
患者,女性,65岁,因"头晕视物模糊2个月余"收入院。患者2个月前无明显诱因出现头晕,视物模糊,脸部皮肤红肿,未经特殊治疗,1个月前外院就诊检查示肾上腺占位,今日症状加重伴腰痛,遂入院进一步治疗。
入院时患者体温36.7℃,心率75次/min,呼吸18次/min,血压130/80 mmHg(1 mmHg=0.133 kPa)。神志清楚,体格检查合作,面容正常,各瓣膜听诊区无异常心音及杂音,未触及明显异常淋巴结及腹部包块,肝脾肋下未触及,双下肢无水肿,左肾叩击痛(+)。生理反射存在,病理反射未引出。
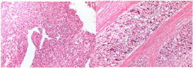
患者经过系列检查后诊断为ACC。术后病理结果显示为左侧肾上腺皮质肿瘤,侵及肾实质,符合ACC伴部分坏死,肾脏被膜、肾窦、输尿管切缘及肾门管腔切片上未见肿瘤累及。
全麻下剖腹探查,行左侧肾上腺区肿块及左肾切除术。
术后患者无不适,自述恢复良好。
超声科;肾内科
版权归中华医学会所有。本文为遵循CC-BY-NC-ND协议的开放获取文章。
肾上腺皮质癌(adrenocortical carcinoma,ACC)是起源于肾上腺皮质的罕见高度恶性肿瘤,占癌症尸检病理的0.2%[1,2]。ACC好发于中青年,男多于女,可发生于皮质的任何一层,绝大多数为腺癌,呈单侧,孤立性,起病隐匿,且恶性程度高,极易发生局部浸润和转移,淋巴、血液转移者平均存活期为2年[3]。因ACC无明显临床症状,多数患者发现时病情已属晚期,严重影响治疗效果[4]。肾上腺肿块以往诊断多依赖CT检查,随着超声技术的进步和仪器清晰度、分辨率的改善,其诊断肾上腺肿瘤敏感性、准确性提高,并且检查费用较低,因此可作为肾上腺肿瘤的首选检查方法。本文将报道1例就诊于本院的ACC患者,收集其临床、病理资料并结合文献综合分析,以提高对此类疾病的认识。
患者,女性,65岁,因"头晕视物模糊2个月余"收入院。患者2个月前无明显诱因出现头晕,视物模糊,脸部皮肤红肿,未经特殊治疗,1个月前前往外院就诊,影像学检查显示肾上腺占位,未治疗。后因症状加重,遂入本院进一步治疗。精神饮食睡眠可,大小便正常,体重未见明显下降,稍感乏力。既往无药物过敏及外伤史,否认肝炎、结核及其他传染病史,1981年行剖腹产术,1986年行阑尾炎切除术,2015年行肾上腺肿瘤切除术。入院时患者体温36.7℃,脉搏75次/min,呼吸18次/min,血压130/80 mmHg(1mmHg=0.1333kPa)。神志清楚,体格检查合作,发育正常,无满月脸、水牛背体征。各瓣膜听诊区无异常心音及杂音,未触及明显异常淋巴结及腹部包块,肝脾肋下未触及,双下肢无水肿,左肾叩击痛(+)。生理反射存在,病理反射未引出,双下肢无水肿。
入院后完善血尿常规、大便常规及相关生化检查。肾上腺内分泌功能检查示肾素22.19 pg/ml,血管紧张素Ⅱ 241.33 pg/ml,醛固酮134.95 pg/ml,醛固酮肾素比值6.08 μg/L,皮质醇0点(CROTISOL)166.00 μg/L,皮质醇4点(CROTISOL)218.00 μg/L。胸片、心电图正常。腹部超声检查显示左侧肾上腺区可见一大小约7.6 cm×6.2 cm的低回声团,边界欠清,与左侧肾脏组织分界不清,腹腔内及腹膜后区未见明显肿大淋巴结回声。超声提示左侧肾上腺区实性占位性病变(图1)。


由于该团块与左侧肾脏分界不清晰,为了了解其与肾脏的关系,进一步行腹部增强CT检查。CT显示左侧肾上腺-左肾区见以不规则形软组织肿块影伴少许钙化,截面约8.0 cm×5.5 cm,增强扫描显示该肿块出现不均匀强化,周围组织呈受压推移改变,考虑肿瘤性病变,肾上腺来源可能性大(图2)。


患者经过系列检查后诊断为ACC。术后病理结果显示为左侧肾上腺皮质肿瘤,侵及肾实质,符合ACC伴部分坏死,肾脏被膜、肾窦、输尿管切缘及肾门管腔切片上未见肿瘤累及(图3)。


患者完善术前检查后,在全麻下行左侧腹膜后占位及左肾切除术。术中见左侧肾上腺区域可见一个不规则肿块,大小约9 cm×6 cm,和左肾分界不清,侵入肾实质内,该肿块与脾血管、胰腺粘连也较为紧密。分离肾蒂并结扎离断,从肾脏背侧向上游离至肾上腺区肿块,仔细分离肿块与脾动静脉、胰腺之间的粘连,完整切除肿块及左肾。肉眼可见肾脏12 cm×7 cm×7 cm,相连输尿管8.0 cm×0.3 cm,肾上极见8.0 cm×7.5 cm×4.0 cm灰白间黄结节,边界尚清。术后病理结果显示为左侧肾上腺皮质肿瘤,侵及肾实质,符合ACC伴部分坏死,肾脏被膜、肾窦、输尿管切缘及肾门管腔切片上未见肿瘤累及(图3)。免疫组化染色示肿瘤细胞EMA(−)。CK8/18(−),CD99(部分+),a-Inhibin(+),Calretinin(−),Syn(部分+),CgA(−),MelanA(+),S-100(−),P53(−),Ki67(热点区LI:30%),PAX8(−),PAX2(−),RCC(−),CD10(−),CK7(−),CK20(−),Villin(−)。
术后患者转入病房予以监护吸氧监测生命体征,继续抗感染、止痛、护胃、补液、静脉营养等治疗。现患者病情稳定,恢复良好,已出院。
ACC是较为少见的起源于肾上腺皮质的恶性肿瘤,其发病因素尚不清楚。ACC根据肿瘤组织有无内分泌功能分为功能性ACC和无功能性ACC,前者占约60%,因分泌激素不同,临床表现各异。功能性ACC表现为皮质醇增多症或原发性醛固酮增多症,具有典型的库欣氏综合症、头晕头痛、高血压、性功能减退、女性男性化等临床表现[5,6]。功能性皮质癌可发生在任何年龄,但发病高峰在45~60岁之间,女性多见,功能性肿瘤往往早期出现内分泌紊乱症状,就诊时肿瘤属于临床早期,预后相对较好。而分泌皮质醇的皮质癌预后较差,早期易出现远处转移[7,8]。非功能性ACC一般以肿瘤增大和转移引起的局部压迫症状为主,表现为腰部肿块、疼痛、乏力等,通常在体检时借助影像学检查偶然发现。本例患者肾上腺内分泌指标皮质醇增多,头晕,且肿瘤病灶较大,压迫周围组织导致左腰部疼痛,为原发性功能性ACC。
ACC的影像学诊断主要依靠超声、CT及MRI等检查,特别是无内分泌症状的非功能性肿瘤更需要影像学检查明确诊断。超声检查是首选初筛检查,具有无创和可重复的特点,可大致了解肿瘤一般情况、边界、内部及周边血流情况。ACC的超声典型表现为肾上腺区较大低回声占位性病灶,通常直径大于5 cm,内部回声不均匀,边界不清,形态不定,可呈圆形、椭圆形或分叶状,彩色多普勒超声示肿块内部多可探及血流信号,少数周边可见血流信号。肾上腺皮质恶性肿瘤超声声像图表现主要取决于肿瘤的大小,中等大小(3~5 cm)的皮质恶性肿瘤特征性地固定于肾上腺部位,边界清晰,偶可见包膜,内部回声均匀或不均匀[9];大于5 cm的皮质恶性肿瘤可与肝或脾紧密相贴,内部因出血坏死形成的不规则高回声团或无回声,部分病例可见强回声钙化,当较大肿瘤显示分叶状,内见"瘢痕"征,即放射状回声,则恶性可能性变大。疑为ACC的患者还应行腹膜后及腹腔淋巴结扫查,有时可见到肿大淋巴结,部分患者合并有下腔静脉及肾静脉癌栓,病灶可见出血及坏死区,少数可有钙化,癌症容易侵犯肾上腺静脉、下腔静脉,可发生肝,脑,骨转移。CT对于鉴别肿瘤良恶性、确定肿瘤分期及手术方式有重要作用。皮质癌的CT特征性表现为轮廓不规则,密度不均,假包膜形成,中央区沙粒样钙化,内部出血坏死,增强扫描时动脉期不均匀强化,延迟期渐进式持续强化[3]。Xiao等[10]报道CT对于诊断ACC敏感性高达98%,误诊率及漏诊率小于10%。同时CT对于确定肿瘤有无外生性生长,是否淋巴结转移及周围脏器浸润情况有重要意义。
ACC的主要鉴别诊断有肾上腺皮质腺瘤,其体积通常较小,直径<5 cm,呈圆形或椭圆形,边界清晰,有包膜,回声均匀,内部无液化坏死[11];肾上腺嗜铬细胞瘤一般体积较大,超声表现多呈圆形或类圆形,形态规则,有包膜,边界清晰,常伴囊性变,良、恶性嗜铬细胞瘤在临床表现、生化检查、组织病理学等方面缺乏特异性指标,肾上腺恶性嗜铬细胞瘤除具有嗜铬细胞瘤的一般特点外,还表现为肿瘤易复发转移或形成下腔静脉瘤栓;肾上腺髓样脂肪瘤是一种少见的、无功能良性肿瘤,其超声表现较为特异,多为肾上腺区类圆形或椭圆形强回声肿块,颇似肾血管平滑肌脂肪瘤声象,边界清晰,彩色多普勒显示其内及周边均无明显血流信号,肾上腺囊肿是一种少见的肾上腺良性疾患,假性囊肿为正常肾上腺内或肿瘤内出血所致。典型囊肿的超声不难作出诊断,但对于合并出血、感染或囊内沉积物的情况时,可嘱患者变换体位、通过彩色多普勒检查或结合超声造影检查来进行鉴别,肾上腺节细胞神经瘤一般为良性肿瘤,但若直径>6 cm,可能为恶性,本病可发生于任何年龄,但以青年人较多。
超声识别典型的肾上腺肿瘤不难,但当肾上腺来源的肿瘤较大,压迫周围脏器时,与周围组织、器官发生粘连,甚至侵犯、破坏时,往往给诊断带来一定的难度。因此位于右肾上腺区的肿瘤应注意与肝、右肾肿瘤进行鉴别,深呼吸时注意观察肿块与肝之间的相对运动及肿瘤与下腔静脉的关系,位于左侧的肿瘤则需观察其与脾静脉及胰腺的关系,胰尾肿瘤多在脾静脉前方,右肾上腺肿瘤多在脾静脉后方。当肿块巨大,越过腹中线时,还应注意与其他腹膜后肿瘤的鉴别。
本例患者左侧肾上腺区较大占位性肿块,头晕视物模糊及皮质醇值增高,根据其声像图特点并结合患者临床症状、体征、实验室检查结果,可以为临床提供较多诊断价值。对于一些声像图特征不典型、临床症状和实验室检查不支持超声诊断、无典型症状而意外发现临床需明确其性质的情况,可配合行超声引导下穿刺活检明确肿瘤的来源和性质,也是一种在治疗前获得病理诊断的安全而有效的方法。病理学检查是诊断ACC的金标准,手术治疗是目前治疗ACC的首选方法[12]。
宋悦,曾庆瑜,王静.超声诊断肾上腺皮质癌1例[DB/OL].中国临床案例成果数据库,2023(2023-06-25).http://journal.yiigle.com/LinkIn.do?linkin_type=cma&DOI=10.3760/cma.j.cmcr.2023.e01724.
所有作者均声明本研究不存在利益冲突





















