
患者,女性,54岁,主因"头晕、乏力、食欲减退1个月,姿势异常伴吞咽困难20余日"入院。入院前17 d食欲减退严重,同时出现双手特殊姿势。入院前20余日认知障碍逐渐加重,表现为不能正常对答且注意力涣散,定向力、计算力、记忆力等高级神经活动明显减退且逐渐加重,夜间睡眠时间缩短,日间思睡增多,昼夜节律紊乱。
神志清楚,不能言语,高级神经活动查体不合作,疑似木僵状态,睁眼状态,无意识内容或缺乏意识内容,睡眠和觉醒周期紊乱。四肢肌力粗测Ⅳ级,四肢肌张力增高,双手小指、中指、无名指外展背屈,双手拇指与食指对合,不能握拳,四肢腱反射(+++),双侧Babinski征(+),感觉系统和共济运动检查不合作。颈抵抗(±),布氏征及克氏征(-)。四肢肌容积正常,未见肌萎缩,未见四肢不自主运动,无肌阵挛。自主神经系统检查未发现明确异常。
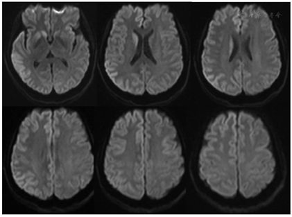
头部MRI平扫及增强检查显示右额颞顶、左额皮层脑回样略高信号影,双侧尾状核头异常信号,右侧为著,未见明显强化改变。头颈及主动脉弓以上CT血管造影检查未见大血管狭窄及异常。24 h动态脑电图提示各导联持续呈现广泛性间隔0.5~1 s中高幅周期性三相波,多以右额颞导联波幅较高,且各导联可见大量散在中高幅不规则慢波及短中程6Hz中幅慢波活动。脑脊液朊病毒检测[实时震动诱导转化(RT-QuIC)技术]结果阳性。
缓解肌张力、改善认知障碍、抗病毒等对症支持治疗。
入院后症状无明显改善。患者不能经口进食遂予胃管置入。家属要求转至当地医院继续治疗。患者病情加重并于出院后4个月余死亡,死亡后未进行尸检。
神经内科
版权归中华医学会所有。本文为遵循CC-BY-NC-ND协议的开放获取文章。
朊病毒相关疾病是临床上相对罕见的致命性疾病,其病因可分为散发性、遗传性及获得性。最常见的人类朊病毒病是散发型克-雅病(sporadic Creutzfeldt-Jakob disease,sCJD),突出表现为快速进展性痴呆(rapid progressive dementia,RPD),以及肌阵挛、小脑、锥体外系和锥体系症状,从症状发作到死亡的中位生存期仅为几个月。克-雅病发病早期易与其他疾病在临床表现、进展速度、脑脊液生物标记物、脑电图及影像学表现等方面混淆。克-雅病难以早期识别和诊断。以往的诊断标准包括临床症状、14-3-3蛋白、脑电图周期性放电及病理性三相波、特征性头部MRI表现,而最新CJD指南推荐增加实时震动诱导转化(Real-time quaking-induced conversion,RT-QuIC)检测阳性作为辅助诊断sCJD的标准之一[1]。本文通过1例临床表现为进展性认知功能障碍、锥体外系症状及无动性缄默,头部MRI提示皮层及基底节区异常信号,脑脊液RT-QuIC检测阳性,最终被诊断为很可能的散发型克-雅病患者,并结合相关文献回顾,探讨RT-QuIC技术在早期识别sCJD中的重要性。
患者,女性,54岁,工人退休,主诉"头晕、乏力、食欲减退1个月,姿势异常伴吞咽困难20余日"。患者于入院前1个月出现头晕,四肢乏力,伴随食欲减退,情绪易激动,恶心,非喷射性呕吐。无头痛、发热、腹泻。于当地医院消化内科行胃肠镜检查,未见明显异常。入院前17 d食欲减退严重,同时出现双手特殊姿势,表现为双手小指、中指、无名指外展背屈,双手拇指、食指对合,不能握拳,反复出现,双下肢僵硬并逐渐加重,不能行走。追问病史,家属诉患者近20余日认知障碍逐渐加重,表现为不能正常对答且注意力涣散,定向力、计算力、记忆力等高级神经活动明显减退且逐渐加重,夜间睡眠时间缩短,日间思睡增多,昼夜节律紊乱。患者无高血压、冠心病、糖尿病、脑血管病、精神病史。既往甲状腺囊肿切除术后20年。无烟酒嗜好。适龄结婚,育有1子,子体健。否认相关疾病家族史。
入院体格检查:体温36.7℃,脉搏108次/min,呼吸17次/min,血压左143/104 mmHg(1 mmHg=0.133 kPa),右138/98 mmHg,内科查体无异常。神经科体格检查:神志清楚,不能言语,高级神经活动查体不合作,疑似木僵状态,睁眼状态,无意识内容或缺乏意识内容,睡眠和觉醒周期紊乱。四肢肌力粗测Ⅳ级,四肢肌张力增高,双手小指、中指、无名指外展背屈,双手拇指与食指对合,不能握拳,四肢腱反射(+++),双侧Babinski征(+),感觉系统和共济运动检查不合作。颈抵抗(±),布氏征及克氏征(-)。四肢肌容积正常,未见肌萎缩,未见四肢不自主运动,无肌阵挛。自主神经系统检查未发现明确异常。
入院后完善血细胞分析、凝血功能、血糖、血脂、电解质、肝功能、肾功能、心肌酶、B型利钠肽、乙肝、梅毒、丙肝、HIV、铁蛋白、维生素B12、叶酸、甲状腺功能、抗核抗体、ANCA相关血管炎抗体等相关检测均未见异常。肿瘤标志物检测提示神经元特异性烯醇化酶测定38.36 ug/L(参考范围0~16.3 ug/L)。腰椎穿刺脑脊液压力53.2 mmH2O,脑脊液总细胞460×106/L,白细胞2×106/L。脑脊液蛋白、葡萄糖、氯化物、腺苷脱氨酶、乳酸均正常。脑脊液宏基因组二代测序(NGS)、自身免疫性脑炎相关抗体、脱髓鞘疾病相关抗体、副肿瘤神经综合征抗体、脑脊液寡克隆带及血清寡克隆带均阴性。头部MRI平扫及增强检查显示右额颞顶、左额皮层脑回样略高信号影,双侧尾状核头异常信号,右侧为著,未见明显强化改变(图1)。头颈及主动脉弓以上CTA检查未见大血管狭窄及异常。24 h动态脑电图提示各导联持续呈现广泛性间隔0.5~1 s中高幅周期性三相波,多以右额颞导联波幅较高,且各导联可见大量散在中高幅不规则慢波及短中程6Hz中幅慢波活动。脑脊液14-3-3蛋白检测结果阴性。患者PRNP基因检测显示无与遗传型朊病毒疾病相关的突变,PRNP基因129位氨基酸多态性为M/M型。脑脊液朊病毒检测(RT-QuIC技术)结果阳性。




诊断很可能的散发型克-雅病。
缓解肌张力、改善认知障碍、抗病毒等对症支持治疗。
患者病情加重并于出院后4个月余死亡,死亡后未进行尸检。
患者存在快速进展的认知功能减退,锥体外系症状,无动性缄默,MRI显示双侧尾状核头、壳核及双侧皮层"花边样"高信号等特征性改变,脑脊液中可检出致病性朊蛋白,根据美国国家克-雅病研究和监测单位(NCJDRSU)2020年最新临床指南[1],本例诊断临床很可能的散发型克-雅病。
克-雅病(CJD)是一种由异常折叠的朊病毒引起的致死性神经退行性疾病,具有潜在传染性。病理改变为神经元丢失,反应性胶质增生及脑组织海绵状病变。根据不同的发病原因,克-雅病可分为遗传型[与朊病毒基因(PRNP)的突变相关],医源型,变异型以及散发型CJD。其中散发型CJD(sCJD)是人类朊病毒病的最常见形式(约90%的病例),国外有研究报道发病率约为每百万人年1.5~2.0例[2]。sCJD的临床表现存在显著异质性,包括但不限于快速进展性痴呆、小脑共济失调和肌阵挛。患者潜伏期可长可短,发病后迅速进展,目前尚无明确且有效的治疗方法,病死率可达100%。
对于sCJD的临床指南及诊断标准一直处在不断发展和变化中。1998年,世界卫生组织(WHO)将一些特征性症状(进展性痴呆、小脑或视觉症状、锥体系或锥体外系症状、无动性缄默)的组合、脑电图(EEG)和脑脊液(CSF)14-3-3蛋白的检测阳性作为诊断标准[3]。由于当时头部MRI并未普及,诊断标准中并未提及MRI及其他影像检测,只将丘脑枕T2高信号作为可疑指示。由于核磁技术的不断迭代革新,通过弥散加权成像(DWI)及液体衰减反转恢复序列(FLAIR)可发现CJD患者基底节及皮层异常信号。且不同亚型CJD患者具有不同特征的头部MRI表现[4]。基于以上研究,2009年CJD临床诊断指南将头MRI特征表现纳入诊断标准,这其中包括相关流行病学史、特征性临床症状(进展性痴呆、小脑或视觉症状、锥体系或锥体外系症状、无动性缄默),头部MRI典型影像学表现(DWI或FLAIR上尾状核、壳核或颞顶枕叶至少两处皮层异常信号),脑电图出现周期性放电,脑脊液中检测出14-3-3蛋白;对于有2项特征临床症状且合并1项辅助检查阳性发现者,且排除其他可能疾病后可被诊断为临床很可能的散发型CJD[5]。脑组织活检仍为确诊的金标准。但由于活检取材部位的准确性,相关伦理以及医源性传播风险等因素,病理活检相对较少。近年来,实时震动诱导转化(RT-QuIC)技术的出现为早期诊断CJD提供新的方向。最新sCJD诊断指南(NCJDRSU指南)推荐将具有进展性神经精神症状同时通过RT-QuIC技术发现人体组织中含有朊病毒的患者诊断为临床很可能的散发型CJD[1]。
RT-QuIC是目前sCJD实验室检测相关研究的焦点[6]。RT-QuIC是一种改良的诱导扩增技术,可通过周期性震动在体外将错误折叠的致病性朊病毒,扩增为淀粉样蛋白,并通过硫磺素T(ThT)荧光标记后对致病物质进行实时监测。一项临床回顾性研究纳入65名患者,其中30名患者尸检确诊为sCJD,另外35名患者被诊断为其他疾病。以上患者均予脑脊液RT-QuIC及14-3-3蛋白检测。结果发现脑脊液14-3-3蛋白敏感性为72%,特异性为86%,而RT-QuIC敏感性为83%,特异性为100%;脑脊液14-3-3蛋白阳性预测值为72%,阴性预测值为86%,脑脊液RT-QuIC检测阳性预测值为100%,阴性预测值为92%[7]。目前越来越多的类似报道及研究提示脑脊液RT-QuIC检测效力优于14-3-3蛋白。近期,中国疾病预防与控制中心联合国内多家大型病毒实验室开展RT-QuIC的敏感性和特异性研究。研究纳入30例确诊sCJD患者及30例确诊非sCJD患者,通过RT-QuIC技术评估患者脑脊液(CSF)样本。结果发现在30例sCJD的CSF样本中,29例显示阳性结果。相比之下,所有非CJD样本均为阴性。研究结果显示RT-QuIC检测的敏感性和特异性分别为96.67%和100%[8]。动物试验研究发现,RT-QuIC还可通过检测皮肤黏膜组织对未出现症状的CJD模型大鼠进行早期预测[9]。另有研究表明RT-QuIC检测技术可对疑似患者的嗅上皮拭子进行分析及检验,敏感性可达97%,特异性为100%,因此对于外周组织,RT-QuIC有望表现出相当的检测效力[10]。RT-QuIC在中枢神经系统和外周组织的各种样本中具有高度敏感性和特异性,但在含有血液的样本(包括全血、血浆或受血液污染的组织)中检测效力并不高。先前研究表明,脑脊液(CSF)样本中的红细胞可抑制RT-QuIC相关反应,从而造成假阴性。一般而言,脑脊液红细胞< 1250 ×106/L不影响RT-QuIC检测结果[11]。本例患者脑脊液中混有红细胞,但数量不足以影响结果。
另外,本例患者在肿瘤标记物检查中发现神经元特异性烯醇化酶(NSE)升高。脑脊液中NSE浓度在sCJD患者中往往较患其他疾病患者显著增高,同时也与疾病进展程度正相关。NSE是一种胞质内蛋白,在炎性病变过程,NSE可由胞内移至细胞膜表面。因此NSE的升高与细胞损伤及缺血缺氧性病变相关[12]。本例患者NSE高于正常值,虽未显示成倍增加,亦提示疾病早期神经元受损。对患者进行细致的早期肿瘤筛查,并未发现体内实体或非实体肿瘤存在,且副肿瘤综合征相关抗体检测均为阴性。
综上,对临床表现为进展性认知功能下降,无动性缄默及锥体外系或锥体系症状的患者,需警惕CJD可能,头MRI提示皮层及基底节异常、脑电图提示病理性三相波及周期性放电支持CJD诊断。RT-QuIC技术对于早期诊断CJD起到关键性作用。
黎洵,冯梅,张隽,等.实时震动诱导转化技术辅助诊断的散发型克-雅病1例[DB/OL].中国临床案例成果数据库,2023(2023-05-30).http://journal.yiigle.com/LinkIn.do?linkin_type=cma&DOI=10.3760/cma.j.cmcr.2023.e01552.
感谢北京协和医院神经科关鸿志教授对本论文的指导与支持
所有作者声明本研究不存在利益冲突





















