
探究新型Ⅰ类和Ⅱb类选择性组蛋白去乙酰化酶(HDAC)抑制剂甲磺酸普依司他(PM)对弥漫大B细胞淋巴瘤的体外抑制活性及作用机制。
MTT法检测PM对细胞增殖的影响,流式细胞术检测PM对细胞周期、细胞凋亡的影响,Western blot法检测HDAC底物乙酰化水平、细胞周期蛋白、凋亡相关蛋白和癌基因蛋白的表达。
PM对淋巴瘤细胞株SUDHL-4和SUDHL-6的增殖具有明显抑制作用,能够上调HDAC底物H3、H4和α-tubulin乙酰化水平。在细胞周期实验中,PM可诱导SUDHL-4、SUDHL-6细胞G0/G1期阻滞,Western blot显示PM能显著下调细胞周期蛋白依赖性激酶Cdk2、Cdk4、Cdk6及细胞周期蛋白Cyclin D1、Cyclin E的表达,上调CDK抑制蛋白p21的表达。在细胞凋亡实验中,PM可诱导SUDHL-4和SUDHL-6细胞凋亡,Western blot显示PM通过激活Caspase3激酶和影响抗凋亡蛋白Bcl-2促进细胞内源性凋亡。此外,PM也能够下调癌基因标志蛋白MYC、IKZF1、IKZF3的表达。
PM在体外对弥漫大B细胞淋巴瘤包括双打击淋巴瘤具有高效的生物活性,为PM应用于临床治疗提供了有价值的实验依据。
版权归中华医学会所有。
未经授权,不得转载、摘编本刊文章,不得使用本刊的版式设计。
除非特别声明,本刊刊出的所有文章不代表中华医学会和本刊编委会的观点。
弥漫大B细胞淋巴瘤(DLBCL)是最常见的淋巴瘤亚型,我国每年约3万新发病例,占所有淋巴瘤的30%~40%[1,2]。在利妥昔单抗时代,一线免疫化疗后仍有40%~50%的患者治疗后出现疾病难治或复发[3],复发或难治患者预后较差,通过挽救性化疗或自体造血干细胞移植治疗,仅10%的患者能最终治愈[4,5,6,7,8,9]。其中部分病例涉及MYC、BCL2和(或)BCL6基因重排,被称为双打击淋巴瘤(DHL)或三打击淋巴瘤(THL)。DHL在DLBCL中所占比例虽不超过12%[10],但侵袭性强,常规化疗预后极差,目前尚无标准治疗方案。因此,DLBCL包括DHL在治疗方面仍存在未满足的需求,迫切需要开发新型靶向药物和创新性疗法。
组蛋白去乙酰化酶(histone deacetylase,HDAC)是表观遗传学领域用于肿瘤临床研究最成功的一类靶点,共分为Ⅰ、Ⅱ、Ⅲ、Ⅳ四类,研究表明,在血液系统肿瘤中常发生HDAC Ⅰ类和Ⅱ类酶的过表达或失调[11]。靶向抑制HDAC的活性可抑制肿瘤细胞增殖分化、抑制肿瘤迁移或促进肿瘤细胞凋亡等[12]。目前全球已有5个HDAC抑制剂获批上市[13,14],其中4个适应证均为复发难治性外周T细胞淋巴瘤,1个获批用于复发难治性多发性骨髓瘤的联合治疗,多数为非选择型的HDAC泛抑制剂,常见的脱靶效应导致药物不良反应较多。新型Ⅰ类和Ⅱb类选择性HDAC抑制剂甲磺酸普依司他(purinostat mesylate,PM)2018年11月获国家药品监督管理局批准,目前正在四川大学华西医院开展Ⅰ期临床试验(CXHL1800174),获批的适应证为复发或难治的以B细胞相关肿瘤为主的血液系统肿瘤。为探讨PM在DLBCL包括DHL中的潜在临床应用价值,我们进行了如下初步研究。
PM由四川大学生物治疗国家重点实验室提供,批号PMF20170901;纯度:98.67%;含量95.80%。帕比司他(LBH589)购自大连美仑公司。一抗Ac-α-tublin购自美国Santa Cruz Biotechnology公司,Bcl-2购自美国Sigma-Aldrich公司,c-Myc、IKZF1购自英国Abcam公司,Ac-H3、Ac-H4、Cleaved caspase3、PARP-1、IKZF3购自成都正能生物技术有限责任公司,p21、Cdk2、Cdk4、Cdk6、CyclinD1、CyclinE购自美国Cell Signaling Technology公司。GAPDH、鼠抗人β-actin单克隆抗体,HRP标记羊抗兔和羊抗鼠二抗购自北京中杉金桥生物技术有限公司。膜联蛋白V(Annexin V)/碘化丙锭(PI)双染试剂盒、PI及RNase均购自大连美仑公司。
人DLBCL细胞株SUDHL-4、SUDHL-6(DHL亚型)来自美国典型培养物保藏中心(American Type Culture Collection,ATCC),由四川大学生物治疗国家重点实验室细胞库培养保种。细胞培养于含10%胎牛血清、100 U/ml青霉素和100 mg/L链霉素的RPMI 1640培养液中,在37 ℃、5%CO2、饱和湿度的恒温培养箱中培养,定期传代,取对数生长期细胞用于实验。
选用对数生长期的肿瘤细胞,将细胞按(1~2)×104个/100 μl接种于96孔板中,按浓度梯度加入PM或LBH589(1 000、200、40、8、1.6、0.32、0.064 nmol/L),对照孔加入等体积稀释相同比例的DMSO溶液,置于37 ℃、5%CO2、饱和湿度培养箱中培养至72 h,每孔加入20 μl的MTT溶液,在培养箱孵育4 h后每孔加入MTT溶解液100 μl,次日用酶标仪测定570 nm处的吸光值,采用Graphpad prism 5.0软件计算细胞增殖抑制率,拟合半抑制浓度(IC50)值。
收集不同浓度PM(0.25、0.5、1 nmol/L)处理24 h后的细胞悬液,500×g离心3 min,PBS洗涤细胞2次,70%冰乙醇固定,加PI染液避光染色约10 min后进行流式细胞术检测,流式细胞术结果采用ModFit软件进行细胞群体各周期比例分析。
收集不同浓度药物处理48 h后的细胞悬液,500×g离心3 min,PBS洗涤细胞2次。加结合缓冲液(binding buffer)重悬细胞后,每个流式管中加入5 µl体积的Annexin Ⅴ染液,室温下避光染色10 min,再加入5 µl的PI染料染色,避光放置,1 h内上流式细胞仪检测。
分别收集药物处理组及未处理组细胞,加入细胞裂解液混匀后冰上裂解30 min,离心收集上清,BCA法检测蛋白浓度,然后进行SDS-聚丙烯酰胺凝胶电泳后转膜至PVDF膜,50 g/L脱脂牛奶室温封闭2 h,一抗4 ℃孵育过夜,次日洗涤后加入相应二抗共孵育1 h,洗涤后进行X光胶片显影,采用Image J分析软件进行灰度扫描。
采用Graphpad Prism 6.0软件进行数据分析,多组数据间比较采用单因素方差分析(ANOVA),采用tukey的多组比对分析法进一步分析特定两组之间差异的显著性。两组数据间比较采用t检验,P<0.05为差异有统计学意义,实验数据以平均值±标准差表示。
PM对DLBCL细胞株SUDHL-4和SUDHL-6(DHL亚型)具有明显抑制作用,与同类药物LBH589相比,其IC50值分别为(0.333±0.279)nmol/L对(3.431±0.588)nmol/L和(0.557±0.195)nmol/L对(4.005±0.372)nmol/L(实验重复3次)。进一步对SUDHL-4、SUDHL-6进行化合物的细胞毒活性分析,测定药物作用72 h后发挥细胞毒活性的半数致死量(LD50)值,结果显示,与LBH589相比,PM对SUDHL-4、SUDHL-6细胞株具有明显细胞毒性,其LD50值分别为(2.733±0.561)nmol/L对(17.140±0.580)nmol/L和(1.278±0.198)nmol/L对(9.718±0.540)nmol/L(实验重复3次)。
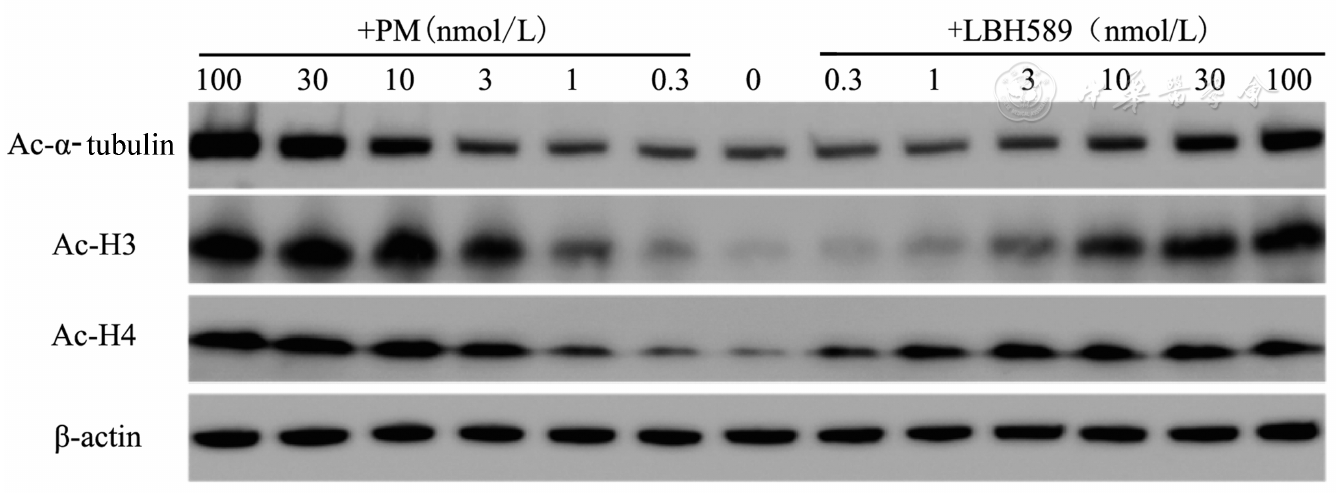
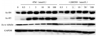
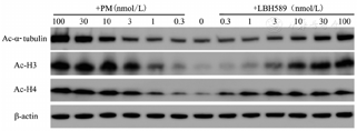
组蛋白H3、H4作为HDAC Ⅰ类酶的底物,其乙酰化状态(Ac-H3、Ac-H4)可用来衡量HDAC Ⅰ类酶活性;微管蛋白α-tubulin是HDAC6的特异性底物,其乙酰化的状态(Ac-α-tubulin)常用来衡量HDAC Ⅱb类酶活性。在SUDHL-4和SUDHL-6细胞中加入设定浓度的PM处理6 h后收集细胞提取蛋白,Western blot法检测标志性蛋白Ac-H3、Ac-H4和Ac-α-tubulin的表达情况。结果显示,对于SUDHL-4细胞,0.3~1 nmol/L浓度的PM就可明显诱导组蛋白H3或H4乙酰化水平升高,30~100 nmol/L浓度可明显诱导α-tubulin乙酰化水平升高(图1)。在SUDHL-6细胞中也得到类似的结果,0.3~1 nmol/L浓度的PM可明显诱导组蛋白H3或H4乙酰化水平升高,3~10 nmol/L浓度可明显诱导α-tubulin乙酰化水平升高(图2)。细胞实验结果显示了PM对HDAC Ⅰ类和Ⅱb类的高抑制活性,与同类上市药物LBH589比较,PM对HDAC Ⅰ类的抑制活性明显优于LBH589。


PM:甲磺酸普依司他;LBH589:帕比司他


PM:甲磺酸普依司他;LBH589:帕比司他
不同浓度(0.25、0.5、1 nmol/L)的PM处理SUDHL-4、SUDHL-6细胞24 h,70%乙醇固定后行PI染色,流式细胞仪进行细胞周期分析。结果显示,PM可诱导SUDHL-4、SUDHL-6细胞G0/G1期阻滞,且呈剂量依赖性(图3)。0.5 nmol/L的PM能显著诱导SUDHL-4和SUDHL-6细胞G0/G1期阻滞,G0/G1期细胞所占比例分别为64.89%、74.04%,而溶剂对照组G0/G1期细胞所占比例分别为46.92%、54.81%。


PM:甲磺酸普依司他
通过Western blot研究G0/G1期相关细胞周期蛋白及细胞周期蛋白依赖性激酶(CDKs)抑制剂p21的表达。结果显示,PM能显著下调细胞周期蛋白依赖性激酶Cdk2、Cdk4、Cdk6及细胞周期蛋白Cyclin D1、Cyclin E的表达,浓度依赖地上调CDK抑制蛋白p21的表达(图4)。


用不同浓度(0.3、3、30 nmol/L)的PM处理SUDHL-4、SUDHL-6细胞48 h后,流式细胞术分析细胞凋亡情况。结果显示,30 nmol/L的PM能明显引起SUDHL-4、SUDHL-6细胞凋亡,凋亡细胞所占比例分别为93.40%、93.60%;溶剂对照组凋亡细胞所占比例分别为5.73%、2.06%,远低于药物作用组(图5)。


PM按照设定浓度处理SUDHL-4和SUDHL-6细胞48 h,Western blot法检测其凋亡蛋白的表达情况。结果显示,PM处理SUDHL-4和SUDHL-6细胞48 h后,Cleaved-Caspase3和PARP-1表达上调,说明PM激活了Caspase3激酶。此外抗凋亡蛋白Bcl-2表达下调,表明PM能诱导SUDHL-4和SUDHL-6细胞发生内源性凋亡(图6)。


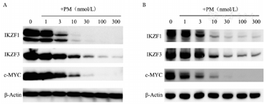
以设定浓度的PM处理SUDHL-4和SUDHL-6细胞24 h后,收集细胞提取蛋白,Western blot法检测癌基因标志性蛋白MYC、IKZF1和IKZF3的表达情况。结果显示,PM能够浓度依赖性地下调SUDHL-4和SUDHL-6细胞MYC、IKZF1、IKZF3的表达(图7)。


近年来,HDAC在肿瘤中的作用受到广泛关注,HDAC的功能为催化组蛋白及部分非组蛋白赖氨酸残基的去乙酰化,在细胞内的表观遗传和转录后修饰中发挥重要作用[15,16]。研究发现,在肿瘤细胞中常发生HDAC高表达,导致表观遗传失控和胞质内重要功能蛋白失调[11]。HDAC抑制剂能够通过恢复组蛋白的乙酰化水平激活抑癌基因,并通过诱导多种胞质蛋白乙酰化抑制肿瘤细胞增殖,促使肿瘤细胞凋亡[12]。研究表明,HDAC中Ⅰ类和Ⅱ类与肿瘤关系密切,Ⅱ类又分为Ⅱa和Ⅱb,其中Ⅱa类和Ⅳ类酶与细胞运动、细胞能量代谢、机体免疫调节等功能密切相关[17]。目前全球已有5个HDAC抑制剂获批上市[13,14],中国仅有1个HDAC抑制剂获批上市,其中3款为HDAC泛抑制剂,因存在对Ⅱa和Ⅳ类酶的抑制而导致药物不良反应较多,LBH589可能引起严重心脏毒性和严重腹泻。设计合成HDAC Ⅰ类和Ⅱb类高选择性抑制剂可以降低HDAC抑制剂治疗肿瘤的不良反应。PM是高选择性Ⅰ类和Ⅱb类HDAC抑制剂,且酶抑制活性优于LBH589,可避免对Ⅱa和Ⅳ亚型抑制引起的毒性。
DLBCL是最常见的B细胞淋巴瘤亚型,我国每年新增淋巴瘤患者约10万人,其中DLBCL约占三分之一[1,2]。在利妥昔单抗时代,常规免疫化疗后40%~50%的患者出现难治或复发[3]。复发或难治性患者预后较差,通过传统挽救性化疗或自体造血干细胞移植治疗后,仅约10%患者能最终治愈[4,5,6,7,8,9]。复发或难治性DLBCL常为特殊亚型或存在预后不良因素,其中部分病例涉及由于MYC、BCL2和(或)BCL6基因重排导致的MYC、BCL2和(或)BCL6过表达,这类亚型被2017年WHO淋巴瘤第4版修订版分类正式命名为高级别B细胞淋巴瘤伴MYC、BCL2和(或)BCL6重排[18],俗称DHL或THL,该类型淋巴瘤中癌基因MYC、BCL和(或)BCL6高度活化,侵袭性高,生存率低,目前尚无标准治疗方案,尽管进行强化联合化疗(RTX+Hyper-CVAD、RTX+DA-EPOCH等)甚至自体造血干细胞移植,中位总生存期仅1~2年[19,20,21]。因此,DLBCL包括DHL在治疗方面仍存在未满足的需求,迫切需要开发新型靶向药物和创新性疗法以提高疾病治愈率,改善疾病治疗现状。
我们的体外实验表明,PM对DLBCL包括DHL细胞系具有很强的抗增殖活性和细胞毒性,并优于同类药物LBH589。PM能够上调DLBCL和DHL细胞系组蛋白H3、H4和α-tubulin的乙酰化水平,诱导发生G0/G1期周期阻滞从而抑制淋巴瘤细胞增殖,以浓度依赖的方式诱导淋巴瘤细胞凋亡。Western blot显示PM可能通过影响CDK-Cyclin复合物活性诱导细胞G0/G1期阻滞,并通过激活Caspase3激酶和影响抗凋亡蛋白Bcl-2促进细胞内源性凋亡。
MYC蛋白过表达会导致细胞过度增殖、凋亡抑制、代谢重组等促肿瘤效应[22]。最常观察到的导致MYC蛋白过表达的原因为MYC基因重排,在DHL和少数DLBCL病例中,MYC重排是一个决定性特征,此外,MYC基因扩增在2%~20%的DLBCL病例中被观察到[23,24]。因此,MYC可作为DLBCL和DHL治疗的潜在靶点。IKZF1和IKZF3属于Ikaros转录因子家族,是参与B细胞分化的转录因子,在针对肿瘤的研究中发现,敲除B细胞淋巴瘤的IKZF1和IKZF3能抑制肿瘤细胞生长,说明B细胞淋巴瘤的发生发展可能与IKZF1/3的失调有关[25,26]。因此,通过干预IKZF1、IKZF3或MYC可能具有治疗B细胞淋巴瘤的潜力。我们的研究结果表明,PM能够浓度依赖性地下调DLBCL和DHL细胞系MYC、IKZF1、IKZF3的表达。
综上所述,本研究结果表明PM在体外对DLBCL包括DHL均具有高效的生物活性,具有治疗DLBCL包括DHL的潜力,为PM应用于临床治疗提供了有价值的实验依据。
所有作者声明不存在利益冲突

























