
患者,男性,66岁,主因"头晕伴恶心、呕吐4 d,意识障碍1 d"于2020年7月11日收治入院。
患者入院前4 d感冒,后出现头晕,步态不稳,伴恶心、呕吐,呕吐物为非咖啡色胃内容物,伴意识模糊、头痛及双耳听力下降。
体检双侧病理征阳性、脑膜刺激征阳性;腰椎穿刺提示颅内压升高,脑脊液白细胞升高、中性粒细胞为主,葡萄糖减少、蛋白增加;脑脊液宏基因二代测序提示猪链球菌。综上患者确诊为猪链球菌感染引起脑膜脑炎。
经过头孢曲松联合青霉素7周的长疗程治疗,患者感染逐渐好转,后期序贯复方新诺明2周防止感染反复。在病程中患者听力障碍持续存在,药物治疗未见好转,后期通过为患者佩戴助听器提高生活质量。
出院2个月,随访患者一般状态良好,听力障碍仍重,植入人工耳蜗,听力较前改善,语言反应稍迟缓,但能保持与他人进行交流状态。
耳鼻喉科;神经内科;感染性疾病科
版权归中华医学会所有。本文为遵循CC-BY-NC-ND协议的开放获取文章。
猪链球菌是一种人畜共患的兼性厌氧性革兰阳性菌,人感染猪链球菌最常见的是脑膜炎和败血症,可导致链球菌性中毒性休克样综合征而迅速死亡。感染导致脑膜脑炎需要脑脊液培养确诊,但培养阳性率低下,导致病情延误。宏基因组二代测序技术可以快速、准确地识别致病菌,为中枢神经系统感染性疾病的有效诊治提供依据。现将本院收治的1例以脑膜脑炎及听力障碍为主要表现的猪链球菌感染患者的诊治过程报道如下。患者病程长、病情复杂,临床药师参与抗感染治疗全过程,与临床医护通力协作,与患者及家属积极沟通,总结经验、探讨不足,旨在加深临床对该病的认识,为今后猪链球菌中枢神经系统感染并发听力障碍患者的治疗提供新思路。
患者,男性,66岁,主因"头晕伴恶心、呕吐4 d,意识障碍1 d"于2020年7月11日收治入院。家人代诉患者2020年7月7日感冒,后出现头晕,步态不稳,伴恶心、呕吐,呕吐物为非咖啡色胃内容物,伴意识模糊、头痛及双耳听力下降。2020年7月8日当地医院颅脑CT示多发腔隙性脑梗死。血常规:白细胞11.5×109/L,中性细胞占比0.87,中性粒细胞10×109/L,当地医院予对症及哌拉西林他唑巴坦抗感染治疗后,症状改善不明显。
既往"右下肢静脉曲张"病史多年,未行手术治疗。"高血压"病史10余年,口服"吲达帕胺"治疗。"糖尿病"史10年,口服"消渴丸"治疗,发病近期喜蜂蜜,血糖控制不佳。患者本人为牛羊肉商贩,亲戚经营养猪场,时去帮忙,平素喜肉食。否认进食病猪肉、生猪,共同生活及进餐者无类似发病表现。
入院体格检查:T 36.5℃,P 66次/min,R 17次/min,BP 210/110 mmHg(1 mmHg=0.133 kPa)。内科体格检查未见明显异常。神经系统体格检查:意识模糊,体格检查不合作。双侧瞳孔等大等圆,直径约3.0 mm,对光反射存在,双侧鼻唇沟对称,伸舌不合作。四肢可自主活动,肌张力正常,双侧病理征阳性。感觉及共济运动检查不合作。脑膜刺激征阳性。根据病史、查体及辅助检查,定位:脑膜、脑实质、听神经,定性:炎症性。入院诊断:(1)头晕原因待查(中枢神经系统感染?);(2)多发腔隙性脑梗死;(3)高血压病;(4)糖尿病;(5)右下肢静脉曲张。
患者入院第2天行腰椎穿刺:脑脊液呈淡黄色,测颅压270 mmH2O(1 mmH2O=0.0098 kPa)。脑脊液分析:微浑、潘氏试验阳性;总蛋白1.07 g/L(正常值0.15~0.40 g/L),葡萄糖1.87 mmol/L(正常值2.50~4.40 mmol/L),氯化物114.6 mmol/L(正常值117.0~127.0 mmol/L)。有核细胞计数240×106/L(正常值0~8×106/L),中性粒细细胞占比0.51,淋巴细胞28%,单核细胞14%,激活淋巴细胞6%,吞噬细胞1%(图1)。未查到细菌、新型隐球菌抗酸杆菌。同时留取5 ml脑脊液送检检验中心宏基因组二代测序(nGS)明确病原体。


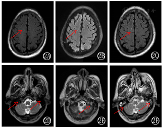
第3天,颅脑MR平扫双侧基底节、双侧额顶叶内见多发斑点状略长T1、略长T2信号,FLAIR序列呈略高信号,双侧乳突未见明显异常(图2)。第5天,行纯音听阈测定结果显示双耳为混合性聋,考虑急性感染、炎症导致听神经损伤(图3A)。第6天,未再发热,意识模糊稍减轻,复查脑脊液示总蛋白2.07 g/L,葡萄糖3.36 mmol/L,氯化物119.7 mmol/L;有核细胞计数620×106/L,中性粒细胞占比0.3,淋巴细胞69%,单核细胞1%(图1)。第10天,脑脊液nGS回报猪链球菌(序列数1889,相对丰度93.27%),请临床药师会诊:患者有生肉类接触史,不排除在处理过程中皮肤黏膜有破损细菌入血可能,结合早期发热、意识模糊症状,脑脊液感染象,考虑猪链球菌为致病菌,猪链球菌脑膜脑炎诊断明确。




两耳侧及枕部疼痛、发胀明显,复查脑MRI:双侧基底节、额、顶叶内见多发斑点、片状略长T1、略长T2信号,FLAIR序列呈略高信号,左侧乳突见长T2信号,考虑感染猪链球菌导致特征性症状及神经系改变相关(图2)。第11天,血常规白细胞计数10.87×109/L(表1)。第15天患者右踝关节红肿热痛,经手足外科会诊:猪链球菌感染可引起败血症、关节炎、心内膜炎等,考虑与原发感染有关,建议留取血培养及药敏。第20天,脑脊液及血培养均回报阴性。右踝关节仍有红肿疼痛,右踝关节正侧位未见骨折、脱位。下肢血管彩超:右侧胫后静脉及右侧小腿肌间静脉血栓形成。第34天,患者仍有头晕、耳聋、耳鸣,夜间有头痛。脑MRI:双侧基底节、放射冠、额顶叶内见多发斑点状略长T1、略长T2信号,FLAIR序列呈略高信号,双侧乳突见长T2信号,考虑猪链球菌感染累及听神经及前庭神经(图2)。第35天,患者右踝关节疼痛明显减轻,可下床站立,步态不稳,需搀扶。第42天,患者头痛、右踝关节疼痛减轻,精神状态可,耳聋、耳鸣无明显变化,复查脑脊液基因二代测序示猪链球菌(序列数3),脑脊液有葡萄糖、蛋白质、氯化物、核细胞计数等指标逐渐好转(图1)。血常规、C反应蛋白、血沉等感染指标好转(表1)。

患者血常规检查结果
患者血常规检查结果
| 发病天数 | 白细胞计数(×109/L) | 中性粒细胞比率(%) | 血小板计数(×109/L) | 血红蛋白(g/L) | C反应蛋白(mg/L) | 血沉(mm/h) |
|---|---|---|---|---|---|---|
| 第1天 | 8.90 | 71.00 | 238 | 142 | - | - |
| 第4天 | 9.83 | 63.50 | 347 | 137 | 20.82 | - |
| 第11天 | 10.87 | 64.50 | 445 | 138 | 8.06 | 62 |
| 第22天 | 8.81 | 70.20 | 346 | 126 | 41.38 | 90 |
| 第27天 | 6.51 | 69.90 | 368 | 131 | 17.22 | 95 |
| 第34天 | 4.82 | 64.60 | 296 | 120 | 41.40 | 86 |
| 第48天 | 7.56 | 56.30 | 391 | 117 | - | 86 |
第45天患者双侧耳聋,复查纯音听阈测定,显示双侧极重度感音神经性聋,双耳听力较前无明显改善(图3B)。第50天,患者神志清,精神可,言语流利。头晕减轻,可缓慢行走,步基宽,双耳聋,指鼻准,跟膝胫试验(−),病情平稳出院。
诊断:根据急性起病的发热、头痛、呕吐,体格检查有脑膜刺激征,颅压升高、白细胞明显升高,即应考虑本病。确诊须有病原学证据,包括细菌涂片检出病原菌、血细菌培养阳性等。本例患者急性起病,头晕、头痛、恶心、呕吐、听力下降,体格检查有双侧病理征、脑膜刺激征,颅压升高、白细胞明显升高,脑脊液nGS为猪链球菌。临床药师会诊:患者有生肉类接触史,不排除在处理过程中皮肤黏膜有破损细菌入血可能,结合早期发热、意识模糊症状,脑脊液感染象,考虑猪链球菌为致病菌,猪链球菌脑膜脑炎诊断明确。
鉴别诊断:(1)病毒性脑膜炎。脑脊液白细胞计数通常低于1000×106/L,糖及氯化物一般正常或稍低,细菌涂片或细菌培养结果阴性。(2)结核性脑膜炎。通常亚急性起病,脑神经损害常见,脑脊液检查白细胞计数升高往往不如化脓性脑膜炎明显,病原学检查有助于进一步鉴别。(3)隐球菌性脑膜炎。通常隐匿起病,病程迁延,脑神经尤其是视神经受累常见,脑脊液白细胞计数通常低于500×106/L,以淋巴细胞为主,墨汁染色可见新型隐球菌,乳胶凝集试验可检测出隐球菌抗原。
入院后经验性予阿昔洛韦(0.5 g、静脉滴注、每8小时1次)抗病毒,甘露醇(250 ml、静脉滴注、每8小时1次)脱水降颅内压、营养神经、补液、止痛等对症支持治疗。第2天脑脊液检查示细胞数明显升高,中性粒细胞为主,脑脊液蛋白定量明显升高,葡萄糖偏低,考虑细菌性脑膜脑炎可能性大,予加用头孢曲松2 g、静脉滴注、每天1次抗感染治疗。患者存在双耳听力下降,考虑感染导致的听神经损伤,加用地塞米松磷酸钠(10 mg、静脉滴注、每天1次)抗炎治疗1周。第6天,患者脑脊液分析有核细胞计数明显增加,予头孢曲松加量至2 g、每12小时1次。第10天,遵临床药师会诊意见停用阿昔洛韦,加用青霉素钠(400万单位、静脉滴注、每6小时1次)联合头孢曲松加强抗细菌治疗,待症状及实验室检验结果好转后,可停用一种。第15天,遵手足外及皮肤科会诊意见,予患肢抬高,减少下地活动,口服药物改善关节疼痛症状,继续抗感染治疗10~14 d。第20天,应用抗凝药物治疗。第34天,加用氟桂利嗪改善前庭循环对症治疗。第42天,经临床药师会诊停静脉用青霉素及头孢曲松,第50天出院继续口服复方磺胺甲恶唑2片、每天2次序贯抗感染治疗。
患者出院2周(第65天)复查脑脊液无色,清晰透明,葡萄糖正常范围,蛋白质、细胞总数、有核细胞数接近正常范围,停用磺胺类。出院2个月,随访患者一般状态良好,听力障碍仍重,植入人工耳蜗,听力较前改善,语言反应稍迟缓,但能保持与他人进行交流状态。
猪链球菌是一种常见的猪致病菌,属链球菌科,革兰染色阳性,兼性厌氧,这种病原体的天然贮存体是猪,分布于猪的上呼吸道、胃肠道和生殖器等[1,2,3]。传染源主要为病(死)猪,传播途径为经伤口的直接接触感染,主要通过伤口、黏膜、消化道等途径侵入人体[4,5]。人感染猪链球菌是一种人畜共患传染病,高危人群是从事生猪相关产业人员、接触猪、猪肉、者,如农民、屠宰场工人、屠夫和肉类销售人员等[6]。除接触传播以外,猪链球菌也可通过空气传播、经口进食污染或者未煮熟的生肉传播。各年龄段对猪链球菌均易感,主要集中在30~70岁,男女无明显区别,有脾切除、饮酒或酒精性肝病、糖尿病、肾或肺结核、肿瘤、心脏病或者使用皮质类固醇的患者更容易感染该致病菌[7]。在我国,猪链球菌病一年四季均可发生,但以5~10月居多,其中夏季发病率最高。猪链球菌共有35个血清型,感染人的致病菌血清型主要包括1、2、7、9和14型6种类型,且血清2型是从病猪和患者中分离最多的一种致病菌[8,9]。本例患者为散发病例,66岁,糖尿病史,近期血糖控制不佳、感冒,7月发病,正处于猪链球菌高发病率季节,患者本人为牛羊肉商贩,亲戚家经营养猪场,经常帮忙,不能排除发病前存在皮肤隐匿性破损,导致感染可能,流行病学资料均符合猪链球菌发病规律,且脑脊液为化脓性感染象、宏基因二代测序检测到猪链球菌,因此判断猪链球菌为主要致病菌。
人感染猪链球菌后,视细菌侵入部位而有不同的临床表现,临床分为四种类型:普通型、脑膜炎型或脑膜脑炎型、休克型、混合型,其他少见的感染类型有感染性心内膜炎、关节炎、肺炎或支气管肺炎[10]。脑炎型患者常伴有听力障碍,多数为听力减退,少数患者可失听;部分患者可有周围性面瘫和复视,占猪链球菌感染人群的50%~60%。其次是败血症,其他临床表现包括肠炎、心内膜炎、关节炎、眼内炎、葡萄膜炎等。本例患者急性起病,以"头晕、头痛、呕吐、听力下降、意识障碍"为主要症状,双侧病理征阳性,脑膜刺激征阳性,腰穿示颅内压270 mmH2O,明显升高,脑脊液外观微浑,细胞总数、蛋白质均超过正常高限值,呈脓液性,双耳纯音测听结果≥80 dB,属严重听力障碍,符合脑膜脑炎型临床表现。
目前对猪链球菌抗菌效果好的抗菌药物主要有青霉素、氨苄西林、第三、四代头孢菌素。卫生部印发的《人感染猪链球菌病诊疗方案》推荐中提出,对于猪链球菌的病原学治疗,首选青霉素(320万~480万单位、静脉滴注、每8小时1次),也可头孢曲松钠(2 g、静脉滴注、每12小时1次)或头孢噻肟(2 g、静脉滴注、每8小时1次),疗程10~14 d[10]。有脑膜刺激征者可用琥珀酸氢化可的松,200~300 mg/d、静脉滴注,连续7 d。卢伟力等[11]报道3例猪链球菌脑膜炎在确诊后给予青霉素G(1600万单位/d),联合头孢曲松(4 g/d、分次静脉注射),治疗2周时脑脊髓液检查各项指标恢复正常。本例患者治疗之初予头孢曲松2 g、每天1次,应用4 d效果不佳,增加频次至每12小时1次。在治疗第7天脑脊液基因二代测序回报示猪链球菌、脑脊液分析有核细胞数复升,予加用青霉素联合治疗。患者在抗感染治疗过程中出现血白细胞计数升高、右踝内侧红肿、局部皮温高、负重行走疼痛等炎症表现,而猪链球菌亦有关节感染病例[11]。经手足外科及皮肤科会诊后诊断为丹毒,考虑与原发感染相关,导致抗菌药物疗程延长。猪链球菌脑膜炎有复发倾向,通过7周持续且足量的抗感染治疗,患者脑脊液常规分析逐渐恢复正常,意识状态及临床症状也明显好转,达到临床治愈标准。在病程的第42天脑脊液nGS仍回报猪链球菌(序列数3),应用复方磺胺甲恶唑片不仅能覆盖链球菌属,且脑脊液透过率高,继续巩固治疗1~2周,复查脑脊液恢复后予停用,以防止复发[12]。
与其他化脓性脑膜炎不同,猪链球菌脑膜炎病程迁延,呈双向病程,最显著的特征是进行性听力损失,为特征性的感音神经性听力丧失,经常发生在起病初期或疾病进展中,且通常是双侧、严重和永久性的,伴或不伴有前庭功能障碍[13]。近一半患者在使用抗生素后2~3周出现耳聋和前庭功能障碍,2/3的患者出现轻至重度耳聋[14]。发病3个月内非严重的听力障碍(纯音测听测试<80 dB)可在数月内好转,而严重的听力障碍(≥80 dB)通常难以逆转。动物实验和电生理临床研究表明,耳蜗损害是细菌性脑膜炎导致听力障碍的主要原因。猪链球菌可经耳蜗导水管从蛛网膜下腔进入耳蜗,侵犯外淋巴液导致化脓性迷路炎,进而引起内耳微循环障碍和蜗神经损伤有关,内耳微循环障碍可能是耳蜗炎症致听力障碍的重要发病机制之一[15]。年龄>50岁、携带EPF基因可能是耳聋的危险因素[16]。听力障碍影响生活质量,因此如何预测、预防和治疗听力障碍是急需解决的难题。内耳存在大量的糖皮质激素受体,糖皮质激素通过与这些受体结合,能抑制毛细胞扩张、消除内耳水肿、解除血管痉挛,从而改善内耳微循环,保证药物及时到达内耳,中断并改善内耳损伤,促进内耳功能的恢复[17]。同时糖皮质激素也有抗炎、免疫抑制等作用。因此,猪链球菌脑膜炎并发听力障碍的治疗,糖皮质激素是重要的初始治疗药物。激素治疗2周内听力有提高的患者可能获得最终听力恢复[18,19]。地塞米松结合受体能力更优,可应用全剂量10 mg/d,疗程7~14 d,然后逐渐减量[20]。本例患者66岁,是耳聋的危险因素,入院时双耳听力下降,在病程中纯音测听结果≥80 dB,属严重听力障碍,通常难以逆转。翁声通等[21]通过对4例猪链球菌脑膜炎合并听力障碍的患者用药分析发现,抗菌药物与激素共同影响听力障碍治疗的有效性,尤其与抗菌药物选择有关,青霉素作为首选药物,与美罗培南、万古霉素类似,均在脑膜炎时才易透过血脑屏障,应用激素抑制脑膜炎症,会降低上述抗菌药物疗效,且万古霉素有潜在耳毒性、大剂量青霉素有潜在中枢神经系统毒性。而头孢曲松及利奈唑胺均较易透过正常人的血脑屏障,故可不受激素抑制脑膜炎症作用的影响,在使用激素情况下,联合此2种抗菌药物,或许是治疗猪链球菌脑膜炎并发听力障碍的有效方法。本例患者为青霉素联合头孢曲松抗感染治疗,青霉素在有炎症的脑脊液中浓度可达同期血药浓度的5%~30%,而在无炎症的脑脊液透过率明显下降。鉴于本地区医保政策及特殊使用级抗菌药物定位,未予患者长疗程使用利奈唑胺,且地塞米松应用疗程少许不足,有可能是听力障碍持续加重的原因。患者发病约2个月听力仍无改善,行人工耳蜗植入,以改善后期生活质量。随访发现患者听力较前改善,能进行日常语言交流,但反应较为迟缓。
猪链球菌脑膜脑炎临床症状明显,但缺乏特异性,脑脊液培养阳性率低,脑脊液宏基因组二代测序猪链球菌有助于早期诊断、识别。针对猪链球菌进行积极足剂量足疗程抗感染及综合治疗使患者病情逐渐好转。本例患者磁共振显示颅内白质异常信号,考虑与患者自身年龄、高血压等脑血管疾病相关性大,在抗菌药物全疗程并无明显差异性,可排除感染影响。在全疗程中,听力障碍持续进展是治疗的难点,在使用头孢曲松联合利奈唑胺抗感染基础上,配合足量地塞米松抗炎,可能是治疗猪链球菌中枢神经系统感染并发听力障碍患者的有效方法。而对于无法逆转的听力障碍,植入人工耳蜗,进行语言康复训练,或许能成为改善此类患者听力及生活质量的可行方法,为今后患者的治疗提供了新思路。但在猪链球菌感染治疗的整个过程中,需要患者本人和家属极大的耐心,才能帮助患者达到高效治愈的目标。
刘彦红,张敏,马红玲.猪链球菌脑膜脑炎并发听力障碍1例[DB/OL].中国临床案例成果数据库,2023(2023-06-14).http://journal.yiigle.com/LinkIn.do?linkin_type=cma&DOI=10.3760/cma.j.cmcr.2023.e01691.
所有作者均声明本研究不存在利益冲突





















