
患者,女性,27岁,主诉要求矫正牙列不齐,咀嚼不利索等问题。自诉近几年下前年出现松动并逐渐加重。
正面观面下1/3高度短;侧面观下颌平面低平,颏唇沟深;露龈笑明显,牙弓弧度与笑弧不协调。口内检查示恒牙列严重深覆合,尖牙为远中关系,磨牙为中性偏远中,上下前牙明显舌倾,上牙弓宽大下牙弓窄小,牙列拥挤。25牙变色,近中邻牙合面龋,探已经穿髓,探痛(-),扣(-)。口腔卫生尚可,软垢少许,下牙舌侧少牙石。部分牙龈红肿,探出血,BI1-4,PD2-6mm。下前牙牙龈退缩,根面暴露至根中1/2~根尖1/3,松动I~Ⅱ°。上前牙部分牙角化龈不足,牙根唇倾明显,根形明显。双侧关节检查无异常。侧位片示上颌前突下颌后缩,水平生长型,前牙垂直向生长过度后牙萌出高度不足。CBCT片显示:25牙根尖区阴影,上下前牙牙槽骨吸收至根颈1/3-根尖1/3,上前牙唇侧严重牙槽骨缺,上前牙唇侧大面积骨开窗,双侧颞下颌关节后间隙减小。
1.骨性Ⅱ类;安氏Ⅱ2类;毛氏Ⅳ1+Ⅱ2+Ⅲ1+I1;低角;上下牙列宽度不协调;牙列拥挤。2.25牙慢性根尖周炎。3.牙周炎(Ⅳ期C级)
应年轻患者的诉求,治疗目标为在尽可能保存更多牙齿的前提下,改善牙列及面部美观,将上下前牙牙根纳入牙槽骨中央并建立较为良好咬合关系,恢复咬合功能。通过牙周基础治疗控制活动性牙周炎症,通过不对称拔牙矫治(下颌拔除缺损严重且合并较重炎症并纳入矫正计划的患牙),利用多用途弓、个性化的控根装置,内收并压低上前牙,截冠协调冠根比的同时适当压低并唇倾下前牙,协调上下牙弓宽度。
矫治后患者的面部美观得到很大程度的改善,形成了良好的牙齿排列及前后牙咬合关系,上下前牙牙根均纳入牙槽骨的中央并获得了较大程度的稳定。治疗结束一年随访观察,疗效稳定。
口腔全科;口腔正畸科
版权归中华医学会所有。本文为遵循CC-BY-NC-ND协议的开放获取文章。
覆合是上下前牙的垂直向重叠的程度,当重叠程度超过正常范围则被称为深覆合。深覆合虽是上下颌骨和/或牙弓垂直向发育异常,但也常伴随矢状向、水平向的三维空间异常,易出现下颌运动受限、颞下颌关节及咀嚼肌不适等症状,严重的深覆合易出现对牙齿硬组织及牙周组织的损害[1]。本文报道一例存在颌面部三维方向异常并伴有严重牙槽骨缺损的骨性Ⅱ类安氏Ⅱ类二分类深覆合病例,通过不对称拔牙掩饰性治疗的方式,达到了令人满意的效果。
患者,女性,27岁,主诉要求矫正牙列不齐,咀嚼不利索,下前牙松动等问题。自诉近几年下前牙出现松动并逐渐加重。近期曾进行全口洁治,对是否有出现过关节弹响疼痛等病史记忆不清,否认外伤史及家族史。
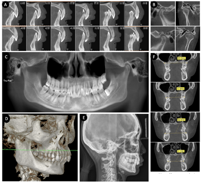
口外检查:正面观显示面部基本对称,面下1/3较短;侧面观显示低角,上下唇稍突与E-Line前方,鼻唇角正常,颏唇沟深。双侧关节运动检查显示双侧开闭口无明显的弹响/杂音/疼痛,开口型无明显偏斜(图1)。


口内检查:矢状向显示上下前牙明显舌倾,双侧尖牙为远中关系,双侧磨牙中性偏远中;垂直向显示重度深覆合,Spee曲线深度右侧12 mm左侧8 mm;水平向显示上下方圆形牙弓,上牙弓宽大/下牙弓窄小,24牙25牙与对颌牙形成正锁合,左下后牙明显舌倾;上牙列中度牙列拥挤,下牙列重度牙列拥挤,上中线基本居中,Bolton指数前牙比76.5%/全牙比81.1%。25牙变色,近中邻牙合在龋,探已穿髓,探痛(-),扣(-)。口腔卫生尚可,软垢少许,下牙舌侧少牙石。部分牙龈红肿,探出血,BI1-4,PD2-6mm。下前牙牙龈退缩,根面暴露至根中1/2~根尖1/3,松动I~Ⅱ°。上前牙部分牙角化龈不足,牙根唇倾明显,根形明显(图1)。
影像学检查:CBCT显示25根尖区阴影,上下前牙牙槽骨吸收至根颈1/3-根尖1/3,下前牙唇侧严重牙槽骨缺损,上前牙唇侧大面积骨开窗。颞下颌关节检查显示双侧髁状突大小形态不一致,关节前间隙较大后间隙较小,髁状突处于关节窝的后位,但表面皮质骨平滑延续。CT三维重建直观显示患者的深覆合致上颌合曲线显著异常,上前牙唇侧大面积骨开窗。头影测量分析显示SNA角77.5°,SNB角72.3°,ANB角5.2°,FH-MP角20°,OP-FH角5.2°,U1-L1角171.2°,U1-SN角64.6°,L1-MP角76.9°,Wits值6.7 mm,U1-PP距32.3 mm,U6-PP距21.2 mm,L1-MP距41.9 mm,L6-MP距28.4 mm。CBCT上下颌骨冠状向显示上下颌骨宽度稍异常而牙弓宽度明显异常,上牙弓较宽而下牙弓较为窄小(图2)。


毛氏Ⅳ1+Ⅱ2+Ⅲ1+I1;骨性Ⅱ类;安氏Ⅱ2类;严重低角;上下牙列宽度不协调;牙列拥挤
25慢性根尖周炎;牙周炎(Ⅳ期C级)
作为年轻的女性患者,患者对美观的要求较高与此同时她更想多保留天然牙,因此本病例的个性化治疗目标为1.控制处于活动期的牙周炎,减缓炎症破坏的速率,尽可能保存更多的天然芽;2.通过代偿性的正畸治疗改善牙列及面部的美观;3.建立较为良好的咬合关系,减少因咬合创伤合并牙周疾病带来的继发性骨破坏;4恢复并重建咬合功能。
因此,我们为其制定的治疗计划如下:1.术前完善牙周基础治疗,控制活动性炎症;2.矫治过程中坚持牙周维护,必要时进行牙周治疗;3.正畸矫治拔除14牙25残冠32松动牙;4.压低上前牙的同时减少往复移动,下前牙截冠并作适当压低;5.排齐整平上下牙列内收上前牙,代偿性唇倾下前牙,将上下前牙的牙根纳入牙槽骨中央,避免过度内收,在Bolton指数不协调的情况下尽可能协调前后牙咬合关系。
正畸矫治早期先行拔除14牙及25牙,安装部分上颌矫治器,并于16牙15牙之间及26牙近中分别植入一枚种植支抗钉以加强后牙支抗。双侧利用支抗钉直接拉13牙23牙向远中,此时对13牙及23牙同时产生压低力及冠远中移动的分力。左侧24牙上用0.018英寸×0.025英寸不锈钢丝制备加力点位于阻抗中心根方的Power arm辅弓,利用支抗钉轻力高位牵引24牙向远中,而23牙的远中牵引力会传导至24牙冠上,在两种力的作用下24牙根远移的量大于冠远移量,以实现24牙远中移动的同时纠正冠远中倾斜。与此同时,0.018英寸×0.025英寸不锈钢丝多用途弓与上切牙0.012英寸镍钛丝片段弓结合在排齐的同时压低并适当唇倾上前牙(图3)。


随着上切牙片段弓的弓丝序列从0.012英寸、0.014英寸、0.016英寸镍钛丝的逐步过渡,上切牙逐渐排齐并压低,与此同时双侧上尖牙远移及适当压低后给予安装全部上颌矫治器,此目的是为了避免因上前牙间隙不足而引起排齐时的过度唇倾及后续可能的往复移动,也为了避免因上尖牙未适当压低而强迫上牙列排齐引起的上切牙覆合再次加深。接着,上颌弓丝序列循序从0.014英寸、0.016英寸、0.018英寸、0.017英寸×0.025英寸、0.019英寸×0.025英寸镍钛丝逐步排齐整平上牙列。上颌排齐整平期间,拔除32牙促下前牙的自然漂移,安装双侧下后牙矫治器,通过交互牵引解除左侧后牙的正锁合。在此情况下,我们对患者多次进行了颌位关系的临床检查,检查结果提示我们其参考颌位与初始咬合位基本一致,我们把这个颌位定位为患者的肌骨稳定位,并指导患者进行正确地咬合2。在确保髁状突处于肌骨稳定状态下,引导右侧的咬合接触,建立双侧后牙的咬合接触关系。锁结关系打开后利用0.014英寸、0.016英寸、0.018英寸序列的镍钛丝排齐整平除下前牙外的下牙列,协调双侧后牙宽度。在此期间上颌支抗钉因松动而摘除(图4)。


在双侧后牙接触关系建立后,下前牙进行根管治疗并做截冠处理,截冠的目的有二,一为平衡冠根比减少牙周的负荷,二为减少实际的下前牙的正畸压低量以降低可能因矫治载荷而加重牙周问题。在安装下切牙矫治器前,先根据预测的目标位提前进行间隙分配,通过对下颌前磨牙及尖牙进行少量邻面去釉来获得间隙以排齐整平除下切牙外的牙列,并在目标位上调整下尖牙的扭转及倾斜度。粘接下切牙托槽后,利用0.012英寸镍钛丝做为辅弓,通过悬吊的方法,轻力少量逐步将下前牙纳入牙弓内,到达目标牙弓弧度上后再通过圆丝进行排齐,使牙根纳入牙槽骨的中央而避免过度唇倾,并避免其往复移动。0.012英寸、0.014英寸、0.016英寸序列镍钛丝排齐整平下牙列。制备口外弓以适时地加强后牙的支抗,在0.018英寸×0.025英寸不锈钢丝增加摇椅形轻力逐步内收上前牙并密切观察上前牙牙周情况,避免内收过程中上下前牙的合干扰。在内收过程中,多次检查患者颌位情况结合拍摄颞下颌关节CBCT,确保髁突处于肌骨稳定位(图5)。


在关闭间隙和精细调整时,在上颌不锈钢方丝上配合使用摇椅及正转矩来控制上前牙的牙根位置;而下前牙在此阶段以圆丝保持排齐整平时已到达的目标位;此过程未使用颌间牵引。当上前牙也纳入牙槽骨中央且建立良好的前牙倾斜度及前牙覆合覆盖关系、后牙建立良好的咬合关系时,结束正畸治疗。拆除正畸矫治器后,使用玻璃纤维带+流动树脂对下颌前牙实施松牙固定。
治疗结果:总疗程29个月,矫治后患者面部比例协调,面下1/3高度有所增加,外貌得到了很大程度的改善。口内检查显示:深覆合得到纠正,建立起良好的前后牙关系,牙齿排列整齐,上颌前牙切缘舌侧连线、下颌切缘唇侧连线成光滑弧线,上颌后牙中央沟近远中连线、下颌后牙颊尖连线成光滑弧线。牙周状况保持尚可,未出现明显的活动性炎症,多数牙PD1-3mm,个别牙PD4-5mm,BI0-2。下前牙由于实施了松牙固定,基本不松动;上前牙因为向颌骨中央移动,黏膜下根形变得不再明显。(图6)


治疗后的CBCT影像分析显示上下前牙牙根均纳入牙槽骨中央位置。骨开窗的程度得到一定的改善,CBCT拟合的全景片显示,较首诊时相比,牙槽骨高度未见进一步下降,多数牙牙槽嵴顶附近出现明显的骨白线,36牙近中角型骨吸收消失——所有这些表征说明骨吸收转为静止状态。髁状突与关节窝的关系未发生明显改变。头颅侧位片及X线头影测量分析对比显示下颌平面顺时针旋转,上下前牙唇倾的同时均有显著的压低,下后牙有一定程度的伸长。其中FH-MP角27.9°,OP-FH角14.4°,U1-L1角127.2°,U1-SN角89.4°,L1-MP角109.3°,U1-PP距29.8 mm,U6-PP距21.4 mm, L1-MP距40.6 mm,L6-MP距32.9 mm。(治疗的影像资料详见图7,头影测量的前后对比详见图8)。




随访:患者矫治一年后随访正畸效果及牙周状况均较稳定(图9)。


本病例是一个骨性Ⅱ类安氏Ⅱ类2分类的深覆合病例。从病因上分析,由于上前牙的内倾使下前牙舌倾,改变其生长方向形成深覆合;同时上下牙弓宽度不协调及后牙正锁合等情况导致后牙区牙及牙槽骨高度的支撑不足,致下颌逆时针旋转反过来也加重了前牙区牙及牙槽高度发育过度。闭锁合的存在使下颌处于远中位,其前伸及侧向运动受阻;长期的运动受限,下颌髁状突向后移位,关节后间隙减少[1,2],久而久之患者已习惯于在此颌位上行使功能,临床检查无明显关节症状。由于长期的闭锁合及强迫后退的下颌位置,使下前牙唇侧受到异常的咬合创伤,至牙槽骨缺损[3]。我们认为,牙槽骨缺损的程度与深覆合的严重程度、内倾的程度及持续时间密切有关。
针对该病例,诊疗团队需要在考量她的错合情况、牙周状态、牙槽骨缺损、关节后位以及患者需求的情况下,制定个性化的目标位及周密的治疗计划。实施矫正治疗前,牙周医师会诊并完善详细的牙周系统治疗计划:全面的牙周基础治疗,反复的牙周状态评估以治疗期间的牙周再评价和牙周再治疗,是保障整个正畸治疗最终成功的基石。正畸医师确定关键的治疗方案:直立下颌后牙建立后牙良好的咬合接触关系,伸长垂直向高度较低的下磨牙;唇向倾斜内倾的上下前牙并作适当地压低,将前牙牙根纳入牙槽骨中央的位置并建立上下前牙良好的接触关系,以利于长期的稳定;内收上前牙以改善面部的美观,但由于骨性因素及上下前牙的唇舌向的骨板薄弱及牙周状态差,也又不宜过度内收与唇倾,需要把握"度";对于下前牙而言,大范围的牙槽骨缺损不宜进行过多的牙齿移动,尽可能用最小的代价实现更大美观和功能的效果,所以拔除了松动度较大牙槽骨缺损严重的32牙;而冠根比是影响牙周骨质吸收牙齿长期预后的一个重要因素,缩短下前牙的牙冠能改善冠-根比,不仅降低了正畸的难度并改善了牙周病的预后,也不会对患者的美观形成太大的影响,对于牙槽骨吸收且前牙深覆合的患者不失为一种有利的选择[4]。在拆除矫正器后,使用纤维带+流动树脂制作牙周夹板实施永久性的松牙固定,有利于进一步稳定下颌前牙的咬合关系,并减少咬合创伤在牙周骨吸收中的影响。远期的牙周随访及维护也是保障其疗效持久的关键因素。除此之外,在建立双侧后牙稳定的咬合接触前以及内收上前牙时,容易出现颌位的不稳定[2],需要密切关注避免左右侧的偏移或进一步的强迫后退。
正畸治疗期间,临床医师根据治疗计划分步实施以下内容:早期先行远移并压低上尖牙以获得上前牙的排齐整平的间隙,同时进行适当的上前牙压低及唇倾。以往对于内倾型深覆合的治疗可以考虑在上前牙区实施微种植支抗矫治[5],但出于患者唇侧骨板的大面积骨开窗的情况,我们更倾向于使用传统的方式来轻力控制。拔除25牙且因合并24牙牙冠远中倾斜,无疑对于23牙的远中移动带来了困难,故我们使用了常在隐形矫治中运用的Power arm将力臂向根方延长,在种植支抗钉上双轨拉24牙向远中,所谓双轨是根方轨道的Power arm受力和冠方23牙向远中时带动24牙冠向远中,此双轨的方式达到了较为理想的效果。在双侧后牙协调咬合关系阶段,我们需要直立左下后牙并抬高右下后牙,这个阶段患者容易出现咬合避让使颌位出现左右偏移而增加不稳定因素,同时也容易影响矫治的效果,故在此过程中我们多次为患者进行了颌位关系的临床检查并对患者进行咬合指导,以确保患者尽可能少地出现左右侧偏移或进一步强迫后退,并多次拍摄颞下颌关节CT来确认髁突的位置关系。在拔除32牙后,临床医师没有选择马上安装下前牙的矫治器,一是希望在有适当间隙的情况下促其自然漂移,二是希望利用拔牙间隙先尽可能地调整下牙弓的宽度及尖牙的位置,同时结合尖牙近远中的邻面去釉以协调不对称拔牙带来的Bolton指数不协调的问题,并尽可能避免下前牙的往返移动。值得一提的是,原植入上后牙段的左右侧微种植支抗钉先后脱落,这可能与多种因素有关,其中最为可能的是患者较为薄弱的骨皮质板[6],解决这一问题的方法是后期安装口外弓管以方便在必要时提供所需的支抗。覆合相对较深的上前牙内收过程中容易出现下颌再次地强迫后退[2],故在此过程中我们也密切关注颌位的变化,并通过CT来观察上前牙牙槽骨的状况,适时控制前后牙的移动量,不强行内收前牙,仅以前牙牙根纳入牙槽窝中央并适度改善前牙倾斜度为目的。
从治疗的最终结果来看,患者的面部美观及咬合状态得到了明显的改善,同时下前牙松动度也得到了明显的好转——松动度的好转更多的是源于将牙根纳入牙槽骨中央后,牙根近远中的牙槽间隙骨板对牙根的再支撑;同时,咬合关系的改善和个别牙异常咬合力的解除和释放也使得远期的疗效得到持续。因此,对于牙周组织受损的患者,完善的牙周治疗是正畸治疗的基础,而合理的正畸治疗也同样有利于牙周组织的健康[7]。展望未来,随着正畸和牙周医师对复杂错牙合畸形患者病因及综合诊疗流程的进一步探索,越来越多类似伴有严重牙周骨缺损的病例将得到更优的解决方案。
林焱.致严重牙槽骨缺损的骨性Ⅱ类深覆合正畸掩饰治疗1例[DB/OL].中国临床案例成果数据库,2023(2023-07-11).http://journal.yiigle.com/LinkIn.do?linkin_type=cma&DOI=10.3760/cma.j.cmcr.2023.e01871.
所有作者均声明本研究不存在利益冲突





















