
患者主因头部外伤手术后颅骨缺失5年,癫痫反复发作1个月,癫痫持续状态1 d就诊。既往外伤术后颅内感染5年,侧脑室腹腔分流术后4年余,无其他基础疾病,无过敏史,无吸烟饮酒史。
意识朦胧状态,呼唤可睁眼,双侧瞳孔等大2.5∶2.5,对光反射存在,无法正确对答,四肢可自主活动,肌力稍弱。双额、右颞顶颅骨缺损,右额皮肤遗留炎性窦道。
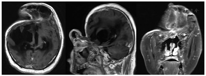
术前增强MRI,术前CT检查齐全,颅骨三维重建。
分流管临时结扎+颅骨缺损修补成形术+围手术期抗感染治疗+营养支持。
完成颅骨修补后,术后出现深静脉相关感染,未出现颅内感染,患者出院前外周血感染达到治愈标准,目前已出院3个月,进行恢复性锻炼。
神经外科;重症医学科
版权归中华医学会所有。本文为遵循CC-BY-NC-ND协议的开放获取文章。
颅骨修补成形术作为神经外科常见手术,按照规范步骤操作通常颅内感染风险较低,手术主要目的在于改善脑组织脑脊液循环;保持颅内外稳定的压力不随气压外界变化;为脑组织提供硬性支撑保护,同时还可最大程度解决美观问题。但当患者既往存在严重颅内感染,同时迫切需求颅骨修补时,如何通过围手术期感染预防提高颅骨修补成功率,是目前待攻克的难题。三维钛板是目前最常用的修补材料之一,由于属于植入材料,当出现围手术期感染时,手术失败风险显著升高,甚至需取出钛板,造成患者二次损伤,空耗财力。本文报道的1例患者住院前出现癫痫持续状态,合并中线偏移,反常脑疝形成,具有进行颅骨修补的必要,但同时患者局部切口既往长时间感染,存在细菌及脓性分泌物,手术期感染风险较高。我们通过术前预防应用抗生素,术前严格消毒,术中分层次冲洗消毒等措施,围手术期营养支持,最大程度保证了患者术后颅内清洁,即使患者出现外周血感染,在及时处置得当的情况下,保证患者修补成功,为复杂颅骨修补术提供了治疗经验。
患者,男性,38岁,5年前由高处坠落致伤头部,颅骨粉碎性骨折合并脑挫裂伤,于当地医院行右额颞顶开颅去骨瓣减压术,后顺利出院康复,其间患者出现脑积水症状,于当地医院急诊行右侧脑室穿刺术,术后2周出现颅内感染,合并穿刺切口感染,不愈合,逐渐形成窦道,并与额窦相通,间断有脓性分泌物流出,给予持续引流并间断换药,在当地医院抗炎治疗颅内感染,颅内感染治愈后行双侧脑室枕角穿刺脑脊液脑室腹腔分流术,术后脑积水症状改善,至康复医院康复,意识及生活自理能力逐渐好转,但右额皮肤窦道经久未愈,被覆脓苔,当地医院鉴于感染风险,未予修复颅骨。5年期间患者间断出现癫痫发作,主要为全面性发作,持续数分钟后可自行好转,来院1 d前再次突发癫痫持续状态于我院急诊就诊。由于患者颅骨缺失范围大,长期未行颅骨修补,颅内外压力严重失衡,导致反常性脑疝形成。
患者意识朦胧状态,呼唤可睁眼,双侧瞳孔等大2.5∶2.5,对光反射存在,无法正确对答,四肢可自主活动,肌力稍弱。双额、右颞顶颅骨缺损,右额皮肤遗留炎性窦道。
术前增强MRI,术前CT检查齐全,颅骨三维重建。
入院后,考虑其颅骨缺损处皮肤凹陷严重,科室讨论后决定先予以分流管夹闭(分流泵调压失败),使脑室暂时性扩张,恢复头部外形并改善皮肤张力,同时加用甘露醇+激素予以脑功能保护(图1)。引流管夹闭5 d后,患者意识基本与夹闭前相似,脑室明显扩张,伴室旁水肿,颞顶部皮肤较前膨隆,但前额部皮肤由于窦道与前颅底炎性粘连,凹陷严重,缓解不佳(图2、图3)。






与患者明确交代手术风险,尤其是炎性窦道可能存在的切口污染问题,可能导致颅内感染,钛板置入失败等,家属态度坚决,要求手术。首先在术前30 min给予头孢曲松静脉滴注,并在术前对患者皮肤及局部窦道进行严格消毒(4%碘酊+75%酒精),尤其是对窦道深部进行反复擦拭灌洗。对每层组织进行分层次消毒冲洗(过氧化氢+0.05%碘伏),手术先从颞顶部游离皮瓣,其次从两侧向右额窦道周围游离皮肤,最终将粘连皮肤从前颅底分离,并再次进行创面彻底消毒,对窦道周围可疑感染组织进行清创,对切缘皮肤及分泌物送细菌学检测,确定感染灶清除彻底。确定塑性钛板与缺损部位贴合良好,皮肤张力适中。最后取右侧颞肌反折,固定于原皮肤窦道处皮下并固定以改善局部血运,预防皮肤缺血坏死,分层缝合颞肌,皮下及皮肤,最终手术顺利结束。
患者术后当日体温升高至39.0°C,同时合并眼睑水肿,肾功能减退,心率增快,血压下降,通过对患者进行仔细体格检查,发现深静脉穿刺处皮肤稍红,结合血常规中性粒细胞结果,C反应蛋白,降钙素原监测,痰培养,脑脊液化验及头胸CT,考虑深静脉相关感染,继发感染性休克。立即给予患者扩容,抗感染治疗,并及时拔除深静脉穿刺针,进行血培养,针对性调整抗生素应用,在治疗血液感染同时,兼顾肺部感染及颅内可能出现的感染。患者各项炎性指标变化见图4、图5。2 d内患者炎症得到逐步控制。术后1周,出血高峰期度过后,将患者分流管打开,释放脑脊液压力,患者脑室逐步恢复,室旁水肿消失,脑室恢复正常大小。




患者主因癫痫持续状态由急诊入院,入院时因多日急诊室卧床,体液出入量失衡,电解质紊乱,胃肠功能减退,且处于癫痫发作后的严重消耗状态,入院后需迅速补充营养。通过肠外营养静脉补充人体所需复方氨基酸,ω-3鱼油脂肪乳,电解质平衡液及葡萄糖摄入,保证患者每日所必需营养素摄入,同时逐日补充其消耗量。增强患者自身免疫能力,为手术安全进行创造条件,患者随时可能因急性脑积水需要急诊手术,需随时做好胃肠道准备。患者夹闭引流管,到最终进行颅骨修补手术时间约1周,符合短期肠外营养的适应证。
由于患者术前存在多方面感染高危因素:包括皮肤窦道可能存在细菌繁殖,术中深静脉穿刺可能造成感染,患者术前营养不良等。本例患者术后第2天即出现高热症状,合并意识状态下降,体温39.2°C,PCT 45 ng/ml,CRP 215.47 mg/L,WBC 68.72×109/L,考虑深静脉穿刺相关感染继发感染性休克,肝肾功能异常,病情危重,机体消耗增加,同时胃肠功能受损,因此在术后炎症暴发初期,我们依然恢复采用了包括糖类,氨基酸,鱼油脂肪乳,维生素等必需营养物质在内的肠外营养以度过急性期,在患者度过围手术期后,逐步由肠外营养向肠内营养过渡,在肠内营养中混入肠道益生菌,如地衣芽孢杆菌,枯草杆菌,双歧杆菌等,保护患者肠道屏障,并在康复医院完成由肠内营养到自主进食。本例患者在出现深静脉相关感染后,蛋白水平急剧下降,见图6。


经过及时的静脉抗感染治疗,患者肝肾功能及炎症指标逐步好转,术后3 d,患者意识状态部分恢复,可自主睁眼,简单遵嘱活动。在预防癫痫药物,充足的静脉补液前提下,我们将肠外营养逐步过渡为肠内营养,随着患者进行颅骨修补术后颅内压力改善,静脉感染及肺炎逐步控制,患者意识进一步好转,炎症指标在由重症病房转出时已基本恢复正常水平,患者在出院前已恢复自主进食并拔除胃管,切口愈合良好,原有窦道未出现感染,钛板固定贴合良好(图7)。顺利出院进行下一步康复治疗,目前出院满3个月,已可家属陪同下地辅助行走。


在颅脑损伤相关炎性反应最快可在脑部损伤发生后的几分钟内产生一系列应答,主要过程包括神经胶质激活、白细胞募集和分泌炎性介质,如细胞因子和细胞趋化因子等。其中细胞因子聚集介导的炎症反应是重要的组成部分,分泌主要来自不同的免疫活性细胞,如小胶质细胞、星形胶质细胞、脑血管内皮细胞、外周免疫细胞,甚至神经元[1,2]。其包括白细胞介素-1β,肿瘤坏死因子(TNF),IL-6和,IL-8等[3]。除此之外,细胞因子在免疫调节,维持机体稳态,以及炎症修复中同样起到重要作用[4,5,6]。其中IL-6作为免疫应答的核心部分,对C反应蛋白,IL-8,以及促进体液免疫应答具有重要正向作用,测定急性期IL-6可能对于预测疾病发展及预后有重要价值[7,8,9]。细胞因子的急性期变化反映了机体对于炎症及创伤刺激的免疫能力,动态监测更可以预测疾病发展走势[10,11,12]。IL-1β聚集可导致血脑屏障破坏,中性粒细胞聚集等,甚至可预测颅脑损伤后激发癫痫事件发生[13,14]。本例患者术前颅内感染风险较高,手术复杂,术中进行深静脉穿刺并留置深静脉,术后出现深静脉相关感染,感染源较复杂。我们在炎症爆发初期便进行了经验性抗感染药物应用,并及时进行了一系列痰液,静脉血,脑脊液细菌学检测,及时发现了感染源规律的敏感以期对此类患者的临床管理提供治疗参考。对其各项炎性指标进行检测,并观察其随病情走势出现的变化。
根据《中国加速康复外科围手术期管理专家共识》:针对入院患者进行NRS2002评分,对于≥3分的患者应进行手术前营养支持,根据患者营养耐受状态,应给予7~10 d或更久的营养支持时间,以降低术后并发症[15]。本例中患者术前曾罹患颅脑创伤,长期处于营养不良状态(3分),近2个月因反复癫痫发作,进食不佳,体重下降达到10%,近1周营养摄入较前减少约50%(2分),术前符合进行额外营养支持的指征。颅脑创伤患者及相关围手术期患者的体内代谢率和分解代谢率较正常人群高1.4倍,尤其是在出现感染事件后。蛋白质是提供人体免疫机能的重要来源,同时对患者预后产生重要影响[16,17]。本例患者在出现深静脉相关感染后,蛋白水平急剧下降,需要对患者进行及时补充。
此外,肠外营养中除常规脂肪乳每日摄入外,还增加了ω-3鱼油脂肪乳,其富含ω-3多不饱和脂肪酸,可通过调控花生四烯酸炎性反应通路,调节机体内炎性细胞因子水平并增强免疫功能[18]。近期针对RCT研究的荟萃分析表明:ω-3脂肪酸对于减少重症感染患者机械通气时长效果显著,甚至可降低在感染后28天内的病死率[19,20]。在遭受重症感染的患病人群中,机体处于应激状态,更易发生休克,凝血功能障碍,多器官功能衰竭等并发症,此外,当患者接受完全肠外营养时,每日摄入的鱼油含量>0.1和<0.2 g/(kg·d)可显著降低危重症死亡率[19]。在保证每日脂肪摄入的前提下,适量摄入ω-3鱼油脂肪乳,使用量建议不超过每日脂肪摄入量的20%为宜,同时需定期监测患者脂质代谢水平。
颅骨修复手术后相关感染是影响患者预后的重要因素,由于头部遭受创伤后存在伤口污染,甚至开放伤口,存在细菌污染风险较高,因此在首次外伤后急诊去骨瓣手术术前进行皮肤清创消毒,并在去骨瓣术中及关颅前进行过氧化氢+碘伏水+生理盐水术腔冲洗,对减少细菌残留、局部定植尤为关键,并为伤口愈合及后续颅骨修复手术创造有利环境。研究认为因创伤原因去除骨瓣后进行颅骨修补术的感染率比无创伤因素的颅骨修补术感染风险明显更高[21,22]。既往感染史,骨窗累及额窦,年龄偏大,出血性卒中,贫血,脑积水都可能增加颅骨修补术后感染的风险[23,24,25,26]。在颅骨修补成形术围手术期应用适当的抗生素如头孢曲松,万古霉素等可有效预防感染发生[27]。此外,术中的操作,如过度应用电凝止血,颞肌切除,手术暴露时间过久同样可能导致出现术后细菌入侵[28]。此外,初次颅脑外伤后的伤口外露可能导致细菌侵入,以及去骨瓣手术创口的瘢痕造成的血运缺失等,都是颅骨修补术后感染的潜在原因[29,30]。本例患者急诊手术于外地医疗机构进行,具体情况不详,但术后出现引流道相关感染,并未进行及时清创,长期皮肤切口未愈,感染定植且与颅底形成炎性瘢痕粘连,错过了修复颅骨的最佳时机,造成颅内外压力严重失衡,导致反常脑疝形成,继发难治癫痫,颅骨修复势在必行,但同时手术期感染风险极高,一旦术后颅内感染,修补钛板存在被迫取出,空费财力的风险,对感染防控提出了极高的要求。本文对于既往存在严重感染患者,同时迫切需要稳定颅内外压力,缓解脑疝进行颅骨修补的患者进行了尝试,为今后颅脑创伤合并感染患者的颅骨修复手术时机及要点提供了参考依据。
张烁,张斌,刘佰运.复杂颅骨修补成形术合并围手术期感染患者1例[DB/OL].中国临床案例成果数据库,2023(2023-04-20).http://journal.yiigle.com/LinkIn.do?linkin_type=cma&DOI=10.3760/cma.j.cmcr.2023.e01187.
所有作者均声明本研究不存在利益冲突





















