
患者,男性,26岁,以"发现右大腿上端内侧无痛性肿物2年"为主诉就诊。
患者2年前无意中发现右大腿上端内侧肿块,肿块发现时体积较小,后逐渐增大,现大小约10 cm×10 cm,肿块表面无血管曲张,无红肿,无明显皮肤破溃,皮温正常,质软,边界不清楚,活动度好,无波动感,可扪及同侧腹股沟区淋巴结肿大。
超声检查、MR增强检查均提示右大腿上段内侧皮下脂肪层内占位,病灶边界不清晰,伴同侧腹股沟区多发异常肿大淋巴结,MR提示良性病变,考虑血管瘤可能大。实验室检查提示嗜酸性粒细胞百分比26.2%(0.4%~8.0%)、嗜酸性粒细胞绝对值2.32×109/L(0.02~0.52×109/L)均明显升高。患者完善术前检查后,于外科行大腿肿物切除及同侧腹股沟区淋巴结清扫,术后病理诊断为右大腿肿物及腹股沟区淋巴结木村病(嗜酸性粒细胞增生性淋巴肉芽肿)。
患者入院后完善各项相关检查后,于外科行大腿肿物切除及同侧腹股沟区淋巴结清扫。
患者术后好转,于血液内科治疗、随诊,泼尼松40 mg qd治疗,嗜酸性粒细胞计数及IgE逐渐减低,术区未见明显复发。
放射科;普外科;血液科;病理科
版权归中华医学会所有。本文为遵循CC-BY-NC-ND协议的开放获取文章。
木村病(Kimura’s Disease,KD)又称嗜酸性粒细胞增多性淋巴肉芽肿,是一种罕见的以淋巴结、软组织及唾液腺损害为主的慢性炎性肉芽肿疾病。病因不明。多见于亚洲人群,在各年龄段均可发病,以中青年男性多见,男女发病比例约(3.5-7):1。好发于头颈部(腮腺多见),亦可发生于其他少见部分,如腋窝、前臂、腹部、腹股沟等,多为单侧发病,双侧少见。该病发病缓慢,临床症状不明显,早期病灶质地较软,随病史延长逐渐变硬,局部皮肤可有瘙痒和色素沉着。多数患者外周血嗜酸性粒细胞计数明显高于正常值上限,可合并血清IgE升高,对诊断具有重要意义。我们报道一例少见发病部位(大腿)木村病的MRI表现,旨在提高对少见发病部位木村病影像学表现的认识。
患者,男,26岁,入院时间:2022年10月。
主诉:发现右大腿上端内侧无痛性肿物2年。
现病史:患者2年前无意中发现右大腿上端内侧肿块,肿块发现时体积较小,后逐渐增大,现约10 cm×10 cm,肿块表面无血管曲张,无红肿,无明显皮肤破溃,皮温正常,质软,边界不清楚,活动度好,无波动感,可扪及同侧腹股沟区淋巴结肿大。右下肢皮肤感觉正常,肌力正常、肌张力正常,右足背动脉搏动可扪及。神经系统检查未见明显异常。曾自行给予外用药膏(具体不详)进行涂抹,肿物未见消退。
既往史:平素身体健康状况良好,无高血压、糖尿病、心脏病疾病史,无传染病史,无重大外伤及手术史,无输血史,无食物及药物过敏史。出生于广东省湛江市,经常居留地广东省深圳市;无寄生虫疫水接触史;否认吸烟史;否认饮酒史;无其他不良嗜好,无工业毒物接触史,无粉尘接触史,无放射性物质接触史,否认性病及冶游史。父母健在,家族成员无类似疾病史,无家族遗传倾向疾病。
嗜酸性粒细胞百分比26.2%(0.4%~8.0%)升高,嗜酸性粒细胞绝对值2.32×109/L(0.02~0.52×109/L)升高。余生化检查、凝血功能、肿瘤标记物、肝肾功能检查未见明显异常。
超声表现:右侧大腿内侧皮下脂肪层内可见一异常等回声区,范围约95 mm×95 mm×28 mm,无包膜,边界欠清晰,形态欠规整,内部回声不均质,其内可见多个条状无回声暗区。CDFI:内部见较丰富血流信号,PW:可探及动脉及静脉血流频谱。右侧腹股沟区可探及多个低回声结节,较大者大小约30 mm×15 mm,边界清,形态较规则,皮质增厚,髓质消失。超声诊断:右侧大腿内侧皮下脂肪层内异常回声包块,病理性质待查,恶性待排。右侧腹股沟区多发淋巴结肿大,髓质消失。
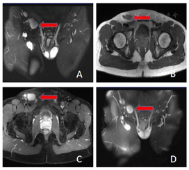
MRI影像表现:右大腿上段内侧皮下脂肪层内类椭圆形异常信号灶(图1),范围约74 mm×26 mm×87 mm,边界不清,呈浸润性生长,T1WI等稍高信号,T2WI稍高信号,T2WI/FS呈高亮信号,增强后明显强化,其内部可见夹杂脂肪信号灶。右侧腹股沟区见多发异常肿大淋巴结(图2),最大者大小约27 mm×19 mm,呈T1WI等稍高信号,T2WI/FS呈高亮信号,增强后均匀明显强化。MRI诊断:右大腿上段内侧皮下脂肪层内异常信号,良性病变多考虑,血管瘤?血管脂肪瘤?右侧腹股沟区多发肿大淋巴结,建议进一步穿刺活检。






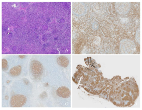
诊断:患者行超声检查及MRI增强检查明确右大腿内侧皮下脂肪层内占位及同侧腹股沟区肿大淋巴结,完善相关术前检查后,行大腿肿物切除及同侧腹股沟区淋巴结清扫,术后病理提示:右大腿肿物及腹股沟区淋巴结木村病(嗜酸性粒细胞增生性淋巴肉芽肿)(图4),免疫组化结果:CD68(散在+),CD1a(局灶+),S-100(局灶+),CD38(散在+),CD3(T细胞+),CD21(FDC+),CD20(B细胞+),ki67(生发中心高+)。


鉴别诊断:影像学鉴别诊断包括结核病、淋巴瘤、转移性淋巴结肿大、巨淋巴增生症、猫抓病、血管瘤、软组织的肉瘤等。
患者入院后完善各项相关检查后,于外科行大腿肿物切除及同侧腹股沟区淋巴结清扫。手术经过:顺皮纹于右侧大腿肿物表面作梭形切口,长约8 cm,依次切开皮肤、皮下组织及深筋膜,于深筋膜下见一脂肪样分叶状肿物,质软,表面可见纤维组织包裹,自肿物周围正常组织内钝性加锐性分离肿物,见肿物深面紧贴肌层,将其完整切除。右腹股沟肿大淋巴结表面做一直切口,找到肿大的淋巴结,予其切除。松解周围神经及粘连肌腱。
患者术后好转,于血液内科治疗、随诊,泼尼松40 mg qd治疗,嗜酸性粒细胞计数及IgE逐渐减低,术区未见明显复发。
木村病,又名"嗜酸性粒细胞增多性淋巴肉芽肿",是一种原发性慢性淋巴组织增生性疾病,国内外罕见,病因不明。多见于亚洲人,好发生于青年男性,高峰发病年龄为20~40岁,男女发病比例约为3.5~7.0:1[1]。木村病典型临床表现为位于头颈部的皮下软组织和大涎腺区的无痛性结节、肿块,常多发、边界清或不清、生长缓慢,周围脂肪层可见索条状或网格状浸润影,常伴有局部淋巴结肿大。早期发病缓慢,临床症状不明显,早期病灶质地较软,随病史时间延长而逐渐变硬,局部皮肤可伴瘙痒及色素沉着。通常不伴有诸如发热、咳嗽、体重减轻等全身症状。该病具有特征性的三联征:无痛性单侧的头颈部皮下肿块;外周血及组织中嗜酸性粒细胞增多;血清IgE水平显著增高。木村病常合并肾脏疾病,12%~16%为肾病综合征,可同时发生或先于木村病[2]。
头颈部木村病,影像学表现结合特征性的实验室检查,一般诊断不难,但当木村病发生在一些少见部分,例如四肢、腋窝、腹股沟区时,应该与相应部位的常见病变鉴别。本例报道中的发病部位比较罕见,发病形式比较有特点,表现为大腿上段内侧皮下病灶伴同侧腹股沟区多发淋巴结肿大,因两者信号特点基本一致,考虑一元论,大腿上段内侧皮下病灶表现为边界不清的肿块,T2压脂像信号高亮,无明显的囊变、坏死、出血成分,增强后明显强化,大腿病灶周围脂肪层内出现索条影或网格状浸润影,对应组织学上病灶内软组织水肿和炎症细胞的混合改变,既往几例上肢木村病的报道[3,4]也有类似影像学表现,病灶亦可包绕皮下走行的血管或神经,较大时可推压邻近肌肉,但是血管、神经及肌肉没有直接侵犯的征象,同侧腋窝也出现了淋巴结肿大,肿大淋巴结信号均匀,没有坏死。
影像学上该病例首先需要与边界不清、浸润性生长的恶性肿瘤伴同侧腹股沟区淋巴结转移鉴别,因患者病史较长,无恶性肿瘤临床表现,故可排除恶性肿瘤。本病例MRI误诊为血管瘤,虽然病灶信号特点与木村病非常相似,但是血管瘤一般不会出现同侧区域淋巴结的异常肿大及嗜酸性粒细胞的明显增高,故可鉴别。患者存在腹股沟区的异常肿大淋巴结,需要鉴别结核病、巨淋巴增生症、猫抓病、坏死性淋巴结炎。(1)结核病患者多有结核接触史和肺结核病史,局部淋巴结可融合,淋巴结内部可见钙化及坏死区,可见干酪样坏死T2WI低信号区,增强后淋巴结呈环形强化。(2)巨淋巴增生症,又称Castleman病,可发生于任何年龄,男女发病率均等,可发生于全身任何部位的淋巴组织,纵隔最多见,腹股沟区亦可发生,可表现为腹股沟区的淋巴结明显肿大,密度、信号均匀,增强后明显强化,强化程度较木村病明显。(3)猫抓病又称猫抓热,是由汉塞巴尔通体感染后引起的一种自限性感染性疾病。典型的猫抓病表现为在抓、咬处局部出现皮肤非化脓性炎症,引流区淋巴结肿大,受累淋巴结病理表现分为3个时期:早期组织坏死、中期微脓肿形成,晚期肉芽肿形成,MRI表现为T1WI等低、T2WI高信号,病灶周围见条索状水肿信号,增强扫描早期淋巴结呈中度均匀强化,中期呈环形不均匀强化,晚期可见星芒状低信号伴明显强化,虽然影像学表现与木村病部分重合,但是结合临床病史及表现,比较容易区别。(4)坏死性淋巴结炎又名组织细胞坏死性淋巴结炎、菊池病,是一种相对罕见的、自限性良性淋巴结疾病。临床表现为发热、浅表淋巴结肿大、皮疹等,肿大淋巴结一般呈串珠样排列,密度不均匀,可见坏死区,增强后呈环形强化。
木村病目前没有统一的治疗方案,针对局部巨大肿块的患者,手术治疗是有效的方法之一[5]。国内专家多认为局部肿块切除术或糖皮质激素治疗后辅以小剂量放疗,可以有效预防复发[6]。总的来说,不同情况应该选择不同的治疗方法。单发孤立性的肿块且周围无重要组织结构比较适合手术治疗,然而对于肿块多发、边界不清、无完整包膜且与周围结构分界不清的情况,大量文献表明手术无法完整且彻底的切除,因此术后具有较高的复发率,约25%[7]。因此患者术后可行局部小剂量辅助放射治疗或药物治疗[8]。既往研究表明[9]使用30~40 Gy的辐射剂量可以实现对木村病的良好局部控制,晚期毒性不明显。关于木村病复发的风险因素的研究表明吸烟习惯、全身性疾病、单纯手术和手术后口服激素与木村病预后不良有关[10],我们的报告患者手术后仅进行了口服激素的治疗,该患者可能预后不良,因此我们需要密切随访该患者是否有术后复发的征象。
值得注意的是,文献报道[11]中多数木村病最初被诊断为淋巴结炎、淋巴结结核、肿瘤伴淋巴结转移,从而给予抗炎、抗结核、抗肿瘤等治疗,最后才经病理证实为木村病,说明该病早期诊断很困难,很多医生对该病缺乏认识,从而导致误诊而延误诊治。对于典型三联征的患者:无痛性单侧的皮下肿块,外周血及组织中嗜酸性粒细胞增多,血清IgE水平显著增高,即使发病部位不典型,影像学上表现出皮下类似炎性改变的肿块伴局部淋巴结肿大时,要想到木村病的可能,同时也需要积极询问病史,以更好的鉴别诊断。
王帅,温馨如,程秀,等.发病部位在右大腿上端内侧的木村病1例[DB/OL].中国临床案例成果数据库,2023(2023-07-19).http://journal.yiigle.com/LinkIn.do?linkin_type=cma&DOI=10.3760/cma.j.cmcr.2023.e01936.
所有作者均声明本研究不存在利益冲突





















