
患者,女性,7岁半,前牙外伤后折断1 h,离体断牙生理盐水中保存,要求治疗。
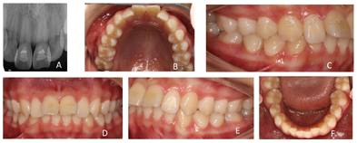
11、21冠中部横折,断面整齐,牙髓外露,粉红色,触诊疼痛,牙齿松动I度。离体断牙生理盐水中保存完整,断面整齐,可准确复位。
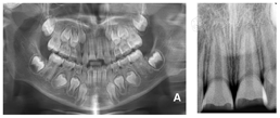
X线曲面断层片及根尖片显示:11、21髓腔宽大,根管壁平行,牙根发育Nolla9期,牙周膜间隙均匀。未见颞下颌关节及颌骨骨折等异常影像。临床诊断:11、21复杂冠折。
11、21活髓切断术,自体牙断冠粘接。
术后即刻,疼痛缓解,断端复位密合,牙体外形恢复良好,术后2周复查,咬合早接触,调牙合治疗。通过术后5个月,2年,6年随访,断冠粘结稳固,11、21牙根发育周期同健康邻牙(侧切牙),2年后牙根发育完成,锥形,牙根长度比例(同比侧切牙)正常,根尖孔闭合。
牙体牙髓病科;牙槽外科;儿童牙病科;修复科
版权归中华医学会所有。本文为遵循CC-BY-NC-ND协议的开放获取文章。
牙外伤多发于儿童和青年人,占所有损伤的5%,上颌中切牙发病率最高。外伤导致的复杂冠折即累及牙釉质、牙本质、牙髓。年轻恒牙冠折露髓时大多处于牙根未发育成熟阶段,所以要通过治疗尽量保留活髓并使牙根继续发育。活髓切断术是治疗年轻恒牙复杂冠折的常选方法之一。前牙担负着美观,发音,咀嚼等重要的功能,冠折后需及时修复恢复这些功能,否则可能会对患者心理造成一定的影响。断冠再接是指前牙冠折后用粘结材料将原冠折片粘回原位的修复方法,因其外形美观,操作简便而受到关注。
本文报道一例外伤导致复杂冠折,进行活髓切断,保障牙根继续发育完成及自体断牙粘接,恢复牙齿外形,恢复美观的病例,通过术后5个月,2年,6年随访,断冠粘结稳固,11、21牙根发育周期同健康邻牙(侧切牙),2年后牙根发育完成,锥形,牙根长度比例(同比侧切牙)正常,根尖孔闭合。
患者,女性,7岁半,上前牙外伤后折断1小时。患者及家长自述1小时前在学校同学间嬉闹时向前摔倒,致上前牙折断,断牙放在生理盐水中保存,否认头晕、恶心及呕吐等症状,来诊。既往无牙科治疗史。否认系统病史及药物过敏史。
11、21冠中部横折,断面整齐,牙髓外露,粉红色,触诊疼痛,牙齿松动I度。离体断牙保存完整,可复位。12、22、31、32、41、42(13、23未萌出)未见缺损及裂纹,无松动,冷热诊无异常,叩诊无异常。双侧颞下颌关节对称,关节区无压痛,开闭口未见异常。
X线曲面断层片及根尖片显示(图1):11、21髓腔宽大,根管壁平行,牙根发育Nolla9期,牙周膜间隙均匀,根尖孔未闭合。未见关节及颌骨骨折等异常影像。


混合牙列,排列不整齐。
无牙结石,口腔卫生佳,少量菌斑附着,牙龈缘红肿,轻探出血。
双侧磨牙远中关系,前牙深覆牙合Ⅲ度,深覆盖Ⅲ度。
唇线 对称,唇红色泽自然。唇颊黏膜质地柔软,唇、颊、舌系带位置正常。
1.11、21复杂冠折,根尖未发育完成。
2.安氏Ⅱ类错牙合畸形。
3.菌斑性龈炎。
1.口腔卫生宣教。
2.11、21活髓切断术后,自体牙断冠粘接。
3.定期复查,11、21如出现牙髓牙周感染,及时调整治疗方案。
4.替牙期后正畸治疗。
5.18岁后11、21贴面或冠修复。
6.定期牙周洁治术。
患者及家属同意治疗方案后,签署知情同意书。
11、21盐酸阿替卡因肾上腺素注射液0.6 ml局麻下开髓,揭全髓室顶,齐根管口锐利挖匙去除冠髓,生理盐水冲洗,3 min内断面无出血后,氢氧化钙置于牙髓断面,聚羧酸锌粘固剂垫底,制备唇侧斜面+髓腔内部倒凹+舌侧排溢沟,在自然光线下比色,隔湿、干燥,酸蚀釉质斜面30 s,冲洗15 s,干燥空气吹干,涂布二步法粘接剂,光照,BEAUTIFIL-Ⅱ复合树脂粘接牙本质部分,釉质斜面和舌侧釉质及排溢沟部分用BEAUTIFIL Flow Plus复合树脂光照固化,去除多余树脂,抛光。术后拍根尖片(图2)。


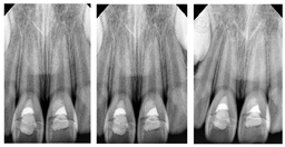
2周后复诊:11、21断牙粘接稳固,松动I度,牙龈无红肿,根尖区扪诊无不适。咬合时近中舌侧有早接触,早接触点位于舌侧近远中边缘嵴近颈缘部分,牙齿松动度无明显改善,当日进行调牙合治疗,调磨方式采用选磨法,选择对牙合牙近切端的唇斜面及患牙近远中边缘嵴调牙合。X线根尖片(图3)显示:11、21牙周膜均匀,根尖周未见低密度破坏影像。
5个月后随访:11、21断冠粘结稳固,边缘密合,叩痛(-),无松动,唇腭侧牙龈无异常。X线根尖片显示(图4):11、21牙根较之前明显延长,根尖孔接近闭合,未见低密度影像。
2年后随访(图5):11、21无松动,断冠粘接稳固,菌斑性牙龈炎。X线根尖片显示:11、21根管口可见高密度钙化桥形成,11、21牙根发育完成,根尖周未见异常,牙根长度较健康邻牙无差异。


6年后随访(图6),11、21无松动,断冠粘接稳固,菌斑性牙龈炎。11、21根管口可见高密度钙化桥形成,11、21根管壁增厚,牙根变长,根管口闭合,牙根长度较健康邻牙无差异,根尖周未见异常。因双侧磨牙远中关系,前牙深覆盖Ⅲ度,深覆牙合Ⅲ度,转入正畸科进行正畸治疗。


术后2周,5个月,2年、6年随访,11、21断冠粘接稳固,牙根发育周期同健康同名牙齿,2年后牙根发育完成,锥形、牙根长度与健康同名牙无差异。
牙外伤因受力大小、方向、部位和患者年龄等因素不同,牙外伤的表现具有多样性和复杂性[1,2,3]。国际牙外伤治疗指南中指出,年轻恒牙外伤首选的治疗方案是尽量保存活髓,以确保牙根继续发育[4]。在简单冠折治疗中可使用复合树脂覆盖暴露的牙本质断面。国内陈永进等也指出,年轻恒牙发生复杂冠折或复杂冠折合并脱位性损伤或根折时,因牙髓组织血运丰富,抗感染能力强,暴露的牙髓具有较强的愈合能力,应选择非固化氢氧化钙或不使牙冠染色的硅酸钙水门汀为盖髓剂,采用直接盖髓术、牙髓切断术等方法保存活髓,以维持牙根的继续发育[5]。活髓切断术是年轻恒牙露髓后的首选治疗方法。活髓切断术需将部分可能感染的牙髓组织切除,利用盖髓剂覆盖于牙髓的表面,保留正常牙髓活性的方法,与直接盖髓术相比,牙髓切断术可以去除有炎症的牙髓,为放置盖髓剂提供了更多的空间,治愈率也相对提高。外伤牙预后包括牙髓组织预后及牙周组织预后。牙髓组织预后包括牙髓存活、髓腔钙化、牙髓坏死。牙周组织预后主要有牙周膜愈合、表面吸收、炎性吸收、替代性吸收。但也有研究结果显示,只有伴随牙周组织损伤是影响复杂冠根折牙髓预后的重要因素[14]。活髓切断术后的预后与患者的年龄、牙位以及病变的程度、手术操作、冠方封闭等有关。活髓切断术后,牙髓断面发生急性炎症反应或者表层坏死,随着时间的推移会有3种转归:一、断面处形成牙本质桥;二、断面处形成不规则钙化物;三、断面处有部分牙本质桥形成,根髓已发展为慢性炎症,或发生内吸收[13]。本病例在术后2年随访中观察到断面牙本质桥的形成。
断冠粘接是指前牙冠折后使用粘接材料将牙折片重新粘向原位处.断冠粘接的强度问题是临床医生和患者所关心的问题,Reis等认为在评估抗断裂性能时,材料的选择会影响其抗断裂性能。然而Chazine和Bruschi报告了材料的选择并不影响结果。很明显,在文献中没有关于断冠再接理想技术的共识。Brambilla和Cavallé使用了15颗不是复杂冠折的牙齿来做断冠简单粘接技术和唇面覆盖技术的对比研究。他们使用的是Optibond Solo Plus (Kerr,英国)牙本质-牙釉质粘合系统,用磷酸处理牙釉质和牙本质(Etchant Gel, 3M ESPE,美国)。他们还做了一种树脂水门汀(Nexus,Kerr, UK) 和复合树脂( HFO, Micerium,丹麦)的对比研究。6个月的随访后,断冠保持稳定,他们认为复合树脂材料的使用有助于加强再接强度[6,7,8,9]。国内也有学者研究表明[11,12]:断冠粘接适用于冠中1/3处的冠折、冠中1/3斜向龈下2mm以内的冠根折。本病例属于冠中部的横向折断,复位良好。在对牙髓经过活髓切断术处理后,断端采用唇侧斜面+内部倒凹+舌侧树脂排溢道的牙体预备方法,因唇斜面、内部倒凹增加了粘接面积,树脂和剩余牙冠形成很好的颜色过度,无色差,较好的恢复了美观和粘接强度[9,10]。
断冠再接失败的共同特点为树脂粘接区域出现变色或者断冠脱落[15]。研究表明,断牙再接后最薄弱的位置是树脂粘接区域。因为树脂会随着时间的推移而容易发生老化、变色,它的粘接强度也相对下降,受到新的外伤时极易脱落分离[16,17]。有学者提出,断冠再接2年的成功率为90%[18],也有学者报道:10年左右(9.5±3.7年)的成功率约为66.7%[6]。因此,成年后可酌情进行永久性冠修复或瓷贴面修复。断冠再接后,定期复查时要注意观察是否有髓腔钙化的情况,及时根据牙髓及牙周情况调整治疗策略,必要时做根管治疗,为利用根管做永久性修复做准备。
随着复合材料的改进和粘接技术的发展,临床中越来越多的学者应用断端再接技术修复前牙冠折[12,13,14],它保留了牙釉质的原始形状、颜色、亮度和表面纹理。此外,与其他修复体不同,重新粘接的断冠切缘磨损率与相邻的天然牙齿相似,花费时间更少且提供更可预测的长期结果。断冠再接作为一种过渡性修复,可以很好地为后期永久修复维持空间,且操作方便、经济。粘接后的牙齿抗力不可能达到健康牙体的水平,故修复后应及时调牙合,避免早接触,并嘱患者避免二次外伤,不用前牙咬切硬物,也是成功的重要因素。
金建娟,滕海英,刘全惠,等.年轻恒前牙外伤后活髓切断及自体牙冠粘接1例[DB/OL].中国临床案例成果数据库,2023(2023-06-26).http://journal.yiigle.com/LinkIn.do?linkin_type=cma&DOI=10.3760/cma.j.cmcr.2023.e01726.
所有作者均声明本研究不存在利益冲突





















