
患者,男性,17岁,2017年7月因再生障碍性贫血行骨髓移植术,目前长期口服抗排异药物(普乐可复、甲强龙、奥克)。2018年5月反复出现双下肢水肿、泡沫尿、血压升高。2019年8月入院,行肾活检穿刺。
轻度贫血貌,下肢凹陷性浮肿。
肾穿刺病理提示膜增生性肾小球肾炎,光镜下可见系膜细胞弥漫性结节样增生向内皮下插入,PASM染色可见双轨征,小动脉透明变性。电镜下可见上皮下和内皮下有电子致密物沉积,系膜细胞和基质增生向内皮下插入。
百令胶囊1 g,每日3次;美卓乐24 mg,每日1次(早);他克莫司0.5 mg,每日2次;骁悉500 μg,每日2次;拜新同30 μg,每日1次;倍他乐克缓释片23.75 mg,每日1次;雷贝拉挫肠溶片10 mg,每日1次。
肾穿后随访1年,蛋白尿转阴,肾功能处于稳定状态。
肾脏内科;血液科;病理科
版权归中华医学会所有。本文为遵循CC-BY-NC-ND协议的开放获取文章。
造血干细胞移植(hematopoietic stem cells transplantation,HSCT)用于治疗多种血液系统相关疾病,临床用途广泛。移植物抗宿主病(graft-versus-host disease,GVHD)是HSCT后的一种并发症,为异基因造血干细胞移植(allogeneic hematopoietic stem cell transplantation,allo-HSCT)后特有的并发症,慢性移植物抗宿主病(cGVHD)可累及全身多个脏器,以皮肤、口腔黏膜、生殖器、肌肉、关节等常见,而肾脏累及少见。本文报道了1例父共子干细胞移植术后cGVHD相关肾病患者的临床及肾脏病理资料,旨在提高临床和病理医师对于该病的认识。
患者,男性,17岁,因再生障碍性贫血于2017年7月行父供子单倍体造血干细胞移植手术,给予改良BuCy+ATG预处理,移植后短程MTX预防GVHD,后改环孢素为FK506,加予甲强龙1 mg/kg。回输外周血CD34+细胞5.507×106/kg。+11 d造血重建,未出现急性移植物抗宿主病。
2018年5月患者出现双下肢凹陷性水肿,检查示血肌酐127 μmol/L,尿素氮97 mmol/L,尿酸536 μmol/L,24 h尿蛋白3.5 g,血白蛋白28 g/L,考虑为肾病综合征、肾功能不全,先后予以口服金水宝、非布司他、开同保肾、降尿酸治疗,降压治疗。2019年8月30日查尿蛋白定量示3.01 g/24h,以"慢性肾脏病3期"收住入院,行肾活检穿刺。
血常规:红细胞计数5.71×1012/L,血红蛋白测定111 g/L,血细胞比容30.80%。
生化检验报告:白蛋白测定38.1 g/L,肌酐测定132 μmol/L,β2微球蛋白5.77 mg/L,胱抑素C测定2.520 mg/L,磷测定1.76 mmol/L,二氧化碳结合力30.1 mmol/L。
影像学检查:心脏超声心动图未见明显异常。肝、胆、脾、胰彩超检查未见异常图像。
彩超检查报告,肾输尿管,右肾大小:长径100 mm,宽度38 mm,实质厚度14 mm;左肾大小;长径104 mm,宽度45 mm,实质厚度16 mm,左肾极上见13 mm×13 mm无回声区,壁厚,后方回声增强。两肾包膜完整,实质区回声增强,两肾集合系统未见光带分离。双侧输尿管未见扩张。超声诊断:1.双肾实质区回声增强。2.左肾囊肿。3.双侧肾动脉未见异常图像。
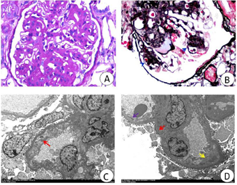
肾活检病理,免疫荧光:2个肾小球:IgG+ IgA+ IgM++ C3+ C1q- FRA-。沉积部位:肾小球毛细血管袢、节段系膜区;沉积方式:颗粒状。光镜检查:光镜下可见14个肾小球,其中:2个球性硬化,肾小管内皮细胞、系膜细胞中-重度弥漫性增生呈分叶状改变,中性粒细胞浸润,局灶节段向内皮下插入导致毛细血管壁弥漫性增厚和管腔狭窄(图1A)。PASM染色显示毛细血管基底膜节段增厚,可见双轨征(图1B),系膜区和节段内皮下见嗜复红蛋白沉积。肾小管间质中度病变。肾小管多灶性萎缩,小管上皮细胞颗粒变性,管腔见红细胞和蛋白管型。肾间质灶性见淋巴单核细胞浸润伴纤维结缔组织增生(间质纤维化30%)。小动脉透明变性。电镜检查(图1C、D):电镜下可见1个肾小球,系膜区和内皮下见电子致密物沉积,系膜区系膜细胞和基质增生向内皮下插入,导致基底膜增厚,基底膜厚420~1670 nm。足细胞肿胀伴空泡变性,部分足突可见融合。肾小管呈背靠背排列,近曲小管腔面见密集且细长的微绒毛。肾间质未见炎细胞浸润和纤维组织增生。病理诊断:膜增生性肾小球肾炎。


诊断:慢性肾脏病3期、移植物抗宿主病(肾脏)、膜增生性肾小球肾炎、再生障碍性贫血伴骨髓移植术后。
鉴别诊断:(1)药物相关性肾损伤。发病前使用药物的病史,肾活检以肾小管间质病变为主,肾小球病变轻微,本例肾活检以肾小球病变为主,不支持药物相关性肾损伤。(2)原发性膜增生性肾小球肾炎(I型)。该病免疫荧光以IgG和(或)C3沿肾小球毛细血管袢呈颗粒样沉积,电镜下电子致密物以系膜区、内皮下沉积为主。本例免疫荧光不支持。(3)原发性膜增生性肾小球肾炎(Ⅱ型)。该病免疫荧光以IgG和(或)C3沿肾小球毛细血管袢呈颗粒样沉积,电镜下肾小球基底膜内有条带状电子致密物沉积。本例免疫荧光和电镜结果不支持。(4)原发性膜增生性肾小球肾炎(Ⅲ型)。该病免疫荧光以IgG和(或)C3沿肾小球毛细血管袢呈颗粒样沉积,电镜下电子致密物以肾小球系膜区、内皮下、上皮下沉积为主。本例免疫荧光和电镜结果不支持。
肾活检后治疗方案:百令胶囊1 g,每日3次;美卓乐24 mg,每日1次(早);他克莫司0.5 mg,每日2次;骁悉500 μg,每日2次;拜新同每天30 μg,每日1次;倍他乐克缓释片23.75 mg,每日1次;雷贝拉挫肠溶片10 mg,每日1次。
随访1年,肌酐在105~120 μmol/L波动,24 h尿蛋白进行性下降转阴(图2)。


GVHD是异基因造血干细胞移植后晚期的主要并发症之一,也是影响移植后生活质量的重要因素,以影响皮肤、口腔黏膜、生殖器、肌肉、关节等常见,而肾脏累及少见。急性肾损伤(AKI)是急性移植物抗宿主病一种常见的并发症。急性肾小管坏死、溶血性尿毒症综合征、血栓性微血管病和放射性肾炎是HSCT后最常见的AKI形式。然而,慢性移植物抗宿主病主要临床表现为蛋白尿和肾病综合征。蛋白尿是早期表现,可伴有不同程度下肢水肿,镜下血尿不明显,肾功能大多正常,病情进展到严重的程度,即表现为肾病综合征[1]。回顾相关病例报道可以发现,cGVHD累及肾脏的情况常见于移植后5~27个月[2,3]。危险因素包括患者移植时年龄≥45岁、早期aGVHD的发生、预处理时使用了高剂量TBX等。
cGVHD相关肾病的组织学表现常见为膜性肾病,约占cGVHD相关肾病病理类型的75%,而系膜增生性肾小球肾炎、IgA肾病、轻微性肾小球病变或局灶性节段性病变少见[4]。本例患者17岁,肾脏病史15个月,临床表现为肾功能不全、肾病综合征,在骨髓移植两年后肾活检穿刺病理诊断为膜增生性肾小球肾炎,其病理类型罕见。
移植后肾小球肾炎多采用联合使用免疫抑制剂,对于造血干细胞移植后的成人肾病综合征,根据患者的肾脏病理类型选择治疗方案是最佳手段。如病理类型为MCD,治疗多以糖皮质激素治疗为主,若为MGN则在糖皮质激素治疗的基础上联合使用CsA、他克莫司、MMF或硫唑嘌呤等免疫抑制剂[5]。对于膜增生性肾小球肾炎的治疗,目前尚无统一共识。本例患者肾活检后选用了激素、他克莫司和骁悉联合治疗,治疗后患者24 h尿蛋白转阴,肾功能处于稳定状态,获得相对满意的治疗效果。患者在骨髓移植术后出现肾功能异常未能及时进行肾活检穿刺检查并治疗,提示我们要密切关注骨髓移植术后患者的情况,及时进行检查治疗。最新研究指出,脐带来源的间充质干细胞对预防和治疗慢性移植物抗宿主病具有肯定的作用[6]。也有研究显示,托珠单抗联合芦可替尼治疗造血干细胞移植后激素耐药的移植物抗宿主病[7]。但以上研究都属于小样本研究,后续需要扩大样本量来进一步证实在移植物抗宿主病引起膜增生性肾小球肾炎病理类型中的疗效。
总之,造血干细胞移植技术的诞生给许多疾病的治疗带来了希望。但是,伴随当代造血干细胞移植技术的广泛使用,未来GVHD的发病率有可能会逐渐提高。肾脏病理检查在cGVHD相关肾病的诊断中具有重要意义,需要我们引起重视。
童显茗,周礼杰,李婷,等.造血干细胞移植后抗宿主病引起膜增生性肾小球肾炎1例[DB/OL].中国临床案例成果数据库,2023(2023-06-08).http://journal.yiigle.com/LinkIn.do?linkin_type=cma&DOI=10.3760/cma.j.cmcr.2023.e01646.
所有作者均声明本研究不存在利益冲突





















