
总结不同类型胸部受累Castleman病(CD)的临床、影像学、病理及诊治特征,以提高临床医师对CD的认识。
回顾性分析广州医科大学附属第一医院自2009年6月至2019年5月收治入院的胸部受累CD患者30例,将其分为闭塞性细支气管炎(BO)组、不伴BO的单中心型Castleman病(UCD)组及不伴BO的多中心型Castleman病(MCD)组,分析其临床资料并总结其特征。
30例患者中,5例(16.7%)纳入BO组,18例(60.0%)纳入不伴BO的UCD组,7例(23.3%)纳入不伴BO的MCD组。不伴BO的MCD组中位年龄明显大于BO组[(49.29±5.39)岁对(27.20±3.76)岁,P=0.005]和不伴BO的UCD组[(49.29±5.39)岁对(37.17±2.87)岁,P=0.034]。胸部症状在BO组(100%)和不伴BO的MCD组(71.4%)多见,而不伴BO的UCD组无胸部症状。贫血及IgG增高仅在不伴BO的MCD组出现(发生率均为57.1%),红细胞沉降率增快及低氧血症在BO组(发生率分别为40.0%和60.0%)及不伴BO的MCD组(发生率分别为57.1%和28.6%)均可出现。BO组患者的肺功能均表现为极重度混合性通气功能障碍。胸部CT所示肺实质受累率:BO组为100%;不伴BO的MCD组为57.1%,表现为双肺弥漫性病变;不伴BO的UCD组为11.1%,表现为孤立性肺结节。不伴BO的MCD组的淋巴结短径明显小于BO组[(1.83±0.51)cm对(4.73±1.63)cm,P=0.006]和不伴BO的UCD组[(1.83±0.51)cm对(3.62±0.26)cm,P=0.011]。BO组病理类型均为透明血管型(100%),不伴BO的UCD组88.9%为透明血管型,而不伴BO的MCD组以浆细胞型为主(57.1%)。BO组患者均出现口腔溃疡,在肿物切除术后予免疫调节剂治疗,溃疡症状缓解,但肺部症状仍进行性加重。不伴BO的UCD组主要治疗方式为胸腔镜下肿物切除,不伴BO的MCD组主要治疗方式为化疗、免疫调节剂、靶向治疗等。
三组患者的年龄、临床症状、实验室检查、肺功能、影像学表现、病理类型、治疗及预后均有所不同,此分类能促进临床医师对本病的认识。
版权归中华医学会所有。
未经授权,不得转载、摘编本刊文章,不得使用本刊的版式设计。
除非特别声明,本刊刊出的所有文章不代表中华医学会和本刊编委会的观点。
Castleman病(Castleman disease,CD)又称巨大淋巴结增生症、血管滤泡性淋巴组织增生症,是一种较少见的淋巴组织增殖性疾病。按照CD的组织病理学特征可分为透明血管型、浆细胞型和混合型,依据累及范围分为单中心型CD(unicentric Castleman disease,UCD)和多中心型CD(multicentric Castleman disease,MCD)。CD可发生于任何存在淋巴组织的部位,我们收集了近10年广州医科大学附属第一医院诊治的30例胸部受累CD患者的临床资料并结合相关文献进行分析,以期提高临床医师对本病的认识。
回顾性分析广州医科大学附属第一医院2009年6月至2019年5月诊治的胸部受累CD患者30例,收集患者的临床资料,包括临床表现、实验室检查、肺功能检查、影像学、病理及治疗情况,将其分为闭塞性细支气管炎(Bronchiolitis obliterans,BO)组、不伴BO的UCD组及不伴BO的MCD组,对其临床特征进行分析和总结。
CD的病理诊断标准和分型依据1988年Frizzera诊断标准[1],根据组织病理学分为:①透明血管型:表现为淋巴滤泡增生伴大量管壁透明样变的毛细血管;②浆细胞型:表现为增生的淋巴滤泡生发中心间有大量成熟浆细胞浸润;③混合型。
CD依据受累范围可分为UCD和MCD。UCD的诊断标准:符合CD的组织病理学改变,单一部位淋巴结肿大,且多无贫血、γ球蛋白升高、红细胞沉降率增快等,排除其他可能病因,肿物切除后患者长期存活率较高。MCD诊断标准:符合CD的组织病理学改变,多处淋巴结肿大,有骨髓、肝、脾、肾、神经系统等多系统器官受累表现,且排除其他可能病因,化疗、放疗、手术仅获部分缓解。胸部受累包括:纵隔、肺门病变,肺实质病变和(或)胸膜病变。不包括:①感染所致的胸内改变;②单纯表现为胸水而无实质、纵隔、肺门病灶。
采用SPSS 22.0软件进行统计学分析,正态分布的数据采用"均值±标准差"表示,独立样本计数资料的比较采用t检验或方差分析。分类资料以"例数(百分比)"表示,采用χ2检验或Fisher确切概率法进行统计学分析。P<0.05为差异有统计学意义。
1.胸部受累CD患者30例,其中男15例,女15例,年龄18~70岁,平均年龄38.33岁,所有患者HIV阴性。按病理学类型分类:透明血管型24例(80%),浆细胞型6例(20%)。按受累范围分类:UCD 22例(73.3%),MCD 8例(26.7%)。按肺实质累及情况分类:BO样受累者5例(16.7%),非BO样肺实质受累者6例(20.0%),肺实质未受累者19例(63.3%)。不同病理类型的CD累及的范围也不同:透明细胞型以UCD为主(83.3%),而浆细胞型以MCD为主(66.7%)。透明细胞型主要表现为肺实质未受累(75.0%),其次是BO样受累(20.8%),而浆细胞型主要表现为非BO样肺实质受累(83.3%)。
2.根据胸部受累CD临床特征将其分为三组:BO组、不伴BO的UCD组及不伴BO的MCD组。三组间临床特征的差异见表1。

BO组、不伴BO的UCD组、不伴BO的MCD组胸部受累Castleman病临床特征比较
BO组、不伴BO的UCD组、不伴BO的MCD组胸部受累Castleman病临床特征比较
| 特征 | BO(5例) | 不伴BO的UCD(18例) | 不伴BO的MCD(7例) | χ2值 | P值 | |
|---|---|---|---|---|---|---|
| 病理类型[例(%)] | 6.362 | 0.025 | ||||
| 透明血管型 | 5(100.0) | 16(88.9) | 3(42.9) | |||
| 浆细胞型 | 0(0) | 2(11.1) | 4(57.1) | |||
| 性别[例(%)] | 0.472 | 1.000 | ||||
| 男 | 3(60.0) | 9(50.0) | 3(42.9) | |||
| 女 | 2(40.0) | 9(50.0) | 4(57.1) | |||
年龄(岁, ±s) | 27.20±3.76 | 37.17±2.87 | 49.29±5.39 | 4.978 | 0.014ab | |
| 胸部症状[例(%)] | 24.635 | <0.001 | ||||
| 有 | 5(100.0) | 0(0) | 5(71.4) | |||
| 无 | 0(0) | 18(100.0) | 2(28.6) | |||
| 口腔溃疡[例(%)] | 17.753 | <0.001 | ||||
| 有 | 5(100.0) | 1(5.6) | 0(0) | |||
| 无 | 0(0) | 17(94.4) | 7(100.0) | |||
| 贫血[例(%)] | 10.922 | 0.001 | ||||
| 有 | 0(0) | 0(0) | 4(57.1) | |||
| 无 | 5(100.0) | 18(100.0) | 3(42.9) | |||
| 红细胞沉降率增快[例(%)] | 11.818 | 0.002 | ||||
| 有 | 2(40.0) | 0(0) | 4(57.1) | |||
| 无 | 3(60.0) | 18(100.0) | 3(42.9) | |||
| IgG增高[例(%)] | 10.922 | 0.001 | ||||
| 有 | 0(0) | 0(0) | 4(57.1) | |||
| 无 | 5(100.0) | 18(100.0) | 3(42.9) | |||
| 低氧血症[例(%)] | 10.268 | 0.004 | ||||
| 有 | 3(60.0) | 0(0) | 2(28.6) | |||
| 无 | 2(40.0) | 18(100.0) | 5(71.4) | |||
| 极重度通气功能障碍[例(%)] | 20.962 | <0.001 | ||||
| 有 | 5(100.0) | 0(0) | 0(0) | |||
| 无 | 0(0) | 18(100.0) | 7(100.0) | |||
| 脾肿大[例(%)] | 5.406 | 0.054 | ||||
| 有 | 1(20.0) | 0(0) | 2(28.6) | |||
| 无 | 4(80.0) | 18(100.0) | 5(71.4) | |||
| 肺实质受累[例(%)] | 14.660 | <0.001 | ||||
| 有 | 5(100.0) | 2(11.1) | 4(57.1) | |||
| 无 | 0(0) | 16(88.9) | 3(42.9) | |||
淋巴结长径(cm, ±s) | 9.87±1.62 | 5.41±0.50 | 3.10±0.93 | 9.791 | 0.001abc | |
淋巴结短径(cm, ±s) | 4.73±1.63 | 3.62±0.26 | 1.83±0.51 | 5.762 | 0.010ab | |
纵隔/肺门淋巴结CT平扫值(HU, ±s) | - | 43.31±1.57 | 39.33±3.61 | 1.009 | 0.347 | |
纵隔/肺门淋巴结CT增强值(HU, ±s) | - | 107.70±6.18 | 79.00±4.34 | 3.285 | 0.005 | |
注:BO:闭塞性细支气管炎;UCD:单中心型Castleman病;MCD:多中心型Castleman病;aBO组与不伴BO的MCD组差异有统计学意义(P<0.05);b不伴BO的UCD组与不伴BO的MCD组差异有统计学意义(P<0.05);cBO组与不伴BO的UCD组差异有统计学意义(P<0.05);-:BO组仅1例肺门纵隔淋巴结肿大,故未作CT值比较;不伴BO的UCD组淋巴结长短径及淋巴结CT值取肺门或纵隔淋巴结肿大病例,共16例,不包括累及肺实质的2例
BO组共5例(16.7%),4例为UCD,1例为MCD,病理类型均为透明血管型。其中,男性3例,女性2例,平均年龄27岁(范围18~38岁)。上述5例患者临床表现均为咳嗽、气促,均合并口腔溃疡,其中1例还合并全身多发溃疡,3例确诊为副肿瘤性天疱疮(paraneoplastic pemphigus,PNP)。咳嗽、气促症状可在口腔溃疡前或后出现,4例患者在出现胸部症状1年内(5~9个月)确诊为伴BO的CD,仅1例在出现症状后3年才确诊为伴BO的CD。合并盆腔或腹腔CD患者均无腹部症状,均在溃疡和(或)咳嗽、气促的诊治过程中发现肿大淋巴结,其中1例患者在病程中出现气胸。患者血常规、球蛋白均正常,红细胞沉降率增高者2例(40%),为29~32 mm/1 h。3例(60%)合并低氧血症(2例为Ⅱ型呼吸衰竭,1例为Ⅰ型呼吸衰竭)。5例患者肺功能均为极重度混合性通气功能障碍,残气量及残总比增加。胸部CT表现为双肺透亮度不均匀增高,呼气相明显,呈马赛克样,可伴支气管壁增厚、支气管扩张、散在斑片状模糊影。2例患者为盆腔CD,2例患者为腹腔CD,1例患者为右肺门、纵隔CD。CT示BO组肿大淋巴结长径为(9.87±1.62)cm(范围7.00~12.60 cm),明显大于后两组[分别为(5.41±0.50)cm及(3.10±0.93)cm,P值分别为0.003及<0.001],短径为(4.73±1.63)cm(范围2.50~8.00 cm)。1例患者伴脾脏肿大。5例患者均在外科行肿物切除,肿物切除术后分别予糖皮质激素、沙利度胺、吗替麦考酚酯等治疗,溃疡症状均有所缓解,但肺部症状仍进行性加重。
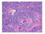
不伴BO的胸部受累UCD组共18例(60.0%),16例(88.9%)为透明血管型(图1),仅有2例(11.1%)为浆细胞型。其中,男性9例,女性9例,年龄18~63岁,平均年龄37岁,所有患者均为体检发现,无胸部症状。患者血常规、球蛋白、红细胞沉降率及血气分析均正常,15例患者肺通气功能正常,3例存在轻度限制性通气功能障碍。16例(88.9%)患者无肺实质受累:11例(61.1%)为纵隔淋巴结受累,5例(27.8%)为肺门淋巴结受累。肺实质受累仅2例(11.1%),CT表现为孤立性肺结节。胸部CT示:肺门或纵隔淋巴结(共16例)长径3.00~10.80 cm,均值为5.41 cm,短径2.00~5.90 cm,均值3.62 cm。肺门或纵隔淋巴结(共16例)平扫CT值为35~55 HU,均值为43.31 HU,10例(62.5%)密度均匀。密度不均的6例患者中,5例内见低密度灶,1例内见高密度灶,强化后的CT值为78~155 HU,均值107.70 HU,明显高于不伴BO的MCD组[(107.70±6.18)HU对(79.00±4.34)HU,P=0.005]。18例患者均不伴脾脏肿大。肺实质受累的2例行全麻胸腔镜下肺叶切除术明确病理诊断(其中1例肿物可见完整包膜,另1例无包膜),2例患者在全麻下行胸腔镜纵隔淋巴结活检术,其余14例患者均行全麻下胸腔镜肿物切除术(其中1例患者合并右上肺微浸润性腺癌,遂同时行右上肺楔形肿物切除术),其中仅有1例肿块无包膜,其余13例包膜均完整(图2)。行纵隔淋巴结活检术的2例患者,1例在病理明确后因个人原因拒绝进一步诊治,1年后复查CT病灶同前。另1例淋巴结大小为10.8 cm×5.9 cm的患者,活检后予放疗,肿物缩小至7.9 cm×4.8 cm,但随后出现了包括口腔溃疡在内的全身多发溃疡。


镜下见淋巴滤泡增生,套区增生,套区细胞靶环状排列,生发中心见玻璃样变小血管长入,组织学改变为Castleman病,透明血管型


结节状肿物,4.5 cm×3.5 cm×2 cm,表面灰红,包膜完整,切面灰红,质中
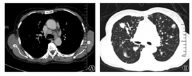
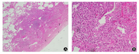
不伴BO的胸部受累MCD组共7例(23.3%),3例(42.9%)为透明血管型,4例(57.1)为浆细胞型(图3)。其中,男性3例,女性4例,年龄35~70岁,平均年龄49.29岁,明显大于前两组[分别为(27.20±3.76)岁及(37.17±2.87)岁,P值分别为0.005及0.034]。5例(71.4%)患者有胸部症状:主要症状为咳嗽(4例,占57.1%),1例伴气促,1例表现为胸痛。其余1例因发现颈部肿物就诊,1例为体检发现。2例透明血管型患者血常规正常,1例存在轻度贫血(HGB 100 g/L)。3例透明血管型患者红细胞沉降率、血清球蛋白及血气分析均正常。4例浆细胞型患者中3例存在贫血,HGB 88.0~96.0 g/L(均值为92.7 g/L);红细胞沉降率均明显增高,为104~140 mm/1 h,均值为118.7 mm/1 h;免疫球蛋白G(IgG)均增高,为22.0~176.0 g/L,均值为75.3 g/L;2例患者血气分析正常,2例患者存在轻度低氧血症,不吸氧情况下动脉血氧分压73.1~78.8 mmHg(1 mmHg=0.133 kPa)。6例患者肺通气功能正常,1例存在轻度限制性通气功能障碍。3例透明血管型患者为肺门和(或)纵隔淋巴结受累伴全身其他淋巴结[颈部、锁骨上、腋窝、腹部和(或)腹股沟]受累,4例浆细胞型患者均有肺实质受累,伴肺门和(或)纵隔淋巴结和(或)全身其他淋巴结[颈部、锁骨上、腋窝、腹部和(或)腹股沟]受累。CT显示淋巴结长径(3.10±0.93)cm,明显小于前两组[分别为(9.87±1.62)cm及(5.41±0.50)cm,P值分别为<0.001及0.036];淋巴结短径(1.83±0.51)cm,明显小于前两组[分别为(4.73±1.63)cm及(3.62±0.26)cm,P值分别为0.006及0.011]。淋巴结平扫CT值为30~49 HU,均值为39 HU,5例(71.4%)密度均匀,2例密度不匀,强化后CT值为62~92 HU,均值为79 HU(图4A)。4例肺实质受累患者表现为双肺弥漫性病变,分别表现为:①双肺间质性肺炎,双肺小叶间隔增厚,可见磨玻璃状、斑片状模糊影;②两肺弥漫分布斑点、斑片状模糊影,部分可见树芽征,部分病灶为结节状(0.2~0.3 cm),伴点状小钙化,双上肺为著,其内可见支气管气相;③双肺小叶间隔增厚,两肺可见多发大小不等磨玻璃结节影(病变最大者直径为0.84 cm),沿肺纹理分布,边缘稍模糊,可见毛刺,病变可累及斜裂胸膜;④两肺可见多发斑片状、团片状实变影(病变最大者直径为2.5 cm)及磨玻璃密度影,以实变影为主,可见支气管气相,病变可累及斜裂胸膜(图4B)。2例浆细胞型患者脾脏肿大,2例患者行颈部淋巴结活检明确诊断,2例患者行纵隔肿物切除术明确诊断(其中1例同时行锁骨上淋巴结活检),其余3例有肺实质受累的患者均行肺楔形切除术,其中1例同时行纵隔淋巴结活检。明确诊断后分别予化疗、糖皮质激素、沙利度胺、利妥昔单抗治疗,合并间质性肺炎患者同时加用吡非尼酮治疗,间质性病变有所吸收。最长随诊时间为10年,病变进展缓慢。30例胸部受累CD患者中5例患者行PET-CT检查,肿大淋巴结糖代谢增高,最大标准摄取值为3.1~5.1,均值为3.9。


A:可见结节状病灶,淋巴滤泡增生(HE染色,×40);B:可见淋巴滤泡增生,滤泡间区较多浆细胞浸润,形态成熟(HE染色,×400)


A:纵隔窗,两侧肺门、纵隔可见肿大淋巴结,最大者短径约1.5 cm;B:肺窗
CD于1956年由Castleman首次报道[2],是一类非肿瘤性淋巴组织增生性疾病,临床罕见,美国大数据显示,CD的发病率为(21~25)/100万[3]。CD可发生于任何存在淋巴组织的部位,其中胸部最常见,占60%~70%[4]。CD可发生于任何年龄段,但多见于成年人,CD的病因与发病机制目前尚不明确,相关因素包括:①病毒感染,如:人类疱疹病毒8(HHV-8)、HIV、EB病毒;②体内细胞因子调节异常,如IL-6表达增加;③血管内皮因子调节异常[5]。本研究中CD无明显的性别差异,透明血管型以UCD为主,浆细胞型以MCD为主,UCD发病率高于MCD,透明血管型多于浆细胞型,与文献报道一致[6,7],文献报道混合型少见,本研究中未发现混合型。我们的研究单独分出特征性的伴BO的CD组,BO是由小气道炎症引起的慢性气流阻塞的临床综合征,属少见病,继发于CD的更为罕见,迄今为止,国外报道了40余例继发于CD的BO患者[8,9,10];本研究结果显示,合并BO的CD病理类型均为透明血管型,多为UCD,与文献报道一致[11]。Luo等[12]报道,胸部MCD的发病年龄大于胸部UCD,我们将胸部受累CD分为三组后同样得出不伴BO的MCD组年龄明显大于BO组及不伴BO的UCD组。
目前文献报道的CD伴BO病例合并PNP,PNP是一种与自身免疫相关的获得性大疱性疾病,于1990年由Anhalt等[13]首先描述。CD是引起PNP的常见病因,研究表明,CD组织中特异性B细胞克隆能够产生特异性抗体,可识别人表皮和细支气管组织中的envoplakin和periplakin两种抗原,从而导致PNP与BO的发生[14]。本文中部分BO患者无PNP的病理依据,但其CD及BO诊断明确,反复口腔溃疡考虑为PNP可能。与Frizzera等[1]的诊断标准一致,不伴BO的MCD组贫血、IgG升高、红细胞沉降率增快的比例明显高于不伴BO的UCD组。
本研究中,胸部受累CD的CT表现主要分为4类:①肺门、纵隔淋巴结肿大型:为胸部CD的主要表现。不伴BO的UCD组的淋巴结为单发肿大,多为圆形或类圆形,包膜完整,以纵隔淋巴结肿大最为常见,且明显大于不伴BO的MCD组。后者多为纵隔肺门多发淋巴结肿大,平扫时两组CT值类似,但强化后,前者CT值明显高于后者,可能与前者以透明血管型为主、病灶内丰富的毛细血管增生、周边供血滋养动脉较多相关[15],部分病例呈不均匀强化,多表现为低密度灶,病理证实为较多平行的纤维组织及发生玻璃样变性的血管结构,并非缺血坏死[16]。McAdams等[4]认为病灶内极少发生坏死的原因可能与血供丰富、侧支循环良好及淋巴滤泡组织不易发生坏死的特征相关。而Uzunlar等[17]则认为病灶中央低密度区是由血管内皮细胞过度增生使血管闭塞、对比剂不能进入所致。②孤立性肺结节型,本研究中此类型仅见于UCD,且不伴肺门纵隔淋巴结肿大。此类型少见,最近1例报道为Haager等[18]于2016年报道的第10例孤立性肺结节型UCD,为透明细胞型。③双肺实质多发病变型,本研究中此类型仅见于MCD,均为浆细胞型,伴肺门纵隔多发淋巴结肿大,文献报道的累及肺实质MCD中,除田欣伦等[19]报道的1例为透明血管型外,其余均为浆细胞型,其表现多样,包括小叶间隔增厚及双肺多发斑点、斑片、树芽征、磨玻璃结节或团块影,可伴点状小钙化,两肺弥漫分布或沿肺纹理分布,并可累及斜裂胸膜,符合肺淋巴管的分布特点。Johkoh等[20]通过对比CT影像学与病理发现其机制为大量浆细胞在肺实质内浸润。④BO型,伴肺门纵隔淋巴结肿大或其他部位(盆腹腔)淋巴结肿大。因此,与肺实质的受累程度相对应,BO组肺功能受损明显,表现为极重度通气功能障碍,而不伴BO的胸部CD仅表现为肺通气功能正常或轻度限制性通气功能障碍。同样,BO组患者出现低氧血症的比例及程度均明显高于不伴BO的胸部CD。
治疗上,MCD是一种潜在的恶性淋巴增生性疾病,病变广泛,大多具有侵袭性,手术切除比较困难,且易复发,预后差,不推荐手术切除。治疗包括:①化疗,尚无统一方案,多基于非霍奇金淋巴瘤的治疗经验选择;②免疫调节剂治疗,包括糖皮质激素、干扰素-α、全反式维甲酸(ATRA)及沙利度胺(具有抑制IL-6表达和抗血管生成的作用)等;③靶向治疗,包括抗IL-6或抗IL-6受体单克隆抗体及利妥昔单抗,抗IL-6单克隆抗体siltuximab于2014年4月23日获美国食品药品监督管理局批准上市,用于治疗HIV及HHV-8阴性的MCD,但目前尚未在中国上市,而利妥昔单抗用于HIV阴性或阳性患者均有完全缓解的报道[21,22];④自体造血干细胞移植、抗HHV-8治疗、高效抗逆转录病毒疗法、硼替佐米等治疗方法在少数患者治疗过程中取得了一定的效果,但仍需进一步研究证实。与MCD不同,UCD预后好,多呈惰性进展,经手术切除或局部放疗多可获得完全缓解和长期生存[23],手术切除后10年无病生存率为95%[24]。自1999年Sica等[25]首先成功应用胸腔镜切除CD以来,随着胸腔镜技术的进展,目前胸腔镜切除已是胸部UCD的主要治疗方法,我院胸部UCD患者的肿物切除术均在胸腔镜下进行。Bowne等[26]报道过l例未手术UCD患者,随访76个月,带瘤存活。因此,UCD患者即使不行手术切除,其预后可能依然良好,但如合并BO,预后明显下降。手术切除肿瘤病灶、免疫调节治疗虽可减轻皮肤黏膜症状,但呼吸系统病变往往难于纠正、持续进展,最终导致呼吸衰竭。甄俊锋等[27]总结了23例UCD合并PNP及BO的病例,中位生存时间为36个月。目前CD合并BO尚无特效疗法,大多主张激素治疗,文献报道1例CD合并PNP及BO的患者行肺移植手术,术后随访5个月,未见排异反应和BO复发[28]。但肺移植本身即为BO发病原因,合并PNP病史的肺移植患者BO再发的风险是否更高,尚需多的临床观察和研究。对于CD合并间质性肺炎,在CD治疗基础上加用吡非尼酮治疗,间质性肺炎有所吸收,目前尚无其他文献报道。
综上所述,胸部受累CD临床表现不典型,表现多样,易漏诊、误诊,病理学及免疫组化为此病最主要诊断依据。我们将胸部受累CD分为BO组、不伴BO的UCD组及不伴BO的MCD组,其年龄、临床表现、实验室检查、肺功能、影像学表现、病理类型、治疗及预后均有所不同,此分类能促进临床医师对本病的认识。

±s)
±s)
±s)
±s)
±s)



















