
患者,男性,61岁,因"发现左侧颈部肿块1+个月"入院。既往史、个人史、婚育史、家族史无殊。
入院前1+个月,患者无意中发现左侧颈部一肿块,约核桃大小,患者自述无相关颈部及全身症状,后行颈部肿块针吸细胞学检查:考虑甲状腺恶性肿瘤。专科查体:气管居中,双侧甲状腺未触及明显肿大;左侧颈部锁骨上窝可触及大小约4 cm×6 cm肿块,边界欠清,活动度差,无压痛,未闻及血管杂音。
根据患者临床表现结合相关实验室及辅助检查,甲状腺及颈部淋巴结彩超检查:左侧颈部Ⅲ区淋巴结回声,结构异常;左侧Ⅳ颈部实性占位。颈部增强CT检查:左侧锁骨上窝占位,提示神经源性肿瘤?左侧颈部Ⅳ区肿块穿刺活检提示:甲状腺乳头状癌。
行左侧甲状腺癌根治术+左侧颈部Ⅳ区肿物切除术+左侧颈侧区淋巴结清扫术,术后予以TSH抑制治疗。
患者术后恢复良好,患者病情稳定,随访无复发或转移。
甲状腺外科;普通外科
版权归中华医学会所有。本文为遵循CC-BY-NC-ND协议的开放获取文章。
异位甲状腺是一种极为少见的发育异常的甲状腺组织,其可出现在正常位置以外的其他任何部位,90%的异位甲状腺位于舌部[1],偶可见异位于颈血管鞘的报道[2]。而异位甲状腺癌依其在正常位置有无正常甲状腺而分为迷走甲状腺癌和副甲状腺癌,本病例属于副甲状腺癌。而副甲状腺癌本属一种少见病,同时伴原位隐匿性甲状腺癌更是极为罕见。我院2022年收治一例左侧颈部异位甲状腺癌伴同侧隐匿性甲状腺原位癌患者,经手术治疗顺利出院,现将报道如下。
患者,男性,61岁,因"发现左侧颈部肿块1+个月"入院。入院前1+个月,患者无意中发现左侧颈部一肿块,约核桃大小,患者自述肿块局部皮肤无红肿、溃烂;无压痛、触痛;无呼吸困难、吞咽困难;无畏寒、高热等症状,为求治疗患者就诊于当地医院,行颈部肿块针吸细胞学检查:考虑甲状腺恶性肿瘤。患者为求进一步治疗就诊我院乳甲外科。
既往史、个人史、婚育史、家族史无殊。
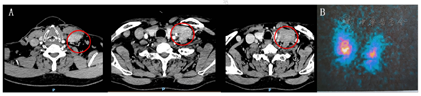
入院专科查体:体温36.6℃,心率75次/min,呼吸18次/min,血压125/56 mmHg(1 mmHg=0.133 kPa),气管居中,双侧甲状腺未触及明显肿大;左侧颈部锁骨上窝可触及大小约4 cm×6 cm肿块(图1),边界欠清,活动度差,无压痛,未闻及血管杂音。实验室检查:T3 2.16 nmol/L(0.92~3.7 nmol/L),T4 89.9 nmol/L(58.1~173 nmol/L),FT3:6.1 pmol/L(3.5~6.5 pmol/L),FT4:21.4 pmol/L(11.5~22.7 pmol/L),TSH:4.45 uIU/ml(0.55~4.78 uIU/ml),TGAb:18.9 U/ml(0~60.0 U/ml),TPOAb:50.0 U/ml(0~60.0 U/ml),血常规、凝血、肝肾功能、电解质及肿瘤标记物均正常。


影像学检查:我院甲状腺及颈部淋巴结彩超检查:左侧颈部Ⅲ区探及大小约7.8 mm×3.2 mm。淋巴结回声,左侧颈部可见大小约4.5 cm×5.0 cm稍高回声结节,内可见斑片样高回声。双侧甲状腺及右侧颈部淋巴结未见确切异常。颈部增强CT检查:左侧锁骨上窝可见软组织密度影,大小约4.1 cm×3.3 cm,提示神经源性肿瘤?双侧甲状腺未见异常(图2A)。131碘化钠核素扫描检查:双侧甲状腺腺体稍肿大,两叶腺体内放射性分布大致均匀,未见异常放射性浓度及稀疏缺损区,提示甲状腺轻度弥漫性肿大(图2B)。甲状腺摄131I率测定:2小时摄碘率4.6%(10%~30%),6小时摄碘率9.8%(20%~50%),24小时摄碘率19.6%(35%-60%)。左侧锁骨上窝肿块穿刺活检提示:甲状腺乳头状癌。


根据患者临床表现结合相关实验室及辅助检查,初步诊断为:左侧颈部Ⅳ区异位甲状腺乳头状癌。
根据患者资料并查阅相关文献,经科室讨论考虑左侧颈部Ⅳ区异位甲状腺乳头状癌不排除是左侧原发性甲状腺癌的转移灶,术中需探查左侧甲状腺。积极和家属及患者沟通后,签署手术同意书拟行左侧颈部Ⅳ区肿物切除术+左侧颈侧区淋巴结清扫术(备左侧甲状腺癌根治术),术中探查可见:左侧锁骨上窝肿物大小约5.0 cm×6.0 cm×6.0 cm,质韧,呈实性,活动性差,边界欠清楚,肿块包绕左侧迷走神经及颈内静脉。左侧颈侧区及左侧中央区部分淋巴结肿大,左侧甲状腺可触及多枚质硬结节,结合患者病史遂行左侧甲状腺癌根治术+左侧颈部Ⅳ区肿物切除术+左侧颈侧区淋巴结清扫术。
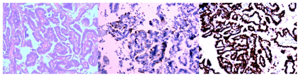
术后左侧甲状腺病理检查提示:左侧甲状腺乳头状癌,肿瘤直径4 mm,癌组织侵犯被膜脂肪组织;左侧颈部Ⅳ区肿块病理检示:左侧颈部异位甲状腺乳头状癌;癌组织侵犯被膜脂肪组织,并且癌组织侵犯颈内静脉及神经纤维。免疫组化肿瘤细胞呈:CK7(+),CK20(-),CEA(-)、TTF-1(+)、TG(+)、CK19(+)、HBME(+)、CycLinD(+)/CD5(-)/Ki-67(20%+)(图3)。左侧颈侧区及左侧中央区部分淋巴结未见癌转移。术后接受TSH抑制治疗,每日服用优甲乐50μg,目前电话随访(2次/月),患者病情稳定,无复发或转移。


异位甲状腺是由先天性胚胎发育异常所致,其胚胎甲状腺组织发育和下移过程中,因发育异常或移行过程受到影响而停止于异常部位形成。本例患者甲状腺组织不仅存在于异常位置,同时颈部正常解剖位置亦存在甲状腺组织,这种异位甲状腺称为副甲状腺,约占异位甲状腺的25%。异位甲状腺同正常甲状腺组织一样,可以发生各种病理改变,但极少发生恶变,据报道其恶变率小于1%[3]。此外,继发于原发甲状腺癌的颈外侧转移病灶很难与真正的异位甲状腺组织恶性肿瘤鉴别[4],因为目前大多数研究者认为甲状腺乳头状癌不论大小均有潜在转移性,若甲状腺癌的患者在颈动脉鞘以外出现甲状腺组织,可认为是原发甲状腺癌的转移灶而并非发育异常。因此,在异位甲状腺组织中发现乳头状癌,增加了隐匿性甲状腺原位性癌的可能性,提示需行甲状腺腺体探查,必要时切除同侧叶甲状腺组织[5,6].
隐匿性甲状腺癌以其原发病灶微小隐匿著称,占所有甲状腺癌的6%~35%[7]。常在患者出现颈部淋巴结或远处转移后被发现。本例患者被发现左侧颈部Ⅳ区肿物具有临床上明显的甲状腺癌转移灶,而原发癌灶根据术前影像学检查并未检出,但在术后病理组织学标本中发现,符合Boucek等[8]研究定义的第3类隐匿性甲状腺癌。本病例隐匿性甲状腺癌病灶隐匿的原因尚不明确,本病例结合文献复习探讨最可能的原因为:(1)术前影像学及术后病理学评估的局限性;(2)异位于颈侧区淋巴结内的甲状腺组织的恶变。
目前,侧方异位甲状腺的发病机制尚不确切,而侧方异位甲状腺原发恶性肿瘤的病例并没有基于循证医学证据的诊疗指南,因此临床工作中需要足够的病例资料指导临床。本例患者术前左侧颈部Ⅳ区肿块穿刺活检考虑异位甲状腺乳头状癌。根据以上论述异位甲状腺乳头状癌可增加隐匿性甲状腺原位性癌的可能性,因此我们认为行预防性左侧甲状腺癌根治术+左侧颈部Ⅳ区肿物切除术+左侧颈侧区淋巴结清扫术,能有效降低局部淋巴结复发及远处转移的风险和再次手术的并发症发生率。
郑冰峰,包强伟,李春山,等.左侧颈部异位甲状腺癌伴同侧隐匿性甲状腺原位癌1例[DB/OL].中国临床案例成果数据库,2023(2023-07-19).http://journal.yiigle.com/LinkIn.do?linkin_type=cma&DOI=10.3760/cma.j.cmcr.2023.e01934.
所有作者均声明本研究不存在利益冲突





















