
患者,女性,11岁,因"地包天"6年余来我院就诊,要求矫正。既往体健,否认全身系统性疾病,否认口腔不良习惯,无正畸治疗史,父有类似错合畸形。
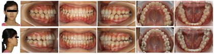
正面观面部不对称,侧面观为凹面型,下颌前突,替牙列,双侧尖磨牙呈近中关系,反覆盖反覆合,Spee曲线深,下颌不能后退至切对切。
治疗前正畸初诊检查包括:模型分析、头颅侧位X光片、全景片、CBCT等诊断为安氏Ⅲ类、以下颌前突为主的骨性Ⅲ类均角患者。
I期功能性矫治:采用新型后牙双斜面导板矫正器(Twin Inclined Plane Appliance, TIPA)进行颌骨生长改良。Ⅱ期隐形矫治排齐整平牙列,协调弓间关系,纠正中线不调,精细调整牙位。
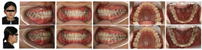
侧貌由凹变直;上下牙排列整齐,牙列无间隙,双侧尖磨牙中性关系,前牙覆合覆盖正常,上下牙弓形态位置关系协调,咬合稳定无干扰。髁突表面发生功能性改建,髁突位置稳定,关节间隙正常。
口腔科;口腔正畸科
版权归中华医学会所有。本文为遵循CC-BY-NC-ND协议的开放获取文章。
骨性Ⅲ类错合按治疗需要分为三型:上颌发育不足型,下颌发育过度型和混合型。目前普遍认为骨性下颌发育过度型比较难治,后牙双斜面导板矫正器(Twin Inclined Plane Appliance, TIPA)是一种适用于以下颌发育过度为主的骨性Ⅲ类青少年患者的新型矫治装置[1]。本文报道一例以下颌发育过度为主的骨性Ⅲ类青少年病例,通过I期TIPA进行颌骨生长改良,Ⅱ期隐形矫治排齐整平牙列,精细调整牙位,成功矫治了患者的Ⅲ类骨面型,并达到良好的咬合。本文旨在提高对骨性Ⅲ类生长发育期患者治疗的认识,介绍并探讨一种新的治疗方法。
患者,女性,初诊年龄11岁,主诉:"地包天"6年余,要求矫正。全身情况良好,否认全身系统性疾病,否认口腔不良习惯,无正畸治疗史,父有类似错颌畸形。
正面观:面部不对称,左侧面颊部较宽,颏点偏左。侧面观:凹面型,面中份略凹陷,下颌前突,颏唇沟浅。
口腔卫生一般,牙龈轻度肿胀,替牙列期,牙列式:
,其中
反覆合反覆盖。双侧尖磨牙近中关系,反覆盖3.7 mm,反覆合3.6 mm。上中线基本对齐,下中线左偏2 mm。上颌牙弓宽度略不足,下前牙舌倾,根形明显,薄龈型。12,22过小牙。舌体,扁桃体,唇舌系带未见明显异常。
开口度、开口型正常,双侧颞下颌关节无疼痛及弹响。
下颌不能后退至切对切。
1.骨性Ⅲ类(下颌前突为主),安氏Ⅲ类,均角;2.骨性偏斜;3.12、22过小牙。
(1)解除前牙反合,阻断畸形发展,协调上下颌骨关系。
(2)改善口颌系统生长发育环境,促进口腔颌面部颌骨及颞下颌关节正常生长。
(1) I期功能性矫治:采用新型后牙双斜面导板矫正器(Twin Inclined Plane Appliance, TIPA)进行颌骨生长改良。
(2)视下颌骨生长发育情况、面型等酌情进入Ⅱ期治疗。Ⅱ期治疗采用固定或隐形矫治器排齐整平牙列,精细调整牙位及咬合。
(1)I期治疗:常规取模,以上下颌骨中线齐为标准颌位记录,制作TIPA,其由带较长倾斜平面的上、下颌合垫组成。患者佩戴TIPA,保证矫治器可以在口内充分固位,嘱患者全天戴用,包括进食与睡眠。(图2)前牙反合解除后分次磨低斜导面以利于后牙建合。TIPA戴用12个月后,前牙覆合覆盖正常,凹面型得到改善,观察随访半年显示,治疗效果稳定,面型尚可,进入Ⅱ期矫治(图3)。




(2)Ⅱ期治疗:前磨牙段开合,前磨牙牙根发育2/3,处于萌出建合中。患者及家属选择无托槽隐形矫治(Invisalign,隐适美,墨西哥)进行治疗。设计对齐上下中线,协调双颌宽度,压低内收上下前牙,并对下前牙进行控根移动。为协调上下前牙区Bolton比,在33-43间设计邻面去釉各0.5 mm。该病例隐形方案设计矫治步骤上下颌均为24步。
矫治器佩戴过程中,要求患者除进食、刷牙摘除外,其余时间均需佩戴矫治器,每天戴用至少20小时,每日咬胶不少于4次,每次不少于5分钟,每10~14天自行按序更换下一步矫治器。矫治4个月:矫治器贴合,移动与ClinCheck基本一致(图4)。矫治10个月:矫治器已佩戴完,双侧后牙咬合欠紧密。于双侧后牙(13-16,23-26,34-36,44-46)颊侧龈方粘接舌侧扣,其中上颌6近中粘接舌钮,用3/16英寸(3.5oz)的皮圈行角型牵引,辅助双侧后牙建合(图5)。矫治12个月:前牙建立正常覆合覆盖,后牙咬合尚可。患者对矫治结果满意,要求结束治疗,进入保持阶段(图6)。






总治疗周期30个月,其中TIPA矫治18个月,隐形矫治12个月。矫治后患者侧貌由凹变直;上下牙排列整齐,牙列无间隙,双侧尖磨牙中性关系,前牙覆合覆盖正常,上下牙弓形态位置关系协调,咬合稳定无干扰(图6)。
CBCT牙齿截图显示:上下前牙未见明显牙根吸收,上下前牙牙根位于骨松质内(图7)。关节截面显示:TIPA治疗后髁突表面发生功能性改建;髁突位置发生后退,关节窝随之发生相应改建。Ⅱ期治疗后髁突位置稳定,关节间隙恢复正常(图8,图9,图10)。治疗前、中、后头影测量结果见表1,矫治器前后头影描绘重叠图见图11。










1.本例患者处于CSVⅡ期,头影测量显示均角,以下颌前突为主的严重骨性Ⅲ类错合,且功能检查下颌无法退至前牙切对切,具有家族遗传史,单纯的掩饰治疗较为困难,建议患者成年后进行手术治疗,但患者及家属坚决反对。在征求患者及家属的同意后,尝试I期为TIPA的双期矫治。下颌骨的矢状向生长在女性13岁时基本结束,在男性中则持续到15岁[2]。因此I期矫治时间延长至患者生长发育高峰期结束(CVMS Ⅳ期)以确保稳定的疗效。TIPA矫治18个月后,头影测量分析显示在下颌骨总长度以及下颌骨体长度增加的情况下,SNB减小1°,ANB增加2°,WITS值增加3 mm,前牙反合纠正至正常覆合覆盖,凹面形明显改善。
2.TIPA是一种新型的功能矫治器[3],主要结构是双侧后牙合垫区由前下后上的两长斜导面组成,利用咀嚼力"渐进式"逐渐诱导下颌骨(骨、牙槽骨、牙)向后运动、上颌骨(骨、牙槽骨、牙)向前运动以及诱导髁突、关节窝发生生理性改建(图9、图10)。相较于头帽-颏兜(Facemask,FM)、Frankel Ⅲ(FR Ⅲ)、反式Twin Block(RTB)、双阻板磁力矫治器、骨性支抗弹性牵引等传统早期矫治装置,其主要针对于以下颌发育过度为主的骨性Ⅲ类生长期错合畸形,独有的长斜面结构有利于咀嚼、前伸和侧方运动,力更接近生理性,患者易适应和配合,且不要求后退下颌重建上下颌位关系,制作简单。术后患者矫治效果良好,锥形束CT重叠观察到髁突及关节后区发生生理性改建(图10),这与笔者团队的之前TIPA能持续性引起关节区不同区域的不同改建的研究一致[4,5,6]。
3.隐形矫治具有舒适美观、可摘清洁等优点,近年来得到了医患双方的青睐。但与固定矫治不同,隐形矫治垂直向上存在合垫效应,后牙伸长不是其优势[7]。本病例选择下颌前牙区邻面去釉(IPR)协调Bolton比,并通过压低下前牙和协调上下颌牙弓宽度进行咬合跳跃从而解决前磨牙段的开合,配合Ⅲ类牵引维持I期治疗后的矢状关系。在矫治过程中,矫治器与牙齿出现不贴合的原因及采取的措施:包括重新佩戴过去的矫治器、辅助牵引、获取间隙等,确保达到矫治器与牙面贴合后再佩戴后续矫治器[8]。本例通过佩戴矫治器的后牙角形牵引进行,精细调整,建立稳定咬合。
总之,该治疗结果表明该患者在没有进行手术干预的情况下,亦取得了较好的疗效,这说明对于以下颌发育过度为主的生长期骨性Ⅲ类患者,TIPA可有效协调上下颌骨位置关系,改善侧貌,减少成年后手术可能,配合隐形矫治器精细调整牙位,矫治效果良好,值得临床医生借鉴。
韩岳,张加明,李寒月,等.应用TIPA和隐形矫治器双期矫治骨性三类错颌畸形1例[DB/OL].中国临床案例成果数据库,2023(2023-04-20).http://journal.yiigle.com/LinkIn.do?linkin_type=cma&DOI=10.3760/cma.j.cmcr.2023.e01181.
所有作者均声明本研究不存在利益冲突























