
版权归中华医学会所有。
未经授权,不得转载、摘编本刊文章,不得使用本刊的版式设计。
除非特别声明,本刊刊出的所有文章不代表中华医学会和本刊编委会的观点。
近年CAR-T细胞介导的免疫治疗在治疗急性淋巴细胞白血病(ALL)、非霍奇金淋巴瘤及多发性骨髓瘤等血液系统恶性肿瘤的多项临床研究中均呈现出卓越的疗效,抗CD19 CAR-T细胞治疗难治复发性ALL的完全缓解率可高达70%~93%[1,2,3,4]。然而,在CAR-T细胞治疗过程中会出现多种不良反应,如细胞因子释放综合征(cytokine release syndrome,CRS)、神经系统毒性、脱靶效应等,其中CRS是发生最频繁、症状最突出的急性不良反应。CRS可累及全身各个脏器,引起的症状类型广泛,轻重不一。严重CRS(severe CRS,sCRS)可发生重要脏器功能衰竭而危及患者生命。因而,如何正确有效地对CRS进行管理和干预,降低CAR-T治疗相关不良事件发生率是亟待解决的临床问题。现笔者以1例sCRS为例,结合本中心处理CRS的临床经验并在征求王建祥教授、韩为东教授和周剑峰教授等多位专家意见的基础上阐述CRS的诊疗路径。
患者,女,12岁,2016年11月17日在外院诊断为B-ALL,当时融合基因筛查示E2A-PBX阳性,染色体核型分析示der(19),t(1;19)(q23; p13)。给予PVLD方案诱导治疗后取得完全缓解,之后予以CAM、PVLD及大剂量甲氨蝶呤(MTX)等方案化疗4个疗程。2017年6月5日患者疾病复发,2017年8月1日转至我科行CAR-T细胞治疗。2017年8月5日在患者父母签署知情同意书后,采取患者外周血60 ml用于制备CAR-T细胞,在等待CAR-T细胞回输期间,患者出现反复高热、齿龈疼痛及全身骨痛,外周血幼稚细胞增多,考虑疾病进展,给予VMP(长春地辛+米托蒽醌+甲泼尼龙)方案化疗控制肿瘤负荷,患者于9月18日出现2次癫痫发作(部分性发作),脑脊液常规生化检查及影像学检查未发现异常,予以卡马西平口服预防治疗。9月20日复查骨髓示原始淋巴细胞占0.940,血常规示HGB 71 g/L, PLT 16×109/L, WBC 6.4×109/L,中性粒细胞2.8×109/L,淋巴细胞0.8×109/L,幼稚细胞占0.38。血清细胞因子检测示IL-6 11.8 pg/ml(正常参考值<5.9 pg/ml),IL-2受体1 119 U/ml(正常参考值223~710 U/ml),TNF-α 6.3 pg/ml(正常参考值<8.1 pg/ml)。9月21日起予以FA(氟达拉滨25 mg/m2+阿糖胞苷1 g/m2)方案预处理化疗3 d,9月27日(第0天)起行患者自体CAR-T细胞输注,输注CAR-T细胞总量为0.3×106/kg,分2 d输注(第0天输注CAR-T细胞总量的30%,第1天输注细胞总量的70%)。患者于10月4日(第7天)开始出现发热且体温逐渐增高,血清细胞因子检测示IL-6 13.6 pg/ml,IL-2受体1 415 U/ml,TNF-α 11 pg/ml。10月5日(第8天)患者呈持续高热,体温最高达41.3 ℃,给予对乙酰氨基酚口服及物理降温等措施均退热效果不佳,予以托珠单抗(8 mg/kg)静脉滴注治疗后体温在2 h后明显下降,一度恢复至正常,次日起患者又出现发热,体温逐渐升高,10月7日(第10天)体温最高达39.9 ℃。10月8日(第11天)起患者出现胸闷、气急等不适,伴阵发性呛咳,指末氧饱和度下降至85%~92%,胸部CT示两肺多发渗出性改变(图1);血气分析提示低氧血症,血常规示HGB 67 g/L,PLT 17×109/L,WBC 1.18×109/L,中性粒细胞0.2×109/L,幼稚细胞占0.02;生化检查示总胆红素(TBIL)17.5 μmol/L(正常参考值5.1~20.5 µmol/L),ALT 199 U/L(正常参考值7~40 U/L),AST 949 U/L(正常参考值13~35 U/L),LDH 17 060 U/L(正常参考值120~250 U/L),尿酸539 μmol/L(正常参考值155~357 μmol/L);血清细胞因子检测示IL-6>1 000 pg/ml,IL-2受体2 985 U/ml。予以面罩吸氧(5 L/min),积极抗感染、保肝,水化、碱化和利尿治疗,并第二次使用托珠单抗(8 mg/kg)治疗。10月9日(第12天)患者体温恢复正常,但胸闷、气急症状无缓解,出现皮肤多处大片瘀斑,出凝血常规示凝血酶时间(TT)54.5 s(正常参考值14~21 s),APTT 37.5 s(正常参考值25.0~36.2 s),纤维蛋白原1.82 g/L(正常参考值2.00~4.50 g/L),D-二聚体37.03 mg/L(正常参考值<0.55 mg/L),纤维蛋白降解产物(FDP)112.2 g/L(正常参考值2.0~4.5 g/L);生化检查示TBIL 48.6 µmol/L,ALT 250 U/L,AST 1 102 U/L,LDH 18 561 U/L。患者肝功能损害及凝血功能障碍加重,加强保肝和输注血浆、血小板等支持治疗;予以甲泼尼龙(40 mg每12 h 1次)静脉滴注,BiPAP呼吸机辅助通气。之后患者皮肤出血倾向改善,胸闷气急症状好转,氧需求量逐渐减少。10月12日(第15天)复查血常规示外周血幼稚细胞消失,出凝血常规示APTT 20 s,TT 30.2 s,D-二聚体11. 31 mg/L,FDP 53.2 g/L,肝功能检查示TBIL 35.1 µmol/L,ALT 117 U/L,AST 329 U/L,均较前好转,停止BiPAP呼吸机使用。10月14日(第17天)下午起患者突然出现四肢抽搐伴双眼凝视,每次持续5~10 min,之后反复发作,发作间期意识不清,考虑为癫痫持续状态。脑电图显示背景活动见α节律,间有θ波及少量低波幅β波,双侧额颞顶部偶见尖慢波发放,支持大脑皮层的广泛损害表现。予以地西泮(微泵静注5 mg/h)抗癫痫,甘露醇脱水,激素改为地塞米松(10 mg每6 h 1次)静脉滴注治疗,2 d后患者意识恢复正常,无癫痫发作,予以口服丙戊酸钠维持治疗,此时检查头部MRI可见两侧大脑皮层散在片状异常信号影(图2);激素逐渐减量至10月19日(第22天)停用。10月25日(第28天)血常规示HGB 95 g/L,PLT 13×109/L,WBC 1.06×109/L,中性粒细胞0.2×109/L,无幼稚细胞;C反应蛋白(CRP)0.1 mg/L;肝肾功能、出凝血常规及D-二聚体、FDP均正常;血清细胞因子IL-6 199 pg/ml,IL-2受体1 463 U/ml,TNF-α 19.1 pg/ml。10月30日(第33天)好转出院。




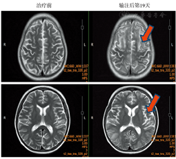
治疗前患者头部MRI未见明显异常;输注后第19天可见两侧大脑皮层散在片状异常信号影
典型的CRS临床表现包括发热、乏力、厌食及腹泻等全身症状和心血管、呼吸道、肝肾、胃肠道、血液和神经系统等局部脏器毒性症状(表1)。实验室可检测到患者血清IL-6、IL-2、IL-10、IL-8、IFN-γ、IL-1β、TNF-α和GM-CSF等多种细胞因子浓度的增高,其中以IL-6、IL-10和IFN-γ的增高最为显著[5,6,7,8]。除此以外,实验室还可检测到类似噬血细胞淋巴细胞增多症/巨噬细胞活化综合征(hemophagocytic lymphohistiocytosis/macrophage activation syndrome, HLH/MAS)的异常指标:血清铁蛋白、转氨酶、LDH和三酰甘油水平的增高,低纤维蛋白原血症等[7,9]。

细胞因子释放综合征临床症状
细胞因子释放综合征临床症状
| 器官/系统 | 临床症状 |
|---|---|
| 一般表现 | 发热、寒战、疲劳、乏力、头痛、关节痛、厌食等 |
| 心血管 | 心动过速、低血压、心律失常、心脏射血分数降低、心搏骤停等 |
| 呼吸系统 | 肺水肿、低氧血症、呼吸困难、肺炎等 |
| 肾脏 | 氮质血症、少尿、无尿等 |
| 肝脏及胃肠道 | 转氨酶升高、高胆红素、恶心、呕吐、腹痛、腹泻、结肠炎等 |
| 血液系统 | 血细胞减少、凝血酶原时间延长、活化部分凝血活酶时间延长、D-二聚体增加、低纤维蛋白原血症等 |
| 骨骼肌肉 | 肌酸激酶升高、肌无力、肌痛等 |
| 中枢神经系统 | 头痛、意识障碍、表达性失语、幻觉、抽搐、昏迷等 |
在CAR-T细胞输注后3周内,若出现下列症状之一则应考虑可能发生CRS:①体温≥38 ℃;②低血压(收缩压<90 mmHg);③低氧血症(动脉氧饱和度<90%);④脏器毒性反应。由于这些症状也可在其他常见并发症如肿瘤溶解综合征(tumor lysis syndrome,TLS)和败血症等出现,因此必须注意鉴别。TLS发生过程中细胞因子的释放虽然也可导致炎症、低血压及急性肾损伤,但TLS中常发生的一些代谢异常如高尿酸、高钾、高磷及低钙血症在CRS早期并不多见[10],因此,在CAR-T细胞输注后监测血电解质、尿酸及尿量变化有助于诊断TLS。败血症的临床表现可酷似CRS,如发热、低血压、心动过速、肝功能异常和细胞因子增高等,而且患者发生感染的时间通常在CAR-T细胞输注后第6天左右[11],因而与CRS很难鉴别。微生物学的培养及抗体检测则有助于诊断微生物感染,另外,尽管大多数重症感染患者的血清IL-6和IL-10水平增高非常明显,而IFN-γ的增高却不常见,在这一点上与CRS也有所不同,可用于两者之间的鉴别。
CAR-T细胞治疗相关CRS的分级目前临床上主要是根据Lee等[12]对免疫治疗所致CRS相关不良事件评估标准(NCI CTC AE 4.0)加以修正以适用于T细胞治疗所致CRS的评估标准进行评定(表2)。

细胞因子释放综合征分级标准[12]
细胞因子释放综合征分级标准[12]
| 分级 | 毒性 |
|---|---|
| 1级 | 无危及生命的症状,只需对症治疗,如发热、恶心、疲劳、头痛、肌痛、不适 |
| 2级 | 症状需要适度干预并缓解:需氧量<40%,或低血压(仅需补液 或一种低剂量升压药物),或2级器官毒性 |
| 3级 | 症状需要积极干预才能缓解:需氧量≥40%,或低血压(需大剂 量或多种升压药物),或3级器官毒性,或4级转氨酶升高 |
| 4级 | 危及生命的症状:需要机械通气,或4级器官毒性(不包括转氨 酶升高) |
| 5级 | 死亡 |
一旦发生3级以上CRS,若不及时干预则有可能危及生命。为了能早期识别sCRS的发生,Davila等将实验室数据和临床特征相结合,根据发热持续时间、CRS相关细胞因子的增高程度及临床毒性症状提出sCRS的诊断标准。由于受技术限制及试剂费用昂贵等原因,血清细胞因子浓度不能每日或实时监测,所以很难执行以上标准来指导临床对sCRS的干预治疗。多项研究表明CRP与体内血清IL-6浓度有良好的关联性,并且,CRP增高至200 mg/L以上与sCRS的发生密切相关,特异性可达100%,敏感性为86.6%,因此在临床上可通过检测CRP作为替代指标来监测sCRS的发生(表3[13])。

严重细胞因子释放综合征诊断标准[13]
严重细胞因子释放综合征诊断标准[13]
| • | 发热至少持续3 d(≥38 ℃) |
| • | 两种以上细胞因子最大倍增至少75倍或一种细胞因子最大倍增 至少250倍(或CRP≥200 mg/L) |
| • | 至少存在下列一种临床毒性症状: |
| 低血压(需要升压药治疗); | |
| 低氧血症(PO2<90%); | |
| 神经系统异常改变(包括精神状态改变、迟钝、抽搐等) |
本例患者在CAR-T细胞输注后出现发热、低氧血症和脏器毒性包括肝功能损害、凝血功能异常、肺水肿及神经系统异常改变等,多种血清细胞因子浓度增高,尽管该患者在此过程中同时发生TLS(LDH和尿酸明显增高),CRS的诊断还是非常明确的。在CAR-T细胞治疗过程中,患者出现低氧血症、两肺间质性炎症(肺水肿),需要无创呼吸机辅助通气,根据表2 CRS分级标准评估为4级。另外,该患者体温≥38 ℃至少持续3 d,IL-6水平增至75倍以上,且存在低氧血症等临床毒性症状,也是充分支持sCRS诊断的。
CRES尽管与CRS的发生密切相关,但因其发生率尤其在ALL患者中可高达50%,通常被独立归为一类,症状可表现为头痛、情绪异常、反应迟钝、幻觉、失语和抽搐等,这些症状往往是可逆的。CRES的发生形式呈双相性:第一阶段在CAR-T细胞输注后的早期发生,与高热及其他CRS症状同时出现;第二阶段发生在高热和其他CRS症状消失之后,通常在CAR-T细胞输注后的第6天以后。值得注意的是,约10%的患者在CAR-T细胞输注后的第3周或第4周期间发生延迟性神经毒性,表现为癫痫或意识模糊。CRES的病因目前尚不明确,可能与脑脊液中细胞因子浓度增高、CAR-T细胞渗入等因素相关[14,15]。Gust等[16]最新研究表明内皮细胞激活及血脑屏障通透性的增高是导致CRES的可能机制。
Juno和Kite两家世界领先的CAR-T细胞公司在临床试验中先后连续发生患者因神经毒性死亡的事件,引起研究者对于CAR-T细胞所致神经细胞毒性的高度重视。最近刚成立的美国CAR-T细胞治疗相关毒性(CAR-T-cell-therapy-associated TOXicity;CARTOX)工作小组[17]也为此提出了针对CRES的分级标准,从评估患者神经功能、有无颅内压增高、有无癫痫发作或肢体无力三个方面将CRES分为1~4级(表4)。对患者神经功能的评估可通过CARTOX-10(总分10分为认知功能正常者)进行评分,具体包括询问患者年、月、城市、所在医院名称和国家领导人姓名(共5分),命名三个对象:如时钟、笔和按钮(最多3分);写一个完整的句子,如"我的名字是XXX"(1分);从100开始以10为间隔倒数计数(1分)。

CAR-T细胞相关脑病综合征分级标准[17]
CAR-T细胞相关脑病综合征分级标准[17]
| 分级 | 毒性 |
|---|---|
| 1级 | CARTOX-10评分7~9分(轻度受损),无颅内压升高,无癫痫发作 |
| 2级 | CARTOX-10评分3~6分(中度受损),无颅内压升高,无癫痫发作 |
| 3级 | CARTOX-10评分0~2分(重度受损) |
| 1~2级视乳头水肿,或颅内压<20 mmHg | |
| 部分性发作或者脑电图显示的非惊厥性发作,以上发作均对苯二氮卓类药物治疗有反应 | |
| 4级 | 患者处于危重状态和(或)反应迟钝不能进行评估 |
| 3~5级视乳头状水肿或颅内压≥20 mmHg或脑水肿 | |
| 全面性发作;惊厥或非惊厥性癫痫持续状态,或新出现的肢体无力 |
本例患者在CAR-T细胞输注后发生的CRES发生在第二阶段,即在CRS症状缓解以后。起病急骤且病情凶险,为癫痫持续状态,评定为CRES 4级。本例患者在CRES发生前无任何头痛及精神异常等先兆症状,CARTOX-10评分也未发现异常,说明部分患者CRES的发生可呈"跳跃式"进展,需引起临床医师的高度警惕和重视。
为确保接受CAR-T细胞治疗的患者能够耐受CRS反应,在治疗前须对其脏器功能做好充分评估。ECOG评分对于评估患者的病情和一般状态有非常重要的参考意义,ECOG评分>2分的患者不推荐CAR-T细胞治疗。在细胞输注前若存在感染,由于有可能加重或恶化CAR-T细胞输注后发生的CRS反应,因而建议推迟CAR-T细胞回输时间,直至感染有效控制。既往有中枢神经系统疾病或并发症的患者发生神经系统不良事件的风险会增高,因而在治疗前须完善头颅影像学及脑脊液检查,若发现患有中枢神经系统白血病,建议待疾病控制后再行CAR-T细胞输注。对既往有中枢神经系统白血病或合并症的患者,可口服左乙拉西坦(750 mg每12 h 1次)等药物以预防癫痫的发生。基线期高肿瘤负荷的患者在CAR-T细胞输注后易发生sCRS[8, 12, 14, 18],在CAR-T细胞回输前应采取适当的预处理化疗降低肿瘤负荷而减轻CAR-T细胞治疗的不良反应。目前普遍采用FC方案(氟达拉滨25~30 mg/m2;环磷酰胺250~300 mg/m2,静脉输注连用3 d),可以同时达到"减负"和"清淋"的目的。细胞制备过程需要10~14 d,在此期间,对肿瘤细胞生长过快的患者可桥接化疗,直到CAR-T细胞制备完成[19]。临床医师可根据疾病的诊断类型、肿瘤负荷和患者的一般情况来选择桥接化疗方案。
本例患者在CAR-T细胞治疗前病情进展快,肿瘤负荷非常高(骨髓原始细胞0.940),并且在治疗前有癫痫发作病史,存在发生sCRS及CRES的高危因素,所以我们采用了FA强化疗方案进行预处理治疗,并通过降低CAR-T细胞输注剂量(0.3×106/kg)以减轻CRS(CRES)发生的严重程度。
CAR-T细胞治疗相关CRS的临床表现往往错综复杂、变化多端、进展迅速,因此密切监测患者的病情变化和及时做出处理尤为重要,一旦出现sCRS征兆,应尽早使用IL-6受体拮抗剂或联用激素以减轻CRS对脏器功能的损伤,减少不良事件的发生。
CRS毒性症状常在细胞输注后1周内出现,在细胞输注后1~2周内达到最高峰。在此期间,CRS的监测包括常规心电监护(每隔2~4 h记录生命体征)、每日检测血常规及血细胞计数、出凝血常规、CRP、铁蛋白浓度和生化等。若条件允许,每隔2 d检测包括IL-6、IL-10及IFN-γ等血清细胞因子浓度和流式细胞术检测外周血CD19+B细胞和CD3+T细胞的比例变化。对具有发生sCRS高危因素(基线期高肿瘤负荷、血小板减少及CAR-T细胞输注后3 d内发热)的患者须加强监护,必要时可每日检测2次血细胞计数、生化及出凝血常规等。密切监测患者液体出入量和体重变化,补充液体以静脉补液为主,建议使用带有2或3腔导管的中心静脉通路。每日2~3次根据CARTOX-10评分评估患者神经系统功能。高热患者可服用非甾体类解热镇痛药,首选对乙酰氨基酚片,并使用冰袋、冰帽及冰毯等辅助降温。因糖皮质激素可能会抑制CAR-T细胞功能,发热时尽量避免使用此类药物,但若在使用各种退热措施后仍高热持续不退,应警惕发生sCRS可能,需进一步加强观察患者生命体征变化及监测各脏器功能,对有发生sCRS高危因素的患者应尽早使用IL-6拮抗剂或激素。
补充液体容量应因人而异,对每例患者均须充分评估毛细血管渗透及肺水肿风险从而权衡液体容量复苏的利弊,并注意保持患者24 h出入量平衡。在快速补充500~1 000 ml的0.9%生理盐水后收缩压若仍低于90 mmHg,可考虑使用低剂量的血管活性加压药物治疗,去甲肾上腺素常为首选药物。对于血流动力学不稳定及需要使用血管活性加压药物治疗的低血压患者,须进行血肌钙蛋白、脑钠肽(BNP)浓度测定和心电图检查;若低血压持续或出现反复,建议进行心脏彩超检查排除左心室功能不全。
输注CAR-T细胞后可发生急性肾损伤,这一损伤往往是可逆的。肾脏血流灌注减少常常是导致肾损伤的最常见原因,血管舒张因子的产生、心输出量下降及高热消耗引起的非显性失水等因素均可引起肾血流量减少,从而造成急性肾损伤。TLS的发生及某些药物的使用等也是造成急性损伤的可能原因。CAR-T细胞输注后需每日监测24 h出入量,定期监测肾功能,根据患者的肾小球滤过率及时调整抗生素等药物的用量以避免进一步损害肾功能,尿量减少时可酌情使用利尿剂,患者若出现尿量进行性减少或者肾功能衰竭,可行血液透析。
在CRS发生时实验室可检测到患者血清转氨酶、胆红素水平的升高及低蛋白血症,因此应避免使用可能加重肝功能损伤的药物或调整使用剂量。由于在临床观察到的肝功能不全主要以胆汁淤积型肝损伤为主[20,21],因而使用丁二磺酸腺苷蛋氨酸或熊去氧胆酸等保肝药物治疗。
40%~80%的患者可出现PT延长、APTT延长、D-二聚体增加、低纤维蛋白原血症等凝血功能紊乱,这与合并存在肝功能异常、低蛋白血症有一定关系,可输注新鲜冰冻血浆及补充白蛋白;当纤维蛋白原<1.0 g/L时,可输注冷沉淀以补充纤维蛋白原。若低纤维蛋白原血症难以纠正,或进行性恶化,需警惕是否存在HLH/MAS可能,可通过检测铁蛋白浓度(铁蛋白峰值>10 000 ng/ml则高度怀疑HLH/MAS可能)或骨髓细胞涂片观察是否有噬血现象等来判断[17]。
对CRS 3~4级或满足sCRS标准的患者应密切监测患者生命体征及神志变化,由于发生sCRS的患者往往呈多脏器中重度功能障碍,而且病情进展非常迅速。因而,临床医师在对sCRS治疗过程中需一日多次完整评估和综合考虑患者各脏器的功能状态,及时用药,托珠单抗和激素是其中最重要的两类药物。另外,多学科协作诊疗在sCRS治疗过程中也是必不可少的,这可以让患者得到最合适的治疗。
作为一种重组人源化抗人IL-6受体单克隆抗体,常用于治疗风湿免疫类疾病[18,19],由于其在CAR-T细胞治疗的临床试验中可有效减轻或消除CRS毒性症状,FDA现已批准其应用于治疗CAR-T细胞输注后出现的CRS反应。由于托珠单抗的使用对CAR-T细胞体内扩增及长期疗效无明显影响[22,23],我们建议发生3级CRS或发生2级CRS的老年患者或合并其他疾病患者,应尽早使用托珠单抗,该措施最终目的是避免发生危及生命的4~5级CRS。托珠单抗起始剂量通常为8 mg/kg,输注时间为1 h,最大剂量不超过800 mg。若初次使用托珠单抗后未能改善CRS引起的临床症状,需排除其他引起临床症状恶化的原因(如TLS、败血症、肾上腺功能不全等)。在有效提供血流动力学及呼吸支持以外,可第二次使用托珠单抗或其他免疫抑制剂治疗,如糖皮质激素。
糖皮质激素因能全面抑制免疫反应也用于CRS(CRES)的治疗,但由于激素的使用可能会影响CAR-T细胞的功能及体内的有效存续[13],因此,目前糖皮质激素仅用于托珠单抗无法改善的sCRS,除糖皮质激素外,必要时可使用司妥昔单抗或依那西普等免疫抑制剂[9,12,24]。如果CRS仍无好转,可考虑抗T细胞治疗,如环磷酰胺、抗胸腺细胞球蛋白或阿仑单抗等。
本例患者在CAR-T细胞输注后第7天出现持续高热,考虑到患者有发生sCRS的高危因素,在使用各种退热措施无效后及时给予托珠单抗治疗,患者发热症状获得缓解。在患者再次出现发热,且伴有多脏器毒性时,给予第二次托珠单抗治疗。但是患者仅发热缓解,而其他临床症状进一步恶化,所以在使用托珠单抗后加用甲泼尼龙(1 mg/kg静脉滴注,每12 h 1次)治疗,患者症状得以明显改善。
评估发生CRES患者的吞咽功能,对吞咽功能减弱患者避免经口食物摄入、服药及饮水;避免使用可能抑制中枢神经系统的药物。床头升高20~30度,以尽量减少误吸风险并改善脑静脉回流,同时对患者进行全面的神经系统功能评估,如脑电图检查、眼底检查评估视乳头水肿、脑部影像学检查、行腰椎穿刺术测定颅内压等。患者若CRES症状持续,须每隔2~3 d行脑部MRI或CT检查。对于发生3级和4级CRES患者,建议转入重症监护室(ICU)治疗,以备随时给予机械通气支持。对发生非惊厥性或惊厥性癫痫持续状态的患者可参照2015年出版的《临床诊疗指南·癫痫病分册》使用苯二氮卓类药物等抗癫痫药物治疗。对发生3级以上视神经乳头水肿和(或)伴影像学支持脑水肿或颅内压增高的患者须使用甘露醇或高渗盐水降颅压治疗。除此以外,对合并CRS症状的CRES患者应给予IL-6拮抗剂治疗;对无合并CRS症状或抗IL-6治疗无效的CRES患者首选地塞米松治疗(10 mg静脉滴注,每6 h 1次);对发生4级CRES或脑水肿的患者应给予大剂量皮质类固醇治疗直至症状缓解至CRES 1级后快速减量。本例患者因为是在CRS症状缓解之后出现4级CRES,所以未再次使用托珠单抗而是选择使用大剂量地塞米松(10 mg静脉滴注,每6 h 1次),患者症状明显好转。
CAR-T细胞治疗技术的问世给众多的难治复发血液肿瘤患者带来了重生的希望,然而,我们也必须正视现阶段应用该疗法所带来的不良反应——细胞因子风暴和神经系统毒性等。CAR-T细胞治疗中出现的CRS(CRES)症状往往变化多端、错综复杂,因而,需要医护人员对免疫疗法所致的独特不良反应充分认识及精确评估,一旦出现sCRS(CRES)征兆,应及时并强力干预以减轻脏器毒性,托珠单抗和激素是其中最为关键的两类药物。CRS(CRES)管理的最终目标是在保持CAR-T细胞治疗最大疗效的同时防止可能威胁生命的CRS发生,但由于激素的使用可能影响CAR-T细胞治疗的长期疗效,如何合理运用激素或选择更合适的药物治疗sCRS还有待进一步的临床研究。





















