
研究靶向抑制miRNA-21表达对K562细胞生物学功能的影响,观察其对PTEN-PI3K/AKT通路相关分子表达水平的影响,探讨其在白血病发病机制中的作用。
将化学合成的miRNA-21抑制物电转染K562细胞,RT-PCR检测K562细胞miRNA-21表达变化,MTT法检测miRNA-21对K562细胞活力影响,流式细胞术分析miRNA-21对K562细胞凋亡的影响,应用Western blot技术检测K562细胞中PTEN、PI3K及p-AKT蛋白表达水平。
转染24 h实验组miRNA-21 mRNA相对表达水平为(8.070±5.138)%,低于各对照组(P <0.05)。转染24 h实验组K562细胞凋亡率为(13.370±0.250)%,高于各对照组(P<0.01)。实验组K562细胞的增殖抑制率由转染后24 h的(8.1± 0.9)%升至60 h的(43.1±2.1)%。成功抑制miRNA-21表达后,与对照组相比,K562细胞凋亡增加(P< 0.01),细胞中PTEN蛋白表达上调(P<0.01),PI3K及p-AKT蛋白表达下调(P<0.01)。
靶向抑制K562细胞miRNA-21可以上调PTEN表达而抑制PI3K/AKT信号通路,发挥其抑制K562细胞增殖及促进凋亡作用。
版权归中华医学会所有。
未经授权,不得转载、摘编本刊文章,不得使用本刊的版式设计。
除非特别声明,本刊刊出的所有文章不代表中华医学会和本刊编委会的观点。
微小RNA (miRNA)是一类长度为19~25个核苷酸的非编码单链RNA分子。miRNA表达具有明显的组织细胞特异性,且与肿瘤的发生发展密切相关[1]。miRNA-21是miRNA家族的重要成员之一,可通过调控其靶基因参与的信号通路影响肿瘤的发生发展,发挥类似于癌基因或抑癌基因的功能。人第10号染色体缺失的磷酸酶及张力蛋白同源的基因(PTEN)为已知的抑癌基因,为miRNA-21靶基因之一[2]。PTEN基因可以通过其磷酸酶活性阻断细胞因子介导的信号转导通路,如磷脂酰肌醇-3激酶(PI3K)/丝-苏氨酸激酶(AKT)信号途径,从而抑制肿瘤细胞的生长、侵袭和转移,促进肿瘤细胞凋亡[3]。目前,对于抑制miRNA-21表达对K562细胞生物学功能影响的研究甚少,且miRNA-21与PTEN-PI3K/AKT通路在白血病发病中的作用机制尚不明确。本研究中,我们观察靶向抑制K562细胞中miRNA-21表达对PTEN-PI3K/AKT通路中相关分子表达的影响,探讨其在白血病发病机制中的作用。
miRNA-21抑制物(含绿色荧光素FAM)及其阴性对照由广州复能基因公司合成并验证;细胞培养基RPMI 1640购自美国Gibco公司;胎牛血清(FBS)购自杭州四季青公司;细胞总RNA提取试剂TRIzol购自美国Invitrogen公司;MTT试剂盒、磷酸盐缓冲液(PBS)购自美国Sigma公司;AnnexinⅤ和碘化丙锭(PI)购自瑞士Roche公司;RT-PCR试剂盒购自天根生化科技(北京)有限公司公司;miRNA-21及内参U6引物、PTEN及内参ACTB引物均购自广州复能基因有限公司;鼠抗人PTEN单克隆抗体购自美国Santa Cruz公司;兔抗人PI3K多克隆抗体、兔抗人p-AKT多克隆抗体、兔抗人GADPH多克隆抗体购自美国Cell Signaling公司。MiRNA-21抑制物由广州复能基因有限公司合成(5'-UCAACAUCAGUCUGAUAAGCUA-3')。
将K562细胞(由本实验室保存)接种于含10% FBS、青霉素100 mg/L、链霉素100 mg/L的RPMI 1640培养基中,置于37 ℃、5% CO2培养箱中培养,每1~2 d换液传代,实验选用对数生长期细胞。
①K562NC组:空白对照组(未处理的K562细胞);②K562MI组:转染miRNA-21抑制物;③ K562NM组:转染随机序列(长度与miRNA-21抑制物相同)对照;④K562FAM组:转染荧光素FAM对照。
取1 × 106/ml K562细胞,加入400 μl电转缓冲液和200 nmol miRNA-21抑制物,应用BTX ECM830电转染仪转染(300 V、60 ms、2次)。转染后细胞用含10% FBS的RPMI 1640培养液培养。在转染24 h后采用荧光倒置显微镜观察细胞形态并提取细胞总RNA行RT-PCR检测,60 h后提取细胞总蛋白行Western blot检测。
转染24 h后收集细胞,于荧光倒置显微镜下观察,计数荧光素FAM表达阳性细胞及视野内全部细胞数量,按以下公式计算转染率:


检测转染后细胞miRNA-21表达变化,细胞总RNA提取及逆转录反应按照说明书进行,引物序列如下:miRNA-21上游引物:5'-CACCTAGCTTATCAGACTGATGTTGATTTTTTG-3',下游引物:5'-AGCTCAAAAAATCAACATCAGTCTGATAAGCTA-3';内参U6上游引物:5'-ATTGGAACGATACAGAGAAGATT-3',下游引物:5'-GGAACGCTTCACGAATTTG-3'。PCR反应条件:预变性95 ℃ 10 min 1个循环;变性95 ℃ 10 s,退火56 ℃ 20 s,延伸72 ℃ 15 s, 40个循环。实验设3个复孔,重复3次。
取各组1×106/ml K562细胞,接种于96孔无菌培养板中(每孔200 μl),于转染后12、24、36、48、60 h检测K562细胞的增殖情况。每次测定时孔中加入10 mg/ml MTT液10 μl,孵育4 h后用平板离心机离心10 min (2 500×g),弃上清,再加入200 μl二甲基亚砜终止反应,用全自动酶标仪测定490 nm处吸光度(A)值。实验重复3次,结果取均值。按以下公式计算细胞增殖抑制率。根据时间及增殖抑制率值绘制生长曲线。


转染48 h后,收集1×106/ml K562细胞,用PBS吹打洗涤2次,离心后弃上清,加入500 μl 1×Binding Buffer重悬细胞,并加入5 μl Annexin Ⅴ-FITC及10 μl PI,混匀后避光室温孵育10 min,上机分析细胞凋亡情况。
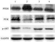
用细胞蛋白提取试剂盒提取各组细胞总蛋白,行SDS-PAGE分离蛋白(90 V 30 min, 120 V 1 h)。电泳结束后以电转移法将蛋白从凝胶转移到聚偏氟乙烯(PVDF )膜上,用5% BSA液封闭,依据膜面积计算抗体体积,分别加入PTEN、PI3K、p-AKT对应一抗(稀释比例分别为1∶300、1∶500、1∶500)室温孵育1 h,然后再加入对应二抗(1∶10 000)室温孵育1 h,最后将PVDF膜用ECL化学发光试剂盒处理并显影,检测阳性蛋白的表达水平。实验重复3次。
采用SPSS 13.0统计软件对实验结果进行统计学分析。计量资料用均数±标准差表示,各组间比较采用方差分析及q检验,P<0.05差异有统计学意义。
通过荧光倒置显微镜观察转染后细胞形态变化,转染后24 h的部分K562细胞发出绿色荧光信号,部分细胞膨胀,细胞壁有皱褶或破损,形态完整(图1)。转染率为(53.4±3.2)%。


K562MI、K562NM、K562FAM组miRNA-21表达水平分别为K562NC组的(8.070 ± 5.138)%、(91.600±2.452)%、(92.247±2.053)%,表明miRNA-21抑制物成功转染K562细胞并下调miRNA-21表达。
转染24、36、48、60 h,K562MI组细胞增殖抑制率均高于K562NM、K562FAM组(P <0.05 )。随着时间延长,K562MI组细胞增殖抑制率逐渐增高( P<0.05 ),由转染24 h的(8.1±0.9)%升至60 h的(43.1±2.1)%,表明靶向抑制miRNA-21可以抑制K562细胞增殖。K562NM、K562FAM两组随着时间延长细胞增殖抑制率无明显变化(P>0.05 )。详见图2。


K562MI组:转染miRNA-21抑制物;K562NM组:转染随机序列对照(长度与miRNA-21抑制物相同);K562FAM组:转染荧光素FAM对照
转染48 h后K562NC、K562MI、K562NM及K562FAM组细胞凋亡率分别为(2.334 ± 0.263)%、(13.370 ± 0.250)%、(3.990 ± 0.436)%、(2.894±0.352)% ,K562MI组细胞凋亡率高于其他三组(P<0.01),提示下调miRNA-21表达可以促进K562细胞凋亡(图3)。


K562NC组:空白对照组(未处理K562细胞);K562MI组:转染miRNA-21抑制物;K562NM组:转染随机序列对照(长度与miRNA-21抑制物相同);K562FAM组:转染荧光素FAM对照
Western blot检测显示(以GADPH作为内参照):K562MI组较其他3组细胞PTEN蛋白表达上调,PI3K及p-AKT蛋白表达下调,差异均有统计学意义(P<0.05 )(表1、图4),说明靶向抑制miRNA-21表达可以实现对PTEN-PI3K/AKT相关基因蛋白水平调控。


1:K562NC组(空白对照);2:K562MI组(转染miRNA-21抑制物);3:K562NM组(转染随机序列对照);4:K562FAM组(转染荧光素FAM对照)

靶向抑制miRNA-21表达对K562细胞PTEN-PI3K/AKT通路蛋白表达水平影响(
±s)
靶向抑制miRNA-21表达对K562细胞PTEN-PI3K/AKT通路蛋白表达水平影响(
±s)
| 组别 | PTEN | PI3K | p-AKT |
|---|---|---|---|
| K562NC | 4.911±0.450 | 3.343±0.201 | 3.040±0.094 |
| K562MI | 14.701±0.810a | 1.015±0.122a | 0.463±0.080a |
| K562NM | 4.733±0.524 | 3.220±0.111 | 3.628±0.103 |
| K562FAM | 4.271±0.682 | 3.439±0.098 | 3.447±0.139 |
注:K562NC组:空白对照;K562MI组:转染miRNA-21抑制物;K562NM组:转染随机序列对照(长度与miRNA-21抑制物相同);K562FAM组:转染荧光素FAM对照。与其他3组比较,aP<0.01
miRNA能够与靶向特异性的碱基互补配对,导致靶mRNA降解或者抑制靶基因翻译,从而实现对基因转录后表达调控,发挥癌基因或抑癌基因作用[4]。miRNA-21由17q23.2染色体FRA17B脆性区域编码而成,具有自主转录功能[5]。miRNA-21可以调控靶基因的mRNA和蛋白表达,而这些靶基因具有调控细胞增殖、分化、迁移、侵袭等功能[6]。已知miRNA-21在多种恶性肿瘤中表达升高,如恶性胶质瘤、乳腺癌、肺癌、直肠癌、卵巢癌、膀胱癌及食管癌等[7,8,9]。miRNA-21在白血病发病中的作用尚未明确。吴共发等[10]发现下调miRNA-21表达可抑制K562细胞的迁移及增殖能力。朱雪姣等[11]亦发现抑制miRNA-21可以增加K562细胞对阿糖胞苷的敏感性、诱导细胞凋亡。本研究通过化学合成miRNA-21抑制物,经电转染方式靶向抑制miRNA-21的表达,操作简单且实验周期短。在靶向抑制K562细胞miRNA-21表达后,流式细胞术检测发现K562细胞早期凋亡率明显升高,MTT法检测显示K562细胞活力随转染时间的延长逐渐下降,表明靶向抑制miRNA-21对K562细胞具有促凋亡、抑制增殖的作用。
在多种肿瘤中,PTEN均为miRNA-21的靶基因,两者之间存在负性调控趋势,提示miRNA-21可能通过调控PTEN表达影响肿瘤的发生,而PTEN基因作为一种抑癌基因,具有磷酸酯酶活性及蛋白酪氨酸激酶活性[12]。PTEN的表达主要受miRNA (如miRNA-21)、磷酸化、乙酰化、泛素化等转录后调控。研究显示,PTEN可以抑制慢性髓性白血病细胞增殖、侵袭,促进其凋亡[13]。Maehama等[14]发现PTEN可致PI3K的产物磷脂酰肌醇(3, 4, 5 )-三磷酸(PIP3)脱磷酸,维持PIP3的低水平,从而介导AKT的活化,下调PI3K/AKT通路表达,活化的AKT可以激活多种下游底物,导致肿瘤细胞增殖和耐药,影响肿瘤细胞表型功能,与诊断及预后密切相关,而总AKT表达并无明显变化。本研究中,通过RT-PCR分析发现,miRNA-21与PTEN表达呈负相关,在进一步抑制白血病细胞系K562细胞miRNA-21表达后,转染组PTEN蛋白表达水平显著上调,活性恢复。鉴于PTEN作为一种磷酸酶基因,可以抑制肿瘤细胞生长或是使细胞在早期进入程序性死亡,从而推测miRNA-21可以通过调控PTEN基因表达促进K562细胞的早期凋亡。
以往研究表明,白血病患者PI3K及磷酸化的AKT水平明显高于正常人[15,16]。本研究结果显示,抑制miRNA-21后转染组p-AKT蛋白表达水平显著下调,总AKT水平无明显变化,说明miRNA-21通过增强PTEN活性而负性调控AKT活化,进而影响K562细胞的增殖及凋亡,提示这可能是PTEN-PI3K/AKT信号通路在白血病发病机制中的重要途径。本研究中,我们发现PI3K的蛋白表达也出现下调,考虑不除外miRNA-21下调通过其他途径影响PI3K表达或对PI3K酶活性产生影响,其具体作用机制有待进一步研究。本实验结果显示PTEN基因的蛋白水平变化幅度较大,考虑p-AKT的变化主要还是由于PTEN的作用导致。
本实验结果表明,抑制K562细胞miRNA-21表达可以调控PTEN-PI3K/AKT通路相关分子表达。但是miRNA对应多个靶基因,且miRNA在肿瘤中的调控存在表观调控网络。因此,miRNA-21对于细胞生物学特性的影响是否通过PTEN-PI3K/AKT通路实现有待进一步研究,其对PTEN-PI3K/AKT的作用机制尚需进一步明确。





















