
患者,女性,34岁,左眼反复流泪、流脓1+个月,因感冒、饮酒、熬夜后出现流泪、流脓,脓液呈黄白色黏稠状。
左眼反复溢泪,伴有黏液浓稠黄白色脓性分泌物,结膜充血,结膜囊可见黄白色脓性分泌物,挤压左眼泪囊区可见少许脓性分泌物从下泪小点溢出。
1.泪道冲洗:右眼下泪小点进针,触及骨壁,冲洗液生理盐水入咽喉,无水反流;左眼下泪小点进针,触及骨壁,冲洗液生理盐水无入咽喉,冲洗液从上下泪小点反流,伴黏稠黄白色脓性分泌物。2.泪道造影CT检查:造影剂从下泪小点入泪囊,未入下鼻道,泪囊区见团块高荧光。
改良术式鼻内镜下鼻腔泪囊吻合+泪囊结石取出术。
泪囊鼻腔再通,引流通道通畅,阻塞解除,取出结石,感染灶清除。
眼科;耳鼻咽喉科
版权归中华医学会所有。本文为遵循CC-BY-NC-ND协议的开放获取文章。
慢性泪囊炎是眼科临床常见的泪道疾病,通常由于鼻泪管狭窄或阻塞引起,泪囊内分泌物淤积导致患者眼部溢泪、黏液性分泌物,继发感染后则出现大量脓性分泌物。患者多有沙眼、慢性结膜炎、泪道损伤、泪道结石、泪道肿瘤、鼻息肉、慢性鼻炎等病史,好发于中老年女性。患者常因溢泪、脓性分泌物等症状而影响生活质量,药物治疗无效或只能暂时减轻感染症状。本例为真菌感染引起的慢性泪囊炎合并泪囊结石在鼻内镜下取石,及鼻内镜下行鼻腔泪囊吻合手术,最终取得满意的治疗效果,旨在扩展该病罕见病因及体征的认识。
患者,女,34岁,因"左眼反复流泪、流脓1+个月"于2023年1月9日至乐山市中医医院就诊,患者因感冒、熬夜、饮酒后出现左眼流泪、流脓,不伴眼胀、眼痛、眼部红肿、视物模糊、视物变形等,未及时正规就诊,自行购买氧氟沙星眼液点眼治疗,未见改善,1个月来症状逐渐加重,当地县医院就诊,予以泪道冲洗,见脓液反流,建议上级医院诊治,遂至我科就诊,门诊行泪道冲洗,有脓性分泌物反流,门诊以"左眼慢性泪囊炎"收治入院。患者既往体健,无特殊疾病。
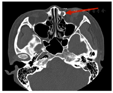
双眼裸眼视力0.8,眼压正常,眼球前后节结构未见明显异常。左眼泪囊区按压可见少许黏稠样黄白色脓性分泌物反流,上下泪小点位正,形圆。泪道冲洗:右眼上下泪小点进针,触及骨壁,冲洗液入咽喉,无反流,不伴脓性分泌物;左眼上下泪小点进针,触及骨壁,冲洗液不入咽喉,上冲下返,下冲上返,伴有黄白色黏稠样脓性分泌物,不伴血性分泌物。庆大霉素尝味实验(−)。双眼前节(−),晶状体透明,眼底未见明显异常。泪道CT造影检查:左眼泪囊窝可见造影剂残留,部分充盈缺损(图1)。


中医诊断:漏睛疮。
西医诊断:1.左眼慢性泪囊炎。诊断依据,患者青年女性,起病缓,病程长,有流泪、流脓症状,体征:挤压左侧泪囊区可见少许脓液从下泪小点反流;检查,泪道冲洗可见大量黄白色脓液反流,冲洗液未入咽喉;可明确诊断。鉴别诊断,可与"泪道阻塞"鉴别,两者同有流泪症状,但后者不伴流脓,且泪道冲洗不伴脓性分泌物反流,可鉴别。2.左眼泪囊结石。诊断依据,患者左眼泪囊炎,泪道冲洗见脓性分泌物反流,不伴血性分泌物,泪道CT造影显示泪囊窝造影剂残留,部分充盈缺损,泪囊占位明确。
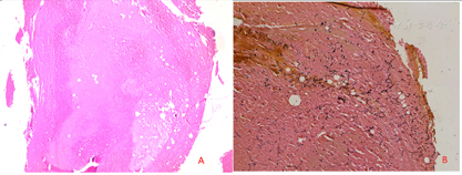
术前根据临床经验予以左氧氟沙星滴眼液0.05 ml点眼、4次/d,头孢唑林钠0.75 g静脉滴注、每12小时1次,患者在局部浸润麻醉下行鼻内镜下左眼改良术式鼻腔泪囊吻合+泪囊切开探查+泪囊结石取出+鼻窦开放术,术中常规消毒铺巾,双侧鼻腔内黏膜以0.1%丁卡因混合肾上腺素棉片做表面麻醉收缩3次黏膜后用5 μg/ml肾上腺素的利多卡因5 ml行左侧眶下神经、滑车神经阻滞麻,及鼻丘切口周边浸润麻醉,左眼结膜囊内用奥布卡因滴眼液行表面麻醉,待麻醉满意后用泪点扩张器行左眼下泪小点扩张,用泪道冲洗针头在泪囊中注入美蓝染色泪囊,切开钩突中下部,保留上部黏膜,去除骨质,开放上颌窦开口,修整上颌窦口,从下泪小点放入泪道探针,在鼻腔黏膜侧探及泪囊范围,用2.8 mm角膜三角刀在上颌窦口前方切开泪囊,泪囊内见巨大白色不规则结石团块(图2A),直径约1 cm,质感较硬,表面不规则,与泪囊窝骨质吻合,完整取出(图2B),清理干净后见泪囊黏膜光滑、结构完整,将泪囊瓣向后翻转,与钩突上部黏膜对合,用明胶海绵填塞泪囊,再用泪道探针从下泪小点将妥布霉素地塞米松眼膏灌注泪囊,检查无活动性出血后左侧鼻腔填塞可降解海绵。术后白色结石团块送病理检查。术后予以左氧氟沙星眼液0.05 ml点眼4次/d,头孢唑林钠0.75 g静脉滴注、每12小时1次抗感染,妥布霉素地塞米松眼膏涂眼0.1 g抗炎抗感染,每日表面麻醉下硫酸庆大霉素注射液2 ml行泪道冲洗。术后第1天病检结果提示:少许疑似真菌菌丝(图3A)。术后第2天病检包块行特殊染色(特殊染色:PAS、六胺银)提示:PAS(+)、六胺银(+),结合特殊染色结果符合真菌感染(图3B、C)。术后泪囊腔脓液送细菌培养3 d未见细菌生长。术后第2天根据病检结果调整用药左氧氟沙星眼液0.05 ml点眼4次/d,氟康唑滴眼液0.1 ml点眼4次/d,每日表面麻醉下硫酸庆大霉素注射液2 ml+氟康唑氯化钠注射液3 ml行泪道冲洗,观察5 d后鼻腔无渗血,泪道冲洗通畅、无分泌物反流后出院。




术后1周复查,清洗鼻腔鼻腔泪囊造口处无粘连,行庆大霉素+氟康唑氯化钠注射液泪道冲洗通畅,无分泌物反流。随访至今,无复发。
本例为罕见的慢性真菌性泪囊炎合并巨大泪囊结石,起病隐匿,病程长。国内外报道慢性泪囊炎最常见的病原体是细菌,其中46%~90%的病原体是革兰阳性菌,2.5%~40%的病原体是革兰阴性菌,不同地区慢性泪囊炎的微生物谱不同,真菌感染引起的慢性泪囊炎极少见报道[1]。而泪囊结石的病理生理学形成机制至今仍未完全透彻,该病例如此巨大泪囊结石更少见报道。通过本例的诊治过程可以总结学习以下几点:(1)充分了解病史、症状、体征及完善影像学检查对该病诊断及治疗有决定性作用,患者泪道冲洗见脓液反流,不伴血性分泌物等,泪囊CT造影检查见泪囊窝造影剂存留及部分充盈缺损,考虑泪囊肿瘤可能性小、结石的可能性极大。(2)结合病史体征、术前术后检查,该病例考虑为单纯真菌性慢性泪囊炎,该病例真菌性泪囊炎脓液黏稠、呈黄白色,脓液更致密,挤压泪囊区反流较少,术后细菌培养未见细菌生长;而细菌性泪囊炎脓液较稀薄,多为浓液性白色脓性分泌物,临床中可根据脓液黏稠度经验性分析。(3)泪囊结石的形成机制尚不明确,Lynn等[2]研究认为泪囊结石是一种黏肽结石,其位置和病理学成分与泪小管结石不同,所以考虑这两种结石的形成机制也不同。年龄(≤50岁)、性别(女性)、吸烟等被认为是结石形成的诱因。也有学者研究认为泪道结石是由有机物质(包括蛋白质和黏液蛋白,氨基酸含量约20%)组成的"硬"泪石,不含磷酸钙。主要由裂片和小叶组成,中间包含无定形的核,其外包裹体的元素为硅、镁、硫、钾、钙,钠和氯。另外,一些颗粒物中铋、钛、铁和有机纤维的含量较高[3]。Paulsen等[4]发现,泪道结石主要由泪囊上皮细胞和鼻泪管产生的大量的黏液蛋白和三叶草家族(trefoil factorfamily,TFF)中两个肽分子TFF1和TFF3的表达有关,认为可能是这些蛋白质对结石的形成起了作用。而在该病例中泪囊结石的形成与真菌性慢性泪囊炎发生的先后顺序是攻克的难点;巨大泪囊结石形成可导致鼻泪管堵塞,泪囊再感染细菌真菌引发泪囊炎,引起患者流泪流脓等症状;也可能是泪囊真菌感染,引起泪囊、鼻黏膜病理生理学改变,炎症产生阻塞泪道,泪道完全阻塞后炎性坏死物及有机物质结合产生巨大泪囊结石。该泪囊结石后续应做进一步检验及真菌菌属培养等,明确结石内包含的生物化学成分,此为本病例资料收集不足。(4)慢性泪囊炎目前无有效的药物疗法,不同的治疗方法目的均为解除泪道阻塞,重建引流通道。内眦部皮肤径路泪囊鼻腔吻合术(external dacryocystorhinostomy,Ex-DCR)是经典而疗效确切的手术,但存在内眦部皮肤瘢痕、不能同期处理鼻部合并症等缺点。随着临床对泪液引流系统局部解剖和病理生理特点的认识不断深入以及内镜手术系统、微动力系统等设备快速发展和完善,内镜泪囊鼻腔吻合(endoscopicdacryocystorhinostomy,En-DCR)日臻成熟,已成为目前治疗慢性泪囊炎的主要方法之一[5]。本例患者为青年女性,对美观要求高,经沟通后选择微创、美观的鼻内窥镜下泪囊鼻腔吻合术。但于该病例而言难点在于既要完整取出结石,也要鼻腔泪囊吻合成功,术前根据影像检查及鼻内镜下鼻腔检查,选择改良术式下鼻腔泪囊吻合+泪囊取石手术治疗,重点在于术前的泪囊CT造影判断结石大小,术中开窗的大小有利于顺利取石,改良泪囊瓣与钩突黏膜瓣吻合,明胶海绵的使用等是手术成功的关键[6,7,8]。(5)真菌适宜于潮湿、温暖的环境下繁殖,且真菌感染发病增多与感染、机体抵抗力、免疫力降低及菌落失调等因素有关;本例鼻泪管阻塞,泪液积聚泪囊,引流不通畅,为真菌感染营造了良好的繁殖环境,患者在病毒感染感冒的基础上,仍熬夜、饮酒等降低身体抵抗力、免疫力,从而诱发真菌感染;故预防真菌感染,需养成良好的生活习惯,适当锻炼增强身体抵抗力、免疫力,积极防治基础疾病及感染,同时避免滥用药物等。本例在于拓展慢性泪囊炎致病菌的多样性,泪囊结石形成的原因探讨,以及根据临床具体情况及需求进行个性化治疗。
童汉波.真菌性慢性泪囊炎合并泪囊结石1例[DB/OL].中国临床案例成果数据库,2023(2023-07-11).http://journal.yiigle.com/LinkIn.do?linkin_type=cma&DOI=10.3760/cma.j.cmcr.2023.e01866.
所有作者均声明本研究不存在利益冲突





















