
患者,女性,45岁,主诉"双手雷诺现象10余年,间断发热1个月余",于2019年8月入院。
患者口唇变薄,口唇周围皮肤收缩呈放射状,伴张口受限,双手指皮肤紧绷、呈非凹陷性水肿,双手可见指溃疡、部分色素脱失,前臂及颈部皮肤光滑呈腊肠样。
根据患者症状体征以及辅助检查确诊为系统性硬化症。
甲氨蝶呤10 mg/周、托法替布5 mg bid。
治疗后复查关节症状消失,皮疹消失,血沉及CRP正常。
风湿免疫科
版权归中华医学会所有。本文为遵循CC-BY-NC-ND协议的开放获取文章。
系统性硬化症(systemic sclerosis,SSc)是一类以皮肤增厚变硬为突出表现的系统性自身免疫性疾病,除皮肤受累外,也可影响内脏(肺、心血管、肾脏、消化道等)。血清中可查到抗核抗体、抗着丝点抗体、抗拓扑异构酶等多种自身抗体。约80%的SSc患者可发生间质性肺炎(interstitial lung diseaseILD),严重威胁患者的生活质量和生存。SSc强调早期药物治疗,包括激素、免疫抑制剂、生物制剂和血管活性药物[1]。现报道1例应用JAKi(托法替布)改善SSc相关ILD的患者,旨在增强对SSc患者ILD筛查和早期干预的意识,探讨JAKi对SSc-ILD的临床疗效。
患者,女性,45岁,主诉"双手雷诺现象10余年,间断发热1个月余",于2019年8月13日入院。患者10年前无诱因出现双手遇冷变白后变紫,伴双手指晨僵<10 min ,无乏力、纳差、发热,无咳嗽、咳痰、胸闷、胸痛等不适症状,逐渐出现双手指皮肤变硬,伴握拳困难,未治疗。1个月前无明显原因出现发热,最高体温38.7℃,伴全身酸疼、乏力,伴口干、咽痛,伴雷诺现象,伴活动后胸闷、气促,无恶心、呕吐、腹痛,就诊于当地诊所,给予左克、双黄连注射液等抗炎治疗2周,效果控制欠佳,体温反复升高。1周前为进一步治疗转当地县医院,查白细胞2.6×109/L,血红蛋白93 g/L,C-反应蛋白(CRP) 15.8 mg/L,红细胞沉降率(ESR)40 mm/h,肌酸激酶314 U/L,乳酸脱氢酶249 U/L,肺部CT示双肺多发炎症,肺功能检示:中度限制性通气功能障碍,肺弥散功能中度减退。给予"左克、头孢类"药物治疗3 d,症状仍控制欠佳,至我院门诊以系统性硬化症收入我科;患者既往体检,否认其他慢性病史;月经周期紊乱;个人史、家族史:无特殊。
体温37.3℃,心率68次/分,呼吸21次/分,血压126/88 mmHg(1 mmHg=0.133 kpa);口唇变薄,口唇周围皮肤收缩呈放射状,伴张口受限,双手指皮肤紧绷、呈非凹陷性水肿,双手可见指溃疡、部分色素脱失,前臂及颈部皮肤光滑呈腊肠样。
白细胞2.13×109/L,血红蛋白99 g/L,淋巴细胞0.78×109/L,余正常;血生化:谷草转氨酶AST 48.4 U/L,白蛋白ALB 34.8 g/L,肌酸激酶363.8 U/L,乳酸脱氢酶302 U/L,余正常;尿便常规阴性;抗ANA抗体:1﹕320 S/H(颗粒型/均质型),抗SSA、Scl-70、ACA、Ro-52抗体均阳性,类风湿因子81.4 IU/ml,抗CCP抗体、抗ds-DNA为阴性,ANCA定性+定量均阴性,Ig+补体:阴性,ESR 35 mm/h,CRP 0.76 mg/L。
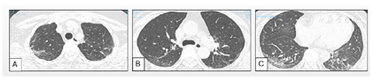
心电图为窦性心动过缓;骨密度检查低骨量;彩色超声:甲状腺弥漫性回声改变,双侧甲状旁腺区未见明显异常,二尖瓣、三尖瓣轻度反流(Ti:26 mmHg),左室舒张功能下降;肝实质弥漫性回声改变,右肾囊肿;支气管镜检查:左侧、右侧主支气管发现各叶段支气管内少量分泌物,各叶段支气管管口通畅,黏膜充血水肿。留置标本送检,ROSE未见菌丝;2019年8月9日检查肺部高分辨率(high resolution CT,HRCT)示⑴双肺间质性肺炎,建议治疗后复查;⑵双侧胸膜局限性增厚;⑶纵隔内及双侧腋下多发稍大淋巴结(图1A~C);肺功能检查:中度限制性通气功能障碍,肺弥散功能中度减退,小气道受累。


1.诊断:⑴SSc,弥漫性皮肤型SSc间质性肺炎;⑵双肺炎症;⑶白细胞减低;⑷贫血。
根据"2013 ACR/EULAR系统性硬化症分类标准",患者评分>9分(双手手指皮肤增厚并延伸至掌指关节近端,手指肿胀、指端溃疡,间质性肺病,雷诺现象,自身抗体Scl-70、ACA均阳性,共计19分),根据皮肤累及范围及临床特征,患者手部皮肤增厚变硬超过肘、膝并达到其近端(上臂及大腿远端1/3处),累及至躯干,分类为弥漫皮肤型SSc;采用改良Rodnan皮肤评分(modified Rodnan skin score,mRSS)评估得分21分。
鉴别诊断:
1.局灶性硬皮病(localized scleroderma,LS),又称为硬斑病(morphea),后者是一种引起皮肤纤维化的非系统性的皮肤病变,通常无结构性血管损害和内脏累及。局灶性硬皮病可分为五种亚型:局限型硬斑病、泛发型硬斑病、线状硬斑病、深部硬斑病及混合型硬斑病。
2.其他皮肤纤维化疾病,需排除成人硬肿病、硬化性黏液水肿、嗜酸性筋膜炎、慢性移植物抗宿主病、肾源性系统性纤维化、硬化萎缩性苔藓和僵硬皮肤综合征等SSc类似疾病。
患者从2019年8月9日应用哌拉西林他唑巴坦钠4.5 g每8小时1次,共10 d,注射人免疫球蛋白20 g/d,共5 d,同时应用"贝前列腺素片40 µg每日3次","泼尼松30 mg每日1次(逐渐减量)","吡非尼酮0.3 g每日1次",应用奥美拉唑、钙片、阿法骨化醇等药物对症治疗;2019年8月24日开始每月静脉注射环磷酰胺1.0 g用6次,每3个月1.0 g用3次,累计9 g;后因为患者输注环磷酰胺后间质性肺炎较前加重(图2A~C),由于患者胃肠道副作用、月经周期紊乱、皮肤硬化缓解不明显、输液困难等原因,于2020年11月开始停用环磷酰胺输注,调整为口服托法替布5 mg每日2次,余治疗同前。


2021年9月复查,患者mRSS评分为13,血沉10.2 mm/h,C反应蛋白4.31 mg/dl,白细胞8.78×109/L,6MWD(6分钟步行试验) 512 m。患者间质性肺炎较前好转,肺纤维化评分Sverzellati视觉评分8分(2019年8月,2020年2月,2020年6月,2020年11月,2021年9月:23分→15分→8分→13分→8分)。
SSc来源于希腊语中的硬和皮肤两个词语。虽然SSc被认为是一种所谓的孤儿病,患病率低,但它导致不同比例的发病率和病死率,由于初始症状无特异性,一般临床医师在检查和治疗方面缺乏经验,而诊断延误又会加剧这种病情;临床中相当比例的SSc-ILD患者无症状,特别是在疾病的初始阶段以及行动受到限制时,患者又无肺内表现,HRCT作为重要的检查方法已被证明具有良好的诊断精度。本文通过总结对患者的诊断及并发症ILD的筛查,并针对指端溃疡、皮肤和肺纤维化给予积极治疗,密切随诊患者病情变化,在患者间质性肺炎程度加重时积极寻找病因并及时调整治疗方案。该患者在诊断早期通过HRCT及时发现ILD,并给予针对性治疗。
SSc的治疗原则为皮肤受累范围和病变程度为诊断和评估预后的重要依据。早期治疗的目的在于阻止新的皮肤和脏器受累,而晚期的目的在于改善已有的症状[2]。
关于外周血管病(指溃疡),指南推荐静脉伊洛前列素应当用于治疗SSc患者的指端溃疡(digital ulceration,DU)(strength of recommendation:A);PDE-5抑制剂应当应用于治疗SSc患者的DU(strength of recommendation:A);波生坦可以减少新溃疡的出现,故对于应用二氢吡啶类钙离子通道阻滞剂、PDE-5抑制剂或静脉伊洛前列素治疗的多发DU患者也可应用(strength of recommendation:A)[2]。
关于纤维化(皮肤+肺)指南推荐[2]:甲氨蝶呤(MTX)可用于early diffuse SSc皮肤病变(strength of recommendation:A);由于2个高质量的RCT(中文标注)研究,尽管环磷酰胺的副作用,环磷酰胺应被用于SSc-ILD,特别是进行性加重的患者(strength of recommendation:A)。
此外,随着对导致间质性肺炎生物学过程的研究和靶向治疗的发展,SSc-ILD的治疗不断发展。虽然传统的免疫抑制剂仍然是治疗的支柱,但靶向生物制剂治疗和抗纤维化治疗的受益也逐渐被认识,查阅文献,近期北京协和医院10例弥漫性皮肤型SSc(dcSSc)使用托法替布对比12例使用常规免疫抑制剂患者作为对照组,使用托法替布患者mRSS评分减少且没有新器官受累,而且,对于进行性皮肤硬化的难治性dcSSc患者,JAK酶抑制剂(Janus kinases inhibitor,JAKi)与常规免疫抑制剂一样有效甚至更佳,更快起效,更高有效率[3,4];此外,JAKi治疗可使RA-ILD中83.9%的患者处于ILD稳定或者改善[5]。
SSc-ILD是一类罕见且严重的自身免疫性疾病,临床上亟待更多诊疗方法介入,有学者结合基因表达综合数据库(Gene Expression Omnibus, GEO)数据库,并基于生物信息学分析方法研究发现IL-6、IL-1β、CCL2等炎症因子与SSc-ILD相关[6],将这些靶点作为SSc-ILD的生物标志物或开发靶向这些基因的药物用于治疗SSc-ILD,相信也会为SSc-ILD的早期诊断和开发新的治疗药物提供更多方向。
周俊飞,楚天舒.系统性硬化症患者间质性肺炎1例[DB/OL].中国临床案例成果数据库,2023(2023-05-30).http://journal.yiigle.com/LinkIn.do?linkin_type=cma&DOI=10.3760/cma.j.cmcr.2023.e01543.
所有作者均声明本研究不存在利益冲突





















