
患者,女,36岁,务农,胸闷2 d,发热伴胸痛1 d。
患者有胸闷、气短、胸痛,发热、寒战、咳嗽、咳痰等症状,体格检查示T 38.4℃,P 140次/min,P 30次/min,指脉86%(吸入空气状下),口唇发绀。余体格检查阴性。
基层全科医生利用现有资源,结合指南给予患者初步诊断。病程中因基层卫生条件限制,患者多次转入上级医院行痰培养、肺泡灌洗液、血培养均提示铜绿假单胞菌,胸部CT提示双肺炎症,以右肺上叶为主。患者既往明确诊断先天性心脏病,行心脏彩超提示室间隔修补术后、肺动脉高压。
上级医院根据患者的病情变化给予抗生素抗感染治疗的同时辅以雾化、祛痰、吸氧等支持治疗。哌拉西林联合莫西沙星治疗4 d、亚胺培南联合左氧氟沙星治疗3 d、亚胺培南联合莫西沙星治疗7 d、头孢哌酮舒巴坦联合左氧氟沙星治疗10 d。基层全科医生采用RAPRIOP技能对患者进行治疗与管理。
通过RICE问诊、莫塔安全诊断策略、RAPRIOP技能、全专合作,上下联动的全科诊治与管理,患者临床症状明显改善,感染指标恢复正常,痰培养、血培养均阴性,肺内病变吸收良好。
基层全科医师;呼吸内科;影像学科
版权归中华医学会所有。本文为遵循CC-BY-NC-ND协议的开放获取文章。
成人社区获得性肺炎(community acquired pneumonia,CAP)是基层全科门诊的常见病之一,病原菌以肺炎链球菌、流感嗜血杆菌等多见。铜绿假单胞菌(pseudomonas aeruginosa,PA)是一种革兰阴性杆菌,在自然环境中分布广泛,为条件致病菌,其导致的铜绿假单胞菌社区获得性肺炎(pseudomonas aeruginosa community-acquired pneumonia,PCAP)相对少见,健康人PCAP更是罕见,病死率极高[1,2,3,4,5]。本文报道1例PCAP患者,总结CAP患者的基层诊治管理过程,为提高基层全科医师对PCAP的认识,使得这类患者在基层能够早诊断、早转诊、早康复。
患者,女,36岁,因"胸闷2 d,发热伴胸痛1 d"于2020年9月21日就诊于基层全科门诊。患者受凉后出现胸闷2 d,感气短,伴咳嗽、咳痰,咳白色泡沫样痰,胸闷、气短症状尤其咳嗽时明显。后患者感上述症状加重,痰中含血丝,平卧时即出现胸闷、气短明显,伴畏寒、发热1 d,自测体温最高达38.5℃。且咳嗽时感右侧后背部疼痛,感乏力、全身酸痛,感心悸,伴恶心、呕吐,呕吐物为胃内容物,呕吐1次,无其他特殊不适。病程中患者神清、精神可,饮食欠佳,二便正常,体重无变化。既往健康状况一般,因"室间隔缺损"行修补术后10年。患者属核心家庭,家庭关系和睦,经济状况一般,平素饮食偏咸,活动少。月经史、婚育史及家族史无特殊。
全科门诊体格检查:T 38.4℃,P 140次/min,R 30次/min,指脉氧86%(吸入空气状态下),口唇发绀。右肺呼吸音低。心率140次/min。腹软,无压痛,双下肢无水肿。实验室检查血常规白细胞26.76×109/L,中性粒细胞计数23.09×109/L,超敏C反应蛋白119.70 mg/L。影像学检查胸片为双肺片状高密度影,右肺上叶为主,考虑双肺炎症。右肺上叶为主的病变需要进一步排除特殊菌群感染,如结核杆菌、铜绿假单胞菌。心脏彩超:室间隔缺损修补术后,中度肺动脉高压。心理测评:GAD-7 7分,PHQ-9 8分。根据胸闷莫塔安全临床安全诊断策略(图1),结合病史及指南该患者初步诊断为CAP,治疗上以抗感染为主,辅以化痰、止咳等支持治疗[6,7]。


此次生病患者自认为原有心脏病加重,担心如果住院不但自己无人陪护,家中小孩更是无人照看,希望能尽快得到治疗,尽快好转。作为基层医生,CAP患者急诊转诊的识别尤其重要,急诊转诊需从患者病情(包括生命体征、意识、呼吸支持、循环支持、主要临床问题5个方面)和预计转运时间、转运条件进行风险评估[6]。本例患者就诊时血压平稳,体温较高,呼吸较快,指脉氧测定为86%,神志清楚,无定向力障碍,结合现有的辅助检查,根据临床基层指南初步判断该患者疾病的严重程度,推测感染病原菌,本例患者为细菌感染,CURB-65评分或CRB-65评分均为1分。因基层条件限制,不能进一步完善肝功能、肾功能、细菌培养、胸部CT等检验、检查,病情超出了卫生院的诊疗能力,如若出现重症肺炎卫生院无法进一步行气管插管且可用药物较少,故联系了上级医院对患者进行了普通转诊以明确诊断。
血常规、血气分析、感染指标、生化、心肌酶和心肌两项以及其他检测结果见表1,表2,表3,表4,表5,表6。

患者血常规检测结果
患者血常规检测结果
| 时间 | 白细胞(×109/L) | 中性粒细胞(×109/L) | 中性粒细胞百分比(%) | 超敏C反应蛋白(mg/L) |
|---|---|---|---|---|
| 2020年9月21日 | 12.87 | 11.37 | 88.30 | 236.56 |
| 2020年9月23日 | ↑ | ↑ | ↑ | ↓ |
| 2020年9月25日 | - | - | - | - |
| 2020年9月28日 | ↓ | ↓ | ↓ | ↓ |
| 2020年10月5日 | ↓ | ↓ | ↓ | ↓ |
| 2020年10月10日 | ↓ | ↓ | ↓ | ↓ |
| 2020年10月14日 | 正常 | - | - | - |

患者血气分析检测结果
患者血气分析检测结果
| 时间 | 体温(℃) | pH | PaCO2(mmHg) (1 mmHg = 0.133 kPa ) | PaO2(mmHg) | 标准碳酸氢根(mmol/L) | 全血剩余碱(mmol/L) |
|---|---|---|---|---|---|---|
| 2020年9月21日 | 38.5 | 7.35 | 34 | 54 | 20 | − 6 |
| 2020年9月23日 | - | - | - | - | - | - |
| 2020年9月25日 | - | - | - | - | - | - |
| 2020年9月28日 | - | - | - | - | - | - |
| 2020年10月5日 | - | - | - | - | - | - |
| 2020年10月10日 | - | - | - | - | - | - |
| 2020年10月14日 | 正常 | - | - | - | - | - |

患者感染指标检测结果
患者感染指标检测结果
| 时间 | 降钙素原(ng/ml) | 血沉(mm/h) |
|---|---|---|
| 2020年9月21日 | >200 | - |
| 2020年9月23日 | ↓ | - |
| 2020年9月25日 | - | 97 |
| 2020年9月28日 | ↓ | ↓ |
| 2020年10月5日 | ↓ | ↓ |
| 2020年10月10日 | ↓ | ↓ |
| 2020年10月14日 | 正常 | ↓ |

患者生化检测结果
患者生化检测结果
| 时间 | 白蛋白(g/L) | 肌酐(mg/dl) | 尿素氮(mmol/L) | 电解质钾(mmol/L) |
|---|---|---|---|---|
| 2020年9月21日 | 30.8 | 136 | 9.57 | 3.3 |
| 2020年9月23日 | ||||
| 2020年9月25日 | 24.7 | ↓ | ↓ | ↑ |
| 2020年9月28日 | 正常 | ↓ | ↓ | ↑ |
| 2020年10月5日 | 正常 | 正常 | 4.4 | |
| 2020年10月10日 | - | - | - | - |
| 2020年10月14日 | - | - | - | - |

患者心肌酶和心肌两项检测结果
患者心肌酶和心肌两项检测结果
| 时间 | 心肌酶(U/L) | 心肌两项(ng/ml) | ||
|---|---|---|---|---|
| 乳酸脱氢酶 | 羟丁酸脱氢酶 | 超敏肌钙蛋白 | 肌红蛋白 | |
| 2020年9月21日 | 336 | 219 | - | - |
| 2020年9月23日 | - | - | 0.022 | 77.31 |
| 2020年9月25日 | ↑ | ↑ | - | - |
| 2020年9月28日 | ↑ | ↑ | - | - |
| 2020年10月5日 | - | - | - | - |
| 2020年10月10日 | - | - | - | - |
| 2020年10月14日 | - | - | 正常 | 正常 |

患者其他检测结果
患者其他检测结果
| 时间 | 心纳素(pg/ml) | D一二聚体(μg/ml) | 痰细菌培养 | 痰抗酸染色 | 痰真菌培养 | 血培养 |
|---|---|---|---|---|---|---|
| 2020年9月21日 | 16 690.0 | 0.837 | - | - | - | - |
| 2020年9月23日 | 8 270.0 | - | - | - | - | - |
| 2020年9月25日 | - | - | 铜绿假单胞菌 | - | - | 铜绿假单胞菌 |
| 2020年9月28日 | - | - | - | - | - | - |
| 2020年10月5日 | - | - | - | - | - | - |
| 2020年10月10日 | - | - | - | - | - | - |
| 2020年10月14日 | 148.9 | - | 铜绿假单胞菌 | - | - | 阴性 |
呼吸道九联(嗜肺军团菌病、肺炎支原体、Q热立克次体、肺炎衣原体、腺病毒、呼吸道合胞病毒、甲型流感病毒、乙型流感病毒、副流感病毒)、肿瘤标志物(癌胚抗原、糖类抗原125、神经元特异性烯醇化酶、鳞状细胞上皮细胞癌抗原、细胞角蛋白19片段)、病毒三项(巨细胞病毒IgM抗体、风疹病毒IgM抗体、弓形虫IgM抗体)未见异常。
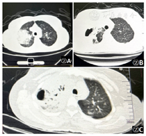
2020年9月21日肺CT(图2A):双肺炎症,右上叶为主。2020年9月28胸部CT(图2B):双肺炎症,右肺上叶为主(范围较前扩大),密度增高,右肺上叶病灶内多发空腔形成。2020年10月14胸部CT(图2C):双侧肺炎范围较前缩小,右肺上叶为主。


胸片(图3A):双肺多发斑片状阴影,右肺上叶可疑空洞形成。胸部CT检查(图3B):双肺多发片状及斑片状阴影伴空洞形成,病灶较前略吸收,炎性病变,结核不除外,左肺上叶陈旧性结核。2020年12月24复查胸部CT明显吸收(图3C)。


(1)社区获得性铜绿假单胞菌肺炎、非重症、Ⅰ型呼吸衰竭;(2)先天性心脏病、室间隔缺损修补术后;(3)低蛋白血症;(4)轻度焦虑、抑郁状态。
2020年9月21日肺CT(图2A):双肺炎症,右上叶为主,给予哌拉西林联合莫西沙星,辅以补液、降温治疗。初始治疗评估:2020年9月25体温从39.2℃~40.4℃之间降至38.0℃~38.9℃之间,SPO2 88%~92%(储氧面罩5 L/min),R 24~30次/min,BP正常,但患者咳嗽、咳痰加重,咳黄色黏痰,无力咳出。药敏结果:血培养示铜绿假单胞菌,对亚胺培南/哌拉西林/左氧氟沙星/庆大霉素敏感。痰培养:铜绿假单胞菌,对亚胺培南/头孢哌酮/左氧氟沙星/庆大霉素敏感,故依据药敏结果调整抗生素为亚胺培南联合左氧氟沙星[3]。2020年9月27患者咳嗽咳痰症状有好转,咳白色黏痰,不易咳,胸闷、气短症状稍有好转,调整抗生素为亚胺培南联合莫西沙星[3]。2020年9月28胸部CT(图2B):双肺炎症,右肺上叶为主(范围较前扩大),密度增高,右肺上叶病灶内多发空腔形成。患者情况:患者咳痰无力,进行床旁支气管镜检查。2020年10月5日患者T 36.8℃~37.4℃,SPO2 91%~95%(鼻导管吸氧2 L/min),患者咳嗽、咳痰症状缓解,量多易咳出,稍感气短、精神可。给予头孢哌酮舒巴坦联合左氧氟沙星降阶梯抗生素治疗[3]。2020年10月14胸部CT(图2C):双侧肺炎范围较前缩小,右肺上叶为主。心脏彩超无明显变化。病情情况:体温正常,偶有咳嗽、咳痰。好转出院。
下转基层后采用RAPRIOP技能对患者进行治疗与管理。
1.给予患者安慰与解释(reassurance,R)让患者明白医生很清楚患者转诊到上级医院的诊疗经过和病情演变。肺炎属于急性感染性疾病,及时治疗是可以治愈的,提高患者对疾病的科学认知及战胜疾病的信心与毅力。
2.建议(advice,A)均衡饮食,多吃蔬菜、水果、全谷类、低脂乳制品、瘦肉等食物,避免过多糖分和脂肪,避免过度进食,保持口腔卫生,勤换刷牙,定期检查口腔[6];患者轻度焦虑抑郁,有短期失眠,时间长达1个月,建议患者在心脏耐受的情况下适量运动,自我调整心态平和,必要时进行认知行为疗法、人际心理治疗、行为治疗等[8]。
3.治疗(prescription,P)患者继续口服莫西沙星0.4 g/d、1周[1]。
4.转诊(referral,R)依据指南当患者符合重症肺炎的诊断标准或不明原因的病情危重的CAP患者需进行紧急转诊。以下情况时需要普通转诊:基础疾病较多,宿主免疫抑制状态下发生的CAP,合并有局部或全身并发症如肺脓肿,年龄65岁以上有基础疾病,CAP诊断不明确[6]。
5.辅助检查(investigation,I)为病情需要,嘱患者1周后于卫生院复查血常规、胸片、心脏彩超,如气短加重或检验、检查结果有异常,及时联系专科进行转诊。病程期间患者出现气短加重,伴咳嗽、咳痰,咳白色泡沫样痰,2020年12月1日于卫生院查血常规未见明显异常。胸片提示双肺多发斑片状阴影,右肺上叶可疑空洞形成(图3A)。考虑患者肺空洞未见明显吸收。及时与患者及家属沟通病情情况,如下患者肺部感染是诊断明确的,近日症状明显,提示病情加重,其次引起肺空洞的疾病有很多:(1)细菌性肺炎。早期细菌性肺炎与肺脓肿在症状和X线片表现很相似,但常见的肺炎链球菌肺炎多伴有口唇疱疹、铁锈色痰而无大量脓臭痰,X线片显示肺叶或段性实变或呈片状阴影,没有空洞形成。(2)空洞性肺结核并发感染。空洞型肺结核是一种慢性病,起病缓慢,病程长,可长期咳嗽,午后低热、乏力、盗汗、食欲减退或有反复咯血。X线片空洞较厚,一般无气液平,痰中可查到结核杆菌,当合并肺部感染时,可出现急性感染症状和咳大量脓臭痰。(3)支气管肺癌。对于40岁以上的患者如若出现同一部位反复感染,且抗菌药物治疗效果差时,可考虑该疾病,需要送痰液查癌细胞和支气管镜检查,以明确诊断。上述疾病如需明确诊断均要进一步完善相关检验、检查,卫生院条件不允许,患者既往于上级医院就诊时病情危重,目前出院1个月左右,胸片提示有空洞形成,需要进一步诊疗,患者及家属同意转诊。
6.随访、观察(observation,O)-Follow-up。2020年12月3日上级医院血常规等检验检查未见明显异常。结核杆菌抗体阳性;血沉35 mm/h。痰细菌培养铜绿假单胞菌,对左氧氟沙星耐药,对派拉西林/亚胺培南/庆大霉素/环丙沙星敏感。胸部CT检查(图3B):双肺多发片状及斑片状阴影伴空洞形成,病灶较前略吸收,炎性病变,结核不除外,左肺上叶陈旧性结核。心脏彩超与之前相比无明显变化,PASP 68.9 mmHg。外送干扰素及ppd实验阴性;支气管镜子检查提示右主支气管黏膜轻度充血,上叶尖段官腔轻度狭窄,气管镜可见范围内官腔通畅,未见新生物形成,于右上叶开口处行黏膜刷检,使用生理盐水灌洗后送检支气管镜肺泡灌洗液,支气管黏膜炎症;左主支气管黏膜轻度充血,气管镜可见范围内管腔通畅,未见新生物。肺泡灌洗液外送NGS提示铜绿假单胞菌,真菌、抗酸染色未见异常,积极给予派拉西林他咗巴坦静脉输液联合口服环丙沙星抗感染治疗,辅以化痰、解痉、平喘、保护胃黏膜等支持治疗后,患者神清、精神可、偶有咳嗽,无胸闷气短等不适,于2020年12月24复查胸部CT明显吸收(图3C),好转出院。
7.预防(prevention,P)告知患者注意个人卫生,保持室内通风、避免接触病毒感染源;注意饮食卫生,避免生食或半生食的食品;预防流感:预约疫苗接种;根据自身身体状况适当锻炼。嘱患者做好情绪及睡眠方面的管理,预约全科医生门诊,进行焦虑、抑郁量表评分,动态评估。帮助患者预约流感疫苗和肺炎疫苗接种[6]。
刘策等[2]指出健康成人CAP快速进展,当有危险因素存在,或出现感染中毒性休克,或痰标本可见革兰阴性杆菌,或右肺上叶迅速进展的空洞性肺炎或突变时,应考虑铜绿假单胞菌感染。目前研究表明PCAP占CAP的0.4%~7.0%,尽管PCAP少见,但PA能感染健康人并且迅速致死,健康者指没有基础疾病,包括肺部疾病、肾脏疾病、恶性肿瘤、糖尿病等。PA对CAP患者最常用的抗生素具有固有的抗性、有多重耐药性,对于PA引起的CAP急性感染,治疗目标包括症状和体征缓解或消失,实验室检查基本恢复正常,感染部位的病原菌清除,后期影像学随访病灶明显消散,基于临床特征和药敏检测结果,选择抗PA活性强的抗菌药物,进行单药或联合治疗,可选择的药物包括:抗PA β-内酰胺类(1)抗PA青霉素类及其与β-内酰胺酶抑制剂复合制剂(包括哌拉西林、哌拉西林/他唑巴坦);(2)抗PA头孢菌素类及其与β-内酰胺酶抑制剂复合制剂(包括头孢他啶、头孢哌酮、头孢吡肟、头孢哌酮/舒巴坦);(3)抗PA碳青霉烯类及其与β-内酰胺酶抑制剂复合制剂(包括美罗培南、亚胺培南等);抗PA氟喹诺酮类:主要有环丙沙星、左氧氟沙星和西他沙星,属于浓度依赖性抗菌药物;氨基糖苷类:常用的有阿米卡星、庆大霉素和妥布霉素,应用于临床的还有异帕米星、奈替米星、依替米星,其中以阿米卡星的活性最强。属于浓度依赖性抗菌药物。治疗过程中如出现痰量增多或有浓痰时,可辅以氧疗、雾化、补液、营养等支持治疗。体温过高时给予物理降温,但需注意过度使用退热药物可能造成患者大量出汗,出现电解质紊乱的情况[1]。本例患者青年女性,初步根据基层临床指南,CAP诊断明确,给予哌拉西林联合莫西沙星,辅以补液、降温治疗,因血培养及痰培养均提示铜绿假单胞菌,虽根据指南,暂不能诊断脓毒血症[9]。但患者病情反复,临床表现明显,右肺上叶存在迅速进展的空洞肺炎,为PA感染,及时根据药敏结果及临床指南调整抗生素为亚胺培南联合左氧氟沙星[1,2]。另外,近年来发表的预防和治疗CAP的文献中,有16种经典处方,包括52个关于麻杏甘石汤的随机对照试验和21种中成药。药品规格有8种适应证,其中关于痰热清注射液的文献最多,约136个随机对照试验,药物的不良反应,未知活性成分和中成药的经济性是影响药物使用和疗效的重要因素;还有关于非药物治疗的文献,包括针灸、中药贴敷、灌肠、中药离子化、中药熏蒸、竹罐等。基于抗生素治疗,中药治疗可以增加协同作用,同时减少抗生素的副作用。此外,中药可以在CAP的每个阶段发挥协同作用。中医药与抗生素联用,分型论治风热犯肺证:疏风清热、清肺化痰,推荐方药为银翘散;痰热壅肺证:清热解毒,宣肺化痰,推荐方药为痰热清;气阴两虚证:益气养阴,润肺化痰,本例患者属痰热壅肺证,可予以痰热清亦或是喜炎平治疗[10,11,12,13]。
作为一名基层全科医生,接诊胸闷的患者分3个阶段,首先与患者建立良好关系;其次采用RICE问诊法对其展开以人为中心的问诊,通过与患者交谈采集病史,完成体格检查和心理测评,利用社区现有资源完善相关检验、检查,结合莫塔安全诊断策略进行初步诊断及评估;最后基层全科医生运用RAPRIOP技能对患者进行管理。在基层有限的卫生条件下,全科医生需学习及应用临床指南,将全科思维贯穿始终,充分利用现有资源,要以人为中心,以家庭为单位,更要会看病、识病,排除急危重症,避免漏诊、误诊、延误病情,这就要求在诊疗过程中全专合作,上下联动,为患者提供更全面、更协调的医疗服务。针对本例我们的不足是(1)对于中医药治疗CAP的关注度不够,通过指南学习获知在基层卫生条件有限的情况下,对于CAP早期,病原菌尚未明确,临床密切关注病情变化的同时,可联合中医药辨证治疗,以减少抗生素的使用和剂量。(2)根据指南获悉,健康成人PCAP的危险因素包括暴露于污染的雾化水、金属粉尘、铜绿携带者和吸烟,全科医生以家庭为单位的健康照顾、实施的家庭访视工作不到位。未对其患者进行全面的家庭评估,未深入到患者家庭中去,导致对本例患者反复住院的原因未知[2,14]。
李小萍,刘亚贤.社区获得性铜绿假单胞菌肺炎1例[DB/OL].中国临床案例成果数据库,2023(2023-09-13).http://journal.yiigle.com/LinkIn.do?linkin_type=cma&DOI=10.3760/cma.j.cmcr.2023.e02262.
所有作者均声明本研究不存在利益冲突





















