
患者,女性,57岁,患者半年前CT提示:1.肝S4包膜下及S7动脉期可见一过性强化,考虑异常灌注,建议动态观察;2.胆囊底壁增厚并强化,考虑胆囊腺肌症可能。1个月前行腹腔镜胆囊切除术,术中发现S4交界处包膜下肿物并切除,初步诊断肝原发性神经内分泌瘤并肝内转移,现拟进一步治疗。
实验室检查:AFP 1.89 IU/ml,癌胚抗原2.210 μg/L,糖基抗原19-9 0.90 U/ml。
入院时患者腹部平坦,可见陈旧手术瘢痕,余体格检查未见异常。
胆囊切除术前CT检查发现肝内病灶,胆囊切除术中病理结果证实S4段病灶为神经内分泌瘤,胆囊切除术后MRI确定剩余病灶,US-MRI容积导航影像融合联合超声造影进行病灶定位、引导、术后评估。
US-MRI容积导航影像融合引导下微波消融术。
术后消融病灶缩小,增强CT检查未见强化。
超声科
版权归中华医学会所有。本文为遵循CC-BY-NC-ND协议的开放获取文章。
胃肠胰神经内分泌肿瘤(Gastroenteropancreatic neuroendocrine neoplasm GEP-NEN)是一组起源于胃肠道肽能神经元和神经内分泌细胞的异质性肿瘤[1]。因其症状多样、起病隐匿,在诊断时常已发生转移,影响患者预后,肝脏是最常见的远处转移部位[2,3]。影像学检查是肝神经内分泌瘤(hepatic neuroendocrine neoplasm,HNEN)的主要诊断和治疗评估方法,对HNEN的检出率较高。MRI检查在肝脏、胰腺、脑和骨骼病变的定位、定性诊断,以及判断可切除性方面更具优势,对小病灶检出更加灵敏,推荐作为首选[4,5]。US-CT/MRI影像融合容积导航技术结合了超声和CT/MRI的优点,同时避免了它们的缺点,这是一种可以在同一设置上同时显示超声和CT/MRI图像的技术。在对肝内显示困难病灶定位方面具备特殊优势[6,7]。我们报道1例利用US-MRI容积导航影像融合诊治肝内常规超声显示不清的神经内分泌瘤病例。
患者,女性,57岁,患者半年前CT提示:1.肝S4包膜下及S7动脉期可见一过性强化,考虑异常灌注,建议动态观察;2.胆囊底壁增厚并强化,考虑胆囊腺肌症可能。1个月前行腹腔镜胆囊切除术,术中发现S4交界处包膜下肿物并切除,现拟进一步治疗。入院查体:心肺腹未见明显异常,专科检查:腹部平坦,可见陈旧手术瘢痕,未见胃肠型及蠕动波,未见浅表静脉曲张。脐部正常,腹式呼吸存在。无液波震颤,无震水音,未触及腹部肿块。全腹腹肌软,无明显压痛及反跳痛,Murphy征阴性。肝脏肋下未触及。脾脏未触及。肾未触及。肝浊音界存在,肝上界位于右锁骨中线第6肋间,移动性浊音阴性,肝区、双肾区无叩痛。肠鸣音正常,无气过水声,未闻及腹部血管杂音。


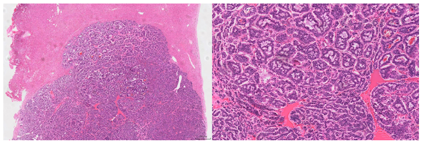
2.2020年7月21日腹腔镜胆囊切除、肝右前叶肿物切除术,术后病理结果见图3。




结合胃肠镜等检查及实验室指标,初步考虑肝原发性神经内分泌瘤并肝转移,由于患者过分焦虑,且拒绝手术切除,经多学科会诊后拟在超声US-MRI容积导航影像融合引导下经皮肝肿瘤微波消融治疗。


患者在2020年9月3日送手术室在复合麻醉下行US-MRI容积导航影像融合引导下经皮肝肿瘤微波消融治疗,见图8,图9。


术后患者病情稳定,恢复良好,已出院。之后规律复查。2021年5月16日MRI结果见图10,图11。


此次MRI检查发现胰腺尾部异常占位(图12),考虑为神经内分泌瘤,入院后手术确诊为胰腺神经内分泌瘤,G2。因此患者从初步诊断为肝内原发性神经内分泌瘤并肝内转移修正为胰腺神经内分泌瘤并肝内多发转移。


神经内分泌肿瘤(NET)多发生于胃肠道、胰腺、肺等器官,是来源于神经内分泌系统的一种肿瘤[1]。肝神经内分泌瘤包括原发性及转移性两种,现有研究发现原发性肝脏神经内分泌肿瘤(PHNET)少见(0.8%~4%),但呈逐年上升趋势[8]。HNET临床症状、影像学检查、病理学及血清特异标志物的检测方面上缺乏特异性。主要鉴别诊断:①HCC:当HNEC表现为单发肿块且强化较明显时,需要与HCC鉴别。但HCC患者CT增强呈"快进快出",且往往有慢性肝炎或肝硬化病史,多伴有AFP水平升高。②ICC:当HNEC表现为轻度强化肿块伴囊变坏死时,需与ICC相鉴别。ICC在CT多表现为伴有病灶内外胆管扩张,门静脉期及延迟期持续强化。③MLC:当HNEC表现为肝内多发肿瘤时,应与肝转移瘤相鉴别。MLC多为肝内多发病灶,增强扫描呈环形强化,可出现"牛眼征",且有原发肿瘤病史[4]。
原发性HNEC与转移性HNEC鉴别相对困难,需依赖全面的检查和长期的随访[9],本例患者初次由增强CT发现肝内病灶,考虑为异常灌注可能,缺乏典型影像学表现,定期常规超声检查中均未发现明显异常。在胆囊腺肌症切除手术时发现肝S4包膜下外突病灶并切除,最终病理学证实为神经内分泌肿瘤,G1期。完善胃肠镜等相关检查,均未见明显异常,初步考虑为肝内原发神经内分泌瘤并肝内多发转移。由于患者极度焦虑,并拒绝手术切除,在综合考虑后,在US-CT/MRI影像融合容积导航引导下微波消融术,但在术后9个月复查时发现胰腺尾部神经内分泌瘤,手术确诊为胰腺神经内分泌瘤,于是考虑本病例为转移性HNEC,造成漏误诊原因是本例胰腺NET早期缺乏典型影像学特征,且实验室检查均为阴性,因此造成漏误诊。也告诉我们在发现其他部位神经内分泌瘤时需要多次仔细全面进行筛查,通过长时间的随访、影像学、实验室检查等确定原发病灶。
US-CT/MRI影像融合容积导航技术结合了超声和CT/MRI的优点,同时避免了它们的缺点,这是一种可以在同一设置上同时显示超声和CT/MRI图像的技术。通常通过使用磁导航系统来实现,该系统允许协调两种不同的成像模式并允许它们在同一屏幕上显示。在位置感测单元的帮助下,CT/MRI图像随超声图像移动。在两个图像匹配良好之后,可以根据CT/MRI图像定位超声图像上的目标病变。将CT及MRI良好的空间分辨力与超声可实时动态显像的优点相结合,能够实现对病灶的精准定位,特别对常规超声显示困难的病灶,US-CT/MRI影像融合磁导航技术显示出良好优越性[6,7]。
本例患者在常规超声未发现异常病灶,于是在融合成像辅助定位下,对磁共振对应区域进行超声造影,确定了病灶位置,进行消融及术后即时评估。术后患者规律复查,消融效果良好,病灶未见活性。
叶秀钦,丁志敏,徐金锋.US-MRI容积导航影像融合诊治肝内神经内分泌瘤1例[DB/OL].中国临床案例成果数据库,2023(2023-06-06).http://journal.yiigle.com/LinkIn.do?linkin_type=cma&DOI=10.3760/cma.j.cmcr.2023.e01614.
所有作者均声明本研究不存在利益冲突





















