
研究血细胞自噬在血液病中的分布特征及其可能病理机制。
回顾性分析3 277例血液病患者电镜标本,利用透射电子显微镜观察血细胞自噬现象,分析血细胞自噬在血液病中的分布特点,结合临床检测和诊断结果分析其病理机制。
检出15例患者伴有成熟粒细胞或有核红细胞自噬现象,其中骨髓增生异常综合征6例,急性白血病2例,再生障碍性贫血、纯红细胞再生障碍性贫血、地中海贫血、缺铁性贫血、淋巴瘤、多发性骨髓瘤和真性红细胞增多症各1例。15例患者中粒细胞自噬11例,有核红细胞自噬4例。9例伴细胞凋亡,6例伴细胞溶解,5例伴细胞巨幼样变。
血液病成熟粒细胞和有核红细胞自噬多见于骨髓增生异常综合征,细胞凋亡、巨幼样变和溶解等病态造血可能诱发细胞自噬。
版权归中华医学会所有。
未经授权,不得转载、摘编本刊文章,不得使用本刊的版式设计。
除非特别声明,本刊刊出的所有文章不代表中华医学会和本刊编委会的观点。
细胞自噬是真核细胞维持内稳态和实现自我更新的一种进化保守机制,最早由Mathew等[1]在1962年通过电子显微镜(电镜)在人肝细胞中发现。近年来,Mijaljica等[2]发现细胞自噬与肿瘤、感染、神经退行性变等多种疾病相关。自噬体是双层膜包裹、含未消化胞质成分或细胞器(尤其是线粒体和内质网片段)的结构。透射电镜能清晰显示细胞自噬体的结构和形成过程,是检测细胞自噬重要手段之一[3]。我们回顾性分析3 277例血液病患者的电镜标本,观察血细胞自噬的发生情况及其他超微结构变化的特征,探求细胞自噬在血液病中的分布特征及其机制。
以2008年1月至2013年12月我院确诊的3 277例血液病患者的电镜标本为研究对象。3 277例患者中,男1 956例,女1 321例,男女比为1.48∶1,中位年龄29 (1~88)岁。所有患者均经血细胞分析、骨髓细胞形态学、骨髓病理活检、电子显微镜观察以及分子生物和细胞遗传学检测确诊,染色体核型分析采用G显带,按照《人类细胞遗传学国际命名体制(ISCN2009)》进行核型描述。其中急性白血病2 755例,骨髓增生异常综合征(MDS)133例、淋巴瘤212例、多发性骨髓瘤(MM)33例、再生障碍性贫血(AA)109例、纯红细胞再生障碍性贫血(PRCA)17例、缺铁性贫血10例、地中海贫血5例、真性红细胞增多症(PV)3例。
取肝素抗凝骨髓液3~5 ml,细胞分离液分离有核细胞,用25 g/L戊二醛固定,10 g/L锇酸后固定,然后按电镜标本制备流程[4]脱水、浸透、包埋和切片,切片厚度60 nm,超薄切片用醋酸铀溶液染20 min,铅染液处理5~6 min,采用日立H-600透射电镜观察。
在透射电镜下观察超薄切片中的有核细胞,首先对血细胞分类,根据细胞结构特点确认为成熟粒细胞或有核红细胞。然后进一步观察成熟粒细胞或有核红细胞中是否存在自噬体及其内容物,自噬体形成各时期表现参照文献[3]进行描述。观察自噬现象时,同时分析血细胞凋亡、溶解及巨幼样变等病理损伤程度。
3 277份电镜标本中15份血细胞存在自噬现象。分析该15例存在自噬现象患者临床特征,结果显示男9例,女6例,男女比为1.5∶1,中位年龄47 (1~72)岁;粒细胞减少[中性粒细胞绝对计数(ANC)<1.5 × 109/L]7例,贫血(HGB<110 g/L)13例,血小板减少(PLT<100× 109/L)8例,其中全血细胞减少4例;15例患者中6例细胞遗传学异常;15例患者中有8例行分子生物学检测,5例有异常。血常规、细胞遗传学和分子生物学检测具体结果见表1。15例患者中MDS 6例,急性白血病2例,淋巴瘤、AA、PRCA、地中海贫血、缺铁性贫血、MM、PV各1例。

15例检出血细胞自噬的血液病患者临床诊断、检测结果、自噬细胞类型及形态改变
15例检出血细胞自噬的血液病患者临床诊断、检测结果、自噬细胞类型及形态改变
| 例号 | 年龄 | 性别 | 临床诊断 | WBC(×109/L)( | ANC(×109/L) | HGB(g/L) | PLT(×109/L) | 染色体核型 | 分子生物学特征 | 自噬细胞 | 凋亡细胞 | 溶解细胞 | 巨幼样变细胞 |
|---|---|---|---|---|---|---|---|---|---|---|---|---|---|
| 1 | 50 | 男 | MDS | 1.91 | 0.50 | 51 | 51 | 47XY,+Y | - | MG | MG | N | N |
| 2 | 34 | 女 | MDS | 11.19 | 4.37 | 85 | 117 | - | IgK(+) | MG | MG | MG、NE | N |
| 3 | 49 | 男 | MDS | 4.51 | 2.92 | 109 | 22 | 47XY,+21[3]/46XY,21p+[4] | - | NE | MG、NE | MG | |
| 4 | 72 | 女 | MDS | 3.21 | 2.01 | 99 | 11 | 46XX,11q-[2] | - | NE | N | NE | N |
| 5 | 43 | 男 | MDS | 4.61 | 2.59 | 98 | 81 | - | - | MG | MG、NE | MG、NE | MG、NE |
| 6 | 48 | 男 | MDS | 8.94 | 4.51 | 80 | 166 | 46XY,5q-,+8,-17,-17,-22,+mar1,+mar2[cp5]/45-46XY,-y,5q-,-6,+8,-20,-22,+?,+?[cp18] | N | MG | MG | NE | N |
| 7 | 20 | 男 | AML-M2a | 2.00 | 1.08 | 100 | 194 | 46XY | N | MG | MG | N | N |
| 8 | 47 | 女 | HAL | 4.17 | 0.52 | 67 | 56 | 47XX,3q-,-7,+8,t(9,22)(q34:q11),+?11q-[cp10] | bcr-abl(+) | MG | N | N | |
| 9 | 4 | 男 | 淋巴瘤 | 0.91 | 0.25 | 70 | 38 | 46XY | IgH(+) | MG | N | MG、NE | N |
| 10 | 63 | 男 | MM | 2.59 | 1.13 | 41 | 40 | 46XY,del(20)(q11)[3] | JAK2/V617F(+) | MG | N | N | |
| 11 | 53 | 男 | PV | 7.39 | 4.54 | 192 | 220 | 46XX | JAK2/V617F(+) | NE | NE | MG、NE | |
| 12 | 69 | 女 | IDA | 5.92 | 3.96 | 81 | 383 | 46XX | - | MG | N | N | N |
| 13 | 1 | 女 | AA | 3.90 | 0.22 | 120 | 28 | 46XX | - | MG | NE | N | MG、NE |
| 14 | 21 | 男 | PRCA | 1.20 | 0.51 | 39 | 157 | - | N | MG | N | NE | MG |
| 15 | 46 | 女 | 地贫 | 9.97 | 6.03 | 81 | 236 | 46XX | - | NE | NE | N | N |
注:ANC:中性粒细胞绝对计数;MDS:骨髓增生异常综合征;AML:急性髓系白血病;HAL:急性混合细胞白血病;MM:多发性骨髓瘤;PV:真性红细胞增多症;IDA:缺铁性贫血;AA:再生障碍性贫血;PRCA:纯红细胞再生障碍;地贫:地中海贫血;N:未见异常;-:未查;MG:成熟粒细胞;NE:有核红细胞
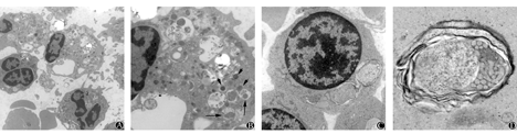
本组15例患者中,11例患者出现成熟粒细胞自噬体(73.3%)(图1A、图1B),4例患者出现有核红细胞自噬体(26.7%)(图1C、图1D)。早期阶段自噬体表现为双层膜包裹未消化胞质成分或细胞器;中期阶段表现为双层膜包裹的细胞器与溶酶体结合;晚期阶段表现为髓样或环层样结构。不同阶段自噬体在粒细胞和红细胞中的结构和分布无明显差异。15例患者中9例同时伴粒细胞或幼红细胞凋亡,6例同时伴粒细胞或幼红细胞溶解,5例患者伴细胞巨幼样变(表1)。


A:骨髓增生异常综合征患者粒细胞广泛损伤,出现胞质空泡化、核固缩和自噬现象(×3 000);B:高倍镜下粒细胞含不同阶段自噬体形成,短箭头所示为单个溶酶体,长箭头所示为线粒体与溶酶体结合构成的自噬体(×15 000);C:地中海贫血患者幼红细胞中含多个自噬体;D:自噬体晚期的双层膜形成髓样结构,含溶解的线粒体轮廓(×20 000)
细胞自噬是一种在真核细胞中高度保守的正常自我消化过程,有维持细胞器代谢和更新作用。细胞自噬包括自噬启动、自噬体形成和自噬溶酶体形成3个阶段。透射电镜除直接观察典型自噬体结构外,还能观察自噬体内容物形态和形成过程[3]。生理性自噬是细胞对环境变化的快速反应,半衰期很短,只有8 min左右,故而发现自噬体的概率很低,一般情况下电镜很难发现正常人体细胞中的自噬现象[5]。培养细胞在没有添加自噬激活剂情况下,发现细胞自噬概率也较低。只有在细胞缺乏营养、受到过度刺激(如添加雷帕霉素等)、损伤和(或)疾病状态下,细胞自噬增强,通过电镜观察发现的概率才能提高[6]。Klionsky及Emr[7]认为该类自噬属于病理性自噬或细胞自噬过度。本研究中我们观察3 277例血液病患者的电镜标本,仅发现15例患者存在血细胞自噬现象,包括MDS 6例,贫血性疾病4例,急性白血病2例,淋巴瘤、MM及PV各1例,提示血细胞自噬可能多见于MDS患者。
细胞自噬需多个基因和相关蛋白参与调控,自噬相关蛋白的mRNA及蛋白质水平表达可以反映自噬活性。万绍媛等[8]发现MDS自噬相关基因Beclin1表达上调患者细胞自噬程度同步增高,晚期MDS和急性髓系白血病患者Beclin1基因表达降低时,细胞自噬减弱。细胞自噬可以清除细胞内损伤的细胞器、异常蛋白及代谢产物,在亚细胞水平进行重构,防止发生基因突变和染色体异常,从而抑制肿瘤的发生[9]。在本组6例MDS患者中有4例行细胞遗传学检查,均存在染色体核型异常。染色体核型异常可能导致异常克隆细胞分化、成熟障碍,进而出现病态造血。MDS患者细胞自噬增高可能与病态造血诱发细胞自噬功能加强相关,细胞清除受损细胞器及DNA功能增高。
Crighton等[10]研究结果显示细胞自噬作为一种病理反应可诱导细胞凋亡,导致细胞数量减少。本组11例粒细胞自噬患者中,7例粒细胞减少,其中5粒伴有粒细胞凋亡,与Crighton等[10]研究结果一致。AA和PRCA是免疫损伤引起的骨髓造血功能低下,AA主要表现为全血细胞减少,而PRCA以严重贫血为主,仅少数患者伴粒细胞减少。本组2例患者同时存在粒细胞自噬和幼红细胞损伤,其病理机制尚未见相关报道。MDS是一组克隆性造血干细胞异常增生疾病,大部分患者早期表现以贫血为主,粒细胞多数正常,在中后期常同时出现2系或以上血细胞减少。本组6例患者存在粒细胞或幼红细胞自噬,一种可能是病态细胞代谢异常诱发细胞自噬功能增高,导致粒细胞减少;另一种可能是病态细胞自身自噬功能增高,直接导致粒细胞凋亡和减少。缺铁性贫血是由于体内铁的储存不能满足正常红细胞生成而发生的贫血,对粒细胞影响较小,但本组1例患者粒细胞出现自噬,可能属于一种继发性反应。地中海贫血是基因缺陷致使一种或以上珠蛋白链合成缺如或不足,形成异常血红蛋白导致的贫血,本组1例患者幼红细胞出现大量自噬体可能与细胞清除异常蛋白相关。PV属骨髓增殖性疾病,表现为红细胞和血容量显著增多,本组1例患者幼红细胞自噬可能与异常克隆红细胞大量增殖相关。
除细胞自身生理异常和代谢障碍导致自噬增强外,细胞环境变化也可能是促进细胞自噬的重要因素之一。本组有4例患者的正常成熟中性粒细胞自噬体增多,而在幼稚或肿瘤性血细胞中未见任何自噬体,其病理机制有待于进一步研究。
细胞自噬与细胞凋亡是两种不同的病理生理表现,两者之间存在互相制约和平衡的关系。Pattingre及Levine[11]研究发现Bcl-2蛋白既可抑制凋亡又可抑制自噬,说明两条通路受某些相同因子调控,或1条通道变化同时调控另一条通道反应。本组15例患者中9例伴不同程度细胞凋亡,与以上研究结果一致,说明自噬与凋亡关系密切,常互相影响,同时发生。过度刺激和损伤不仅导致细胞自噬和凋亡功能增强,同时可引起细胞巨幼样变、溶解及坏死等病理反应,本组15例患者中,6例患者同时有细胞溶解,5例患者出现细胞巨幼样变,提示过度自噬是多种细胞损伤和死亡的形态学变化之一。





















