
患者,男性,23岁,主因"体检发现左肾肿瘤20余天"入院。
无腰痛、腹痛,无肉眼血尿等不适。无阳性体征。
超声、CT、MRI。
3D腹腔镜根治性左肾切除+左输尿管切除术。
随访6个月,未见复发。
泌尿外科
版权归中华医学会所有。本文为遵循CC-BY-NC-ND协议的开放获取文章。
侵袭性血管黏液瘤(aggressive angiomyxoma,AAM)是一种罕见的间质肿瘤,最常发生于女性的外阴阴道区、会阴和骨盆。侵袭性一词强调肿瘤的浸润性和其经常与局部复发有关[1]。患者通常表现出非特异性症状,这些症状经常被误诊为更常见的疾病,如巴氏囊肿、脂肪瘤或疝气。AAM患者发病年龄不一,根据文献报道,患病年龄11~77岁,其中以30~50岁为高发年龄[2]。
患者,男性,23岁,主因"体检发现左肾肿瘤20余天"入院。无腰痛、腹痛,无肉眼血尿等不适。为求诊治于当地医院行腹部超声检查提示左肾占位,期间未予特殊处理。为求进一步诊治就诊于我院。
实验室检查未见明显异常。
腹部超声:左肾实性占位;肝右叶实性结节,血管瘤可能。
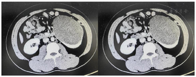
腹部增强CT(图1):左肾下极稍低密度肿物影大小约13.6 cm×8.5 cm×15.2 cm,边界清,内见多发片状低密度区,增强扫描强化不明显,内见条状明显强化血管影,病变将左肾实质撑开如杯口样改变、局部与左侧肾盂关系密切,向外突向肾周间隙生长,左肾见副肾动脉。CT诊断:左肾下极乏血供肿物,影像学表现不典型,定性困难;结合MRI图像,倾向良性或低度恶性间叶组织来源可能大。


肾脏增强MRI(图2):左肾下极见不规则肿物影,大小约13.8 cm×8.3 cm×15.4 cm,T2WI及T2WI/FS呈混杂高信号,内见多发点片低信号,T1WI/DUAL同相位等低信号,可见点状高信号,对应反相位呈低信号,DWI不均匀高信号,增强扫描皮髓质期肿物强化不明显,内见条状明显强化血管影,实质期及排泄期肿物内见少许散在斑片强化影,肿物边界尚清楚,将左肾实质撑开如杯口样改变,肿物突向肾周间隙生长。CT诊断:左肾下极乏血供肿物,影像学表现不典型,定性困难;结合MRI图像,倾向良性或低度恶性间叶组织来源可能大。


右肾肿物,肾血管平滑肌脂肪瘤?肾癌?
左肾下极乏血供肿物,影像学表现不典型,定性困难。需通过穿刺及术后病理诊断明确。
明确肿瘤性质,决定治疗方案。
影像科意见:肾脏增强MRI提示左肾下极见不规则肿物影,T2WI及T2WI/FS呈混杂高信号,内见多发点片低信号,T1WI/DUAL同相位等低信号,倾向良性或低度恶性间叶组织来源可能大。
病理科意见:可行穿刺活检、手术等方式明确诊断。
放疗科意见:依据病理结果制定下一步治疗方案。
泌尿外科意见:肾脏巨大肿瘤,倾向良性或低度恶性间叶组织来源可能大。由于肿瘤较大,应首选手术治疗。向患者及家属详细交代病情和围手术期风险,术后病理良性等可能,术后进一步放化疗可能,如接受手术风险,充分术前准备,择期手术治疗。
患者于2021年11月8日入院,积极术前准备,向患者交待病情及治疗方案后,于2021年11月11日行3D腹腔镜根治性左肾切除术。
术后病理:结合形态及免疫组化结果,符合肾深部侵袭性血管黏液瘤。肿瘤最大径15 cm,累及肾被膜,未累及肾周脂肪、肾盂及肾窦脂肪。输尿管切缘未见肿瘤。周围肾部分呈萎缩性改变。
免疫组化结果显示:SMA(3+),Desmin(3+),Calponin(3+),Vimentin(3+),AE1/AE3(个别+),CD34(血管+),EMA(灶+),S-100(1+),ER(1+),PR(1+),HMB-45(−),Melan-A(−),MDM2(3+),CD117(个别+),CD68(−),Ki-67(+1%)。
手术顺利,术后给予抗感染、保护肾功能、镇痛、补液等综合治疗,术后恢复可,随访6个月,患者无复发。
AAM是一种罕见的间质肿瘤,最常发生于女性的外阴阴道区、会阴和骨盆。侵袭性一词强调肿瘤的浸润性和其经常与局部复发有关[1]。患者通常表现出非特异性症状,这些症状经常被误诊为更常见的疾病,如巴氏囊肿、脂肪瘤或疝气。在大多数报道的病例中,AAM发生在骨盆或外阴区。根据MEDLINE查询,这是一种罕见的肿瘤,1983年—2022年报道了309例。由于AAM的罕见和AAM的非特异性症状,它经常被误诊为囊肿、脂肪瘤、疝气或肿瘤,只有在组织学评估后才能作出正确的诊断。AAM的复发率为30%,其中71%复发的AAM发生在切除后3年之内[3]。AAM的转移是极其罕见的,到目前为止只有3例报道[4,5,6]。
在影像学上面,AAM在CT上的表现是可变的,它可能是一个密度均匀的、相较于肌肉密度低的肿块,也可能囊性和固体成分混合的肿块。MR特征表现为T1低信号、T2高信号的"漩涡样"卷曲征象[7]。侵袭性血管黏液瘤在静脉造影剂后表现为强烈的不均质强化,并可表现为明显的低强度旋转模式。这些表现被认为是由于肿瘤中丰富的黏液样基质和高含水量。鉴于这些特征,磁共振成像可以帮助描述疾病的程度。AAM的确诊主要依赖于占位组织的活检或手术获得病理诊断。该肿瘤大体组织常常表现为无包膜或有部分包膜,多呈分叶状,因具有浸润性,常常与周围组织无明确的界限,其组织学重要特点为黏液间质中含有丰富的血管,毛细血管、薄壁血管及肌性动脉均可见,血管壁增厚,可伴透明变性。
1983年,Steeper和Rosai首次对AAM进行了描述。2013年世界卫生组织的最新分类将AAM列为"分化不确定的肿瘤"。它被定义为一种罕见的良性肿瘤,尽管肿瘤本质上是良性的,但"侵袭性"一词强调的是局部复发的频繁和侵袭性。2022年知网全网首发报道了肾侵袭性血管黏液瘤[8]。免疫组化提示ER(+),PR(+)。根据以往AAM病例报道,用促性腺激素释放激素激动剂治疗是一种新兴的治疗方法,肿瘤细胞的雌激素和孕激素受体呈典型阳性,这表明激素在肿瘤的发展中起着重要作用。据报道,AAM涉及HMGA2基因的12q13~15条带的染色体易位[9]。这提示我们可以基因检测以明确诊断。
根据以往治疗经验,手术切除仍是治疗的首选。该病转移极其罕见,总体预后良好。但该病仍应定期复查以监测肿瘤复发,防止治疗不及时错过最佳治疗时机。
张世豪,温力,宋刚,等.侵袭性血管黏液瘤1例[DB/OL].中国临床案例成果数据库,2023(2023-07-14).http://journal.yiigle.com/LinkIn.do?linkin_type=cma&DOI=10.3760/cma.j.cmcr.2023.e01891.
所有作者均声明本研究不存在利益冲突





















