
患者,女性,41岁,双侧卵巢透明细胞癌ⅡC期术后化疗后,铂敏感复发肝转移二次术后,二次化疗后。
患者乏力明显,入睡困难,易惊醒,大便不畅,小便可。
患者实行分期手术,术后病理诊断确诊。
患者服用中医药维持治疗。
术后5年余,无进展生存4年余,患者目前无明显不适,复查肿瘤无明显进展。
肿瘤科;妇科
版权归中华医学会所有。本文为遵循CC-BY-NC-ND协议的开放获取文章。
卵巢癌(ovarian cancer,OC)是死亡率高居首位的妇科生殖系统恶性肿瘤,5年生存率仅40%,3年复发转移率在70%。2020年我国OC新发患者55 342例,死亡人数为37 519例[1,2]。卵巢透明细胞癌(ovarian clear cell carcinoma,OCCC)是OC中的特殊组织学类型,占OC的5%~25%,其肿瘤由胞质透明、嗜酸性和靴钉样细胞组成,并排列呈管囊状、乳头状和实性结构。OCCC发现时多为早期,但其对化疗反应性差,故而不论分期早晚,预后均较差,临床诊治非常棘手[3]。我们报道1例双侧OCCC ⅡC期术后化疗后,铂敏感复发肝转移二次术后,二次化疗后的晚期OCCC患者,该患者仅靠中药维持治疗近4年,至今已经术后5年余,无进展生存4年余。报道本例诊治经过旨在提高临床医生对本病的认识,为晚期OCCC维持治疗提供新思路。
患者,女性,41岁,2019年1月2日初诊。主诉:卵巢透明细胞癌ⅡC期术后1年9个月余,肝转移术后5个月余。
现病史:患者2017年3月23日于北京大学第三人民医院因行"全子宫+双附件切除+大网膜切除+盆腔淋巴结清扫+腹主动脉旁淋巴结清扫+阑尾切除术",术后病理示:双侧OCCC,右侧9 cm×8 cm×8 cm,左侧6 cm×5 cm×4 cm;免疫组化:Ki-67(+60%),ER(-),PR(1+),HNF1β(+), NapsinA(少部分+),P16(-),P53(1+),PAX-8(+),WT-1(-);输卵管未见癌累及;大网膜淋巴结、左盆腔淋巴结、右盆腔淋巴结、腹主动脉旁淋巴结未见癌转移,LN(0/17);腹水涂片见可疑肿瘤细胞。子宫直肠窝病灶送检纤维结缔组织中可见透明细胞癌浸润。确诊为:双侧OCCC ⅡC期,术后CA125 66 U/ml。术后给予CBP+PTX辅助化疗8周期,末次化疗:2017年9月30日,CA125 10 U/ml。2018年6月13日复查CT示:肝占位病变,考虑肝转移,右侧内乳及右侧心膈角淋巴转移,CA125 15 U/ml。2018年7月3日于北医三院行肝占位病变根治切除术,术后病理:腺癌,符合OCCC转移,Ki-67(+30%),ER(-),PR(-)。此时考虑患者铂敏感复发,为难治性晚期OCCC,术后给予CBP+PTX 2周期及DDP+PTX 4周期化疗方案,末次化疗:2018年11月1日,CA125 7.2 U/ml。刻下症:乏力,颧部红斑,纳可,眠差,入睡困难,易惊醒,大便不畅,小便可。
既往史:高血压病史3年余,最高血压180/100 mmHg,规律服用马来酸依那普利片10 mg口服1次/d,未规律监测血压;下肢静脉血栓病史,2017年3月20日于保定市第二人民医院行"下肢静脉滤器置入术";否认冠心病、糖尿病等慢性病史;否认肝炎、肺结核等传染病史;否认外伤、输血史;否认其他手术史;否认药物及食物过敏史。
患者月经14岁初潮,既往月经周期28 d,每次经行4~5 d,轻度痛经,有血块,现已卵巢切除。
婚育史:适龄结婚,配偶体健,育有1女,女儿体健。
家族史:否认家族肿瘤病史,家族有高血压病史。
体格检查:神色自如,形态良好、自如,语声轻,气息平,舌红暗,苔薄,脉沉。体温36.5℃,脉搏70次/分,呼吸19次/分,血压119/81 mmHg,身高156 cm,体重58 kg,KPS 60分。神志清楚,精神可,发育正常,营养可,面色萎黄,形体适中,步入病房,回答清楚,查体合作,自主体位。心肺腹查体未见异常。
患者就诊时已经属于晚期OCCC,二次手术后,二次化疗后,乏力明显,生活质量差,此时也尚未进行如BRCA等基因检测。根据OCCC临床特点,一方面,其对化疗反应性差,且目前尚无获批的OCCC特异性靶向治疗,当前阶段缺乏有效西医治疗手段;另一方面,晚期患者相较其他OC预后更差,且患者当前生活质量差,恐惧疾病进展,故而考虑予以中医药维持治疗。
术后病理(2017年3月23日北医三院):双侧OCCC,右侧9 cm×8 cm×8 cm,左侧6 cm×5 cm×4 cm;免疫组化:Ki-67(+60%),ER(-),PR(1+),HNF1β(+),NapsinA(少部分+),P16(-),P53(1+),PAX-8(+),WT-1(-);输卵管未见癌累及;大网膜淋巴结、左盆腔淋巴结、右盆腔淋巴结、腹主动脉旁淋巴结未见癌转移,LN(0/17);腹水涂片见可疑肿瘤细胞。子宫直肠窝病灶送检纤维结缔组织中可见透明细胞癌浸润。
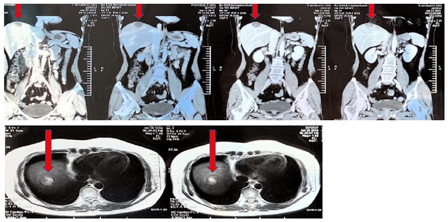
腹盆增强CT(2018年6月13日北医三院)示:肝占位病变,考虑肝转移。右侧内乳及右侧心膈角淋巴结转移(图1)。


腹盆增强核磁(2018年6月28日北医三院)示:肝占位病变,考虑肝转移(图2)。


肝占位切除术后病理(2018年7月3日北医三院):腺癌,符合OCCC转移,Ki-67(+30%),ER(-),PR(-)。
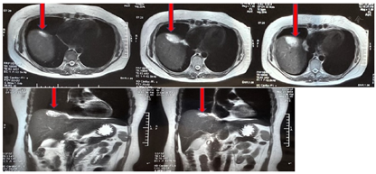
肝转移术后复查增强核磁(2018年11月23日北医三院),见图3。


卵巢恶性肿瘤术后化疗后;肝转移切除术后化疗后;透明细胞癌Ⅳ期;高血压3级(很高危);下肢静脉滤器置入术后。
积聚,气虚血瘀毒结证。
病理诊断明确,无须鉴别。
该病例属于晚期OCCC患者,二次术后,二次化疗后,当前阶段仅予中医药维持治疗。
治法:益气扶正,活血化瘀,解毒散结。
1.方:益气活血解毒方
生黄芪30 g 生白术15 g 枸杞子15 g 莪术9 g
郁金12 g 紫草12 g 山慈菇12 g 皂角刺12 g
夏枯草15 g 白花蛇舌草30 g 金银花30 g 重楼15 g
盐橘核12 g 醋青皮9 g 川楝子9 g 全蝎6 g
桂枝9 g 乌药9 g 肉桂6 g 醋鳖甲20 g
熟大黄15 g 煅磁石60 g先煎 生石膏60 g先煎 防风9 g
天花粉20 g 醋鸡内金12 g
28剂,水煎服,两日一剂,早晚饭后半小时温服
2.康力欣胶囊1.5 g口服3次/d
3.此后嘱患者每3个月复查肿瘤标志物、妇科检查、妇科超声,每半年复查腹盆CT,根据病情完善其他相关检查。同时根据患者证候每2~3个月调整处方。
2019年3月18日:荨麻疹,舌淡苔薄,脉弦,余无特殊不适。予原方+蜜麻黄6 g,土茯苓30 g,28剂,两日一剂,成药同前。
2019年5月6日:CA125 6.96 U/ml,荨麻疹好转,背痛,舌淡苔薄,脉弦。予原方-麻黄,土茯苓,防风,+白蒺藜12 g,28剂,两日一剂,成药同前。
2019年7月12日:CA125 5.46 U/ml,余无特殊不适,舌淡暗苔薄,脉弦。予原方-夏枯草,全蝎+鼠妇15 g,28剂,两日一剂,成药同前。
2019年10月9日:CA125 6.66 U/ml,余无特殊不适,舌淡苔薄,脉弦涩。予原方+红藤30 g,川芎12 g,28剂,两日一剂,成药同前。
2019年12月26日:大便通畅,入睡困难,CA125 5.37 U/ml,余无特殊不适,舌暗苔薄,脉弦。予原方-熟大黄、煅磁石+首乌藤30 g,28剂,两日一剂,成药同前。此后患者因疫情原因暂停服药近半年。
2020年5月26日:右手湿疹,失眠,焦虑,心慌易惊。CT:右侧心膈角多发淋巴结转移较前缩小,余同前,舌淡苔略腻,脉沉。予原方-川芎、重楼、桂枝、红藤、鳖甲、鼠妇、首乌藤,+夏枯草15 g,白鲜皮15 g,鲜龙葵果10 g后下,炒酸枣仁30 g,琥珀3 g冲服,鳖甲胶9.4 g烊化,水蛭6 g,28剂,两日一剂,成药同前。
2020年7月31日:CA125 7.21 U/ml,舌淡苔略薄腻,脉沉。予原方+知母12 g,龟甲胶烊化5 g,胆南星12 g,葛根12 g,首乌藤30 g,煅赤石脂9 g,28剂,两日一剂,成药同前。
2021年4月14日:轻微咳嗽,CA125 8.58 U/ml,予原方-生石膏,+生石膏30 g先煎,蜜麻黄6 g,28剂,两日一剂,成药同前。
2021年10月8日:汗出,眠差,咳嗽好转,CA125 6.43 U/ml。基因检测:BRCA1/2均为阴性。CT:肝右叶顶部前缘见梭形低密度,无明显强化,约35 mm×14 mm;右侧心膈角多发淋巴结影,肝门及胰头周围多发小淋巴结,大致同前。予原方--生石膏,蜜麻黄,首乌藤,酸枣仁,+珍珠母30 g,麻黄根30 g,28剂,两日一剂,成药同前。
此后患者均规律就诊,规律服药。2022年9月27日复查CT:肝右叶顶部前缘见梭形低密度,无明显强化,约31 mm×13 mm,略缩小;右侧心膈角多发淋巴结影,肝门及胰头周围多发小淋巴结,大致同前;CA125 7.72 U/ml。转归:直至现在,术后5年余,无进展生存4年余,患者无明显不适,复查无明显进展。






OCCC是特殊类型的OC,Ⅲ~Ⅳ期或复发的OCCC在OC中预后最差。研究表明[4],因OCCC存在耐药和缺乏靶向药物的特点,减瘤治疗联合化疗不能改善晚期或复发性OCCC的预后。该例患者即处于复发后二次术后化疗后阶段,生活质量低,亟须寻求有效的治疗方式,改善生活质量,预防进一步进展。中医药以其"多途径、多靶点、多环节起效,整体-微观结合,副作用小"的诊疗特点对于晚期OCCC治疗是新的思路与启发。文中所用"益气活血解毒方"(组方:生黄芪、山药、莪术、三棱、白花蛇舌草、鲜龙葵果等),是在近代名医张锡纯名方"理冲汤"和仲景"桂枝茯苓丸"的基础上,由中国中医科学院广安门医院卢雯平主任医师自拟经验方,经过长期临床验证,临床疗效确切。团队前期一项涵盖300例晚期上皮性OC患者的随机对照研究发现[5],益气活血解毒方维持治疗较安慰剂组的中位无进展生存期分别为21个月与18个月,有明显统计学意义(P=0.038<0.05)。前期一项基础研究证实益气活血解毒方对小鼠移植瘤的抑制作用与其抑制肿瘤微环境中调节性T细胞及新生血管生成,下调转化生长因子-β和白介素-10等炎性因子有关[6]。结合本例患者为晚期OC术后、化疗后,刻下表现乏力、大便不畅、眠差,积聚诊断明确,证属气虚血瘀毒结。患者术后、化疗后,伤及正气,故可见乏力;血瘀毒结,阻滞气机,气不能宣达,大肠通降失常,糟粕内停,不得下行,加之气虚无力推动,故可见大便不畅;患病后思虑太过,损伤心脾,心血暗耗,故眠差。针对OC本身病机特点,选用乌药、肉桂、桂枝等温阳之品。针对癌毒特点,选用黄芪、白术益气健脾扶正;莪术、郁金、紫草破血逐瘀,化瘀毒;山慈菇、皂角刺、夏枯草、鳖甲散结,化痰毒;白花蛇舌草、金银花、重楼清热解毒,化热毒;橘核、川楝子、青皮调畅气机,重视三焦气机的调达,使全方升降相宜,变化有因;全蝎以毒攻毒。OC发展不同阶段,正虚、气滞、痰浊、瘀血、热毒各有偏重,需要动态分析,同时结合个人,精准论治。故选用熟大黄改善排便不畅、煅磁石重镇安神,起到精准施治之功。经过长期随访,目前患者术后5年余,无进展生存4年余,生活质量较前明显提升,检查无明显进展。综上,中医药用于晚期OC维持治疗是OC治疗新的思路,可以达到理想疗效,但仍需要在细胞和动物水平乃至临床试验中进一步验证。
梅荷婷,卢雯平.双侧卵巢透明细胞癌肝转移术后中药维持治疗1例[DB/OL].中国临床案例成果数据库,2023(2023-05-19).http://journal.yiigle.com/LinkIn.do?linkin_type=cma&DOI=10.3760/cma.j.cmcr.2023.e01460.
所有作者均声明本研究不存在利益冲突





















