
患者,男性,70岁,因"腓骨骨折8 d,气促1 d余,加重14 h"在本院诊断为肺栓塞,入院后随即突发心跳呼吸骤停。
右腓骨骨折行"石膏固定"后卧床休息,1 d余前突发胸闷、气促,活动耐量明显下降,14 h前症状加剧,伴濒死感,休息无法缓解。氧合明显下降、血压低,随后突发心跳呼吸骤停,经心肺复苏及气管插管抢救,应用呼吸机及血管活性物质维持生命体征。
根据病史、临床表现,结合D-二聚体、CT肺动脉造影及超声心动图确诊。
通过持续胸外心脏按压及呼吸机维持生命征,急诊送DSA室,行肺动脉溶栓+吸栓术及下腔静脉滤器植入,继续予以低分子肝素钠抗凝治疗。稳定后改为利伐沙班,抗凝6个月随访。
康复出院,未复发。
呼吸科;心血管内科;急诊科;血管外科;重症医学科
版权归中华医学会所有。本文为遵循CC-BY-NC-ND协议的开放获取文章。
肺栓塞是指肺外的栓子经静脉系统回流到右心,在肺动脉中堵塞而引起的以肺循环障碍为基础的一系列临床病理生理综合征[1],包括肺血栓栓塞症、脂肪栓塞综合征、羊水栓塞、空气栓塞等,其中肺血栓栓塞症是最常见的一种类型。呼吸困难、胸痛和咯血为经典的肺栓塞"三联征",其他症状如晕厥、咳嗽、濒死感等也是常见临床表现,严重的可表现为休克、低血压等血流动力学不稳定症状[2]。因此,对肺栓塞患者早期危险分层,有助于正确制定治疗策略。在这里我们报道一例高危急性肺栓塞,除了提高对本病的认识,还能为临床医务人员对急性肺栓塞的介入治疗提供借鉴。
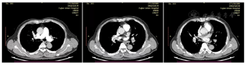
患者,男性,70岁,已婚。主诉:腓骨骨折8 d,气促1 d余,加重14 h。患者8 d前因右侧腓骨骨折就诊当地医院,行"石膏固定术"后卧病在床,期间无胸痛、气促,无咳嗽、咯血,无心悸、晕厥不适。1 d余前(2022年4月10日13:00)突发气促,活动后加重,休息症状减轻,起初未重视,未诊治。14 h前上述症状加重,伴濒死感,无胸痛、咳嗽、咯血、晕厥不适,遂急诊我院,查D-二聚体10.43 μg/ml;CT肺动脉造影示双肺动脉主干末端及分支栓塞;超声心动图示三尖瓣中度反流,估测肺动脉收缩压73 mmHg(1 mmHg=0.133 kPa);下肢静脉彩超示右侧股浅静脉下段、腘静脉、胫后静脉实体回声(血栓?)。考虑"急性肺动脉栓塞",予低分子肝素钠抗凝、平喘、抗感染等处理后,拟"急性肺栓塞"收住心内科CCU病房。
既往史:高血压病史10余年(长期口服不详药物),血压控制可,否认冠心病、慢性肺部疾病及脑血管病史,未发现食物、药物过敏史。个人史:退休职员,否认长期放射性物质、毒物接触史,否认吸烟、嗜酒史,否认吸毒史。体格检查:T 36.7℃,P 97次/min,R 20次/min,BP 88/48 mmHg。神志清楚,双肺呼吸音粗,未闻及明显干湿性啰音。心率97次/min,律齐,P2>A2,各瓣膜听诊区未闻及杂音。腹平软,无压痛及反跳痛。双下肢无静脉曲张,未见水肿。
实验室检查:白细胞计数9.2×109/L、血红蛋白136 g/L、血小板计数210×109/L;凝血酶原时间13.9 s、活化部分凝血活酶时间40.6 s、纤维蛋白原3.20 g/L、D-二聚体10.43 μg/ml;葡萄糖6.69 mmol/L、钾4.59 mmol/L、钠135.4 mmol/L、肌酐88 μmol/L、白蛋白39.3 g/L、谷草转氨酶31 U/L、谷丙转氨酶34 U/L、总胆红素19.0 μmol/L;血液酸碱度7.451、二氧化碳分压34.9 mmHg、氧分压92.9 mmHg、全血碱剩余0.9 mmol/L、氧合指数442 mmHg;C-反应蛋白20.18 mg/L、降钙素原0.107 ng/ml;肌钙蛋白-I 0.041 ug/L,N端-B型钠尿肽前体1295 pg/ml。
CT肺动脉造影示双肺动脉主干末端及分支栓塞;双肺多发斑片、条片及结节影,考虑炎症;右肺中叶小钙化灶。超声心动图示Lved 37.8 mm,Ef 61.2%(Teich),三尖瓣中度反流,估测肺动脉收缩压73 mmHg,室间隔增厚,主动脉瓣钙化。下肢静脉彩超示右侧股浅静脉下段、腘静脉、胫后静脉实体回声(血栓?)。心电图示窦性心动过速,T波改变。


诊断为急性肺栓塞,肺动脉高压,右侧股浅静脉下段、腘静脉、胫后静脉血栓,双肺炎症,高血压病3级(极高危),右侧腓骨骨折石膏固定术后。患者骨折石膏固定术后卧床,突发气促,CT肺动脉造影提示肺动脉充盈缺损,下肢彩超提示静脉血栓,实验室检查提示D-二聚体明显升高,故急性肺栓塞诊断明确。且本病例中,超声心动图提示肺动脉收缩压73 mmHg,实验室检查提示肌钙蛋白-I 0.041 ug/L、N端-B型钠尿肽前体1295 pg/ml,危险分层属于中高危患者,需密切监测病情,必要时补救性再灌注治疗;此外下肢静脉彩超提示血栓形成,有脱落致肺栓塞加重风险,有植入下腔静脉滤器的指征。肺栓塞需与下列疾病相鉴别。
冠心病:此类患者可出现胸闷、气促,心电图有缺血性改变,患者高龄女性,合并高血压病,需警惕同时合并冠心病可能,必要时完善CT冠脉造影进一步排除。
肺炎:多有发热、咳嗽、胸痛、呼吸困难等表现,患者虽无相关临床表现,但炎症指标稍偏高,且肺部影像学检查提示双肺多发斑片、条片及结节影,考虑同时合并肺部感染。
患者诊断"急性肺动脉栓塞"明确,入院密切监测病情时突发心跳呼吸骤停,立即予心肺复苏、气管插管等抢救措施,鉴于其系急性肺栓塞所致心跳呼吸骤停,属于高危患者,有再行灌注治疗的指征。与家属充分沟通后于2022年4月11日急诊行"肺动脉造影+吸栓术+下腔静脉滤器植入术",术中于肺动脉内注入尿激酶20万单位,使用抽吸导管反复抽吸,术顺,术后转入CCU病房继续治疗。


患者术后出现高热、炎症指标显著升高,伴心、肝、肾、造血功能不全,考虑"脓毒血症、多器官功能障碍综合征",CCU团队制定诊疗方案,同时在呼吸科、血液科、肾内科等多学科的协助下,对患者病情精准评估,给予抗凝、抗感染、血管活性物质维持血压、镇静、补液扩容、营养支持及高级生命支持等积极救治。患者意识逐步恢复,生命征平稳,多脏器功能障碍得到纠正,且通气氧合情况改善,于2022年4月16日拔除经口气管插管,2022年4月25日转入普通病房继续抗凝、抗感染等治疗。复查下肢静脉彩超提示右侧胫后静脉、腓静脉及小腿肌间静脉实体回声(血栓?);CT肺动脉造影提示肺动脉栓塞术后,右下肺动脉栓塞,较前好转。于2022年5月7日行"下腔静脉滤器取出术",根据凝血情况桥接华法林口服继续抗凝治疗。


于福建医科大学附属协和医院进一步完善检查:实验室检查提示抗心磷脂抗体、狼疮抗凝物质检测、同型半胱氨酸、易栓症筛查均正常,抗凝血酶Ⅲ活性测定57%,抗核抗体ANA+ANA抗体谱阴性。初步排除免疫性疾病、肿瘤等其他继发性因素所致肺栓塞,结合患者病史,病因考虑系骨折术后长期卧床下肢血栓形成并脱落致急性肺动脉栓塞。
患者术后第14天转入心血管内科普通病房治疗,因口服华法林监测INR未达标,改为口服利伐沙班抗凝,并在普通病房治疗后康复出院。患者出院后1个月门诊随访无复发。
本例患者系骨折术后卧床,以突发气促为主要临床表现,实验室检查D-二聚体升高,CT肺动脉造影见肺动脉主干充盈缺损,超声心动图见三尖瓣中度反流,肺动脉高压,故急性肺动脉栓塞诊断明确。鉴于肌钙蛋白-I、N端-B型钠尿肽前体均明显升高,且入院后即突发心跳呼吸骤停,危险分层为高危病例,有急诊再灌注治疗的指征。[3]本病例中患者经心肺复苏及气管插管等积极抢救后,急诊行肺动脉吸栓术,争分夺秒地进行并成功挽救患者的生命,为高危急性肺栓塞急诊取栓再现成功病例。
长期卧床、高龄、肥胖、妊娠、患过恶性肿瘤、长期服用避孕药等人群,因全身血液呈高凝状态,容易引发下肢深静脉血栓形成[4]。本病例中患者既往骨折术后卧床病史明确,下肢彩超见血栓形成,系急性肺栓塞常见病因,临床上对此类病人应加强护理预防下肢静脉血栓形成,必要时接受抗凝治疗。
对于高危急性肺栓塞患者,在急性期除了基础的抗凝治疗外,还需要呼吸支持、循环支持,以及再灌注治疗(包括溶栓和介入取栓)[5]。对于疾病后期的管理,待患者病情稳定后,需要3个月以上的抗凝治疗,至于药物的选择,主要有华法林或凝血因子Xa抑制剂,而抗凝的疗程则需要根据患者的病情个体化制定方案。
吴远生,董现锋,李淑梅,等.高危急性肺栓塞致心跳呼吸骤停急诊取栓1例[DB/OL].中国临床案例成果数据库,2023(2023-05-29).http://journal.yiigle.com/LinkIn.do?linkin_type=cma&DOI=10.3760/cma.j.cmcr.2023.e01529.
本研究中的所有作者均声明本研究不存在利益冲突





















