
患者,男性,66岁,主因"发现腹腔占位4个月,免疫治疗1个月,心肌损伤标志物升高17 d"入院。2023年3月7日因卵巢肿瘤术后复查发现胆管癌并侵及门静脉可能,继发肝内胆管扩张。PET/CT:肝尾状叶稍低密度结节伴钙化,FDG代谢增高,考虑恶性病变,不除外肝内胆管细胞癌可能,伴腹膜转移、淋巴结转移。于2023年6月5日开始行腹部肿瘤局部放射治疗于2023年6月7日予以PD-1抑制剂信迪利单抗200 mg注射一次,2023年6月21日拟再次注射信迪利单抗注射剂前复查心肌损伤标志物升高,连续动态观察波动在0.0461~0.542 ng/ml,为求进一步诊疗收入院。
患者病程中无明显主观症状,无胸闷、憋气、胸痛,无乏力、纳差、活动耐力如常,夜间可平卧,无夜间阵发性呼吸困难。查体:体温36.6℃,脉搏82次/min,呼吸16次/min,血压100/68 mmHg(1 mmHg=0.133 kPa),神志清,精神可,颈静脉无怒张,双肺未及干湿罗音,心率:82次/min,律齐,各瓣膜听诊区未闻及病理性杂音,腹软,无压痛及反跳痛,肝脾肋下未触及,肝颈静脉回流征(-)。双下肢无水肿。
心肌损伤标志物:CK 358 U/L↑,CK-MB 34.3 ng/ml↑,MYO 459 ng/ml↑,NT-ProBNP 155 pg/ml ↑,TnT-hs 0.740 ng/ml↑;细小病毒抗体测定、EBV抗体测定、CMV病毒抗体测定、呼吸道病原九项:未见异常,ANA、ENA、ANCA、抗核抗体:未见异常。超声心动图(2023年7月7日):左室射血分数:62 %,心内结构及血流未见明显异常,左室整体收缩功能正常,舒张功能未见明显异常。右心功能:估测肺动脉收缩压正常范围,右室整体收缩功能正常范围。斑点跟踪成像:左室收缩期整体机械形变功能减低(左室整体平均GLS值:-14.6%)。冠状动脉造影(2023年7月12日):冠状动脉起源及分布:正常,左前降支中段:狭窄程度<30%,肌桥,收缩期最重狭窄程度:30%;右冠状动脉近段:狭窄程度<30%。心脏增强MRI(2023年7月12日):可见左室心尖部心肌水肿。
心肌炎方面:大剂量激素冲击,同时辅以抗激素不良反应监测及治疗;原发病方面:停止免疫治疗,予以局部放疗。
症状较前无明显变化,复查心肌损伤标志物改善。
心内科;肿瘤内科;肿瘤外科
版权归中华医学会所有。本文为遵循CC-BY-NC-ND协议的开放获取文章。
新型靶向药物治疗癌症方兴未艾,抗肿瘤药物相关的心血管毒性日益引起人们的重视。本文介绍了一例晚期肝癌、接受PD-1抑制剂后出现心肌损伤标志物进行性升高的患者,予以停用靶向药物及接受激素治疗后化验指标改善,借此希望提高大家对免疫检查点抑制剂相关心肌炎的认识和重视。
患者,女性,66岁。2023年3月7日因卵巢肿瘤术后复查肿瘤标志物,发性CA199升高,腹部CT提示肝门部占位性病变,PET-CT提示腹腔继发转移,胆管癌并侵及门静脉可能,继发肝内胆管扩张。于2023年5月16日在301医院行PTCD减黄治疗,于2023年6月5日开始于我院行腹部肿瘤局部放射治疗。2023年6月6日查心肌损伤标志物未见明显异常,2023年6月7日开始予以PD-1抑制剂信迪利单抗注射一次。2023年6月21日拟再次注射信迪利单抗注射剂前复查心肌损伤标志物,TnT-hs 0.0461 ng/ml,连续动态观察波动在0.0461~0.906 ng/ml。病程中,患者无胸闷、胸痛,无心悸、黑曚、晕厥、乏力,无呼吸困难、下肢水肿,无头痛、头晕、恶心、呕吐、大汗,无反酸、烧心,无发热、咳嗽、咳痰、咯血等不适。为求进一步诊疗收入我科病房。自起病以来,患者饮食、睡眠、精神可,大便干燥,小便正常,近半年体重减轻5 kg。既往史:患者13个月前因盆腔肿物于北京协和医院行"全子宫双附件切除+大网膜切除+阑尾切除+淋巴结清扫",病理示"右卵巢交界性粘液性囊腺瘤",术后未行辅助化疗。个人、婚育、家庭史:无特殊。入院体格检查:身高160 cm,体重55 kg,体重指数21.5 kg/m2。体温36.6℃,脉搏82次/min,呼吸16次/min,血压100/68 mmHg(1 mmHg=0.133 kPa),神志清,精神可,颈静脉无怒张,双肺未及干湿罗音,心率:82次/min,律齐,各瓣膜听诊区未闻及病理性杂音,腹软,无压痛及反跳痛,肝脾肋下未触及,肝颈静脉回流征(-)。双下肢无水肿。
血脂四项:CHOL 6.31 mmol/L↑,TRIG 1.44 mmol/L,HDL-C 2.7 mmol/L,LDL-C 3.04 mmol/L。
糖化血红蛋白6.4 %↑
甲功五项:T3 0.73 nmol/L↓,Free T3 2.18 pmol/L↓。
细小病毒抗体测定、EBV抗体测定、CMV病毒抗体测定、呼吸道病原九项:未见异常
ANA、ENA、ANCA、抗核抗体:未见异常
超声心动图(2023年7月7日):左室射血分数:62 %,心内结构及血流未见明显异常,左室整体收缩功能正常,舒张功能未见明显异常。右室整体收缩功能正常范围。
斑点跟踪成像:左室收缩期整体机械形变功能减低(左室整体平均GLS值:-14.6%)
冠状动脉造影(2023年7月12日):左前降支中段:狭窄程度<30%,肌桥,收缩期最重狭窄程度:30%;右冠状动脉近段:狭窄程度<30%。
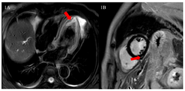
心脏增强MRI(2023年7月12日):可见左室心尖部心肌水肿(图1A),左室下壁延迟强化(图1B)。


患者66岁老年女性,亚急性病程,急性加重。原发病诊断明确,肝内胆管癌,多发转移,失去手术时机,接受了免疫、靶向和放射治疗。心内科相关主要特点是恶性肿瘤药物治疗后心肌损伤标志物升高和动态变化,停用药物-应用激素后仍有波动,肌钙蛋白最高1.0,应用激素冲击治疗后心肌损伤标志物有所下降。整个过程中患者无明显心脏相关的症状,无胸闷、憋气、心悸、胸痛,活动耐力无下降。既往有卵巢交界性肿瘤和手术病史,农民,无毒物接触史,无烟酒史。查体生命体征平稳,心肺无明显阳性体征,主要阳性体征腹部胆管引流。心电图:新发RBBB,超声心动图:左室壁运动未见明显异常,未见节段性室壁运动异常,形态正常,未见心尖膨出,传统左室收缩功能指标正常62%,更敏感的GLS减低。心脏磁共振检查证实存在心肌水肿。综上,心肌损伤病因考虑药物性心肌炎可能性大。
但仍需与以下疾病鉴别:1.缺血性心脏病:患者老年女性,心肌损伤标志物升高,动态变化,心电图可见新发右束支传导阻滞,需警惕缺血引起肌钙蛋白升高,但患者多有临床症状,如胸闷、胸痛,超声心动图可见节段性室壁运动异常,与患者临床表现不符,冠状动脉造影明确排除严重阻塞性冠脉病变。2.病毒性心肌炎:患者老年,恶性肿瘤、免疫抑制状态,心肌损伤标志物升高需警惕该诊断,但该病多有病毒感染前驱症状,患者可有发热、胸痛症状,心肌损伤标志物呈持续低水平升高,无明显动态演变,心电图可见非特异T波改变,患者病毒学检查阴性,不支持该诊断。3.结缔组织病相关心肌炎:自身免疫性疾病如SLE、血管炎也可累及心脏引起心肌炎,但患者绝经后女性,无发热、皮疹、关节痛、光过敏、雷诺现象等自身免疫性疾病常见临床表现,入院后完善自身免疫相关检查阴性,不支持该诊断。4.代谢性心脏病:如甲状腺功能减退也可引起心肌损伤,但患者甲状腺功能正常,不支持该诊断。5.中毒:患者农民,既往否认接触有毒物质,不支持该诊断。治疗上,入院后60 mg qd抗炎,肌钙蛋白仍升高,根据2022ESC肿瘤心脏病学指南,与患者及家属沟通后予以500 mg激素冲击治疗。治疗后肌钙蛋白呈下降趋势。相关指南无辅酶Q10,免疫球蛋白推荐地位;推荐ACEI/ARB/B,该患者因血压偏低未加用;推荐他汀,因梗阻性黄疸,肝功能差,未加用。
停用靶向药物治疗,予以大剂量激素冲击,序贯以1 mg/(kg·d)方案,缓慢减量。同时予以抗激素不良反应治疗,如监测控制血压、血糖,包含胃黏膜、补钾、抗骨质疏松等。
患者病程中无明显临床症状,一般活动无不适。超声心动图左室射血分数维持正常水平,口服激素治疗1个月后复查心肌损伤标志物恢复正常。
恶性肿瘤是我国居民主要死因,随着人口老龄化及检测技术水平的提高,恶性肿瘤的发病率和病死率逐年升高[1]。肿瘤心脏病学和恶性肿瘤靶向药物治疗日益成为一门热门学科[2,3]。常用的蒽环类化疗药物、HER2靶向治疗药物、VEGF抑制剂、免疫检查点抑制剂(ICIs)、ALK抑制剂和EGFR抑制剂用药都需要警惕心血管毒性。该患者所用信迪力单抗为免疫检查点抑制剂(ICIs)代表药。
ICI包含4类药物:1.细胞毒性T淋巴细胞相关抗原4(CTA-4)抑制剂(伊匹木单抗、曲美木单抗等)。2.程序性细胞死亡蛋白1(PD-1)抑制剂(帕博利珠单抗、纳武利尤单抗等,信迪力单抗)。3.程序性细胞死亡蛋白1配体(PD-L1)抑制剂(度伐利尤单抗、阿替利珠单抗等)。4.淋巴细胞活化基因3(LAG-3)抑制剂。其不良反应包括:甲状腺功能异常、血液学毒性、高血糖、肝肾功能不全和心脏毒性。尤其对于初治用药的患者需要警惕心脏,当毒性反应严重时要考虑永久停药。
国内近期也发布了ICIs相关心肌炎临床诊疗实施建议[4]。其诊断标准包括病理学诊断和临床诊断。病理学诊断因其有创性,临床难以推广,目前主要依赖临床诊断:肌钙蛋白明显升高加1条主要标准或2条次要标准,但需除外急性冠脉综合征及感染性心内膜炎[4]。主要标准是:心脏磁共振诊断为急性心肌炎。该患者肌钙蛋白明显升高合并1条主要标准,符合ICIs相关心肌炎临床诊断标准。
文献报道,ICIs相关心肌炎发生率达1.14%,我国ICIs相关心肌炎发生率为1.05%,虽然低于其他器官免疫不良反应,但致死率最高。因此,目前建议在接受ICI治疗前,所有患者均应接受ECG、NT-ProBNP、cTn监测。建议高危患者在开始ICI治疗前进行基线超声心动图检查。在ICI第2、3和4次给药前应连续监测ECG和cTn,如果正常,则减少至每3次给药检测一次,直到治疗完成。对于需要长期(例如>12个月)治疗的患者,根据情况(尤其是高危患者)考虑每6~12个月进行一次心血管评估。用药前识别ICI相关心脏毒性的潜在风险因素也很重要,主要包括:(1)治疗相关因素:如免疫抑制剂的双药联合或者免疫治疗与其他能够产生心脏毒性的抗癌药物联用;(2)并发的免疫相关毒性反应:如ICI相关的骨骼肌炎;(3)既往患过心肌损伤的心血管疾病:如心肌梗死、心力衰竭、心肌炎、之前应用过蒽环类化疗药物、之前在抗癌治疗中发生过左心室功能不全;既往自身免疫性疾病:如系统性红斑狼疮、类风湿性关节炎、结节病等;(4)肿瘤相关的因素:如肿瘤中表达心脏相关的抗原、心脏T细胞克隆。该患者无心血管病基础,仅有高龄,启动用药前完善心肌损伤标志物及心电图均未见明显异常,遵指南建议在ICI第2次给药前连续监测ECG和cTn,发现异常,及时停止治疗,及激素抗免疫治疗,避免了病情进行性发展。
超声心动图是发现肿瘤治疗相关心功能障碍的重要检查手段,临床常用指标是左室射血分数(LVEF),但该指标反映左室收缩功能受损敏感性差,该患者LVEF指标就是正常的,而应变分析可以更敏感地发现左室收缩功能受损,建议临床推广应用,在基线和复查时均应作为评估手段。
综上,由该病例可看出,恶性肿瘤患者治疗前后心血管评估非常重要,靶向治疗恶性肿瘤总体安全、有效,但对心脏的不良反应不容忽视。
孔令云,黄奕鑫,马志毅,等.免疫检查点抑制剂相关心肌炎1例[DB/OL].中国临床案例成果数据库,2023(2023-10-26).http://journal.yiigle.com/LinkIn.do?linkin_type=cma&DOI=10.3760/cma.j.cmcr.2023.e02589.
所有作者均声明本研究不存在利益冲突





















