
患者,女性,29岁,因"乳腺内肿物2个月余"入院。两月前患者于洗澡时无意中触及右侧乳腺有一"花生米"大小肿物,因无伴随症状,遂未行诊治。3 d前自行检查,触及肿物增大,约"鹌鹑蛋"大小,增长迅速。
双侧乳房对称,乳房发育正常,乳头无凹陷溢液,皮肤无红肿破溃,左乳未触及肿物,于右乳5点半距乳头9 cm触及一约3 cm×2 cm肿块,质硬,表面粗糙,边界清晰,活动度差,与胸大肌、皮肤无粘连。双侧腋下及锁上未触及肿大淋巴结。
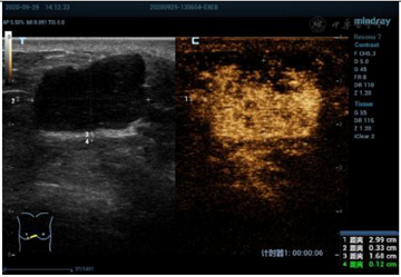
术前行乳腺超声及超声造影检查。术前超声提示:右乳5点半腺体边缘低回声团块,大小26 mm×15 mm,拟诊断BI-RADS 4a类;随后行超声造影后诊断为BI-RADS 4c类。
全麻下右乳区段切除术。
术后患者无不适,自述恢复良好。
乳腺外科;超声科
版权归中华医学会所有。本文为遵循CC-BY-NC-ND协议的开放获取文章。
结节性筋膜炎(Nodular Fasciitis,NF)[1]又称结节性假肉瘤性筋膜炎,是一种生长迅速的反应性肌纤维母细胞增生病变,呈坚实性单发性结节,有时有触痛,位于深肌膜并常伸展到皮下组织。全身均可累及,但多发于上肢及躯干,多数有自限性。结节性筋膜炎是最常误诊的良性肿瘤之一,因其生长迅速,易与恶性软组织肉瘤混淆。我们报道一例原发于乳腺内的结节性筋膜炎病例的诊治过程。
患者,女性,29岁,因"乳腺内肿物2个月余"收治入我院乳腺外科。2个月前患者于洗澡时无意中触及右侧乳腺有一"花生米"大小肿物,因无伴随症状,遂未行诊治。3 d前自行检查时,触及肿物有所增大,约"鹌鹑蛋"大小,因自觉增长迅速来我院门诊检查。患者一般状态良好,饮食睡眠佳,二便正常,体重无明显减轻。专科查体显示:双乳对称,乳头无凹陷溢液,皮肤无红肿破溃,左侧乳房未触及肿物,右乳5点半钟距乳头9 cm触及一肿物,大小约3 cm×2 cm,质硬、表面粗糙、边界清晰可辨,活动度差。与胸大肌和皮肤无固定、粘连,双腋下及锁骨上未触及肿大的淋巴结。临床诊断为:右乳肿物。
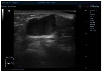
乳腺超声显示(图1):右侧乳腺5点半距乳头8~10 cm腺体边缘近胸骨旁扫见混合回声结节,大小约26 mm×15 mm,距体表6 mm,边界清晰,形态欠规则,内部回声欠均匀,后方回声略增强,CDFI:可见少许血流信号(图2)。弹性成像显示肿块硬度尚可(图3)诊断为BI-RADS 4a类,建议行乳腺超声造影。行超声造影后提示:增强早期肿块与周围乳腺组织相比,造影剂呈向心性、快进、高增强(图4),分布均匀,周边未见明显滋养血管,造影后范围30 mm×17 mm,大于二维超声;增强晚期造影剂缓慢消退,诊断为BI-RADS 4c类。








入院后血常规、肝肾功、传染病系列均无异常。患者一般状态良好,体质良好,心肺查体及心电、胸片未见异常,无慢性疾病史。
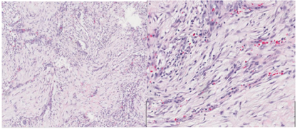
患者在全麻下行右乳区段切除术。患者患侧手臂外展,取右乳内下距乳头缘8 cm处,行放射状切口,长约5 cm,逐层剥离,完整切除肿物,肿物呈圆形,约3 cm×2 cm,表面无包膜,肿物剖面色暗红、质韧,术中冰冻回报:右乳梭形纤维样细胞增生伴变性,不除外间叶组织来源。确切止血后,生理盐水冲洗,逐层缝合,加压包扎。术后病理结果显示:结合形态学及免疫学指标符合结节性筋膜炎(图5、图6)。


术后患者转入病房观察,现切口愈合良好,患者无不适,已出院。
结节性筋膜炎(Nodular Fasciitis,NF)又称结节性假肉瘤性筋膜炎,是一种生长迅速、具有自限性的反应性肌纤维母细胞增生病变,呈坚实性单发性结节,有时有触痛,位于深肌膜并常伸展到皮下组织。两性发病相等,平均发病年龄为40岁[2],发病高峰期在20~30岁。由于结节性筋膜炎是一种非肿瘤性病变,治疗主要为手术切除[3],复发率低,不超过1%~2%,少数患者可自行消失。
结节性筋膜炎一般位于皮下,偶尔位于肌肉内。全身各部位均可受累,但以上肢、躯干和头颈部最常见,发生于乳腺的结节性筋膜炎极其少见[4],一般发生在女性,男性患者偶有报道。NF的发病机制并不明确,部分NF病例可见有外伤史。NF病程多数较短,大多不超过1~2个月,肿块生长迅速可有疼痛和触痛,大小一般2 cm或<2 cm,几乎不超过5 cm。
NF光镜下特点为由增生的肌纤维母细胞组成,细胞呈梭形或胖梭形,肌纤维母细胞的形态和大小基本一致,无明显的多形性和异型性,核染色质细致,可见小核仁,并可见核分裂像,但不见病理性核分裂。增生的肌纤维母细胞多呈不规则的短束状或交织状排列,可呈S形或C型,也可排列紊乱无方向性,局灶可有席纹状结构。丰富的梭形细胞,淋巴细胞浸润、红细胞外渗是结节性筋膜炎的诊断特点。
尽管NF是一种常见的软组织肿物,但超声方面的文献报道较少。从已有的的研究来看,NF在超声上主要表现为以低回声背景为主的,伴或不伴内部高回声团块,后方可有回声增强,CDFI未见或可见少许血流信号[5]。
本文中的患者年龄29岁,正处于NF的发病高峰期,肿块生长迅速,于两月内成倍生长,询问病史发现患者并无触痛,由于此例肿块发生于乳腺内,极易先入为主误诊为乳腺腺体疾病,容易与乳腺纤维腺瘤,乳腺癌等混淆[6]。该肿块有与其他好发部位NF相同的超声表现:整体呈低回声,内部回声较均匀,后方伴有回声增强,边界较清晰,其内可见少许血流信号。超声造影结果显示增强早期肿块呈向心性、均匀性、高增强,造影后肿块范围可见增大,增强晚期造影剂缓慢退出,增强模式倾向于恶性,故将其级别升至4C类。
综上,本病例带给我们的思考是:1.在乳腺腺体内发现的肿块并非都是腺体来源疾病,在诊断时要综合临床表现,全方位考虑,尽量避免误诊。2.乳腺肿块行超声造影后,呈现高增强、范围明显增大的特点,是乳腺癌的造影征象,但对于年轻的患者,当造影后肿块范围与二维超声相比增大不显著,周边未见明显滋养血管时,应谨慎评估,综合分析,难以确定时均应行超声引导下的穿刺活检。
谢泳薇,荆慧.乳腺内结节性筋膜炎1例[DB/OL].中国临床案例成果数据库,2023(2023-06-30).http://journal.yiigle.com/LinkIn.do?linkin_type=cma&DOI=10.3760/cma.j.cmcr.2023.e01782.
所有作者均声明本研究不存在利益冲突





















