
患者,男性,59岁,因"声音嘶哑4个月"就诊。
患者临床表现为持续性声音嘶哑,无呼吸困难、吞咽困难、咯血、咽痛等不适,体格检查:一般情况可,ECOG(Eastern Cooperative Oncology Group,美国东部肿瘤协助组)评分0分。右侧颈部可触及多个散在淋巴结,大者位于右颈中部,大小约2 cm×1 cm,质韧,活动度尚可,无压痛。
纤维喉镜检查:右侧梨状窝及劈裂环后肿物,下咽部右侧梨状窝可见菜花样肿物(活检),环后区受侵犯,右侧声带活动受限。下咽活检结果:鳞状细胞癌,中分化。免疫组化结果显示:P16(-),P53(+90%),PD-L1(22C3)(CPS=100)。头颈部增强CT检查:右侧梨状窝处软组织增厚,局部形成肿物,边界不清楚,最厚处约1.4 cm,不均匀明显强化,侵及右侧杓状会厌襞及环后区,与右侧甲状软骨板关系密切。右侧颈中下深组、颈后三角区见数个肿大淋巴结,不均匀强化,大者短径约1.1 cm。诊断:下咽癌,鳞状细胞癌cT3N2bM0 IVa期;右颈淋巴结转移;食管黏膜高级别瘤变;类风湿因子升高待查。
帕博利珠单抗联合顺铂、紫杉醇新辅助治疗3周期,外科手术治疗。
术后病理评价病理完全缓解,术后病理分期yp T0N0,患者术后进食、吞咽、呼吸、发音恢复可,术后稳定随访,无复发。
肿瘤科;耳鼻咽喉头颈外科
版权归中华医学会所有。本文为遵循CC-BY-NC-ND协议的开放获取文章。
下咽鳞状细胞癌(hypopharyngeal squamous cell carcinoma)是头颈肿瘤中预后最差的类别之一,因其位置深在,早期症状不明显,因此有高达85%的下咽鳞癌患者初治时已经是中晚期病变[1]。这一部分中晚期患者在接受手术、放疗、化疗联合靶向治疗等综合治疗后,其整体预后仍不良,复发率高达50%,平均总生存期小于1年[2]。因此中晚期下咽癌的治疗是目前临床的难点。新辅助治疗又称诱导治疗,是指在手术或放射治疗前使用的化疗等,具有患者顺应性好,可降低肿瘤负荷,提高放疗敏感性,提高手术患者器官功能保留率,以及消灭潜在的转移病灶,降低远处转移风险等优点。在此我们报道1例可手术局部晚期下咽癌应用PD-1单抗联合化疗新辅助方案综合治疗的病例,希望为局部晚期下咽癌提供更多的治疗方案的借鉴,同时为免疫药物用于术前新辅助进行有益尝试。
患者,男性,59岁,主因"声音嘶哑4个月"来诊,4个月前患者无明显诱因出现持续性声音嘶哑,未诉呼吸困难、吞咽困难、咯血、咽痛等不适,患者遂就诊于当地医院,对症消炎,症状未见好转,遂于当地行纤维喉镜检查发现下咽肿物,考虑恶性可能,当地医院建议手术治疗,遂以此来诊我院寻求进一步治疗。患者既往体健,否认基础疾病史。患者否认既往类风湿关节炎病史,但既往常规检查提示类风湿因子较高,未予特殊诊治。否认过敏史。否认吸烟、饮酒史。否认手术及输血史。适龄婚育,育1子,配偶子女体健。否认肿瘤家族史。
体格检查:患者生命体征平稳,一般情况可,ECOG评分0。专科查体提示:右侧颈部可触及多个散在淋巴结,大者位于右颈中部,大小约2 cm×1 cm,质韧,活动度尚可,无压痛。间接喉镜检查配合不佳,舌根及会厌未见新生物。
纤维喉镜检查:右侧梨状窝及劈裂环后肿物,下咽部右侧梨状窝可见菜花样肿物(活检),环后区受侵犯,右侧声带活动受限,左侧声带活动正常。(图1)


下咽活检结果:鳞状细胞癌,中分化。免疫组化结果显示:AE1/AE3(3+),VEGF(1+),EGFR(3+),P16(-),P53(+90%),PD-L1(22C3)(CPS=100),Ki-67(+80%)。
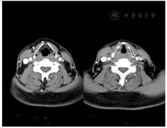
头颈部增强CT检查:右侧梨状窝处软组织增厚,局部形成肿物,边界不清楚,最厚处约1.4 cm,不均匀明显强化,侵及右侧杓状会厌襞及环后区,与右侧甲状软骨板关系密切。右侧颈中下深组、颈后三角区见数个肿大淋巴结,不均匀强化,大者短径约1.1 cm。余双侧颈深链见多发形态饱满淋巴结,大者短径约0.7 cm。(图2)


胃镜检查:距门齿约为30 cm,9点食管可见一0-Ⅱb型病变,表面黏膜发红,NBI观察病变区域呈茶褐色改变,警惕为早期食管癌或癌前病变。该处活检提示:鳞状上皮黏膜组织呈慢性炎,伴低级别上皮内瘤变,小灶伴高级别上皮内瘤变,可见表皮样化生。
全身检查:肺部CT,腹部超声,血常规,血生化等均未见明显异常,类风湿因子107 IU/mL(0~20.1),相关情况如病史所述。
患者诊断考虑如下:下咽癌 鳞状细胞癌cT3N2bM0 IVa期;右颈淋巴结转移;食管黏膜高级别瘤变;类风湿因子升高待查。
下咽肿物活检明确为中分化鳞状细胞癌,纤维喉镜提示下咽肿物累及右侧环后区域,并存在右侧声带活动受限,体格检查提示颈部多发肿大淋巴结,右侧显著,颈部影像学检查同时提示右颈多发肿大淋巴结,全身排查未见可疑远处转移,因此患者下咽癌病情属于临床局部晚期病变,仍具备根治性手术可能。同期上消化道排查过程中发现食管黏膜病变,病灶活检提示高级别上皮内瘤变。患者类风湿因子升高,但临床表征和既往均不支持类风湿关节炎及其他自身免疫疾病。我院头颈肿瘤多学科综合查房(MDT)讨论,患者目前下咽鳞癌局部晚期,建议先行内科新辅助治疗,依据新辅助治疗结果拟定进一步治疗方案,患者术前CPS评分较高,建议行PD-1免疫联合化疗的新辅助方案,同时考虑患者类风湿因子升高问题,结合患者及家属意见采用低剂量PD-1免疫药物。食管病变较为浅表建议择期行内镜下黏膜剥脱。
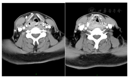
患者下咽鳞癌局部晚期,经综合查房后决定行新辅助治疗方案帕博利珠单抗100 mg ivgtt d1联合紫杉醇脂质体300 mg ivgtt d1及顺铂120 mg ivgtt d1,Q21d,患者分别于2021年11月29日、12月20日、2022年1月10日行3周期新辅助治疗。治疗3周期后评估,右颈淋巴结较前明显减小,已不具体。疗后颈部影像评价:右侧梨状窝处软组织增厚,局部形成肿物,边界不清楚,较前缩小,最厚处仍约0.6 cm,侧颈中深淋巴结较前明显缩小,现最大短径约0.6 cm(图3)。疗后喉镜:下咽部右侧梨状窝内部肿物基本消退,表面基本变平,环后区黏膜显水肿,余下咽部基本平整。声带活动正常(图4)。总体疗后评价MPR。常规复查血常规,血生化,心肌酶等未见明显异常,超声心动、心电图未见异常,无主观特殊毒性反应报告过程中监测类风湿因子,肝肾功能正常。患者于新辅助治疗结束后第5周(2022年2月16日)行右侧梨状窝扩大切除锁骨上皮瓣修复 右颈Ⅱ~Ⅳ区 右颈Ⅵ区清扫 气管切开术,过程顺利。




患者术后病理结果提,原发灶及颈部淋巴结均符合重度治疗后改变,未见残存病灶,术后病理分期ypT0N0。术后第7天(2022年2月23日)拔除引流,术后2周练习经口进食可,术后MDT讨论考虑患者目前术后无明确病灶,未行术后辅助放疗。遂为患者封堵气切套管,顺利拔管。术后2个月(2022年4月6日)患者食管30cm黏膜于内镜下ESD切除,回报低级别上皮内瘤变,伴表层细胞角化不良。后患者稳定随访复查。患者分别于术后3个月和术后6个月行常规随访复查,一般情况可,经口进食,气切愈合良好,呼吸情况、发音情况可,超声及CT等颈部影像学检查,喉镜检查均未见复发病灶。目前患者处于肿瘤无病生存状态,稳定随访中。
下咽鳞癌是下咽恶性肿瘤中的主要病理类型,由于下咽位置深在,肿瘤早期症状不明显,加之下咽鳞癌侵袭性较强,容易同时合并食管肿瘤等特点,高达85%下咽鳞癌在初次就诊时即为中晚期,此类患者预后不佳,5年生存率约15%~45%[2]。目前下咽鳞癌的治疗遵循以手术、放疗、化疗及靶向治疗等多种方法参与的综合治疗理念。近年来免疫治疗领域的进展带动了下咽鳞癌的治疗发展。美国食品药品监督管理局于2016年分别批准将免疫检查点PD-1/PD-L1抑制剂帕博丽珠单抗和纳武利尤单抗,用于铂类难治的下咽鳞癌治疗中。在KEYNOTE-048研究中,针对帕博利珠单抗与传统一线西妥昔单抗联合化疗的复发/转移头颈鳞癌Ⅲ期临床研究中,帕博利珠单抗在PD-1阳性群体中具有明显的总体生存获益,且相对西妥昔单抗联合化疗方案副作用更小[3,4,5],基于此项结果美国食品药品监督管理局于2019年批准将帕博丽珠单抗单药或联合化疗用于复发/转移下咽鳞癌的一线治疗中,目前这些治疗方式也被写进了中国抗癌协会临床肿瘤协作中心专家共识,用于中国下咽鳞癌患者的治疗。
基于帕博利珠单抗在复发/转移下咽鳞癌中的治疗效果,目前多项针对帕博利珠单抗用于头颈鳞癌免疫新辅助治疗的临床研究正在开展。新辅助治疗,是指在手术或放射治疗前使用的化疗或免疫治疗,具有患者顺应性好,可降低肿瘤负荷,提高放疗敏感性,提高手术患者器官功能保留率,以及消灭潜在的转移病灶,降低远处转移风险等优点。一项针对可切除局部晚期头颈鳞癌的Ⅱ期临床研究表明,术前帕博利珠单抗单抗新辅助治疗后,44%的患者出现病理肿瘤应答,22%的患者术后病理肿瘤坏死比例超过50%,术后病理降期率为19.4%,同时显示在术后病理高风险人群中,1年的复发率为16.7%,与既往相比明显下降[6]。与此同时,该项研究中两周期帕博利珠单抗用药组与单周期用药的新辅助免疫治疗组相比,两周期组有42.9%的患者术后病理肿瘤坏死比例超过50%,同时出现病理降期的比例达到28.6%,都相对单周期用药组效果明显[7]。研究提示帕博利珠单抗免疫新辅助治疗有这良好应用前景。
免疫新辅助治疗前需要审慎进行评估。首先是免疫新辅助治疗副作用的方面,既往抗PD-1受体类药物,纳武利尤单抗、帕博利珠单抗的新辅助治疗报道中,出现的3-4级不良反应,主要为心包炎、甲状腺炎、淋巴细胞减少、皮疹等,但是相应发生比例不高[8,9]。其次是免疫新辅助治疗生物标志物的方面,目前PD-L1的表达是临床上应用最为普遍的生物标志物,在头颈肿瘤中常采用CPS评分表示。在KEYNOTE-048研究中CPS评分与免疫药物生存获益相关[5],在卡瑞丽珠单抗用于头颈鳞癌术前新辅助的研究中,术后病理肿瘤应答与CPS评分相关,且CPS≥20的亚组中4例患者均出现显著病理肿瘤应答[10]。
免疫新辅助治疗由于有较好的病理降期比例,因此对于保留喉功能的下咽鳞癌手术提供了有利条件。既往局部晚期下咽鳞癌,因侵犯环后区域或部分喉造成声带固定,多数情况下均选择全喉切除,这给患者带来后续发音、呼吸、吞咽等多方面的功能损失。既往铂类为主的诱导化疗,通过选择合适的同步放化疗病例,在不改变总体生存的情况下提高了喉功能保留率[11]。免疫联合化疗的新辅助方案,术后病理肿瘤应答率高,部分病理甚至能够达到病理完全缓解,使得部分喉切除联合喉功能重建手术安全性增加。
目前免疫新辅助治疗联合手术方案的临床研究进行日渐深入,与此同时免疫联合放疗/同步放化疗的研究也在同步开展。在研的KEYNOTE-412,是一项随机、双盲、安慰剂对照、Ⅲ期临床试验,研究帕博利珠单抗联合同步防化疗序惯帕博利珠单抗维持治疗局部晚期头颈鳞癌,以期寻找帕博利珠单抗联合放疗延长无事件生存期的证据[12]。同样在进行中的针对纳武单抗的Ⅱ期临床研究NCT0310718,选择HPV阳性口咽癌患者采用纳武单抗联合化疗后经口机器人手术或同步防化疗方案。相信这些研究的结果的逐步揭示,有利于探索PD-1受体类药物与放疗联合应用的前景。同时免疫新辅助治疗后综合治疗的选择同样需要兼顾远期生存,功能保全,患者意愿等多方面因素。
结合本例患者情况,下咽鳞癌起病隐匿,初诊时即出现喉受侵和颈部淋巴结转移,属于局部晚期病例,同时合并有食管黏膜早期病变。治疗前肿瘤组织活检提示CPS评分较高,为采用免疫新辅助治疗的有利因素。结合患者既往类风湿因子升高的情况,个性化选择了低剂量帕博利珠单抗联合化疗的免疫辅助方案,三周期新辅助治疗后,肿瘤控制效果明显。在接受了喉功能保全的手术治疗后,术后病理显示达到病理完全缓解,术后患者主要功能恢复良好。后续内镜下治疗食管黏膜病灶。稳定随访,恢复情况良好,患者总体免疫新辅助治疗近期结果满意,长期生存情况有待随访完善。
帕博利珠单抗用于下咽鳞癌的新辅助治疗,目前尚处于临床研究阶段,但是部分治疗病例的结果让我们看到了该方案的客观前景。但是如何进一步提高治疗应答率,选择合适生物标志物预测治疗反应,以及后续手术治疗方式的选择,术后辅助治疗综合设计,都是面临的继续解决的问题,相信随诊临床研究的深入,能够最终为下咽鳞癌治疗带来新的进展。
王凯,黄辉,李德志,等.免疫联合化疗新辅助治疗局部晚期下咽鳞癌1例[DB/OL].中国临床案例成果数据库,2023(2023-06-15).http://journal.yiigle.com/LinkIn.do?linkin_type=cma&DOI=10.3760/cma.j.cmcr.2023.e01702.
所有作者均声明本研究不存在利益冲突





















