
患者,女性,67岁,因"咳嗽伴发热20余天,咯血2 d"入院。
患者皮肤、巩膜无黄染,双肺呼吸音粗,可闻及干湿啰音,腹软,无压痛、反跳痛,肝、脾未触及,移动性浊音(-),双下肢无水肿。
入院后血常规+CRP:白细胞计数9.08×109/L,中性粒细胞百分率88.20%,C反应蛋白286.31 mg/L;呼吸道13种病原体检测:铜绿假单胞菌阳性;G试验和GM试验均为阴性。支气管镜检查示:右肺上叶前段支气管新生物阻塞,双肺支气管炎性改变,BALF给予活检并送mNGS检查示铜绿假单胞菌、代尔根霉、烟曲霉、EB病毒、人疱疹病毒1。痰液真菌培养示:烟曲霉;痰液细菌培养示:耐药铜绿假单胞菌。
予以伏立康唑、特治星、硫酸阿米卡星、两性霉素B胆固醇硫酸酯体及两性霉素B雾化抗感染治疗。考虑患者感染重,治疗难度大,院内组织多学科讨论后,先后行气管镜下两性霉素B局部注射治疗3次。
本例患者经规范抗真菌治疗、抗心衰及强化血压、血糖控制,患者四肢浮肿、氧合指数、炎性指标和肺部影像学好转,但患者急性侵袭性肺真菌病伴多发空洞,突发咯血,咯血量大,积极抢救后仍死亡。
呼吸科
版权归中华医学会所有。本文为遵循CC-BY-NC-ND协议的开放获取文章。
曲霉菌广泛存在于自然界中,属于条件致病菌,多数情况下肺曲菌病易继发于某些基础疾病,如慢性阻塞性肺病、糖尿病、恶性肿瘤、获得性免疫缺陷综合征、骨髓及器官移植等,也可见于应用糖皮质激素、广谱抗生素等患者。侵袭性肺曲霉菌病无论在临床上还是在影像学上均缺乏特异性。常见的临床症状有咳嗽、咳痰、发热、咯血、胸痛等,X线胸片可表现为两肺斑片状或大片实变阴影。我们报道1例以发热、咯血为主要表现的侵袭性曲霉菌感染,旨在提高对本病的认识,减少误诊和漏诊。
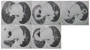
患者,女性,67岁,因"咳嗽伴发热20余天,咯血2 d"入院。患者于2022年8月28日无明显诱因出现咳嗽、咳白黏痰,量不详。伴发热,体温最高37.7℃,发热呈阵发性,无畏寒、寒战,无咯血、胸痛、盗汗,无胸闷、憋气,曾自行服用"头孢"治疗,症状未见明显好转。2022年9月5日上述症状加重,伴胸闷、憋气,就诊于当地社区医院,给予肌注药物治疗(具体不详),症状未见明显好转,就诊于当地上级医院,胸部CT示双肺感染性病变,双上肺及右肺中叶为著(未见CT影像)。血常规示:白细胞15.3×109/L,中性粒细胞13.84×109/L,淋巴细胞计数0.87×109/L ,单核细胞1.2×109/L,CRP 181.27 mg/L;细菌培养:耐药铜绿假单胞菌;G试验、GM试验均为阴性。给予左氧氟沙星、比阿培南、替加环素、甲泼尼龙、喘定治疗,症状稍缓解。9月17日上述症状加重,咯血,为暗红色,量不详,伴有发热,体温最高38.2℃,于9月19日就诊于我院。患者既往高血压病史10余年,最高血压达200/90 mmHg。有糖尿病病史半个月余,未应用降糖药,血糖、血压均控制不佳。入院查体:体温36.1℃,脉搏82次/分,呼吸19次/分,血压115/69 mmHg,神志清,精神可,口唇无紫绀,听诊双肺呼吸音粗,可闻及干湿啰音。辅助检查:2022年9月19日胸部CT:双肺多发斑片、片状高密度影及结节灶,气管内斑片影(图1A);PCT 1.02;血常规+CRP:白细胞计数15.37×109/L,中性粒细胞计数13.61×109/L,C反应蛋白233.14 mg/L;尿常规:酮体1+,尿葡萄糖3+。初步诊断为:1.重症肺炎;2.肺真菌感染;3.侵袭性肺曲霉菌病(?);4.高血压病3级(极高危);5.2型糖尿病糖尿病酮症。


2022年9月20日,血常规+CRP:白细胞计数9.08×109/L,中性粒细胞8.01×109/L,血红蛋白98 g/L,C反应蛋白286.31 mg/L;呼吸道13种病原体检测:铜绿假单胞菌阳性;G试验和GM试验均为阴性。2022年9月22日,支气管镜检查:右肺上叶前段支气管新生物阻塞,双肺支气管炎性改变(图2A)。BALF给予活检并送mNGS检查:铜绿假单胞菌、代尔根霉、烟曲霉、EB病毒、人疱疹病毒1。病理结果:黏膜重度慢性炎,BALF未见肿瘤细胞。肺泡灌洗液真菌培养:烟曲霉;肺泡灌洗液细菌培养:耐药铜绿假单胞菌。复查CT示双肺多发空洞,考虑脓胸并空洞形成,较2022年9月19日CT片加重(图1B),给予哌拉西林钠他唑巴坦钠4.5 g 2次/d静滴联合伏立康唑0.2 g 2次/d静滴治疗3 d后患者仍有低热,伴咳嗽、咳痰、咯血,炎症指标改善不明显,调整抗生素为:伏立康唑0.2 g 2次/d静滴(2022年9月24日-2022年10月9日)、美罗培南1 g tid静滴(2022年9月27日-2022年10月14日)、硫酸阿米卡星0.8 g 1次/d静滴(2022年9月29日-2022年10月3日)。复查CT示双肺多发空洞,较2022年9月24日CT片右肺病变范围增多(图1C)。遂予以结合药敏给予加用两性霉素B胆固醇硫酸酯体2 mg(50~200 mg)泵入及两性霉素B 5mg 2次/日雾化(2022年9月29日-2022年10月10日)抗感染治疗辅以地塞米松3 mg 1次/d静脉注射激素抗炎。考虑患者感染重,治疗难度大,院内组织多学科讨论后,先后行气管镜下两性霉素B局部注射治疗3次。患者症状和氧合逐渐改善,复查CT示双肺多发实性密度并空洞,局部伴气液平,空洞较前缩小,双肺部分斑片影新增(图1D)。10月11日CT示双肺多发实变并空洞,局部伴气液平,较2022年10月4日CT吸收好转较(图1E)。复查气管镜示右中叶管口较前改善(图2B)。治疗期间多次复查曲霉感染相关指标:曲霉菌IgG抗体均<31.25 AU/ml;曲霉半乳甘露聚糖测定均<0.499。


1.肺结核,有全身中毒症状,包括发热、乏力、盗汗、食欲减退、咳痰、咳少许或大量脓性带血、咯血;胸片显示病灶多位于肺尖,密度不均,可缓慢消散,结核杆菌和结核菌素试验阳性;2.肺癌,多出现在年龄大、有吸烟史的人群中,表现为咯血、对抗感染治疗反应差,可通过胸部CT、气管镜和脱落细胞等检查来诊断;3.急性肺脓肿,临床表现与肺炎链球菌肺炎相似,但随病程进展,咳大量脓臭痰为肺脓肿特征,X线检查显示气液平面;4.肺血栓栓塞,可发生咯血、晕厥,呼吸困难较明显,出现颈静脉充盈;X线胸片显示区域性肺纹理减少,有时可见尖端指向肺门的楔形阴影;所有获得的诊断都需要明确的诊断标准和证据证实。
入院后经验性予以氟康唑200 mg 1次/d静滴(2023年9月20-23日)联合哌拉西林钠他唑巴坦钠4.5 g 2次/d静滴(2023年9月20-23日),辅以矛头蝮蛇血凝酶2 iu 1次/d静推预防出血、阿斯美止咳、二羟丙茶碱静滴联合布地奈德雾化平喘、泮托拉唑抑酸护胃、缬沙坦氨氯地平控制血压、琥珀酸美托洛尔控制心率、谷胱甘肽护肝等对症治疗;排除相关禁忌后于2022年9月22日行支气管镜检查示右肺上叶前段支气管新生物阻塞,患者肺泡灌洗液培养结果示烟曲霉伴耐药铜绿假单胞菌感染,结合药敏给予伏立康唑0.2 g 2次/d静滴(2022年9月24日-2022年10月9日)、美罗培南1 g tid静滴(2022年9月27日-2022年10月14日)、硫酸阿米卡星0.8 g 1次/d静滴(2022年9月29-2022年10月3)、两性霉素B胆固醇硫酸酯体2 mg(50~200 mg)泵入(2022年10月9-13日)及两性霉素B 5 mg 2次/d雾化(2022年9月29日-2022年10月10日)抗感染治疗辅以地塞米松3 mg 1次/d静脉注射抗炎。期间多次检测伏立康唑血药浓度波动于3.50~4.34 µg/ml。考虑患者感染重,治疗难度大,院内组织多学科讨论后,先后于2022年10月4日、2022年10月10日及2022年10月13日行气管镜下两性霉素B 15 mg局部注射治疗3次,期间患者于2022年10月10日行支气管镜后出现急性心力衰竭表现,单纯利尿效果不佳,予以联合新活素、左西孟旦强心利尿等对症治疗后心衰症状好转后再次于2022年10月13日行两性霉素气道注射治疗,过程顺利。
本例患者经规范抗真菌治疗及强化血糖控制,患者喘憋症状、四肢浮肿、氧合均有改善、炎性指标和肺部影像学好转但患者急性侵袭性肺真菌病伴多发空洞,患者于2022年10月14日6:20突发咯血,咯血量大,约400 ml,可见血凝块,后逐渐出现心率、血压、氧饱和度下降,监护仪示:心率58次/分,血氧饱和度测不出,血压测不出。神志逐渐昏迷。予以气管插管,同时积极加强体位引流,插管后行持续气道内吸引,接呼吸机辅助通气,同时给予垂体后叶素、巴曲亭止血,间断推注肾上腺素,多巴胺静滴升压、碳酸氢钠纠酸补液及持续胸外心脏按压等抢救治疗。患者血压、饱和度、心率持续性下降,再次与家属告知病危,患者家属表示理解,同时考虑患者基础疾病重,此次咯血量大,持续按压心脏仍未复律,预后差,为减少患者损伤要求停止按压,患者于2022年10月14日8:16心电图呈直线,宣布临床死亡。
患者为老年女性,既往糖尿病、高血压史,因咯血入院,伴咳嗽、咳痰、发热等呼吸道症状,血白细胞总数增高,C反应蛋白增高,PCT增高不明显,首先考虑细菌感染,但给予广谱抗生素治疗效果欠佳。肺部病变非结核好发部位,痰找结核菌多次阴性,及T-SPOT也阴性,不支持肺结核病,患者经抗真菌治疗后肺部病变有吸收。患者合并2型糖尿病且未得到良好控制,研究表明ICU危重症患者、流感及新型冠状病毒肺炎、长期慢性病如慢性阻塞性肺病、糖尿病等因素成为继发侵袭性曲霉菌感染重要因素,死亡率超过50% [2]。高热伴咳痰,咯血,且广谱抗生素治疗无效,考虑肺部真菌感染不能除外。曲霉菌感染初始治疗无效或不正规治疗是发生大咯血的危险因素,一旦并发严重咯血甚至大咯血治疗效果极差,治疗重在早防,早期足量足疗程使用广谱有效抗真菌药物。无菌部位的标本培养、组织核酸检测霉菌结果阳性是确诊侵袭性肺曲霉菌病的标准[1],由于先前的抗生素和抗真菌暴露,常规培养的敏感性往往较低[3],与培养相比,PCR和mNGS等基于分子的方法可以更早地诊断[4]。侵袭性肺曲霉菌患者从被检测出到死亡通常少于14 d,预后差,死亡率高达85%,因此需要积极且及时地尝试确定具体的真菌学诊断,通常采用支气管镜和支气管肺泡灌洗以期达到抢先治疗及靶向治疗,对患者的预后至关重要。本例患者最终依靠肺泡灌洗液mNGS确诊,并通过痰培养证实为侵袭性肺曲霉菌病,进一步证明了mNGS在感染性疾病诊断方面的潜力。
侵袭性肺曲霉病临床表现和影像学表现多样且无特异性,多由曲霉菌侵袭肺泡和细支气管壁出现支气管周围实变影、支气管扩张征、小叶中心型微小结节影、树芽征和磨玻璃样等改变逐渐演变为曲霉菌侵袭血管出现致密、边界清楚的病变(伴或不伴晕征)、空气新月征、空洞、楔形/节段性或大叶性病灶为特征性的影像学表现[5]。上述典型的影像学特征在该例患者中可见,其病理基础是曲霉侵犯肺血管,形成出血性肺梗塞。当肺小血管梗死后局部形成肺结节或实变病灶。常位于肺外周近胸膜处,肺部呈单发或多发病灶,病灶周围出血,在影像学上出现晕轮征。约10~15 d后肺结节病灶或肺实变区开始液化、坏死,影像学上出现空腔阴影或新月征。
目前,国内外侵袭性曲霉菌病的诊治指南指出伏立康唑作为治疗及预防的首选药物,并对其进行药物浓度监测[6,7]。有研究证明,雾化吸入两性霉素B可减少肾功能损伤等不良反应,伏立康唑联合两性霉素B雾化治疗对治疗侵袭性霉菌支气管感染有良好效果[8]。部分患者对伏立康唑耐药或治疗效果不满意时,可选用两性霉素B进行补救治疗或者联合不同抗真菌药物治疗[6]。在柳叶刀发表的一篇关于泊沙康唑与伏立康唑疗效的对比研究结果指出,泊沙康唑耐受性良好,与伏立康唑组相比,受试者的治疗相关不良事件更少,因此泊沙康唑可能是伏立康唑的有效替代药物[9]。对于难治性或进展性侵袭性曲霉菌病患者,以及尽管采用抗真菌药预防但感染仍出现或进展的患者,应采取个体化治疗,要考虑感染的快速程度和严重程度以及当地曲霉菌感染的流行病学。
综上所述,糖尿病患者因细胞免疫功能低下,易合并真菌感染,其临床症状、影像学特异性差,支气管镜下表现相对特异,mNGS极大地提高了病原体的检测能力。因此当患者合并社区获得性肺炎且广谱抗生素治疗无反应时,应仔细询问其职业、生活接触史。曲霉菌感染初始治疗无效或不正规治疗是发生大咯血的危险因素,一旦并发严重咯血甚至大咯血治疗效果极差,治疗重在早防,及时进行支气管镜检查、病理检查及mNGS等尽早明确诊断,确诊后尽早足量足疗程使用广谱有效抗真菌药物。确诊肺部真菌感染的同时,还应注意排查鼻窦,颅内等其他部位的真菌感染。确诊侵袭性肺曲霉菌病后,要注意强化血糖控制,加强营养支持治疗,应用有效的抗真菌药物且疗程应足够长,部分肿瘤标志物在急性感染期会异常升高,但感染控制后可明显下降,应注意监测,以除外恶性肿瘤。
孙淑琪,于欣娟,韩伟.侵袭性肺曲霉菌病1例[DB/OL].中国临床案例成果数据库,2023(2023-12-14).http://journal.yiigle.com/LinkIn.do?linkin_type=cma&DOI=10.3760/cma.j.cmcr.2023.e03099.
所有作者均声明本研究不存在利益冲突





















