
患儿,男性,8岁,确诊急性淋巴细胞白血病,进行化疗治疗,因出现化疗后"鼻塞、流涕"耳鼻咽喉头颈外科会诊。
入院体格检查:精神可,呼吸平,贫血貌,全身散在出血点及淋巴结肿大,鼻腔黏膜未见明显异常。化疗后出现鼻塞、流涕,鼻腔可见脓性干痂及褐色坏死组织。
根据病史、症状、体征结合急性淋巴细胞白血病病史,通过血宏基因组学第二代测序、真菌涂片、鼻窦CT、纤维鼻咽镜检查、常规病理检查明确诊断。
美罗培南、两性霉素B脱氧胆固醇硫酸脂、泊沙康唑对症治疗,并联合全麻鼻内镜下鼻腔鼻窦病损清理治疗。
患儿术后1个月及1年复查鼻窦CT,预后较好,未出现复发情况。
耳鼻咽喉头颈外科;血液肿瘤科;儿科
版权归中华医学会所有。本文为遵循CC-BY-NC-ND协议的开放获取文章。
毛霉菌病是毛霉目真菌引起的一种临床罕见的机会性、血管侵袭性、致死性真菌感染性疾病,90%的鼻脑型毛霉菌病为根霉菌[1]。本例为根霉菌。1885年首次报道人类毛霉菌病[2],1943年报道首例鼻脑型毛霉菌病[3]。毛霉菌病每年发病率约为1.2/100万人,血液恶性肿瘤患者约为1/10万[4,5]。儿童在使用免疫抑制剂、抗生素、糖皮质激素、细胞毒性药物、放射治疗、器官移植、糖尿病、外伤或烧伤等特定条件下,毛霉菌可成为致病性真菌。本文报道1例儿童急性淋巴细胞白血病化疗后毛霉菌感染的诊治经过及预后,旨在提高对本病的认识,尽早诊断,及时治疗。
患儿,男,8岁,2021年10月30日因"确诊急性淋巴细胞白血病9个月,化疗后出现鼻塞、流涕"请耳鼻咽喉头颈外科会诊。2021年1月25日因"全身乏力、面色苍白3周"收入我院血液肿瘤科。经血常规、骨髓涂片、免疫分型、基因检查、荧光定量PCR检查诊断为急性淋巴细胞白血病。给予VDLP(长春新碱+柔红霉素+左旋门冬酰胺酶+泼尼松)方案化疗。
2021年10月30日化疗后骨髓抑制期出现鼻塞、流涕,伴鼻出血,请耳鼻咽喉头颈外科会诊。
患儿自发病以来,精神一般,饮食、睡眠良好,大小便正常。既往史、个人史、家族史无特殊。
体格检查:体温36.8℃,脉搏118次/min,呼吸22次/min,血压102/59 mmHg(1 mm Hg=0.133 kPa)。神志清,精神可,贫血貌,全身皮肤黏膜苍白,可见散在针尖大小出血点及瘀斑,压之不褪色,颈部及颌下可触及数个黄豆大小淋巴结,质软,活动度可,肝肋下2.5 cm。双侧鼻腔黄脓性痂皮及干酪样黑色坏死物,口腔上腭沿正中线方向可见一条形褐色溃疡面,范围约1.5 cm×0.5 cm。
真菌D-葡聚糖(G)和曲霉菌半乳甘露聚糖(GM):阴性。
鼻窦CT示双侧上颌窦、筛窦、蝶窦及额窦内黏膜不均匀增厚,鼻甲肿大,鼻腔内异常密度影填充,鼻后孔处显著,软硬腭交界区不规则透亮影,局部软组织缺失(图1A)。


纤维鼻咽镜示双侧鼻腔较大脓血性分泌物及黑褐色干痂附着,可见鼻中隔穿孔(图2)。


本例以鼻塞、流涕,鼻腔黄脓性痂皮及干酪样黑色坏死物,上腭褐色溃疡面为主要表现,有急性淋巴细胞白血病化疗病史;结合分泌物真菌培养、mNGS检测、组织病理学检查目前该患儿诊断为:1.急性淋巴细胞白血病;2.鼻脑型毛霉菌病。应与曲霉菌感染、结核、淋巴瘤等鉴别。
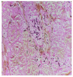
患儿2021年1月25日入院后完善相关检查临床诊断为急性淋巴细胞白血病(BCR/ABL融合基因阳性,BCR/ABL1p190阳性)。2021年1月27日给予VDLP(长春新碱+柔红霉素+左旋门冬酰胺酶+泼尼松)诱导化疗。7月29日患儿出现化疗后持续高热,热峰39.5°C,鼻皮肤黏膜破损,完善血mNGS检测检出德式根霉菌,给予静滴美罗培南40 mg/kg、每8小时1次,静滴两性霉素B脱氧胆固醇硫酸脂4 mg/kg、每日1次,泊沙康唑0.5 ml/(kg·d),分2次口服治疗。10月30日患儿出现鼻塞,流涕症状,体格检查双侧鼻腔黄脓性痂皮及干酪样黑色坏死物,口腔上腭沿正中线方向可见一条形褐色溃疡面,范围约1.5 cm×0.5 cm。完善鼻窦CT检查示双侧鼻腔内异常密度影,双侧上颌窦、筛窦、蝶窦及额窦黏膜不均匀增厚,软硬腭交界区不规则透亮影,局部软组织缺失。鼻内镜检查见双侧鼻腔较多干脓血痂附着,鼻腔分泌物真菌涂片检出根霉菌(图3)。12月2日全麻手术清理痂皮及坏死物,见鼻中隔部分骨质坏死,鼻中隔穿孔,穿孔大小约3.0 cm×3.0 cm,前至下鼻甲前端水平,后至后鼻孔水平,上至上鼻甲下缘水平,下至鼻底。清理物留送病理示毛霉菌感染(图4),继续两性霉素B脱氧胆固醇硫酸脂4 mg/kg、每日1次抗真菌治疗。




患儿于2022年1月3日及2022年12月22日复查鼻窦CT(图1B、C):预后良好,未见复发情况。
毛霉菌病按照感染部位分为鼻脑型、肺型、胃肠型、皮肤型、播散型等,其中鼻脑型毛霉病最为常见。鼻脑型毛霉病临床表现为鼻、鼻窦及周围软组织为中心的剧烈炎症,早期症状不典型,表现为流涕、鼻塞、口腔内/颜面部黏膜皮肤坏死样痂皮形成,上腭黑色溃疡样病变、面部肿胀等,鼻窦炎合并面部、鼻腔或上颚无痛性黑痂形成是鼻脑型毛霉菌病的特征性表现,通常提示预后欠佳[4]。本例患儿出现鼻塞,流涕,口腔及上腭溃疡形成的特征性表现。随着疾病进展,可累及眼眶及颅内,出现眶蜂窝织炎、眶尖综合征、头痛、偏瘫、癫痫、意识丧失等。
诊断毛霉菌病的金标准是组织病理学检查和真菌培养,临床为了早期诊断,正在尝试聚合酶链反应(PCR)、基质辅助激光解吸/电离飞行时间质谱(MALDITOF)和血宏基因组学第二代测序(mNGS)等[6]。鼻脑型毛霉菌病可累及颅内组织及神经,但并不宜行脑脊液分析诊断[7]。本例患儿行血mNGS检查提示根霉菌,进一步组织病理学及真菌涂片明确诊断为根霉菌。CT、MRI等影像学检查可提示病变部位、范围及骨质破坏情况。组织标本内见大量较粗、无分隔、孢芽垂直样分出的菌丝是确诊毛霉菌病的"金标准",另可见出血性梗死、凝固性坏死、血管血栓形成、中性粒细胞浸润和侵犯神经结构等相对特征性改变[8]。国外报道局灶性慢性鼻脑型毛霉病组织病理多表现为以多核巨细胞为主的慢性肉芽肿性改变,菌丝或孢子结构周围可见高度嗜酸性物质沉积,又称之为Splendore-Hoeppli现象[9]。
欧洲医学真菌学联合会(ECMM)指南[10]建议毛霉菌病的诊断与治疗策略包括早期诊断、控制基础疾病、系统性抗真菌治疗及适当的手术清创治疗。结合本例患儿,建议:1.积极治疗血液系统疾病。2.药物治疗。目前推荐使用的药物主要为两性霉素B,两性霉素B脂质体、泊沙康唑和艾沙康唑。两性霉素B推荐剂量为1.0~1.5 mg/(kg·d),最高剂量可达2.5~4.0 g,治疗时间为4~6周[11,12]。两性霉素B脂质体是目前公认的毛霉菌治疗一线用药。欧洲联盟医学会推荐两性霉素B脂质体剂量为5~10 mg/(kg·d)[13]。泊沙康唑及艾沙康唑主要作为挽救性治疗使用,泊沙康唑推荐剂量为200 mg/次,4次/d[4]。毛霉菌病治疗的确切疗程目前尚不明确,目前多认为应治疗至临床症状及影像学表现完全消失。3.手术清创。在患儿身体条件允许的情况下,可针对病情对病变组织进行手术清创。手术首先采用视野清晰、创伤小的鼻内镜外科术,术中应在保证窦口鼻道复合体、中鼻道等引流通畅的情况下尽可能广泛彻底清创,直至暴露健康组织,甚至可以进行多次清创。本例患儿采用全麻下鼻内镜手术清创,术中送冰冻切片,清理病变至切片中未再找到毛霉菌。临床资料显示抗真菌药物治疗同时及早手术清创,可提高患儿生存率。Pana[14]研究显示单独抗真菌治疗存活率约为40%,药物联合手术清创存活率约为72.5%。Vaughan[15]研究显示,发病12 d内手术清创患者生存率为61%,13 d后为33%,没有手术清创患儿存活率只有21%。
本例患儿为急性淋巴细胞白血病化疗后出现鼻塞、流涕,黏膜坏死痂皮形成,经过培养及mNGS检测,常规病理检测明确病原菌后根据诊疗指南,给予两性霉素B脂质体、沙伯康唑应用,及时全麻鼻内镜手术清创治疗,术后1个月及1年复查鼻部CT显示病变范围明显缩小,预后良好。
综上所述,毛霉菌病的早期识别、诊断、治疗极为重要。对于存在免疫功能低下危险因素的患儿治疗过程中出现发热,鼻腔黏膜溃烂,鼻腔及口腔黏膜黑色痂皮形成等应注意鼻脑型毛霉菌病的可能,尽早应用两性霉素B或两性霉素B脂质复合体抗真菌治疗,病变部位黏膜组织活检术有助于快速诊断,及时手术清理病灶,早期诊断及治疗对本病预后具有决定性意义,可提高患儿生存率。
李春苗,魏贝,益欢欢,等.急性淋巴细胞白血病化疗后毛霉菌感染1例[DB/OL].中国临床案例成果数据库,2023(2023-06-29).http://journal.yiigle.com/LinkIn.do?linkin_type=cma&DOI=10.3760/cma.j.cmcr.2023.e01765.
所有作者均声明本研究不存在利益冲突





















