
患者,男,40岁,以"头晕伴多梦、记忆减退2周"为主诉入院。患者2周前于发热后出现头晕,头晕发作时伴左侧上肢不自主地运动。心情焦虑,入睡后梦话增多,无深睡眠感,记忆时间顺序混乱,记忆力减退。当地医院查MRI示脑部未见明显异常。脑电图:轻度异常脑电地形图。给予"倍他司汀片"等相关药物治疗,症状未见明显好转。既往史、个人史、家族史均无特殊。
神志清,精神可,睡眠障碍,记忆力下降,伴有一过性意识丧失、左上肢不自主运动,理解、判断好,常识好,计算好,颅神经检查未见明显异常,四肢肌力5级,肌张力正常。
简易精神状态评价量表评分26分。多导睡眠图:符合睡眠呼吸暂停低通气综合征(中度,阻塞型事件为主)。MRI:左侧基底节区及左侧海马在T2 Flair及DWI上见片状稍高信号。18F-FDG PET/CT:双侧尾状核体部、左侧尾状核头、双侧壳核、左侧颞叶内侧(包括左侧海马-杏仁核复合体)、左侧额叶内侧及左侧岛叶代谢增高,全身未见明确恶性肿瘤征象。血清:抗LGI1抗体1∶1000,抗IgLON5抗体1∶100。脑脊液:抗LGI1抗体1∶100,抗IgLON5抗体(−)。最终诊断为抗IgLON5抗体和抗LGI 1抗体双阳性自身免疫性脑炎。
甲泼尼龙冲击治疗、口服吗替麦考酚酯、左乙拉西坦、营养神经及改善智能等药物。
治疗半个月后评估,患者夜间睡眠不自主运动及言语增多现象均缓解,白天肢体不自主运动次数减少,血清抗LGI1抗体1∶100,血清抗IgLON5抗体1∶10,抗体滴度较前下降。治疗后3个月随访:睡眠已恢复正常,左上肢不自主运动消失,记忆力明显好转。治疗后3个月复查PET/CT示原双侧尾状核体部、左侧尾状核头、双侧壳核、左侧颞叶内侧(包括左侧海马-杏仁核复合体)、左侧额叶内侧及左侧岛叶代谢增高均基本消失;右侧尾状核头及左侧颞叶内侧代谢较对侧减低。
神经内科;精神科;核医学科;放射科
版权归中华医学会所有。本文为遵循CC-BY-NC-ND协议的开放获取文章。
抗IgLON5抗体相关脑病是一种罕见的中枢神经系统自身免疫性疾病,其特征是一种独特的睡眠障碍,与多种神经系统症状相关,如步态不稳定、球综合征、认知障碍及运动障碍[1]。自2014年Sabater等[2]首次报道以来,截至目前全球仅有几十例的报道,非常罕见。抗LGI1抗体脑炎是第二常见的自身免疫性脑炎(autoimmune encephalitis,AE),边缘叶脑炎的一种。据我们所知,本文首次报道了抗IgLON5抗体和抗LGI1抗体双阳性的AE的PET/CT显像,并对文献复习,以提高对该病的认识。
患者,男,40岁,以"头晕伴多梦、记忆减退2周"为主诉入院。2周前患者发热后出现头晕,头晕发作时伴左侧肢体抖动。心情焦虑,入睡后伴有肢体摸索、梦话增多,无深睡眠感,后逐渐出现认知障碍,主要表现为记忆力下降,思维混乱,间断出现头晕,伴有一过性意识丧失、左上肢不自主运动,呼之不应,持续数秒缓解,清醒后对上述过程无记忆,偶有愣神,偶有幻听。当地医院查MRI示脑部未见明显异常。脑电图:轻度异常脑电地形图。给予"倍他司汀片"等相关药物治疗,症状未见明显好转。既往史、个人史、家族史均无特殊。
脑脊液压力145 mmH2O(1 mmH2O=0.0098 kPa),脑脊液细胞数正常,蛋白680.9 mg/L。脑脊液抗酸染色、病毒学检查未见明显异常。脑脊液二代测序未见异常。Patho:(脑脊液)镜下见少数淋巴细胞。白细胞7.22×109/L,CRP 0.94 mg/L。病毒检测及炎症因子等未检测。肿瘤标志物:癌胚抗原5.06 ng/ml,非小细胞肺癌抗原21-1 3.91 ng/ml,余常见肿瘤标志物均阴性。TPOAb、TgAb及TRAb阴性。简易精神状态评价量表评分26分。
多导睡眠监测:(1)符合睡眠呼吸暂停低通气综合征(中度,阻塞型事件为主)AH1 28.0次/h,最长呼吸暂停时间为39.0 s;(2)轻度低氧血症,最低血氧饱和度87%,血氧饱和度小于90%的时间占总时间0.2%。血清抗LGI 1抗体1∶1000,血清抗IgLON5抗体1∶100;脑脊液抗LGI 1抗体1∶100,脑脊液抗IgLON5抗体阴性。
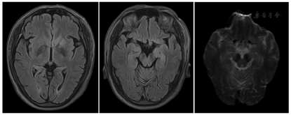
MRI:左侧基底节区及左侧海马在T2 Flair及DWI上见片状稍高信号,缺血性改变(图1)?18F-FDG PET/CT(发病20 d):双侧尾状核体部、左侧尾状核头、双侧壳核、左侧颞叶内侧(包括左侧海马-杏仁核复合体)、左侧额叶内侧及左侧岛叶代谢增高,全身未见明确恶性肿瘤征象(图2)。




诊断:结合患者血清及脑脊液抗体结果、临床症状、简易精神状态评价量表评分、多导睡眠图、MRI及18F-FDG PET/CT结果,患者最终诊断为抗IgLON5抗体和抗LGI1抗体双阳性的AE。
鉴别诊断:(1)家族致死性失眠症;(2)进行性核上性麻痹;(3)多系统萎缩。
甲泼尼龙冲击治疗、口服免疫抑制剂吗替麦考酚酯、抗癫痫药左乙拉西坦、营养神经及改善智能等药物。
治疗半个月后,患者夜间睡眠不自主运动及言语增多现象均缓解,白天肢体不自主运动次数减少。复查血清抗LGI1抗体1∶100,抗IgLON5抗体1∶10,抗体滴度较前下降。3个月后随访:睡眠已恢复正常,左上肢不自主运动消失,记忆力明显好转。治疗3个月后复查18F-FDG PET/CT示原双侧尾状核体部、左侧尾状核头、双侧壳核、左侧颞叶内侧(包括左侧海马-杏仁核复合体)、左侧额叶内侧及左侧岛叶代谢增高均基本消失;右侧尾状核头及左侧颞叶内侧代谢较对侧减低(图3)。


AE根据所检测出的抗体不同分为多种亚型,不同亚型有脑炎共同的一些特点,但也有各自的临床及影像学特点。AE的主要临床症状为精神行为异常、认知损害、近记忆力下降、癫痫发作、言语障碍、不自主运动、意识下降或昏迷和自主神经功能障碍等。血清和脑脊液的抗体阳性是该病的主要确诊方法。目前,AE患者临床上以单抗体阳性为主,仅少数患者可检测出2种或2种以上的抗体阳性。据我们所知,目前国内外仅有2例抗LGIl抗体和抗IgLON5抗体双阳性的AE的报道,但均未行18F-FDG PET/CT显像[3,4]。本文是首例报道了抗IgLON5抗体和抗LGI1抗体双阳性AE的PET/CT显像。
抗IgLON5抗体相关脑病是一种由抗IgLON5抗体介导的、以严重睡眠障碍为突出表现的罕见的中枢神经系统自身免疫性疾病,神经病理改变主要为下丘脑、脑干被盖等特定部位的神经元丢失与磷酸化Tau蛋白沉积[5]。2014年由Sabater等[2]首次报道了8例以睡眠障碍为突出特征的患者,他们有共同作用于神经元表面抗原的抗IgLON5抗体,以异态睡眠和睡眠呼吸暂停为特征,基因检测发现HLA DRB1*10:01及DQB1*05:01等位基因,血清和(或)脑脊液检测抗IgLON5抗体阳性。Gaig等[1]分析了22例IgLON5抗体相关脑病患者发现,发病率无性别差异,多为老年患者,中位年龄为64岁(范围46~83岁),诊断的中位时间为30个月(范围3~21个月)。截至目前报道的最小的年龄33岁,最短的病程4 d[3,6]。最常见的临床症状是睡眠障碍(100%)、球部症状(91%)、运动障碍(64%),自主神经症状(64%)、认知功能障碍(41%)[1]。睡眠障碍是疾病进展过程中最突出的问题,主要表现为异态睡眠和睡眠呼吸暂停。睡眠中可出现抬手、抓东西、喊叫、唱歌、身体扭动、吐口水、抽打自己、撞墙,语言混乱无逻辑等。部分患者出现失眠伴睡眠碎片化、打鼾及呼吸暂停的发作、白天过度嗜睡[1]。
抗LGll抗体脑炎多见于中老年男性,临床表现多为进行性加重的认知损害、精神行为异常、频繁癫痫发作、低钠血症、自主神经功能损害等。癫痫发作是LGIl抗体脑炎最主要的临床表现,发作形式多样,其中面-臂肌张力障碍是最具特征的形式,表现为一侧面部和上肢(或下肢)的不自主收缩,每天发作数次,每次持续数秒。面-臂肌张力障碍发作和低钠血症可能是该病较为特异的临床表现。
本例患者中年男性,以夜间睡眠时伴有肢体摸索、言语增多为首发症状,后逐渐出现认知障碍,主要表现为记忆力下降,思维混乱,间断出现头晕,伴有一过性意识丧失、左上肢不自主运动,呼之不应,持续数秒缓解,清醒后对上述过程无记忆。其中睡眠障碍及认知功能的下降可以是抗IgLON5抗体相关脑病及抗LGI1抗体脑炎共同突出临床表现,不过本研究中睡眠障碍的表现与抗IgLON5抗体相关脑病引起的常见睡眠障碍更符合。另外,一过性意识丧失及左上肢的不自主运动,考虑癫痫的表现,与LGIl抗体脑炎的表现符合。本例患者的血清抗LGI1抗体滴度明显高于抗IgLON5抗体,脑脊液抗体LGI1抗体明显阳性而抗IgLON5抗体为阴性,患者的临床症状既有抗IgLON5抗体相关脑病的睡眠障碍,又有抗LGI1抗体脑炎常见的癫痫。
据报道,超过95%的抗IgLON5抗体相关脑病患者的MRI表现不明显或非特异性,多为轻度至中度脑干、双侧海马和小脑萎缩,T2 Flair信号增高[1]。影像学上抗LGI1抗体脑炎主要表现在边缘系统,包括海马、杏仁核、颞叶、岛叶及扣带回皮质结构,基底节受累为不典型表现,MRI上为上述部位的T2WI及T2 Flair序列的高信号[7]。本例头颅MRI显像示左侧基底节区及左侧海马的T2 Flair及DWI信号略增高。国内一项研究从9个医疗中心招募了13例抗IgLON5抗体阳性的患者,其中4例接受18F-FDG PET检查,1例患者表现出双侧脑白质代谢下降,2例患者表现出颞叶代谢下降,1例患者表现出双侧额叶和双侧基底神经节的FDG代谢略有增加[3]。苏柳迪等[7]报道的5例LGI1抗体脑炎患者的18F-FDG PET/CT发现,3例为尾状核、海马及颞叶的代谢增高,1例颞叶的代谢减低,1例代谢未见异常。本例因CEA及非小细胞肺癌抗原稍升高,临床为排除肿瘤,行全身的PET/CT。18F-FDG PET/CT显示双侧尾状核体部、左侧尾状核头、双侧壳核、左侧颞叶内侧(包括左侧海马-杏仁核复合体)、左侧额叶内侧及左侧岛叶代谢增高,全身未见明确恶性肿瘤征象。18F-FDG PET/CT较MRI发现病变的范围更大且更明显,提示18F-FDG PET/CT在脑炎的敏感性更高。本例患者的MRI及18F-FDG PET/CT的表现均以基底节及边缘叶系统受累为主,其中边缘叶受累与典型的抗LGll抗体脑炎影像学改变相符。
综上,抗IgLON5抗体相关脑病是一种罕见的中枢神经系统自身免疫性疾病。抗IgLON5抗体相关脑病合并其他AE相关抗体阳性更少见。不同抗体亚型的AE有相似的临床及影像学表现,又有各自独特的临床特点,可能与各自特异性抗体攻击的靶点不同相关,2种抗体并存可能导致临床症状、影像学表现及预后的变异与叠加,这为我们的诊断及治疗提出了更大的挑战。需要我们对AE提高认识,并对临床上对怀疑AE的患者,尽早进行血清及脑脊液的多种AE相关抗体的检测。
晁芳芳,高剑波,孙珂,等.抗IgLON5抗体和抗LGI1抗体双阳性的自身免疫性脑炎18F-FDG PET/CT显像1例[DB/OL].中国临床案例成果数据库,2023(2023-07-03).http://journal.yiigle.com/LinkIn.do?linkin_type=cma&DOI=10.3760/cma.j.cmcr.2023.e01810.
所有作者均声明本研究不存在利益冲突





















