
患者,男性,53岁,因"右上腹疼痛15 d,外院发现肝占位2 d"入院。
患者入院前无明显诱因出现右上腹疼痛,呈持续性胀痛不适,可耐受,与进食无关,无腹胀、腹泻、恶心、呕吐、畏寒发烧、眼黄尿黄等不适。
CT检查结果提示左肝占位性病变,肝癌可能,合并门静脉主干及左支、右支癌栓形成。MRI检查结果提示肝脏4段占位考虑恶性病变,原发性肝细胞癌并门静脉右主、左支及其多发属支癌栓形成;肝门区淋巴结轻度增大。按照《原发性肝癌诊疗指南2022版》经上腹部CT、MRI及乙肝病史,甲胎蛋白>400 μg/ml诊断为原发性肝癌并门静脉左右支多发癌栓(中国肝癌分期-Ⅲa期)。
使用PD-1抗体派安普利单抗联合抗血管生成药物安罗替尼治疗7个周期,期间进行一次肝动脉灌注化疗。原肝脏4段占位较前明显缩小,门静脉内癌栓较前明显减少,经评估可行根治性手术治疗,遂于2022年5月10日行左半肝切除+胆囊切除胆道探查+胆肠内引流+门静脉节段切除重建+膈肌部分切除术,术后标本病理学检查结果几乎达到病理完全缓解。
患者术后恢复良好,2022年5月15日复查CT结果提示:左半肝及原肿块已切除,术区见少量积液积气,左膈部分切除,胆囊切除,胆肠内引流术后,肝内胆管未见扩张,门静脉右支局部变窄。术后10 d出院,继续使用原方案综合治疗。于2022年5月30日予静脉滴注派安普利单抗200 mg,2022年6月7日恢复口服盐酸安罗替12 mg (1次/d,服用2周停1周)方案,患者目前各项指标正常。
肝胆外科;介入科
版权归中华医学会所有。本文为遵循CC-BY-NC-ND协议的开放获取文章。
原发性肝细胞癌(hepatocellular carcinoma,HCC)起病隐匿,恶性程度高,其血管侵犯以门静脉系统最为常见[1]。根据《原发性肝癌诊疗指南(2022版)》推荐此类患者应以系统抗肿瘤治疗为主[2]。近年来免疫联合靶向治疗在晚期HCC中取得较好的疗效,部分患者经过治疗重新获得根治性手术治疗的可能。我们报道本中心收治的1例晚期HCC(左肝占位并门静脉主干及左右支多发癌栓)患者,其经派安普利单抗联合安罗替尼药物治疗7个周期成功转化后行根治性手术治疗。
患者,男性,53岁,因"右上腹疼痛15 d,外院发现肝占位2 d"于2021年10月14日就诊于我院。15 d前患者无明显诱因出现右上腹疼痛,呈持续性胀痛不适,可耐受,与进食无关,无腹胀、腹泻、恶心、呕吐、畏寒发烧、眼黄尿黄等不适,遂至湖南省宁乡县人民医院就诊,10月12日行上腹部CT检查结果提示:左肝占位性病变,肝癌可能,并门静脉主干及左支、右支癌栓形成。为进一步诊治于我院就诊,门诊以"左肝肝癌并门静脉癌栓形成"收住院。既往患慢性乙肝10年,未规律抗病毒治疗,患高血压10年,口服氨氯地平,血压控制可,近1个月,体重下降2 kg。
患者心肺无明显异常,腹平坦,右上腹轻压痛,无反跳痛,肝区叩击痛,移动性浊音阴性,肠鸣音正常。实验室检查:甲胎蛋白416.38 μg/ml,异常凝血酶原6 165.31 AU/L,总胆红素42.83μmol/L,AST 65.1 U/L,间接胆红素29.14 μmol/L,乙肝病毒DNA 15 100 U/ml。血常规、凝血功能均在正常范围。腹部CT检查结果:肝脏4段占位,考虑肝细胞癌可能,并门静脉左右主干及左肝内分支多发癌栓形成,门静脉并海绵样变性;左肝多发稍低密度灶,考虑门静脉癌栓,合并小转移灶待排(图1)。MRI检查结果:肝脏4段占位考虑恶性病变:原发性肝细胞癌并门静脉右主、左支及其多发属支癌栓形成;肝门区淋巴结轻度增大。


根据检查结果,患者诊断为:(1)原发性肝癌并门静脉左右支多发癌栓(中国肝癌分期-Ⅲa期);(2)慢性乙肝;(3)高血压二级(低危)。
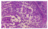
入院后完善相关检查,给予护肝、营养支持等相关对症治疗,经过我院多学科团队(multi-disciplinary team,MDT)会诊认为,虽然患者手术意愿强烈,但肿瘤负荷大,且门静脉主干及左右支都存在癌栓,如进行手术治疗患者不获益的可能性较大,可先给予转化治疗。经充分知情同意后,于2021年10月20日至2022年3月21日行派安普利单抗200 mg免疫治疗(静脉滴注,每3周1次),同时于2021年10月20日至2022年4月4日联合口服盐酸安罗替尼12 mg(服用2周停1周)靶向治疗,其中在2021年10月25日行肝动脉灌注化疗,后患者无法耐受拒绝再次肝动脉灌注化疗治疗。每3个免疫治疗周期复查一次,2021年12月26日CT检查结果提示:肝脏4段段病灶范围较前缩小,密度较前减低,门静脉主干内血栓范围较前缩小,余无特殊。2022年3月21日CT检查结果提示:肝脏4段段病灶范围较前缩小,密度较前减低,左肝外叶新增无强化低密度灶较前缩小,门静脉主干内血栓基本吸收,余无特殊(图2)。甲胎蛋白和异常凝血酶原明显降低(图3)。治疗过程中2022年1月19日出现低钾电解质紊乱,予以补钾维持水电解质平衡。2022年3月21日复查达到部分缓解,但出现甲状腺功能减低,经院内MDT讨论本周期后停药派安普利单抗,口服甲状腺素片,定期复查甲状腺功能,待正常择期行左半肝切除术。2022年5月4日MRI检查结果提示:原S4占位较前明显缩小,较大横面约72 mm×43 mm,门静脉内癌栓较前明显减少,2022年5月4日甲状腺功能正常后,完善术前准备,评估肝功能为Child-pugh分级A级,吲哚菁绿排泄实验:6.8%,测量残肝体积为:60.5%。于2022年5月10日行左半肝切除+胆囊切除胆道探查+胆肠内引流+门静脉节段切除重建+膈肌部分切除术。术后病理学检查结果示:(1)送检肝肿块切除标本,多个肿物内大部分为凝固性坏死,仅残留一小灶癌(镜下最大径3 mm),为肝细胞癌Ⅲ级,并可见异物巨细胞反应及蓝染无结构物,符合肝动脉化疗栓塞术后改变。肿物紧邻被膜下,未累及膈肌,肝切缘净。(2)慢性胆囊炎,胆囊结石,胆囊颈部淋巴结反应性增生。(3)12组淋巴结镜下可见纤维脂肪组织,伴炎细胞浸润,未见癌。(4)门静脉壁未见癌,癌栓已完全坏死。(5)胆管壁慢性胆管炎,纤维组织增生。免疫组化(图4):CA19-9(-)、CD34(血管+)、CK7(-)、CK8/18(+)、Glypica n﹣3(+)、Arg-1(+)、Hepatocyte(+)、CEA(-)、Ki67(+,25%)、p53(-)、Syn(-)、GS-6(+)。






患者术后恢复良好,2022年5月15日复查CT:左半肝及原肿块已切除(图5),术区见少量积液积气,左膈部分切除,胆囊切除,胆肠内引流术后,肝内胆管未见扩张,门静脉右支局部变窄。于5月20日术后10 d出院。术后继续使用原方案综合治疗,于2022.5.30给予输注派安普利单抗200 mg,2022年6月7日恢复口服盐酸安罗替方案(12 mg,1次/d,2周停1周),患者目前各项指标正常。


本例患者为原发性肝癌并门静脉主干及左右支癌栓形成,首先MDT讨论后给予患者转化治疗,转化方案选择为:"双安"方案加肝动脉灌注化疗治疗,派安普利单抗联合安罗替尼7个周期联合肝动脉灌注化疗治疗一次后,患者肿瘤达到部分缓解,再次经过MDT讨论,确定手术治疗,于2022年5月10日行左半肝切除+胆囊切除胆道探查+胆肠内引流+门静脉节段切除重建+膈肌部分切除术。术后继续使用原"双安"方案,现病情稳定,各项指标正常,生活质量较好。
我国肝癌患者数量多,但因为初期症状隐匿,很多患者首次就诊已经属于中晚期,失去手术机会,转化治疗就显得尤为重要,转化治疗可将一部分不可切除的肝癌患者转化为可切除的肝癌患者,降期后再行肝切除术治疗原发性肝癌可以使该部分患者取得较好疗效[3]。MDT讨论贯穿于该患者的整个诊治过程中,多学科讨论可以保证高质量的诊治建议和治疗计划,从而避免误诊误治,可以使患者受益最大化[2]。此例患者根据《原发性肝癌诊疗指南2022版》分期为Ⅲa期,手术治仅适用于癌栓局限于肝段内的患者,其门静脉主干内存在癌栓,故手术不是首选,可考虑系统抗肿瘤治疗,介入治疗及放疗,虽然患者为Ⅲa期,肿瘤负荷大,但考虑到患者的手术意愿强烈,肝功能可,体力佳,故给予患者转化治疗,转化治疗选用的药物要满足:(1)有较高的抗肿瘤活性;(2)需要有较快的起效时间,减少手术等待时间;(3)需要有较低的治疗失败率,避免使临界可切除患者失去手术机会;(4)需要有可控制不良反应,根据《原发性肝癌诊疗指南2022版》附录8中,安罗替尼联合派安普利单抗一线治疗肝细胞癌的Ⅲ期临床研究(ALTN-AK105-Ⅲ-02)正在进行中,且已公布的数据提示效果较好,并且"双安"方案一线治疗肝癌被《肝癌转化治疗中国专家共识》(2021版)所收录,同时"双安"方案一线治疗晚期肝细胞癌获得《基于免疫节点抑制剂的肝细胞癌免疫联合治疗多学科中国专家共识》(2021版)的推荐,而且有研究结果表明派安普利单抗联合安罗替尼治疗肝细胞癌不良反应较低[4],因此,选择"双安"方案给予患者全身系统治疗,同时联合对患者副作用小及对后续手术操作影响小的经动脉栓塞化疗。在我国肝癌患者多有肝炎背景,肝炎及肿瘤本身、多种治疗的副作用可使患者免疫力急剧下降,在治疗过程中,使用免疫调节剂胸腺法新可以调节患者免疫功能,它通过促进前体T细胞的分化和成熟,促进自然杀伤细胞的活化,增强肿瘤细胞的免疫原性,激活免疫反应,能极大提高肿瘤患者的自身免疫力。本例患者转化治疗的成功,给予我们极大的鼓舞,说明肿瘤负荷大,甚至有门静脉癌栓的患者通过转化治疗也可以达到良好治疗效果,但仍有较多问题亟需解决,如怎样选择治疗方案可让患者达到更高的转化率?在分子肿瘤学上如何进一步评估可切除性?如果患者术前即可达到病理学完全缓解,是否还需要手术治疗,怎样术前去判断达到病理学完全缓解等,都需要更多的临床试验去获取相关数据。
孙增鹏,厉鸥,彭创,等.原发性肝癌合并门静脉癌栓转化治疗1例[DB/OL].中国临床案例成果数据库,2023(2023-05-14).http://journal.yiigle.com/LinkIn.do?linkin_type=cma&DOI=10.3760/cma.j.cmcr.2023.e01403.
所有作者均声明本研究不存在利益冲突





















