
患者,女性,47岁,体检无意发现左乳肿块,遂入院检查。
左乳外上象限可及一肿物约3 cm×2 cm大小,肿物活动度尚可,无压痛。右侧乳房未见明显异常。双腋下及锁骨上下未触及淋巴结。
影像学提示肿块为恶性,后行左乳肿物穿刺进行病理检查确诊为乳腺癌。
患者先行新辅助化疗,给予白紫杉醇周疗+卡铂新辅助化疗,可瑞达免疫治疗,2个大周期后行左乳癌改良根治术进行手术切除,术后继续行化疗联合放疗治疗。
患者目前定期随访,生存状态良好。
病理科;肿瘤科
版权归中华医学会所有。本文为遵循CC-BY-NC-ND协议的开放获取文章。
乳腺腺泡细胞癌是一种罕见的恶性上皮性肿瘤,1996年首次被Roncaroli等[1]报道,2012年被归类于三阴性乳腺癌中,但生物学行为表现为惰性,相比其他类型预后较好。然而其镜下表现特异性不强,也不易与其他类型的乳腺癌相鉴别,目前在诊断上仍存在困难,甚至存在误诊现象,且进行新辅助化疗的此类病例也较少见,本文回顾报道在临床诊断中此类疾病化疗前后的变化,旨在加强临床医生与病理医生对此种疾病的认识,进而做到早诊断与早治疗。
患者,女性,47岁,因确诊左乳癌1个月余行新辅助化疗2周后要求手术治疗入院。病程以来神清,精神可,饮食睡眠可,二便正常,体力及体重未见明显异常。其间给予白蛋白紫杉醇周疗+卡铂新辅助化疗,可瑞达免疫治疗。患者父母均健在,无家族史,无冶游史,无手术史。
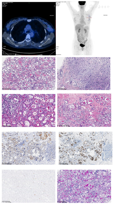
查体:左乳外上象限可及一肿物约3 cm×2 cm大小,肿物质软,边界清楚,活动度尚可,无压痛。右侧乳房未见明显异常。双腋下及锁骨上下未触及淋巴结。B超示:左乳见一直径1.6 cm的病灶。MRI示:左侧乳腺外上象限见不规则片块状等T1不均匀稍长T2信号,边缘较模糊,增强扫描可见明显强化,矢状位增强扫描病灶截面大小约3.5 cm×2.0 cm。PET-CT示:左乳外上象限团块灶,早期代谢稍增高,延迟显像代谢稍减低,截面大小约4.1 cm×2.7 cm×2.9 cm(图1,图2)。病理检查示:新辅助化疗前左乳肿物穿刺组织:肉眼观见灰白细线样物2条,直径0.1 cm,长1.4~1.5 cm。低倍镜下,肿瘤细胞排列成腺泡状(图3)、腺管状、巢状或条索状(图4),呈多种结构混合分布或单个瘤细胞散在分布。肿瘤组织无包膜并向周围组织浸润生长。高倍镜下,腺泡状分布的癌细胞分化程度高,形态温和,核小较均一,胞质透明空亮,腺腔内可见嗜酸性胶样分泌物;条索状分布的癌细胞异型性明显,分化程度较低,核仁大小不一致,部分核仁增大,核分裂象多见,胞质嗜碱性;腺管状及腺泡状分布的癌细胞呈中等异型性,介于前两者之间。在镜下还可见多种结构呈混合性分布,胞质嗜碱性或嗜双色性,细胞异型性,核分裂象不等。新辅助化疗前淋巴结穿刺标本:镜下见分化尚好的淋巴细胞,未见癌转移。临床分期为cT2N0M0 Ⅱ期。新辅助化疗后手术标本:低倍镜下残留的肿瘤细胞呈中-高分化,肿瘤细胞排列成腺管状、腺泡状或微腺样结构,肿瘤组织向周围浸润生长,腺腔内偶见胶样分泌物。高倍镜下可见这些癌细胞形态温和,胞质透明空亮,另部分肿瘤细胞较化疗前呈胞质嗜酸性变,细胞核可见固缩(图5),间质可见轻度纤维化、黏液样变性,伴部分淋巴细胞(图6)、浆细胞浸润。左腋窝、左前哨及左锁骨下淋巴结共46枚,其中有癌转移且伴有化疗反应者9枚,有癌转移且不伴有化疗反应者17枚,无癌转移且不伴有化疗反应者20枚。新辅助治疗反应的Miller-Payne分级评估系统为2级(浸润癌细胞轻度减少,但总数仍较高,癌细胞减少不超过30%)。新辅助治疗反应的残余肿瘤负荷(Residual Cancer Burden,RCB)分级系统得分是3.6835,RCB分级:RCB-Ⅲ。第八版AJCC分期为ypT2N3M0 Ⅲc期。免疫组化示:新辅助化疗前后的免疫组化均显示:肿瘤细胞S-100(图7)、E-Cadherin、SOX10、AR、P53,GCDFP-15、Lysozyme及P120(膜)呈阳性表达,ER、PR、HER2、CK5/6、P63呈阴性表达。另化疗前穿刺标本示肿瘤细胞PD-L1阴性,ICO<1%,Ki-67 LI 40%(图8)。化疗后手术标本示Ki-67 LI 2%(图9)。特殊染色示:新辅助化疗前乳腺穿刺标本及新辅助化疗后手术标本均显示:胶样分泌物PAS(图10)、AB-PAS结果为阳性。分子病理:新辅助化疗前乳腺穿刺标本荧光原位杂交显示:ETV6-NTRK3基因无融合。二代测序检测提示:BRCA变异未检出、TP53出现变异。


诊断:最终病理学穿刺标本及术后大体标本均诊断为乳腺腺泡细胞癌。
鉴别诊断:①乳腺分泌性癌:镜下肿瘤组织体积较小,边缘常呈推挤状,具有特征性的癌细胞胞质内和腺样腔隙中强嗜酸性分泌物产生,且具有特征性的t(12,15)平衡易位,产生ETV6-NTRK3基因融合。②乳腺大汗腺癌:癌细胞主要为嗜酸性细胞和泡沫样细胞,具有特征性明显增大的细胞核和核仁,细胞核染色深,胞质丰富,含有强嗜酸性颗粒状。免疫组化阳性表达AR、GCDFP-15等,而S-100、溶菌酶通常为阴性表达[2]。③转移到乳腺的腺泡细胞癌:临床影像学检查常提示其他部位存在病变,可帮助鉴别诊断。④乳腺嗜酸细胞癌:肿瘤细胞多排列成蜂巢状,边界清楚,其内可见瘤巨细胞。核单一较温和且无明显异型,核仁明显,核分裂象少见。胞质中具有特征性的线粒体抗体染色强阳性。⑤腺肌上皮瘤:镜下见腺上皮和肌上皮增生,以外层的肌上皮增生为主,并出现特征性的管状腺肌上皮瘤即被覆双层上皮的导管结构。免疫组化表达肌上皮和腺上皮的标记。
患者为三阴性乳腺癌,cT2N0MO Ⅱ期,拟先行新辅助化疗再行手术治疗,给予白蛋白紫杉醇周疗+卡铂新辅助化疗,可瑞达200 mg免疫治疗,2个大周期后行左腋窝前哨淋巴结活检术+左乳癌改良根治术+右侧乳腺单纯切除术手术治疗。手术后继续给予EC方案(表柔比星150 mg+环磷酰胺1 g)化疗3周,然后行紫杉醇(白蛋白结合型)(350 mg)+卡铂520 mg化疗,化疗过程中对症处理副反应。
本例患者经过新辅助化疗后,术后病理大体切片仍显示瘤床范围大小为3.5 cm×2.5 cm,提示化疗敏感性不佳。目前行手术治疗后定期随访1年半,预后尚好。
乳腺腺泡细胞癌好发于35~80岁的女性[3,4]。临床常因为单侧无痛性肿块就诊,肿块可伴有活动性,质硬,与周围边界不清,腋下淋巴结有时可不触及肿大,临床表现无特异性。另分子检测尚无特异性,多种基因如BRCA1、TP53、CTNNB1、MTOR、FGFR2等均可在乳腺腺泡细胞癌中发生突变[,但其缺乏ETV6"分裂"信号[5]。故此病仍存在误诊、漏诊的风险,需要提高临床及病理医生的诊断意识。
在回顾性诊断过程中,我们发现此疾病的影像学诊断上存在B超与MRI对肿块大小测定出现差异的现象。本例进行超声初步检查时,肿块测量的范围小于MRI以及病理诊断的范围。结合本科室之前报道的一例乳腺腺泡细胞癌患者[6],超声显示病灶大小为1.4 cm×1.3 cm,而MRI提示病灶范围约5.6 cm×2.3 cm×2.1 cm,两者之间的结果差异较大。此外,我们在会诊工作中也发现一例乳腺腺泡细胞癌患者,其超声探及结节大小约0.5 cm×0.5 cm,而最终大体标本显示肿物约为2 cm×1.5 cm×1 cm。综合上述情况,我们推测可能是因为肿瘤组织无包膜,与周围边界不清,很难通过B超探测清楚肿瘤大小;此外,乳腺腺泡细胞癌细胞分布比较弥散,在正常组织中穿插生长,未形成局灶性的密集生长,导致B超检测容易将其与正常组织混淆,从而使得B超结果探测的往往要小于肿瘤实际大小。
乳腺腺泡细胞癌的肿瘤直径一般为1.3~5. cm,平均3.2 cm[4],切面为实性和伴有小的腺状和囊性区域。镜下肿瘤组织形态多样,可形成腺泡状、实性巢状结构,并向周围组织中浸润[6,7,8]。腺体结构的中央腔里可见胶体样物质,癌细胞边界不清,异型性高,核圆形或椭圆形,核膜增厚,核分裂象多少不等[9]。胞质常见透明空泡状,嗜双色性,胞质颗粒大而粗,可有类似腺泡细胞的酶原颗粒[10]。另免疫组化显示该肿瘤特征性表达lysozyme[11],另瘤细胞表达CK、S-100,而不表达ER、PR、HER-2,肌上皮标志物CK5/6、P63也呈阴性表达,特殊染色PAS阳性。
本例患者镜下特征符合腺泡细胞癌的诊断。且经过新辅助化疗后肿瘤组织条索状结构消失,提示中-低分化的肿瘤细胞对化疗敏感性优于高分化的腺泡状结构。另淋巴结术后仍有大量的癌转移,且部分伴有间质纤维化的化疗反应,较术前T分期发生进展,原因可能是穿刺时未穿刺到淋巴结中的肿瘤组织。此外患者术后的Ki67较术前明显降低,但并未出现明显的化疗反应,与文献报道的化疗前后Ki67下调组优于未下调组化疗效果的结论不太符合[12,13],可能是由于病灶中低分化的癌组织基本消失,但仍残留的高分化的癌细胞对化疗反应不敏感,另外该患者术后出现大量的淋巴结转移,成为影响RCB评分的重要因素,而较高的RCB评分与预后不良相关,因此可能造成此病例预后不佳。
乳腺腺泡细胞癌属于低级别浸润性癌,生物学行为表现为惰性,但仍存在复发和转移。本例患者经过新辅助化疗后,术后大体切片仍显示瘤床范围大小为3.5 cm×2.5 cm,提示整体化疗敏感性不佳,且术后肿瘤成分基本为高分化的腺泡状结构,而化疗前巢状、条索状的低分化成分基本消失,提示临床对于乳腺腺泡细胞癌虽然低分化预后不佳,但是其对于化疗敏感性较好,而针对以腺泡状结构为主体的患者则更可能从术后治疗中获益,进而帮助提供患者更加个体化的治疗方法。
鞠仙莉,柯晓康,阎红琳,等.乳腺腺泡细胞癌新辅助化疗前后临床病理分析1例[DB/OL].中国临床案例成果数据库,2023(2023-06-09).http://journal.yiigle.com/LinkIn.do?linkin_type=cma&DOI=10.3760/cma.j.cmcr.2023.e01665.
所有作者均声明本研究不存在利益冲突





















