
患者,男性,62岁,因"胸闷、气喘6个月,咯血1周"入院。外院查胸部CT提示左肺下叶占位伴肝内多发低密度影,为进一步诊治就诊本院。
ECOG评分2分,左下肺呼吸音较弱,于右锁骨中线肋下3横指、剑突下三横指处可触及质硬肝下界。
完善肝、肺两处病灶活检病理:结合免疫组化结果及病史考虑胆管细胞癌伴肺转移。
予紫杉醇(白蛋白结合型)联合顺铂方案姑息性化疗4个周期。
2个周期化疗后复查上腹部MR和胸部CT增强可见原发病灶及转移灶缩小。
肿瘤科;肝胆内科;呼吸内科;消化内科;影像科
版权归中华医学会所有。本文为遵循CC-BY-NC-ND协议的开放获取文章。
肝内胆管癌(intrahepatic cholangiocarcinoma,ICC)是起源于二级及其以上分支胆管上皮细胞的肝恶性肿瘤,在原发性肝癌中的发病率占10%~15%,其发病隐匿,进展快[1,2]。本例患者以非消化系统临床表现为首诊症状,结合影像学表现造成初步诊断误诊,后通过完善"金标准"组织病理及免疫组化揭示ICC诊断。本文报道本例患者旨在提高对本病的认识,并提供个案讨论及影像学鉴别诊断思路。
患者,男性,62岁,农民,因"胸闷、气喘6个月,咯血1周"于2022年8月8日就诊我院。缘于2022年2月无明显诱因出现剑突下闷痛感,程度轻,无放射至他处,伴气喘,上述症状活动后加剧,休息可缓解,未重视未诊治。入院1周前无明显诱因出现痰中带少量鲜血,余无特殊不适。2022年8月1日于福建省光泽县医院查胸部CT:考虑左肺下叶占位伴阻塞性肺炎;肝内多发低密度影。腹部彩超:肝内多发实质性占位,转移性肝MT可能。肿瘤标志物:癌胚抗原>965 ng/ml、CA-125 93.7 U/ml、CA-199、甲胎蛋白、神经元特异性烯醇化酶、鳞状细胞癌相关抗原测定均正常。治疗上予抗感染、化痰止咳、解痉平喘等处理,症状未见明显改善。2022年8月8日就诊我院消化内科,行PET-CT:左下肺软组织密度肿块,呈高代谢,考虑肺癌伴阻塞性炎症、肺不张;伴左胸腔少量积液;伴左肺门区、纵隔内、右胸廓入口区、肝门区、腹膜后腹主动脉旁多发淋巴结肿瘤转移;伴肝内肿瘤转移;伴胸11椎体肿瘤转移。考虑恶性肿瘤合并全身多处转移,暂无外科手术指征,遂转入肿瘤科进一步诊治。发病以来体重下降15 kg。既往"高血压病、2型糖尿病"病史4年;否认吸烟、饮酒史;否认恶性肿瘤家族史,余无特殊供参考。
体格检查:ECOG评分2分,神志清楚,全身浅表淋巴结未触及肿大。桶状胸,双肺呼吸音粗,左下肺呼吸音较弱。腹稍膨隆,于右锁骨中线肋下三横指、剑突下三横指处可触及质硬肝下界,移动性浊音可疑阳性,双下肢无水肿。
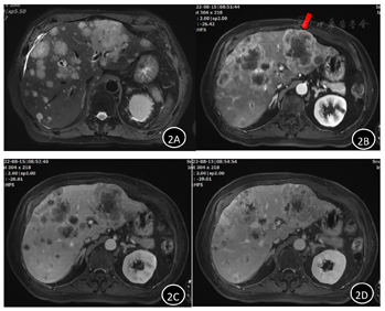
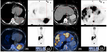
影像学检查:1.全身PET-CT示,左下肺软组织密度肿块,呈高代谢,考虑肺癌伴阻塞性炎症、肺不张;伴左胸腔少量积液;伴左肺门区、纵隔内、右胸廓入口区、肝门区、腹膜后腹主动脉旁多发淋巴结肿瘤转移;伴肝内肿瘤转移;伴胸11椎体肿瘤转移。PET-CT显示由于阻塞性肺炎伴肺不张暂不能清楚分辨左下肺占位边界,并可见伴肝内多发肿块(图1)。2.上腹部MRI示,肝脏弥漫性团块影,考虑多发转移瘤。左肝较大占位(红色箭头所指处)动脉期表现为周边环形强化征(图2)。




实验室检查:血常规,白细胞计数10.51×109/L、粒细胞计数8.21×109/L。生化全套,白蛋白28.3 g/L、碱性磷酸酶253.0 U/L、胆碱酯酶2088.2 U/L、直接胆红素11.8 μmol/L、谷草转氨酶63.4 U/L。降钙素原0.84 ng/ml、C反应蛋白110.0 mg/L。
结合患者症状、体征及辅助检查结果,可得初步诊断:1.肺恶性肿瘤(病理待定,Ⅳ期),阻塞性肺炎伴感染;2.多部位继发恶性肿瘤(肝、肺、淋巴结、胸11椎体);3.高血压病3级(很高危);4. 2型糖尿病。
(1)原发性肺恶性肿瘤:肺癌常见原发症状包括咳嗽、咳痰、咯血、喘鸣、胸闷等,常用肿瘤标志物有癌胚抗原(carcinoembryonic antigen,CEA)、神经元特异性烯醇化酶(neuron-specific enolase,NSE)、细胞角蛋白19片段(cytokeratinfragment,CYFRA21-1)、胃泌素释放肽前体(pro-gastrin-releasing peptide,proGRP)以及鳞状上皮细胞癌抗原(squamous cell carcinoma antigen,SCCAg)等,以上肿瘤标志物联合使用,可提高临床应用中的灵敏度和特异度,并提示其可能的病理类型。肺癌的传统影像学分型根据发生部位可分为中央型、周围型和特定部位,中央型肺癌影像表现可以阻塞性肺炎为主,明确诊断需活检病理[3]。本例患者左下肺有不均匀密度肿块影,继发阻塞性肺炎,结合癌胚抗原升高,初步诊断考虑原发性肺癌可能大。
(2)继发性肺恶性肿瘤:肿瘤起源于身体的其他部位,鉴别诊断主要依靠详细病史和原发癌肿的症状和体征。影像上血行转移者多表现为双肺单发或多发大小不等、边界清楚结节及肿块,淋巴道转移者表现为沿淋巴管分布的结节。该患者胸部CT上未见多发肿块影,暂考虑肺转移瘤可能小。
(3)原发性肝恶性肿瘤:包括肝细胞癌、胆管细胞癌和混合型肝癌,其中以肝细胞癌(hepatocellular carcinoma,HCC)最常见,可占原发性肝癌75%~85%。甲胎蛋白(alpha-fetoprotein,AFP)检测是目前诊断原发性肝细胞癌最好的早期诊断方法,在影像上可有典型"快进快出"表现[4]。而CA199和CEA是诊断ICC最常用的血清标志物[5],在动态增强检查中可有动脉期病灶周边强化表现,AFP通常阴性。本例患者上腹部MR,可见在增强后左肝肿块明显不均匀强化,其周边有强化影,目前ICC诊断待排。
(4)继发性肝恶性肿瘤:继发性肝癌一般没有肝脏严重病变的症状,影像上常表现为多个结节型病灶,典型征象为增强扫描可见环形强化的"牛眼征",AFP一般不升高。患者的上腹部MR片中,可以见到多发的、体积较小的、均匀环形强化的牛眼征表现,且患者AFP阴性,均支持肝转移癌诊断,但目前肿瘤原发病灶尚不完全明确。
(5)肝、肺双原发恶性肿瘤:双原发恶性肿瘤鉴别诊断同单原发恶性肿瘤。
综上,根据一元论诊断思路,初步主诊断为"原发性肺恶性肿瘤伴肝转移",但仍不排除肝内胆管癌伴肺转移及双原发恶性肿瘤可能,明确诊断需下一步完善病理活检。
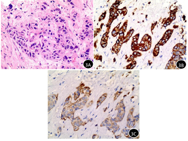
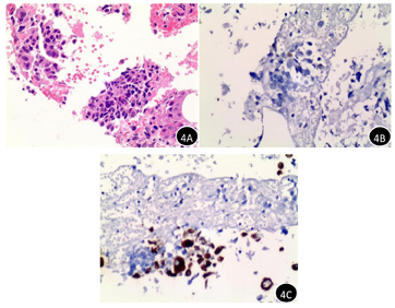
患者入科后请超声介入科行超声引导下肝脏穿刺活检术,"肝穿活检标本"普通病理回报送检以坏死组织为主,仅于纤维增生背景中见少许不典型上皮细胞巢;"肝穿活检标本"免疫组化回报MUC1、CK7、CK19、Villin、BRG-1阳性(图3),CDX-2、Syn、CK20、INSM-1、Hepatocyte-1、TTF-1、NapsinA、ALK(D5F3)阴性,Ki-67 50%,考虑胆管细胞癌。后请呼吸内科行纤维支气管镜下肺活检术,"左侧肺组织活检标本"普通病理提示非小细胞肺癌伴坏死;"左侧肺组织活检标本"特殊病理回报MUC1、CK7、CK19、INI-1、BRG-1阳性,CK5/6、P40、TTF-1、NapsinA、Syn、INSM-1、CK20、HNF-1β、IDH-1阴性(图4),Ki-67 70%,提示浸润性癌,结合免疫组化结果及病史考虑胆管细胞癌转移。




通过两处病灶的病理检查,得出最后诊断:1.肝恶性肿瘤(胆管细胞癌,cT2NxM1 Ⅳ期);2.多部位继发恶性肿瘤(肝内、肺、纵隔、淋巴结、胸11椎体);3.阻塞性肺炎伴感染;4.高血压病3级(很高危);5. 2型糖尿病。
抗肿瘤治疗上,参考《中国临床肿瘤学会(Chinese Society of Clinical Oncology,CSCO)胆道恶性肿瘤诊疗指南2022》,予"紫杉醇(白蛋白结合型)100 mg静脉滴注第1天、200 mg静脉滴注第8天+顺铂30 mg静脉滴注第1~3天,每21天1次"方案治疗。
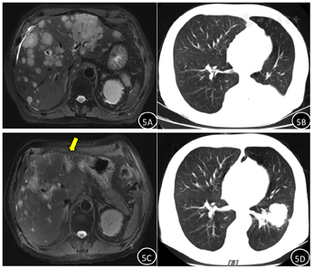
经过2个周期化疗后,患者胸闷、咯血症状较前缓解,2022年10月17日复查上腹部MR增强及胸部CT平扫,肝脏及肺部病灶均明显缩小(图5),尤其原左肝较大肿瘤(黄色箭头所指处)最大径显著缩短,而肺部转移瘤经抗感染及抗肿瘤治疗后,同周围组织牵拉征改善,总体疗效评价部分缓解。


肝内胆管癌是原发性肝癌的一种,近年来其发病率呈明显上升趋势,复杂的疾病特征给ICC诊断带来极大的挑战。一项系统回顾和Meta分析认为胆管癌发生危险因素包括胆总管囊肿、胆囊结石、caroli病、原发性硬化性胆管炎、肝硬化、慢性病毒性肝炎、非酒精性脂肪肝、吸烟、饮酒、肥胖等[6]。这些风险因素的共同特征是它们与胆管上皮的慢性炎症和胆汁淤积有关。ICC症状取决于肿瘤大小和生长模式,大部分早期常无特殊临床症状,仅作为肝脏孤立结节被无意中发现,或表现为全身非特异性症状,如乏力、消瘦等。随疾病进展,患者可出现腹痛、乏力、恶心、上腹部肿块、黄疸等。正如前所述,CA199和CEA是诊断ICC最常用的血清标志物,尽管其灵敏度及特异度均欠佳,但仍具有辅助诊断和预测疗效的价值。检测AFP有助于鉴别肝细胞癌HCC,尤其是在慢性肝病基础上,AFP升高提示HCC可能性超过ICC。CT和MRI检查是目前诊断ICC主要的影像学检查方法,ICC在增强CT和MR检查中具有一些特殊征象,表现为增强动脉期病灶周边环形强化、门静脉和延迟/移行期进行性向心性强化、弥散加权成像靶征、肝包膜回缩、分叶状结节等[7]。
诊断ICC时,需注意与肝细胞癌、混合型肝癌及肝转移瘤等相鉴别。与HCC相比,ICC有着"延迟性强化"的显著鉴别点,另外,弥漫性T1高信号虽然不是HCC的典型特征,但在ICC中不发生,因此其有利于HCC的诊断而不是ICC的诊断。而混合型肝癌(mixed hepatocellular-cholangiocarcinoma,HCC-CCA)则是一种罕见的肝脏恶性肿瘤,兼具有ICC和HCC的特征,表现为侵袭性病程且预后不良。肝脏作为恶性肿瘤偏好转移的脏器之一,在诊断ICC时还必须与肝转移瘤(liver metastases)进行鉴别。肝转移瘤的影像表现多种多样,其影像特征在很大程度上取决于各种原发肿瘤特异性因素。"牛眼征"是转移性肝癌的典型CT增强征象,可见于任何肝转移瘤,但多见于腺癌的肝转移,表现为病灶周边有晕环,中央乏血供而呈低密度。此外,肝转移瘤在MRI上表现为T1像稍低信号,T2像稍高信号,T2WI还可有瘤周高信号环的特殊征象,增强扫描各期均可呈环形强化,强化程度一般小于肝实质[8]。
本例患者以胸闷、气喘、咯血为首诊症状,体格检查阳性体征有左下肺呼吸音弱、右肋下三横指处触及肝下界,结合辅助检查提示CEA升高、左下肺不均匀密度肿块影继发阻塞性肺炎,均支持初步诊断为原发型肺癌合并肝转移瘤,后经完善两处病灶的病理检查,证实为肝内胆管癌伴肺转移。分析本病例,造成诊断错误主要原因有:(1)本例患者首诊症状突出表现为肺部症状,且在病史中否认ICC常见发病危险因素存在,导致初步诊断时过分关注肺部病变可能而轻易忽视其他疾病。回顾影像学表现,上腹部肿块很可能为ICC在本例中具有提示意义的体征,但由于合并数个体积较小的典型肝转移瘤存在,也致使在初步诊断中,简单片面地将所有肝脏结节与肿块用肝转移瘤这一诊断来解释。(2)肝内胆管癌影像学表现与肝转移瘤有一定的相似性。ICC在MR增强中的表现强调静脉期及延迟期渐进性强化的动态特点,若只简单分析动脉期肝脏病灶周边环形强化表现,则与肝转移瘤影像表现难以鉴别。在本例的初步诊断中,只单纯看到肝脏MR增强时动脉期环形强化的征象,未进一步分析静脉期和延迟期的特点,局限了本例的鉴别诊断思路。
综上所述,在肝脏占位性病变性质不清的首诊患者中,尤其是合并有其他部位占位时,不能片面地仅凭症状体征、血清学检查及影像学检查报告下诊断。临床医生需认真对影像学资料进行解读、分析,也要重视活检病理的重要性,需合理组合使用免疫组织化学染色标志物谱进行鉴别诊断。
林清月,赵泽强,张婷,等.肝内胆管癌肺转移误诊为肺癌肝转移1例[DB/OL].中国临床案例成果数据库,2023(2023-04-24).http://journal.yiigle.com/LinkIn.do?linkin_type=cma&DOI=10.3760/cma.j.cmcr.2023.e01230.
所有作者均声明本研究不存在利益冲突





















