
患者,女性,72岁,因全口多颗牙缺失十余年,且余留牙松动就诊,要求种植修复。拔牙史,否认吸烟史、系统性疾病及药物过敏史。
14、15、24-26、34-37、44-47缺失,缺牙区牙槽嵴丰满度一般;13残根,11近中颈部、23远中龋坏;31、41松动Ⅲ度,11、12、32、42松动Ⅱ度,16、21-23、33、43松动Ⅰ度,全口散在间隙。
全景片及CBCT显示余留牙牙周膜间隙增宽,周围牙槽骨水平性吸收至根尖水平。临床诊断:上下颌牙列缺损;慢性牙周炎。
余留牙拔除,采用数字化手段辅助行全颌牙列重建。
种植修复后1年复查,种植体存留率100%,无修复及机械并发症,咬合关系稳定,获得患者满意的良好咀嚼功能及美学修复效果。
口腔种植科;修复科;口腔颌面外科;牙周病科;老年口腔科
版权归中华医学会所有。本文为遵循CC-BY-NC-ND协议的开放获取文章。
咬合重建是指用修复方法对患者所存在的不良的牙列咬合状态进行改造和重新建立的过程,包括全牙弓
面的再造,恢复合适的垂直距离及重建正常的
关系等,使口颌系统恢复正常的生理功能[1]。无牙颌患者行种植义齿修复也是全口咬合重建的过程。随着临床技术的不断发展,数字化技术被应用于全口种植修复咬合重建的临床实践中[2]。借助数字化手段,实现数字模拟向临床实践的精准转化,即刻恢复牙列缺失患者的美观与咬合功能,对于无牙颌患者有着重要意义。本文报道一例全口多颗牙松动的慢性牙周炎患者,采用数字化技术辅助行全颌牙列重建,术后18个月随访效果稳定。
患者,女性,72岁,因全口多颗牙缺失十余年,且余留牙松动,影响咀嚼功能,于2020年9月就诊于四川大学华西口腔医院种植科,要求种植修复。十余年前上下多颗牙齿松动拔除,曾行活动义齿修复。近年来余留牙逐渐松动移位,部分牙龋坏,甚至折断形成残根,义齿固位不佳影响咀嚼,弃用。拔牙史,否认吸烟史,否认系统性疾病及家族史,否认药物过敏史。
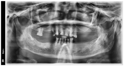
14、15、24-26、34-37、44-47缺失,缺牙区牙槽嵴丰满度一般;16牙探及并可穿通根分叉,但未见根分叉暴露,13残根,11近中颈部、23远中龋坏,33、43牙颈部缺损;31、41松动Ⅲ度,11、12、32、42松动Ⅱ度,16、21-23、33、43松动Ⅰ度,全口散在间隙。全口卫生状况一般,探诊深度5~8 mm,附着丧失6~9 mm,牙龈水肿,探针出血,可探及龈下结石。咬合关系欠佳,口角下垂,面下1/3高度降低,鼻唇角接近90°。上唇活动度较小,中位笑线(图1)。颞下颌关节检查无明显异常,开口型正常,开口度三横指。放射学检查:术前全景片显示13残根,16牙根尖牙槽骨吸收,11、23牙远中颈部见低密度影,余留牙牙周膜间隙增宽,周围牙槽骨水平吸收至根尖1/3-1/2(图2)。术前CBCT截图显示13牙残根,12、21、22、31、32、33、43牙颈部见不同程度楔状缺损。31、41、42牙周围牙槽骨水平吸收至根尖1/3,16、12、11、21-23、32、33、43牙牙周膜增宽,周围牙槽骨水平吸收至根尖1/2不等(图3)。

面;E:正面咬合像;F:下颌
面
面;E:正面咬合像;F:下颌
面



1.上下颌牙列缺损;2.13牙残根;3.31、41 Ⅲ度松动牙;3.11、23牙深龋;4.12、21、22、31、32、33、43牙楔状缺损;5.16牙根分叉病变Ⅲ度;6.慢性牙周炎。
方案一:①口腔卫生宣教;②拔除13牙残根,31、41 Ⅲ度松动牙;③保留充填16、12、11、21-23、32、33、42、43牙,行牙周序列治疗。④充填11、23牙深龋,充填12、21、22、32、33、43牙楔状缺损;⑤缺失牙位行可摘局部义齿修复。
方案二:①口腔卫生宣教;②拔除上下颌余留牙;③拔牙3个月后行上下颌全口活动义齿修复。
方案三:①口腔卫生宣教;②拔除上下颌余留牙;③拔牙3~6个月后行上下颌全口种植覆盖义齿修复。
方案四:①口腔卫生宣教;②术前牙周洁治;③术中拔牙,数字化手段辅助行上下颌全口种植固定义齿即刻种植即刻修复。
治疗方案分析:方案一尽量保留患者余留牙,缺损区行可摘义齿修复,但治疗程序繁琐,余留牙牙周治疗远期效果不佳,且可摘义齿咀嚼效率低,其固位受基牙条件影响可能不佳。方案二与方案三均拔除所有余留牙,相比种植体支持的覆盖义齿,活动义齿异物感强,咀嚼效率低,且患者下颌后牙区牙槽嵴低平,前庭沟浅,义齿固位力不佳。与传统的全口义齿相比,种植覆盖义齿修复法在稳定性及固位性能方面均有所改善,但仍然存在一定的活动度,可能会造成种植体的异常负载[3,4]。周子谦等[5]比较了中老年患者在分别完成无牙颌种植固定义齿或种植覆盖义齿1~3年后种植体周围软硬组织、患者满意度和义齿并发症情况,发现种植覆盖义齿组配件脱落或磨损发生率高于种植固定义齿组。且文献报道种植覆盖义齿修复上颌的成功率明显低于下颌,种植固定义齿修复的远期存活率明显高于种植覆盖义齿修复[6]。此外,患者上颌前牙区牙槽骨丰满度良好,鼻唇角接近90°,覆盖义齿唇侧基托可能导致患者上唇闭合不适。且患者拒绝接受摘戴式义齿带来的不便利性。根据方案四,在数字化手段辅助下行上下颌全口种植固定义齿即刻种植即刻修复,治疗周期短,手术精确度高、患者感受更佳。即刻修复为患者提供无缺牙期的美观与功能,患者满意度更高。
治疗过程:(1)术前准备:①藻酸盐取初印模,制作个性化托盘(图4);②用个性化托盘取硅橡胶终印模,灌制终模型;③制作光固化树脂
托及蜡堤(图5),面部比例二等分法确定垂直距离,肌肉疲劳法及吞咽咬合法确定水平关系,面弓转移患者颌位关系,上
架;④排牙,制作放射导板(图6A);⑤试戴放射导板(图6B~D),拍摄两次CBCT(患者佩戴放射导板拍摄CBCT以及放射导板单独拍摄CBCT)。(2)方案设计:①将两次CBCT获取的DICOM数据导入种植设计软件重叠(图7),以修复为导向指导上下颌种植体位置摆放(图8、图9);②生成并打印手术导板(图10)。(3)利用手术导板和导板锁,翻制模型,制作临时修复体(图11)。(4)一期手术过程:铺巾消毒,局麻后拔除上下颌余留牙,搔刮拔牙窝内炎性肉芽组织,于34-36、44-46区牙槽嵴顶近远中向切开牙龈,翻瓣。就位并固定手术导板,于11、13、16、22、25、26、32、34、36、42、44、46定点,按术前设计方案植入NobelParallelTM ConicalConnection种植体。除26区种植体外,其余种植体初期稳定性均达到35N.cm以上,就位复合基台,戴入保护帽,修整牙龈黏膜,缝合牙龈(图12A~F)。术后拍摄全景片(图13)。次日复诊,取下保护帽,戴入预制的临时修复体,调合(图12G)。



托及蜡堤
托及蜡堤















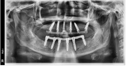
治疗结果:术后3个月全景片显示种植体骨结合良好(图14)。26牙行二期手术,就位复合基台,戴入保护帽。两周后,取下临时修复体,制取上下颌硅橡胶印模,利用临时修复体交叉上
架转移患者颌位关系。设计数字化桥架(图15),切削铝制支架。试戴铝制支架,拍摄全景片显示支架被动就位良好(图16)。按照铝制支架切削纯钛支架,上聚合瓷,患者右侧咬合空间不足,设计金属
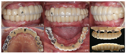
面。戴入最终修复体,调合(图17)。种植修复前后面像对比,患者面下1/3高度恢复良好(图18)。







面照;E:下颌
面照;F:最终修复体
面照;E:下颌
面照;F:最终修复体

术后一年随访:拍摄全景片显示种植体周围骨结合良好,边缘骨高度稳定(图19)。义齿外形无变化,下颌义齿前牙区舌侧面见牙结石。


治疗计划:(1)口腔卫生宣教,指导患者正确刷牙以及使用冲牙器进行日常维护与清洁;嘱患者定期洁牙(6个月)及定期复查(12个月)。(2)取下上下颌义齿,清洁复合基台及义齿组织面,抛光义齿组织面,重新戴入上下颌义齿。(3)电子面弓检查患者咬合状况:结果显示患者双侧咬合平衡,咬合功能正常(图20)。(4)双色法检查患者口内咬合情况:双侧咬合接触均匀,前牙有引导。




无牙颌修复是传统修复治疗的一大难题,其修复方式主要分为全口义齿修复和种植义齿修复。然而,可摘式全口义齿无论从功能恢复还是舒适度上都无法获得与天然牙类似的效果。种植义齿修复包括种植固定义齿和种植覆盖义齿。有文献报道无牙颌种植固定义齿修复5年后种植体的存留率达到87%~100%,失败的种植体多发生在上颌骨;种植后修复体成功率达93%~100%。种植覆盖义齿5~7年的临床报道,种植体存留率为72%~97%;修复体的成功率为78%~100% [6]。且有研究证实,种植体支持的固定义齿相比于种植体支持的覆盖义齿更有助于保存剩余牙槽骨,后者种植体周围的牙槽骨吸收速率较低,然而修复体远中基托部位仍存在较明显的骨吸收[7]。无牙颌患者尽可能选择种植固定义齿修复可能是未来努力的方向。本病例中,患者种植位点牙槽骨骨量充足,且患者不愿意接受摘戴式义齿,因此选择种植固定义齿修复的方案。
对无牙颌患者,种植修复不仅需要在有限的骨量中精准植入种植体[8],同时需要术前评估咬合重建的最终修复体状况。由于全口牙列缺失导致的颌位关系、颞颌关系、唇颊颌面部软组织形态的改变,理想的最终修复体需要在设计时与种植体建立协调的关系。随着口腔数字化技术的发展,通过数字化手段对无牙颌进行"以修复为导向"的种植功能重建,可以合理精准建立种植体与最终修复体之间的关系,减少大范围的植骨需求,提高手术精度,缩短手术时间,为无牙颌患者种植即刻功能重建提供新的手段[9]。本病例利用数字化手段辅助无牙颌病例术前设计,设计软件通过三维重建可视化牙槽骨与种植体以及最终修复体之间的关系,通过倾斜植入充分利用剩余牙槽骨,避免植骨;手术导板帮助医生精准植入种植体,将术前设计方案精确复刻至患者口内,使得预制临时修复体顺利就位,获得预期的良好治疗效果。
全口无牙颌患者,种植体植入后在无压力下完成骨结合后再进行修复治疗是可靠和安全的[10],但患者缺牙时间过长,无法进食,严重影响患者的生活质量。许多学者提出种植体植入后即刻负重的理念,临床上已有很多成功案例的报道[11]。即刻负重的方案使得患者可以在种植体植入后短时间内完成临时修复体,恢复了患者的牙列,在种植体愈合期即满足了患者的修复需求,缩短了患者的缺牙时间,可以进一步提高患者的满意度和就诊体验。即刻修复中,种植体植入后获得良好的初期稳定性是关键,临床要求术者拥有良好的医疗技术并严格选择适应证[12]。本病例中,除26区种植体外,其余位点种植体初期稳定性均达到35N.cm以上,因此将26区种植体埋置,其余位点按计划实行即刻负重,患者在术后即刻即获得了满意的美观与部分功能恢复。
由于牙列缺失患者常有颌骨吸收、骨量不足的问题,种植义齿修复经常会有悬臂设计的存在,而悬臂的位置影响种植体的应力集中。研究发现,存在悬臂时,应力分析显示在种植体、固定义齿和上颌骨中固定义齿承受最大应力,这些承载压力更大的位置是固定义齿最容易发生折断的部位。临床上设计全口种植固定义齿时,建议在有条件的情况下,尽量采用无悬臂的简支梁结构,若无法消除悬臂,尽量缩短悬臂长度,将最远中种植体向后方使用近中悬臂,避免应力集中[13]。本病例中,受右侧上颌骨量限制,右侧上颌修复体末端存在较短的悬臂,我们将该处调磨为轻咬合,以减小悬臂端应力集中。
在全口种植固定义齿的咬合设计中,种植固定义齿由于将义齿与种植体固定成一个整体,使得
力不易缓冲,易造成载荷过大。因此,采用这种修复方式应避免出现诸如种植体松动等并发症。有学者认为尖牙保护
因尖牙位置处容易产生应力集中而失败率高,一般采用组牙功能
或者平衡
较好[14]。另外一些学者认为带有前导的舌侧集中
是理想的咬合设计,其不仅具有解剖
型的美观,又能减少侧向力,增加义齿的稳定性[15]。本病例最终修复时采用组牙功能
,患者咬合关系稳定,行使功能良好。此外,Orthlieb等[16]通过对505名正常成年人进行X线头影测量分析后发现,ANS-Go-Me角可以用来衡量咬合垂直距离。研究发现,垂直距离的上角(VDO sup,从髁点到ANS和颏点连线的交角)的均值为40±3.88°,垂直距离的下角(VDO inf,从下颌角点到ANS和颏下点连线的交角)的均值为48.5±5.21°。拍摄侧位片(图22),头影测量得出患者VDO sup为37.31°,VDO inf为47.02°,均在上述均值范围内,可认为患者垂直距离恢复良好。此外,
平面斜度过大易导致下颌后旋、后牙段磨损,理想的FH-OP角度为10°左右[17],本病例FH-OP角度为9.26°,可认为患者
平面角度正常。


上颌种植全口义齿的修复方式主要分为三类,即固定-固定、混合式固定全口义齿及覆盖义齿。其中,以固定-固定、混合式固定全口义齿发生转换区暴露所带来的美学风险最大。在本病例中,上下颌均采用了固定-固定式全口义齿,选择此种修复方式的患者,一般都有较好的牙槽骨与软组织轮廓,往往不需要使用义龈材料去掩盖软组织的缺损,因此最终修复义齿的效果更贴近天然牙列。然而,要达到良好的红白美学效果,还需要精细把控种植体的植入位点和轴向,并小心设计修复义齿的颈缘形态。如果种植体植入精准(即与牙冠长轴相对应),且修复体龈缘成型自然和谐,则转换区即使暴露在笑线下方也不会有美学上的问题;但如果修复体存在义龈或根面瓷形态,则转换区暴露必将影响患者在微笑时的美学效果[18]。
全口种植固定上部修复体按照修复体的跨度可分为一段式跨弓全口种植固定修复体和分段固定桥。分段固定桥对种植体的数目、位点、角度等具有特定的临床要求,临床上大多无法满足,因此,目前临床上全口种植固定上部修复体主要为一段式跨弓方式[19]。本病例中采用了纯钛支架-烤瓷一段式跨弓全口种植固定修复方式。相较于氧化锆支架,纯钛具有良好的延展性,可实现基台与植体肩台的良好被动就位。钛支架-单冠适用于美观要求较高的患者,但修复空间不足时慎用,且该方法增加了技工制作难度,提高了制作成本。烤瓷饰面材料与树脂饰面材料相比,强度更高,美学性能更好,生物相容性也优于树脂类材料。饰面瓷耐磨性好,每年磨耗发生率为7.3%,而树脂每年磨耗发生率为19.4%,两者存在显著差异[20]。但烤瓷饰面也存在出现崩瓷等并发症时无法在口内直接修理的缺点,因此形成良好的咬合关系以降低崩瓷风险至关重要。此外,本病例中右侧后牙采用了金属
面设计,有效解决了修复空间不足的问题,但不同材料的磨耗及磨损速率不同,其远期效果需要长时间的临床观察进行评估。
综上所述,本病例表明,数字化技术辅助老年无牙颌患者进行种植固定修复重建牙列及咬合是一种可靠的临床治疗程序。通过数字化信息获取与融合、可视化数字修复体设计、以修复为导向的种植方案设计、3D打印种植手术导板、预制临时修复体、微创精准植入种植体、术后即刻固定修复和数字化制作最终修复体,优化了种植手术和即刻修复工作流程,能精准、微创、高效地恢复患者的美观与咬合功能。
黄李蓉,罗纯锐,郑小菲,等.数字化引导全口种植固定修复1例[DB/OL].中国临床案例成果数据库,2023(2023-07-25).http://journal.yiigle.com/LinkIn.do?linkin_type=cma&DOI=10.3760/cma.j.cmcr.2023.e01981.
所有作者均声明本研究不存在利益冲突





















