道顶部偏右侧可触及约3 cm×3 cm大小结节样肿物,表面光滑;右侧宫骶韧带残端增厚,与肿瘤分界不清。
实验室检查,正电子发射计算机断层显像/计算机断层显像检查,盆腔磁共振成像检查,阴道残端肿瘤穿刺活检病理检查。
全麻下行阴道残端肿瘤切除术+术中放疗术,术后行3程EP方案化疗及盆腔外照射放疗。
2021年6月29日患者治疗结束,遵医嘱定期复查,2022年9月6日末次复查未见明显复发及转移征象。
妇瘤科;放疗科;影像科
版权归中华医学会所有。本文为遵循CC-BY-NC-ND协议的开放获取文章。
宫颈神经内分泌癌(neuroendocrinal carcinoma of cervix,NECC)是一种罕见的子宫颈恶性肿瘤,仅占宫颈癌的1%~3%[1]。因其侵袭性强,早期易出现转移,预后较其他类型宫颈癌差,指南推荐术后进行以EP方案为基础的辅助化疗[2]。术中放疗(intraoperative radiation therapy,IORT)是术中直视下对局部肿瘤组织施行的近距离单次大剂量照射的一种放疗方法。本文报道了1例行阴道残端肿瘤切除+术中放疗术的复发宫颈癌病例,旨在规范宫颈癌的诊疗,同时提高对术中放疗技术的认识,为制订个体化的治疗方案提供更多的选择以及更可靠的理论依据。
患者,女性,38岁,已婚,孕7产2。主诉"宫颈癌"术后13个月,发现阴道残端复发9 d。患者2020年1月因"同房后阴道流血1个月余"就诊于省内某三甲医院,行妇科检查见子宫颈约1.5 cm×1 cm结节样肿瘤,无接触性出血,行阴道镜检查+宫颈活检,病理提示宫颈恶性肿瘤,考虑腺癌。完善相关术前检查后于2020年1月17日在该院行"腹腔镜下广泛全子宫切除+双侧输卵管切除+盆腔淋巴结清扫+双侧卵巢移位+盆腔粘连松解术"。术后病理提示:宫颈恶性肿瘤,结合免疫组化考虑腺癌,部分伴神经内分泌癌,浸润<1/2肌层;(双侧宫旁、颈体交界、阴道壁残端)未见癌;宫腔分泌反应子宫内膜伴息肉;子宫多发性平滑肌瘤;双侧输卵管慢性炎症;淋巴结未见癌转移。手术病理分期:宫颈低分化腺癌伴神经内分泌癌IB1期,术后未行辅助放化疗。患者出院后定期复查,2021年3月6日当地医院超声检查提示阴道残端软组织肿块,遂至我院完善全身正电子发射计算机断层显像/计算机断层显像(positron emission tomography-computed tomography,PET-CT)检查,结果提示"宫颈癌术后":下腹呈术后改变,子宫术后缺如,阴道残端一软组织肿块,伴代谢增高,倾向肿瘤复发。腹膜后、双侧腹股沟多个淋巴结显示,未伴代谢增高,倾向增生性可能。考虑患者"宫颈癌术后复发"收入我院。
患者家族史、冶游史:无特殊。手术史:2020年1月外院行"腹腔镜下广泛全子宫切除+双侧输卵管切除+盆腔淋巴结清扫+双侧卵巢移位+盆腔粘连松解术"。婚育和月经史:结婚16年,孕7产2,已切除子宫。
妇科检查:外阴发育正常,阴毛呈正常女性型分布,大小阴唇无红肿;阴道通畅,壁光滑,阴道残端顶部偏右侧可触及约3 cm×3 cm大小结节样肿物,表面光滑;右侧宫骶韧带残端增厚,与肿瘤分界不清;双侧附件区未及明显异常包块;肛门及直肠黏膜光滑,指套退出无血染。
血神经元特异性烯醇化酶(NSE) 18.18 μg/L,鳞状细胞癌相关抗原(SCC) 1.00 μg/L,CA125 9.21 μg/L。
⑴宫颈癌术后:下腹呈术后改变,子宫术后缺如,阴道残端一软组织肿块,伴代谢增高,倾向肿瘤复发。腹膜后、双侧腹股沟多个淋巴结显示,未伴代谢增高,倾向增生性可能;⑵双侧额扁桃体、舌扁桃体炎症。双侧颈部多个淋巴结显示,部分伴代谢增高,倾向良性;⑶前纵膈片状等低密度影,伴代谢轻度增高,倾向胸腺显示。左侧乳腺上象限一钙化灶;⑷升结肠、乙状结肠、直肠见条片状代谢增高影,CT未见明显占位性病变,倾向炎性可能;⑸脊柱多个椎体退行性改变;右侧耻骨见一低密度影,未伴代谢增高,倾向良性;中轴骨及四肢骨髓腔代谢增高,倾向反应性改变(图1)。


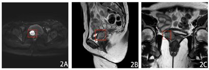
⑴阴道残端增厚并右侧肿块,大小约3.1 cm×2.6 cm,边界欠清,呈长T1长T2信号,扩散加权显著高信号,增强不均匀强化,病灶与临近膀胱及直肠分界尚清,考虑复发可能;⑵右侧髂血管旁囊性结节,大小约2.0 cm×1.4 cm;⑶膀胱、直肠未见确切异常信号。


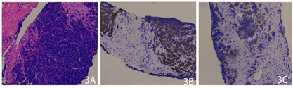
阴道残端肿瘤穿刺活检病理:(阴道壁残端肿块)恶性肿瘤,结合病史,考虑为宫颈癌复发。免疫组化结果:CK(+),Vim(-),Ki-67(+,约60%),L-CK(+),CK5/6(-),Syn(弱+),CgA(-),P63(-)。(阴道壁残端肿块)免疫组化提示低分化腺癌,伴神经内分泌分化(图3)。


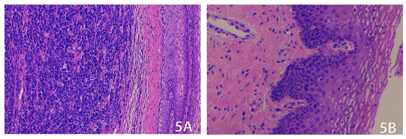
经宫颈癌多学科会诊(multi-disciplinary treatment,MDT)讨论后,建议患者行手术探查,争取完整切除复发灶,同时因肿瘤紧贴膀胱后壁及直肠前壁,术后放疗加量困难,可考虑术中行瘤床放疗,术后加以辅助放化疗。患者入院完善相关检查无明显手术禁忌证,签字同意后于2021年3月23日行手术,术中探查膈顶表面光滑,肝、胆、脾、双肾未及异常,腹膜后未及肿大淋巴结。子宫缺如,右侧输尿管暴露,右侧卵巢位于盆腔内,骨盆漏斗韧带游离约8 cm,左侧卵巢未见。直肠前壁与阴道残端、膀胱后壁粘连紧密,触诊两者之间可及肿物约4 cm×4 cm×3 cm,右侧骶韧带残端条索样增厚延伸至右侧盆壁。遂于全麻下行"复杂的阴道残端肿瘤切除+阴道上段切除+右侧卵巢移位+复杂的肠粘连松解+术中放疗术",术中放疗剂量为20 Gy/1次(图4)。术后病理:(阴道残端及肿瘤)低分化腺癌伴神经内分泌分化;(标本四切缘、基底)镜下未见恶性肿瘤组织(图5)。术后于2021年4月14日、2021年5月8日、2021年8月14日分别行EP方案化疗共3程:依托泊苷140 mg+顺铂105 mg,d1-d3静滴,2021年6月22日开始行盆腔外照射放疗,11.28 Gy/6F,后因呕吐、耳鸣、失眠等不良反应患者要求中止放疗,末次放疗时间为2021年6月29日。




患者治疗结束后无特殊不适,每3个月至我院复查,末次复查时间为2022年9月6日,妇科检查呈术后改变,NSE、SCC未见异常,其余影像学检查均未见明显复发和转移征象(图6)。


患者2020年首次于省内某大型三甲医院诊断为宫颈腺癌IB1期,而2018年国际多中心随机对照临床研究LACC试验[3]表明,对于早期宫颈癌患者(FIGO分期IA2-IIA1期)行手术治疗,选择微创手术患者(腹腔镜或机器人辅助)的复发率明显高于选择开腹手术者,且其无进展生存率(PFS)及总生存率(OS)均明显低于选择开腹手术者。本例患者初始治疗过程接受腹腔镜下宫颈癌根治术,未严格按照国内外指南推荐接受开腹手术治疗。
其二,患者术后病理证实合并神经内分泌癌成分,NECC是一种起源于神经内分泌细胞的罕见子宫颈恶性肿瘤,占宫颈癌的1%~3%[1]。相较于其他常见类型的宫颈癌,NECC具有更强的侵袭性,表现为早期易出现淋巴结转移和远处转移,预后更差。因此指南推荐[2],术后无论是否存在传统的复发高危因素(Peters标准)或中危因素(Sedlis标准或四因素模型),均推荐进行以EP方案为基础的辅助化疗。此外,通过对我院收治的146例NECC患者进行的回顾性病例对照研究提示,术后接受6程EP方案的患者相对于接受4程或更少疗程化疗的患者,其复发率更低,3年及5年总生存率更高。
根据中国肿瘤整合诊治指南(CACA)宫颈癌整合诊治前沿,对于复发性宫颈癌患者,建议行以PET/CT为基础的影像学综合评估。治疗选择相对有限,包括姑息性化疗和支持治疗。但对于局部孤立的复发病灶,可以先行手术再行辅助放疗,手术切除复发病灶可以缓解症状,延长无病生存间隔。本例患者病灶为阴道残端孤立病灶,无远处转移,经影像科、泌尿外科、放疗科多学科会诊后建议行阴道残端肿瘤切除术。但患者复发病灶距离膀胱后壁、右侧输尿管及右侧髂内静脉等重要器官组织近,术后盆腔外照射放疗难以达到根治性剂量,遂于术中完整切除复发肿瘤后对瘤床行一次放疗,以达到增加病灶局部控制率的目的。
术中放疗(intraoperative radiation therapy,IORT)是指在手术切除全部或部分瘤灶后,或经手术暴露不能切除的瘤灶,在术中直视下向瘤床、残留灶、淋巴引流区,给予单次大剂量照射,直接杀死残留的肿瘤细胞,并避开周围正常组织的放疗技术[4]。术中放疗不仅用于原发晚期肿瘤,也可用于各种复发肿瘤的治疗。其优点是定位精确,剂量较高,对周围正常组织和器官加以保护,能有效根除局部肿瘤,改善预后,短期内无严重并发症。周芙玲等[5]通过对94例行术中放疗的宫颈癌患者的回顾性研究发现,术中放疗安全有效,且能够显著提高患者的生存率。同时,文献[6]提示术中单次大剂量照射明显提高了腺癌对放疗的敏感性,也就是说术中放疗对提高宫颈腺癌患者的治疗效果有积极的意义。俞华[7]发现并总结术中放疗疗效较好的因素主要有:①肿瘤未扩散到盆壁;②肉眼肿瘤可以完全切除;③术中放疗可以完全覆盖有复发风险的手术区域;④无放疗史。但Mahe等[8]回顾性分析了70例盆腔复发的宫颈癌患者后发现接受IORT治疗组和对照组患者中位生存时间和局部控制率无统计学差异,IORT的有效性仍需要进一步评估。另一项关于73例复发性宫颈癌行IORT的研究[9],也得出类似的结论。
综上所述,目前国内外对于复发性宫颈癌术中放疗的推荐等级不高,主要原因是病例数较少,缺乏高级别、特别是前瞻性研究的循证医学证据,未来仍需要大规模、多中心、前瞻性的临床研究来验证。
江晓霞,黄雨晴,李政.复发宫颈癌手术联合术中放疗1例[DB/OL].中国临床案例成果数据库,2023(2023-04-19).http://journal.yiigle.com/LinkIn.do?linkin_type=cma&DOI=10.3760/cma.j.cmcr.2023.e01172.
所有作者均声明本研究不存在利益冲突





















