
患者,48岁,2020年8月19因"自觉腹胀4个月"入院。
自觉下腹胀,伴恶心、乏力、进食量减少,无尿频、尿急、便秘等不适。
行腹腔镜探查术确诊为卵巢癌Ⅲc期。
行新辅助化疗、中间型肿瘤细胞减灭术、术后化疗、激素维持治疗。
术后化疗3程(总疗程8程),肿瘤标志物CA125降至正常,继续化疗3程(总疗程10程)。化疗结束后来曲唑2.5 mg/d维持治疗至今,门诊随访无异常。
妇产科;肿瘤科
版权归中华医学会所有。本文为遵循CC-BY-NC-ND协议的开放获取文章。
上皮性卵巢癌约占卵巢恶性肿瘤80%~90%,其中浆液性卵巢癌占上皮性卵巢癌75%~80%。2014年WHO将浆液性卵巢癌分为两型,即高级别浆液性癌及低级别浆液性癌[1]。低级别浆液性癌是上皮性卵巢癌中少见病理类型,占所有卵巢癌约2%、浆液性卵巢癌4.8%[2]。与高级别浆液性卵巢癌相比,低级别浆液性卵巢癌具有不同生物学行为及分子信号通路。高级别浆液性癌有较高TP53突变率、BRCA基因突变及其他导致同源重组修复缺陷及基因拷贝数异常。低级别浆液性卵巢癌罕见TP53突变,KRAS、BRAF、NRAS、ERBB2突变常见,诱导其下游丝裂原活化蛋白激酶(MAPK)信号通路激活参与肿瘤进展[3],令组织中雌孕激素受体表达较高[4]。
患者,女性,48岁,2020年8月19因"自觉腹胀4个月"入院。4个月前自觉下腹胀,伴恶心、乏力、进食量减少,无尿频、尿急、便秘等不适,就诊于当地综合二级医院行妇科彩超:右卵巢增大伴囊肿--卵巢病变,建议进一步检查,未遵嘱。后腹胀较前渐加重,无明显腹痛,行妇科彩超:双附件区囊实性肿物--卵巢Ca?建议住院。近4个月体重减轻10 kg。既往无特殊。
月经史:既往月经规律,近半年月经周期延长至2个月,经量减少为既往1/2,经期无变化,LMP:2020年7月10日。婚育史:22岁结婚,夫长1岁,因病去世,G3P1,育有1子。否认家族遗传病史。
查体:腹部膨隆,移动性浊音阳性。专科检查:外阴:婚产式;阴道:畅;宫颈:光;宫体:漂浮感,触诊不满意;附件:右附件区可及一囊实性包块,大小约8 cm×6 cm,活动可,压痛阳性,左附件区可及一囊实性包块,大小约14 cm×12 cm,活动欠佳,压痛阳性。
肿瘤标志物(2020年8月18日本院)CA125 994.4 U/ml,HE-4 174.59 pmol/L,CEA、AFP、CA199在正常范围内。经阴道彩超(2020年8月18日本院)左附件区129.1 mm×106.3 mm×102.9 mm囊实性回声区,伴分隔,囊内外乳头样结构,较大14.6 mm,右附件区、子宫右后方75.4 mm×53.1 mm×41.4 mm囊实性回声区,内见分隔,囊内外均见乳头样回声团,较大者直径8.5 mm,隔上及乳头均见丰富血流信号;子宫直肠窝积液42.0 mm,右髂窝积液86.7 mm,左髂窝积液95.7 mm,肝肾间隙积液22.9 mm,脾肾间隙84.6 mm。提示双附件囊实性回声区--卵巢肿瘤?Ca?盆腹腔积液。
全腹CT平扫+增强:纵隔内未见肿块及肿大淋巴结。无胸腔积液及胸膜肥厚。双侧附件区多房囊实性病变,左侧10.37 cm×10.12 cm,腹盆腔大量积液,肝周呈扇贝样压迹,左侧为著,双侧侧腹膜明显结节样增厚并强化,脐后方网膜污迹样变。腹膜后未见肿大淋巴结影,肠系膜区多房淋巴结。建议:右侧膈膨升;双侧附件区多房囊实性病变,考虑囊腺癌,腹膜转移,腹盆腔大量积液,肝周积液扇贝样改变,左侧输尿管盆段受累可能。
初步诊断:盆腔包块性质待查:卵巢恶性肿瘤?其他源性肿瘤?卵巢良性肿瘤?
2020年8月25行腹腔镜探查术。探查见:大量腹水约8000 ml,色黄,盆腔腹壁、腹腔腹壁、大网膜上满布粟粒样结节,表面充血,肠管表面、肠系膜面散在粟粒样结节,左侧卵巢肿物约13 cm×11 cm,表面菜花样组织6 cm×4 cm,输卵管表面粟粒样结节,子宫约5 cm×4 cm,多处膜状粘连带与膀胱区腹膜、右侧附件粘连,表面散在粟粒样结节,右侧卵巢肿物约8 cm×5 cm,表面菜花样组织4 cm×3 cm,右侧输卵管未暴露,左侧髂血管区壁腹膜与右侧盆壁腹膜见脓苔样物。道格拉斯窝封闭,腹腔膈面散在粟粒样结节,肝脏周围见粘连带,脾表面未见异常。术中诊断:卵巢癌Ⅲc期。Fagotti评分10分,见表1。

| 腹腔镜结果 | 0分 | 2分 | 评分 |
|---|---|---|---|
| 腹膜转移 | 局灶腹膜转移(沿结肠旁沟或盆腔腹膜)可手术切除 | 不可切除的大面积腹膜种植病灶 | 2 |
| 横膈转移 | 横膈无浸润、膈肌表面无大面积结节融合 | 广泛腹膜浸润病灶/横膈浸润、膈肌表面大部分结节融合 | 2 |
| 肠系膜转移 | 无大的肠系膜结节浸润、肠系膜根部无受侵 | 有肠系膜大结节浸润,肠系膜根部受侵 | 2 |
| 网膜转移 | 网膜至胃大弯无肉眼可见转移瘤 | 网膜至胃大弯有肉眼可见转移瘤 | 2 |
| 肠浸润 | 无肠转移、未见肠袢粟粒性转移 | 肠转移及可见肠袢粟粒性转移 | 2 |
| 胃浸润 | 无肿瘤浸润 | 浸润胃壁 | 0 |
| 肝浸润 | 肝表面无病变 | 肝表面病变>2cm | 0 |
| 总分 | 10分 |
腹水细胞块:找到腺癌细胞。病理结果:1.卵巢表面型交界性浆液性肿瘤;2.网膜浆液性肿瘤种植结节;3.右侧上腹部腹壁浆液性肿瘤种植结节伴纤维增生及沙粒样钙化;4.脓苔:纤维素样渗出物内退变异型腺细胞。明确诊断:卵巢浆液性癌ⅢC期。
行新辅助化疗,具体方案见表2。

新辅助化疗方案
新辅助化疗方案
| 新辅助化疗 | 方案 | 化疗前妇科彩超(mm) | CA125(U/ml) | HE4(pmol/L) | ||
|---|---|---|---|---|---|---|
| 左附件 | 右附件 | 盆腹腔积液 | ||||
| 第一程 | TC(紫杉醇240 mg+卡铂0.5 g) | 129 mm×106 mm×102 mm | 75 mm×53 mm×41 mm | 子宫直肠窝42 mm右髂窝86 mm左髂窝95 mm肝肾间隙22 mm脾肾间隙84 mm | 994 | 174 |
| 第二程 | TC(紫杉醇240 mg+卡铂0.5 g) | 133 mm×112 mm×118 mm | 76 mm×53mm×41 mm | 子宫直肠窝19 mm右髂窝62 mm左髂窝36 mm肝肾间隙77 mm脾肾间隙75 mm | 808 | 138 |
| 第三程 | TC(紫杉醇240 mg+卡铂0.5 g) | 129 mm×126 mm×123 mm | 55 mm×46 mm×41 mm | 子宫直肠窝16 mm右髂窝57 mm左髂窝43 mm肝肾间隙59 mm脾肾间隙50 mm | 702 | 161 |
| 第三程化疗后2周CA125 991 U/ml,影像学提示左附件区包块及其内乳头较前增大,腹水增多,CA125明显升高,MDT讨论更换吉西他滨+卡铂化疗,加用贝伐单抗。 | ||||||
| 第四程 | GC+贝伐D1:贝伐400 mg/吉西他滨1400 mg/卡铂450 mgD8:吉西他滨700 mg | 147 mm×127 mm×136 mm | 51 mm×40 mm | 子宫直肠窝42 mm右髂窝86 mm左髂窝95 mm肝肾间隙22 mm脾肾间隙84 mm | 1005 | 168 |
| 第五程 | GC D1:吉西他滨1300 mg/卡铂400 mgD8:吉西他滨1300 mg | 126 mm×123 mm×125 mm | 67 mm×47 mm | 子宫直肠窝42 mm右髂窝86 mm左髂窝95 mm肝肾间隙22 mm脾肾间隙84 mm | 768 | 125 |
2020年12月10行腹腔镜手术,见盆腔内多量淡黄色腹水,约1000 ml,左侧卵巢14 cm×12 cm囊实性包块,表面布满糟脆菜花组织,右侧卵巢囊实性增大约8 cm×6 cm,表面大片菜花样糟脆组织,子宫约5 cm×4 cm表面散在淡黄色粟粒样结节,盆腔腹膜散在病灶呈化疗后纤维素样改变,道格拉斯窝、直肠表面散在粟粒样结节,乙状结肠上方壁腹膜0.5 cm淡黄色病灶结节,壁腹膜少许病灶,位于肝区、脾区上方腹膜,直径约0.3 cm,结肠表面少许散在粟粒样病灶结节,大网膜表面及肝膈表面无明显结节。行中间型肿瘤细胞减瘤术(筋膜外全子宫+双侧双附件切除+盆腔部分腹膜切除+大网膜切除+盆腹腔病灶清除+腹腔病灶射频消融术)+盆腹腔卡铂灌注化疗。手术达R0切除。
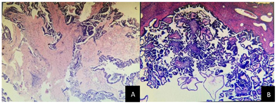
病检结果:双侧卵巢:符合交界性浆液性肿瘤,多灶癌变(低级别浆液性癌),位于卵巢表面,呈表面乳头状,未见明确脉管及神经累犯。免疫组化:AE1/AE3(+)、Vimentin(局灶+)、CK7(+)、CA20(-)、CDX-2(-)、ER(约70+)、PR(约3+),PTEN(-)、CD10(部分间质+)、NapsinA(-)、HNF-1β(-),KI67(约10%+)。左侧输卵管:管腔内及卵管壁少许肿瘤组织,右侧输卵管:浆膜下可见肿瘤细胞巢,伴砂砾体样钙化;宫体:腺肌症,增生性子宫内膜,宫颈:局灶LSIL;左、右宫旁:砂砾体样钙化及异物巨细胞反应;大网膜:可见砂砾体样钙化;腹壁病灶:多量砂砾体样钙化及少许癌组织,见图1,图2。




术后继续行化疗,具体方案见表3。

化疗方案
化疗方案
| 术后化疗 | 方案 | CA125(U/ml) | HE4(pmol/L) |
|---|---|---|---|
| 第一程 | GC D1:吉西他滨1300 mg/卡铂400 mgD8:吉西他滨1300 mg | 786 | 125 |
| 第二程 | GC D1:吉西他滨1300 mg/卡铂400 mgD8:吉西他滨1300 mg | 35 | 38 |
| 第三程 | GC+贝伐D1:贝伐400 mg/吉西他滨1300 mg/卡铂400 mgD8:吉西他滨1300 mg | 36 | 42 |
| 第四程 | GC D1:吉西他滨1300 mg/卡铂400 mgD8:吉西他滨1300 mg | 22 | 35 |
| 第五程 | GC D1:吉西他滨1300 mg/卡铂400 mgD8:吉西他滨1300m g | 24 | 35 |
术后化疗三程(总疗程八程),肿瘤标志物CA125降至正常,继续化疗两程(总疗程十程)。化疗结束后来曲唑2.5 mg/d维持治疗至今,门诊随访无异常。
低级别浆液性卵巢癌,一期无法达到满意肿瘤细胞减灭术,经新辅助化疗,中间型手术达R0切除,对远期预后至关重要。化疗敏感性低,调整化疗方案,化疗期间升白、纠正贫血、升血小板治疗,确保化疗疗程如期进行,抗血管生成药物的加入,无论是新辅助化疗还是术后补充化疗,均助于疾病控制。规范诊疗使患者最大获益,激素维持治疗使患者持续无进展生存。
激素维持治疗:研究表明LGSOC雌激素受体表达达58%~96%[5]。Andra Nica等[6]一项关于晚期LGSOC激素治疗分析,来曲唑维持治疗模拟中位OS150个月,对照组为126个月,来曲唑是首选策略。2022 NCCN指南推荐IC期LGSOC,初始化疗结束后可观察或来曲唑或其他激素维持,Ⅱ~Ⅳ期LGSOC,化疗结束后不建议观察,推荐来曲唑或其他激素维持治疗[7]。
靶向治疗:LGSOC初诊时多为晚期病例,超过70%最终复发[8]。多项研究表明,KRAS突变率16%~44%,BRAF突变约2%·20%,NRAS突变多达26%[9,10,11]。MILO/ENGOT-ov11纳入复发或持续性LGSOC,比美替尼组相比化疗组客观缓解率(ORR)16%vs13%,中位缓解持续时间(DOR)8.1个月vs6.7个月,中位OS25.3个月vs20.8个月。虽未达到首要终点,但比美替尼在其他次要终点中均显示了有效性。比美替尼在有KRAS突变的患者中比化疗更有效[12]。GOG-281评估曲美替尼在复发性LGSOC疗效的Ⅱ期临床试验,接受曲美替尼中位PFS 13.0 m,而对照组仅7.2 m[13]。2022NCCN指南推荐复发LGSOC可选用比美替尼、曲美替尼激素治疗7。
本例患者腹腔镜探查后病检提示浆液性癌,未具体明确高级别还是低级别,虽指南推荐一线化疗方案均为TC,但低级别浆液性癌化疗不敏感,该患者新辅助化疗反应欠佳,后调整方案,加入抗血管生成药物,化疗五程后中间型减瘤术。中间型手术达R0切除,术后补充化疗达CR后,考虑雌激素受体阳性,来曲唑维持治疗,持续无进展生存,不足之处在于患者因经济原因未进行基因检测,远期复发或维持治疗无法从靶向治疗中获益。
小结:LGSOC好发于年轻女性,对化疗的敏感性较差,但总体生存期较长且预后良好,手术是LGSOC的主要治疗手段,且R0切除对远期预后至关重要。由于肿瘤对化疗敏感性较差,激素治疗在LGSOC治疗及维持治疗中具有重要意义,针对MAPK及PI3K-AKT-mTOR信号通路的靶向治疗为LGSOC的治疗提供了新的希望。
杨银霞,吴素慧,周博慧,等.低级别浆液性卵巢癌1例[DB/OL].中国临床案例成果数据库,2023(2023-05-11).http://journal.yiigle.com/LinkIn.do?linkin_type=cma&DOI=10.3760/cma.j.cmcr.2023.e01384.
所有作者均声明本研究不存在利益冲突





















