
患儿,男性,10岁,体重27 kg,间断头痛14 h、左侧肢体活动障碍8 h。
患儿6 h前出现前额部持续性头痛伴呕吐,8 h前出现行走不稳,身体左侧歪斜,左上肢不能上抬,左下肢无力。
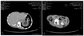
上腹部增强CT:1.右侧腹膜后胰头后方不均质肿块影,内合并出血,考虑嗜铬细胞瘤。头颅MRA:1.右侧额颞顶岛叶、右侧基底节区片状异常信号,考虑缺血梗死灶;2.右侧大脑中动脉纤细,分支减少,SWI右侧大脑中动脉M1段呈条状低信号,考虑右侧大脑中脉栓塞?
严密监护下对症支持治疗,介入栓塞瘤体,手术切除瘤体。
术后患儿恢复良好,血压稳定,右下肢肌力正常,左下肢肌力Ⅴ级,精神反应佳,原右侧额颞岛顶叶细胞毒性水肿较前明显减轻,转入康复科继续治疗。
肿瘤外科;麻醉与围术期医学科;重症医学科
版权归中华医学会所有。本文为遵循CC-BY-NC-ND协议的开放获取文章。
嗜铬细胞瘤和副神经节瘤是分别起源于肾上腺髓质或肾上腺外交感神经链的肿瘤,起源于肾上腺髓质能够产生儿茶酚胺的嗜铬细胞的肿瘤称嗜铬细胞瘤,起源于肾上腺外交感神经链的肿瘤称副神经节瘤[1]。嗜铬细胞瘤在儿童人群中很少见,副神经节细胞瘤更是罕见,且副神经节瘤儿童病情进展迅速[2]。因此对本病的及时诊断和治疗非常重要,否则会导致死亡。目前治疗嗜铬细胞瘤的首选方法是手术切除肿瘤,但围术期患者易出现血流动力学不稳定,甚至发生高血压危象、恶性心律失常、多器官功能衰竭等致死性并发症,故麻醉风险极高[3]。本例患儿已经出现脑部并发症需要及时完善相关检查及多学科会诊,详细的术前评估、科学合理的围术期治疗方案制定,最大限度地保证患儿围术期安全,提高后期生存质量。
患儿,男性,10岁,2021年3月18日以"间断头痛14 h、左侧肢体活动障碍8 h"为代主诉入院。6 h前,无诱因出现前额部持续性头痛伴呕吐,入院前8 h睡眠起夜中出现行走不稳,身体左侧歪斜,左上肢不能上抬,左下肢无力,至焦作市人民医院,完善头颅核磁检查示:右侧基底节区异常信号,为进一步治疗转至我院,急诊以"脑栓塞?"收入院。
患儿体温36.6℃,脉搏86次/min,呼吸18次/min,血压114/71 mmHg(1 mmHg=0.133 kPa),神志清,精神反应可,既往体健,无特殊病史,否认外伤史,双侧瞳孔等大等圆,对光反应灵敏,口角右偏,伸舌左偏,左眼挤眼无力。左上肢肌力0级,左下肢肌力3级,右侧正常,其他无特殊情况。
上腹部增强CT(本院):1.右侧腹膜后胰头后方不均质肿块影,内合并出血,考虑嗜铬细胞瘤?2.左侧肾上腺内支略粗;3.双肾盂略饱满,双肾均为双支肾动脉供血,见图1。


术前头颅MRA报告:1.右侧额颞顶岛叶、右侧基底节区片状异常信号,考虑缺血梗死灶;2.右侧大脑中动脉纤细,分支减少,SWI右侧大脑中动脉M1段呈条状低信号,考虑右侧大。脑中脉栓塞?见图2。


化验检查:24 h尿液游离甲氧基肾上腺素类物质及血浆中甲氧基肾上腺素类物质都明显升高,肿瘤标志物NSE(44.510 ng/ml↑)、LDH(252.0 U/L↑)也明显升高。
诊断:副神经节细胞瘤,血栓性偏瘫。
鉴别诊断:1.高血压;2.主动脉夹层。
本例患儿已出现合并症:缺血性脑梗死,需尽快治疗,但麻醉风险极高。围术期随时可能出现血流动力学不稳定,甚至发生高血压危象、恶性心律失常、多器官功能衰竭等致死性并发症,因此需要充分的围术期准备,才能最大限度地保证患儿安全。
患儿3月11日入院,入院后进行了由医务科、肿瘤科、麻醉科、影像科、超声科、介入科、心内科、SICU组成的全院多学科会诊,最终会诊意见是:(1)瘤体切除前进行瘤体动脉栓塞,以减少瘤体供血和瘤体分泌儿茶酚胺类物质活性,完善脑血管超声多普勒检查;(2)术前记录确认脑功能障碍症状和体征;(3)备相关血制品:悬浮红细胞、血浆、冷沉淀;(4)充分与家属沟通术中风险,大出血、循环波动所致脑功能进一步障碍;(5)口服降压药至术前。术前共准备4周,血压控制在130/85 mmHg左右,血容量恢复满意,血细胞比容降低,肢端温暖,无明显体位性低血压,高代谢症候群,糖代谢异常改善。计划气管插管复合骶管阻滞下行介入栓塞术+瘤体切除术。
穿刺部位提前敷利多卡因乳膏,减轻穿刺疼痛,为减少患儿分离焦虑,接待室内静脉给予依托咪酯0.2 mg·kg-1、咪达唑仑0.05 mg·kg-1入睡后进手术室,诱导前穿刺左侧桡动脉,在有创动脉监测下分次滴定式给药,舒芬太尼0.5~1.0 μg·kg-1,维库溴铵0.1 mg·kg-1·h-1,丙泊酚1~2 mg·kg-1,瑞芬太尼1~2 μg·kg-1,待BIS值降至50左右,可视喉镜下完成气管插管,连接麻醉机选择定压式通气模式,及时调整呼吸参数,连续监测ETCO2,及时行血气分析,维持PaCO2在37~40 mmHg。彩超引导下行右侧颈内静脉穿刺并置入5.5 F三腔管,监测中心静脉压,彩超引导下行骶管阻滞。
麻醉维持:采用静吸复合麻醉维持,丙泊酚8~13 mg·kg-1·h-1,瑞芬太尼15~25 μg·kg-1·h-1,维库溴铵0.1 mg·kg-1·h-1,右美托咪定0.5 μg·kg-1·h-1,1%~2%七氟烷吸入,维持BIS值在40~60,脑氧监测88~92,肾氧监测85~89。
术中管理的最终目标是:维持氧供需平衡,循环平稳,预防高血压危象、心律失常,降低脑部并发症。
本例患儿平稳诱导后手术开始前,患儿血压135/73 mmHg左右,心率82次·min-1,给予持续泵注酚妥拉明1.5 μg·kg-1min-1,硝普纳0.5 μg·kg-1min-1。手术顺利开始但是在分离血管时血压骤升至190/125 mmHg左右,HR 120次·min-1,立即给予艾司洛尔0.2 mg、静脉注射,并加大酚妥拉明及硝普钠的泵注速度。在食道超声的指导下加快补液。期间手术短暂中断2次,血压满意后继续手术,钳夹大血管前停用酚妥拉明,加快补液,并以0.5 μg·kg-1·min-1为起始剂量持续泵注去甲肾上腺素。肿瘤切除后血压快速降至85/50 mmHg,心率130次·min-1,加快补液,逐渐增大去甲肾上腺素至1 μg·kg-1·min-1,血压上升不满意,加用垂体后叶素0.012 U·kg-1·min-1,血压逐渐上升至110/63 mmHg平稳,心率80次·min-1左右,手术共进行5 h左右,术毕BP 120/60 mmHg,HR 83次·min-1,CVP 12 mmHg,带管送入SICU,继续给予呼吸机辅助呼吸,密切关注血压,防止低血压导致脑部供血供氧不足,足量补液防止血容量不足加重脑梗,继续口服维生素B,奥拉西坦及银杏叶片等营养神经的药物,择期复查脑部MRA。
术后第2天顺利脱离呼吸机,术后9 d 3.0T头颅MRI平扫:右侧颞岛叶、右侧基底节、右侧脑室体部旁、右侧大脑脚片状异常信号,原右侧额颞岛顶叶细胞毒性水肿较术前明显减轻,血压稳定,右下肢肌力正常,左下肢肌力Ⅴ级,精神反应佳,转入康复科继续治疗。
合理的术前评估,严格的血压和心率控制,持续的血容量状态优化,麻醉药物甄别、选用及麻醉术式的选取是降低嗜铬细胞瘤/副神经节细胞瘤切除术围术期并发症的关键。基于此,针对本例行嗜铬细胞瘤/副神经节细胞瘤切除术患儿,我们采取了一系列的优化措施,实施了气管插管全麻复合骶管阻滞的麻醉方法,以期最大限度地降低并发症的发生,从而提高患儿存活率及后期生活质量。
术前准备:避免围术期高血压危象,在多学科专家会诊下,针对此例患儿联合应用α及β肾上腺素能受体阻滞剂治疗。值得注意的是,α及β肾上腺素能受体阻滞剂不能同时使用,必须是在给予α肾上腺素能受体阻滞剂治疗一段时间后再给予β肾上腺素能受体阻滞剂治疗,最好是在术前的2~3 d,否则可导致血压进一步升高。为尽量减少术后严重/或长期低血压的发展,术前扩容是必要的,在术前禁食后,我们参考Lenders等[4]发表的文献结合我们科麻醉常规,针对此例患儿进行了持续性输注4 ml·kg-1生理盐水静脉扩容。
术中管理:(1)麻醉诱导。麻醉诱导是行嗜铬细胞瘤/副神经节细胞瘤切除术围术期麻醉管理的关键一环,要避免患儿情绪紧张、哭闹出现过度换气诱发血压升高、脑缺血的现象发生[5]。首先,完善术前准备及心理干预非常重要,针对此例患儿,我们注重人文关怀,术前通过游戏的方式积极安抚患儿并与之充分沟通,在患儿桡动脉处提前1 h敷利多卡因乳膏,在家属陪伴入睡后,接入手术室,整个过程患儿情绪和循环都平稳。其次,诱导前行桡动脉穿刺,以方便监测诱导过程,诱导采用滴定式诱导避免呛咳[6]。诱导时选用依托咪酯、丙泊酚、维库溴铵等具有使心血管稳定的药物。依托咪酯具有使心血管稳定的优点,特别是在容量耗尽的患者中。维库溴铵由于其血流动力学稳定,不释放组胺,对自主神经系统无影响,被首选作为嗜铬细胞瘤/副神经节细胞瘤切除术肌松药[7]。(2)呼吸管理:气道管理优选气管插管,术中机械通气采用压力控制通气,维持PaCO2在37~40 mmHg,防止PaCO2过低导致脑血管收缩脑部供血减少。瘤体切除后,要预防大量输液引起的急性复张性肺水肿的发生,避免液体过多,维持合适的胶体渗透压必要时及时补充白蛋白,低吸入氧浓度,FiO2<40%,低潮气量(6~8 ml·kg-1),吸呼比1∶2,中低值PEEP(3~5 cmH2O,1 cmH2O=0.098 kPa)防止肺水肿的发生,间断性肺复张性通气(35~40 cmH2O)防止肺泡萎陷,一般每30分钟实施1次,膨肺时要密切关注血压,维持循环稳定[8]。(3)循环管理。术中,维持正常体温,在食道超声[9],中心静脉压的监测下进行目标导向的液体治疗,及时查化验、血常规、血栓弹力图、凝血四项等,注意观察尿量。在气管插管、摆放体位、手术切皮、瘤体探查、分离血管、瘤体切除等特殊时间段要保证足够的麻醉深度,尽量减少应激反应,避免患儿出现血流动力学剧烈波动。术中要密切关注手术进展,随时和手术医生沟通,及时处理可能出现的高血压危象,必要时暂停手术。术中高血压危象可用强效血管扩张剂控制[10,11],在本例中,我们根据硝普钠和艾司洛尔的起效快、持续时间短的特点,及时输注上述药物控制术中高血压。手术要求尽量完整的切除瘤体,避免肿瘤破裂,溢出,残留,操作要轻柔,注意静脉引流和动脉血供的控制,彻底止血。
瘤体切除后,由于儿茶酚胺含量骤减和残余降压药物的作用,血管扩张可致低血容量性休克,要提前扩容,及时停用扩血管药物,加用缩血管药物,该患儿虽在钳夹大血管前就停用酚妥拉明,加快补液,并以0.5 μg·kg-1·min-1为起始剂量持续泵注去甲肾上腺素,还是发生了明显的血压下降,通过我们及时有效的处理,循环恢复平稳。术后转运途中使用专用转运呼吸机和监护仪,可以全程监护患儿的各项生命体征,密切关注呼吸、循环状态,出现突发情况以便及时处理。
术后管理:(1)严密交接。麻醉医师、手术医师、巡回护士及SICU医护人员共同负责患者过床,患儿生命体征稳定后,做好详细交班,重点关注低血压及低血糖,并及时复查脑功能。(2)术后镇痛。本例患儿术后镇痛,我们采用的是多模式镇痛即骶管阻滞+局部切口浸润+PCIA,PCIA配置方法是:舒芬太尼3 μg·kg-1+纳布绯2 mg·kg-1+右美托咪定2 μg·kg-1总量100 ml,首次量2 ml,背景剂量1 ml·h-1,自控剂量2 ml锁定时间30 min,补救镇痛为舒芬太尼0.1~0.2 μg·kg-1。通过上述不同作用机制药物或镇痛方法的相加或协同,减少个体药物剂量[12]。本例患儿术后镇痛效果满意,情绪稳定,不良反应轻。
总之,对于儿童的副神经节细胞瘤,围术期每一个环节都要做好充分的准备,最大限度地预防高血压危象、心律失常、肿瘤切除后低血压、降低脑部并发症从而保证患儿安全,提高生存质量。
齐金莲,贾英萍,崔文静,等.小儿副神经节细胞瘤合并脑栓塞的麻醉管理1例[DB/OL].中国临床案例成果数据库,2023(2023-07-20).http://journal.yiigle.com/LinkIn.do?linkin_type=cma&DOI=10.3760/cma.j.cmcr.2023.e01952.
所有作者均声明本研究不存在利益冲突





















