
版权归中华医学会所有。
未经授权,不得转载、摘编本刊文章,不得使用本刊的版式设计。
除非特别声明,本刊刊出的所有文章不代表中华医学会和本刊编委会的观点。
先天性无巨核细胞血小板减少症(congenital amegakaryocytic thrombocytopenia, CAMT)是一种罕见的遗传性骨髓衰竭综合征,主要表现为新生儿或婴儿期单纯性血小板减少、骨髓巨核细胞减少或缺失,并在儿童期进展为骨髓衰竭,MPL基因突变为其致病原因[1]。国内对该病报道较少,现报告1例诊断为CAMT且合并升结肠及回盲部炎性病变的病例,并进行相关文献复习。
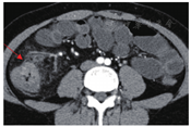
患者女性,24岁,因"全血细胞减少13年、腹痛、腹泻1年余"于2018年6月就诊。患者2005年(11岁)因鼻出血发现全血细胞减少,血常规示WBC 3.7×109/L、HGB 70 g/L、PLT 30×109/L,诊断"再生障碍性贫血",予泼尼松、环孢素A、雄激素、静脉丙种球蛋白治疗,效果均不佳,监测血常规示WBC (2~5)×109/L,HGB 60~90 g/L,PLT (10~20)×109/L,逐渐出现输血依赖,期间环孢素A联合雄激素治疗约10年,2016年停药。2016年外周血染色体断裂试验示染色体断裂异常(丝裂霉素C 50 ng/ml刺激下断裂率26%),彗星试验示骨髓细胞DNA存在损伤(彗星细胞率18%)。2017年1月无明显诱因反复发生右下腹痛、腹泻,间断排少量暗红色血便,伴间断发热,血常规示WBC 3.73×109/L、HGB 38 g/L、PLT 5×109/L、网织红细胞1.72%;粪便潜血阳性;铁蛋白3 185 μg/L(参考值14~307 μg/L),C反应蛋白67 mg/L(参考值<8 mg/L),肝肾功正常;抗核抗体、抗可溶性核抗原(ENA)阴性,CD55、CD59表达100%。骨髓涂片:增生减低,粒红比1.19∶1,淋巴细胞比例增高,全片共见巨核细胞2个,为成熟无血小板形成巨核细胞,骨髓小粒以非造血细胞为主。骨髓活检:骨髓增生极度低下,脂肪细胞增生,巨核细胞少见。染色体核型:46,XX[20]。血液系统疾病基因突变筛查:IL7R S105N突变,JAK2 E890K突变。腹部增强CT:升结肠、盲肠、回肠末端及阑尾病变,肠系膜淋巴结肿大。因血细胞减少明显加重但肠道病变性质不明无法行移植造血干细胞,2017年1月再次开始予以环孢素A 150 mg/d、达那唑0.6 g/d治疗;予抗生素治疗后患者腹痛、发热好转,但仍反复出现。2017年11月及2018年1月两次行结肠镜检查:升结肠可见巨大环周增殖性病变,表面长10 cm、累及回盲瓣、质硬巨大溃疡(图1);活检病理:肠黏膜显重度急性及慢性炎症,淋巴组织高度增生,伴溃疡及肉芽组织形成,考虑为不典型淋巴组织增生性疾病;免疫组化:CD20(+),CD3(+),CD10(-),PAX-5(+),CD 79a(+),Bcl2(+),Ki-67(局灶40%+);IgH、IgK基因克隆性重排阴性。2018年1月PET-CT(图2):回盲部及邻近升结肠壁厚,局部代谢增高(SUV值11.5)。为进一步诊治于2018年4月就诊于我院。既往史:反复输注红细胞、血小板。个人史:患者出生时左小腿、左足皮肤松弛、淤青,随生长发育出现左小腿较右侧粗、足各脚趾较右侧粗短,智力发育正常。家族史:父母体健,胞姐1周岁时诊断再生障碍性贫血,2岁时夭折,胞弟体健。




查体:身高167 cm,左足各脚趾较右侧粗短,左小腿较右侧粗;贫血貌,皮肤未见瘀点、瘀斑,全身浅表淋巴结未触及肿大,腹部无压痛、反跳痛,肝脾肋缘下未触及。外周血高通量基因二代测序发现MPL基因复合杂合突变(表1、图3)。2018年4月加用沙利度胺100 mg/d口服,并继续间断输血支持、重组人粒细胞集落刺激因子(G-CSF)、重组人血小板生成素(TPO)、重组人红细胞生成素(EPO)治疗。患者未再出现便血,偶有腹痛,因白细胞低间断有发热,粪便潜血持续阳性。2018年8月血常规:WBC 2.48×109/L,中性粒细胞绝对值0.68×109/L,HGB 69 g/L,PLT 14×109/L。PPD试验及淋巴细胞干扰素试验阴性。腹盆增强CT+小肠重建:升结肠肠壁弥漫增厚伴异常强化,符合淋巴瘤表现,邻近肠系膜区多发淋巴结(图4)。结肠镜:回盲部局部可见溃疡型病变,周围黏膜纠集、结节感,较前明显减轻,回盲部结构破坏、变形(图5);活检病理:结肠黏膜急性及慢性炎症伴肉芽组织形成;免疫组化:AE1/AE3(上皮+),CD3(散在+),CD20(散在+),CD31(血管+),CD68(散在+),Ki-67(index 5%)。原位杂交:CMV ISH(-),EBER ISH(-)。肠道病变随访2年余,3次活检病理不符合淋巴瘤诊断,沙利度胺治疗后好转,临床诊断为肠白塞病。2019年7月在外院行父供女单倍型造血干细胞移植,移植后1个月粒细胞植活,但并发出血性膀胱炎,输血、输血小板依赖,2019年11月死亡,未行尸检。


A:患者MPL基因杂合突变c.127C>T(胞嘧啶>胸腺嘧啶),导致氨基酸改变p.R43*(精氨酸>终止),来自于患者父亲;B:患者MPL基因杂合突变c.23T>C(胸腺嘧啶>胞嘧啶),导致氨基酸改变p.M8T(甲硫氨酸>苏氨酸),c.23T>G(胸腺嘧啶>腺嘌呤),导致氨基酸改变p.M8R(甲硫氨酸>精氨酸),其中c.23T>G来自于患者母亲





患者及家系MPL基因检测结果
患者及家系MPL基因检测结果
| 突变信息 | 患者 | 患者父亲 | 患者母亲 | 患者弟弟 |
|---|---|---|---|---|
| c.127C>T | 杂合突变 | 杂合突变 | 无突变 | 无突变 |
| c.23T>C | 杂合突变 | 无突变 | 无突变 | 无突变 |
| c.23T>G | 杂合突变 | 无突变 | 杂合突变 | 无突变 |
遗传性骨髓衰竭综合征是一组罕见的先天性疾病,其中最为常见的Fanconi贫血发病率估算为(1~2)/10万[2,3],CAMT尤为罕见。在1项多中心队列研究中,40年间共纳入127例先天性骨髓衰竭患者,CAMT仅8例,占6%[4]。CAMT的临床特点为新生儿、婴儿期单纯性血小板减少,骨髓巨核细胞减少或缺失,随后在儿童期发展为骨髓衰竭,其进展为全血细胞减少的中位年龄为39月龄[1,5]。与Fanconi贫血不同,CAMT患者通常没有特征性的躯体畸形[1],但存在个别CAMT患者合并心脏间隔缺损、斜视[6]、集合系统重复畸形、面容异常[7,8]。本例患者存在左足趾粗短及左小腿增粗畸形。
CAMT是一种排除性诊断,存在先天性低或无巨核细胞血小板减少,并能够排除其他遗传性骨髓衰竭综合征的特征性表现,即可诊断为CAMT[9]。CAMT大多由MPL基因突变所引起,呈常染色体隐性遗传,纯合、复合杂合突变均可致病[10,11]。MPL基因编码血小板生成素受体,有635个氨基酸,由信号肽、胞外细胞因子受体结构域、跨膜区、胞内结构域组成。TPO除了在巨核细胞生成及成熟、血小板生成中发挥作用,其在红系、髓系早期前体细胞以及多能造血干细胞的发育中也至关重要[12]。1997年Muraoka等[13]发现CAMT患者骨髓细胞中MPL mRNA下降且对TPO的反应存在缺陷,1999年Ihara等[14]发现1例CAMT患者中MPL表达水平下降,并证实了MPL基因突变的存在,此后诸多研究已证实MPL基因纯合或复合杂合突变可导致TPO受体相应结构域结构及功能的缺失或异常,从而显著影响骨髓巨核系、粒系、红系的增殖。MPL基因位于染色体1p34,编码12个外显子[15],CAMT中MPL基因突变现已发现40余种,60%位于第2、3外显子,纯合突变约占60%,复合杂合突变约占40%,突变类型包括外显子的无义突变、错义突变、移码突变、内含子剪切位点突变等[1,16]。本例患者在MPL基因外显子区域发现三处杂合突变,一处位于外显子2,为cDNA第127位的胞嘧啶被胸腺嘧啶替换(c.127C>T),来源于其父,导致第43位氨基酸由精氨酸变为终止合成,相应的TPO受体几乎全部胞外结构域、全部跨膜区及胞内结构域不能合成,并已被报道为致病突变,且因是终止突变,故对TPO受体蛋白的影响较大,血小板减低的程度重且进展为全血细胞减少的时间较早[10]。另外两处突变位于第1外显子,为cDNA第23位的胸腺嘧啶替换为胞嘧啶(c.23T>C)导致甲硫氨酸替换为苏氨酸、胸腺嘧啶替换为腺嘌呤(c.23T>G)导致甲硫氨酸替换为精氨酸,其中c.23T>G位点的杂合突变来自于其母。且高通量基因二代测序未发现其他先天性骨髓衰竭综合征的基因异常。CAMT中MPL基因位于第1外显子的突变此前仅有1例纯合无义突变的报道[17],本例患者第1外显子的两种突变位点均为首次报道。第1外显子编码信号肽,检索NCBI数据库未发现c.23位点处单核苷酸多态性,GenoAD数据库亦未检索到正常人携带c.23T>G、c.23T>C突变基因频率的报道,故尽管根据ACMG指南该突变位点目前分类为临床意义未明的突变、Mutationtaster等生物学预测软件评分未提示致病性,但结合患者临床表现及家系验证的结果,考虑为致病突变的可能性较大,从而导致复合杂合突变致病。
免疫抑制治疗在CAMT等遗传性骨髓衰竭综合征中无效,异基因造血干细胞移植(allo-HSCT)是唯一的根治性手段,在2011年的1项研究中,36例CAMT患者HSCT后26例(72%)无病存活[1]。但妨碍本例患者进行移植、甚至可能明显缩短患者生存期的问题为肠道病变,升结肠及回盲部肠壁增厚、溃疡,PET/CT提示局部高代谢,活检病理提示不典型淋巴增殖性病变,高度怀疑淋巴瘤。
遗传性骨髓衰竭综合征患者罹患急性髓系白血病(AML)、骨髓增生异常综合征(MDS)、实体肿瘤的概率增加,且实体肿瘤的发病年龄也明显早于正常人群[18],其中Fanconi贫血患者与正常人群相比,AML发病风险升高了700倍,MDS则升高了6 000倍,机制与DNA修复功能受损、染色体不稳定有关[19,20]。但目前缺乏足够的证据表明这种现象也存在于CAMT患者中[20,21],亦尚无合并肠道淋巴瘤的报道。再生障碍性贫血合并淋巴瘤的报道则多为allo-HSCT后淋巴增殖性疾病,免疫抑制治疗后发生淋巴瘤则罕见,曾报道2例青年男性重型再生障碍性贫血患者以ATG及环孢素A治疗6~8个月后发生B细胞非霍奇金淋巴瘤(1例病灶位于升结肠,以肠梗阻起病;另1例位于小肠,以肠套叠起病)[22]。本例患者在严重全血细胞减少、血小板显著低下的情况下,输注血小板、红细胞后行3次肠镜检查,病理活检均未证实为淋巴瘤,在2018年8月第3次复查肠镜时病程已接近2年,局部病变不仅未进展,而且在应用沙利度胺治疗后病变范围缩小,不支持淋巴瘤诊断。检查结果也排除了肠结核感染。因此,考虑肠道病变为炎症性病变(白塞病、克罗恩病等),综合患者临床表现及结肠镜检查特点,临床诊断为肠白塞病可能性大。但该患者严重血细胞减少,暂无条件行肠切除活检明确诊断。
文献中未发现CAMT与白塞病存在相关性。肠白塞病可见于MDS,常伴染色体+8[23],合并再生障碍性贫血罕见。韩国一组回顾性研究报道了13例白塞病合并骨髓衰竭性疾病,其中8例为MDS,5例为再生障碍性贫血,合并MDS或再生障碍性贫血的白塞病患者肠道病变发生率明显高于无骨髓衰竭性疾病的患者(61.5%对13.6%),肠道病变似乎是与骨髓衰竭性疾病相关白塞病的一个特征性表现[24]。本例患者无肠道恶性病变的证据,考虑肠白塞病可能性大。患者先天性骨髓衰竭仅有HSCT能治愈,文献报道MDS合并白塞病的患者更多地受益于针对MDS的治疗方法,而非针对白塞病的免疫抑制剂[23],且HSCT治疗血液病后白塞病也随之缓解[24]。遗憾的是,本例患者allo-HSCT后未能重建造血,患者死亡。
综上所述,本例患者为罕见的CAMT合并升结肠及回盲部炎性病变,检出MPL基因复合杂合突变,其中位于第1外显子的c.23T>C和c.23T>G突变均为首次报道。诊治过程中最大的困扰为肠道病变性质不明,严重全血细胞减少阻碍有创检查的实施,观察随访2年余,排除淋巴瘤,诊断肠白塞病可能大。





















