
总结血液病患者肺孢子菌肺炎(PJP)的初始肺CT影像特征。
回顾性分析2014年1月至2021年12月在中国医学科学院血液病医院诊断为PJP的46例血液病患者的临床及影像资料。所有患者均行多次胸部CT及相关实验室检查,依据初始肺CT表现进行影像分型,并分析不同临床特征分组下的不同影像分型分布。
46例患者中,男33例,女13例,中位年龄37.5(2~65)岁。肺泡灌洗液(BALF)六胺银染色确诊11例、临床诊断35例,临床诊断患者中16例经BALF宏基因组二代测序(BALF-mNGS)诊断、19例经外周血宏基因组二代测序(PB-mNGS)诊断。初始胸部CT表现分为4型,包括磨玻璃型25例(56.5%)、结节型10例(21.7%)、纤维化型4例(8.7%)、混合型5例(13.0%)。确诊、BALF-mNGS诊断和PB-mNGS诊断患者的CT类型构成比差异无统计学意义(χ2=11.039,P=0.087)。确诊患者和PB-mNGS诊断患者CT表现以磨玻璃型为主(63.6%、73.7%),BALF-mNGS诊断的患者CT表现以结节型为主,占37.5%。63.0%(29/46)的患者外周血淋巴细胞减少,25.6%(10/39)血清G试验阳性,77.1%(27/35)血清LDH水平升高。不同CT类型患者的外周血淋巴细胞减少率、G试验阳性率和LDH升高率的差异均无统计学意义(P值均>0.05)。
血液病患者PJP初始肺CT表现多样,以两肺多发磨玻璃影多见,结节型与纤维化型也是PJP初始CT表现。
版权归中华医学会所有。
未经授权,不得转载、摘编本刊文章,不得使用本刊的版式设计。
除非特别声明,本刊刊出的所有文章不代表中华医学会和本刊编委会的观点。
肺孢子菌肺炎(PJP)为恶性血液病患者常见的肺部感染性疾病,多发病急骤、病情严重,如得不到及时有效治疗病死率高(30%~59%),异基因造血干细胞移植(allo-HSCT)受者的病死率则更高,达48%~70%[1]。PJP临床主要表现为发热、呼吸困难等,但缺乏特异性指标。既往研究[2,3,4]显示PJP的影像学特征主要表现为双肺弥漫分布的磨玻璃影,具有一定特异性,有助于早期诊断和治疗。但其研究对象主要为非血液系统疾病患者,结论是否适用于血液病患者尚不明确。少数文献[1,5]报道血液病患者合并PJP肺CT表现复杂多样。因此,本研究拟通过分析我院血液病患者合并PJP的胸部CT表现,探讨其初始CT特征,现报道如下。
回顾性分析我院2014年1月至2021年12月间诊断为PJP的患者临床及影像资料,其中病原学证据明确的患者46例,男33例、女13例,中位年龄37.5(2~65)岁。46例患者中allo-HSCT患者19例,原发病包括急性淋巴细胞白血病(ALL)8例、急性髓系白血病(AML)4例、骨髓增生异常综合征(MDS)4例、再生障碍性贫血(AA)2例、慢性髓性白血病(CML)1例;诊断为PJP的中位时间为+189(+135~+555)d。非移植患者27例,原发病包括非霍奇金淋巴瘤(NHL)9例、ALL 8例、AML 6例、AA 2例、多发性骨髓瘤(MM)1例、自身免疫性溶血性贫血(AIHA)1例。
所有患者均行胸部CT检查。46例患者中27例行支气管镜检查,肺泡灌洗液(BALF)行六胺银染色及宏基因组二代测序(mNGS),19例行外周血mNGS(PB-mNGS)检测。其他相关实验室检查包括血常规、G试验及LDH检测。
参考已发表的PJP研究结果[6,7]制定诊断标准,本研究分为确诊和临床诊断,确诊标准:肺组织标本、BALF或痰液经六胺银染色,显微镜检出肺孢子菌包囊。临床诊断为未行六胺银染色或六胺银染色阴性,但需同时符合以下条件:①血液病患者经化疗或免疫抑制治疗后,或allo-HSCT后;②伴有呼吸困难、发热、干咳或胸闷等症状;③具有肺炎影像学表现;④BALF-mNGS或PB-mNGS检出肺孢子菌DNA片段;⑤抗PJP治疗有效。
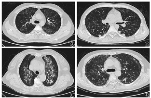
采用飞利浦Ingenuity 64排128层螺旋CT机,管电压120 kV,管电流200 mA,准直64×0.625 mm,矩阵512×512,扫描范围自肺尖至肺底,于深吸气末屏气扫描,层厚5 mm,间隔5 mm。肺窗窗宽1 000 Hu,窗位-700 Hu;纵隔窗窗宽400 Hu,窗位45 Hu。根据初始CT肺窗表现对所有患者进行归纳分型,共分为4种类型:①磨玻璃型:表现为两肺内中带弥漫分布的磨玻璃影,胸膜下区不受累(图1A);②结节型:表现为肺内多发小结节影,包括间质结节、小叶中心结节及树芽征(图1B);③纤维化型:表现为肺内多发索条影、支气管轻度牵拉扩张,部分可伴有肺实变(图1C);④混合型:表现为多种影像征象并存,包括磨玻璃影、小结节及索条影共存(图1D)。


应用SPSS 22.0软件进行统计分析,分类资料以例数(构成比)进行统计描述,采用校正的卡方检验或Fisher精确概率法进行差异性分析,P<0.05为差异有统计学意义。
46例患者中,发热37例(其中3例同时伴咳嗽、3例伴胸闷、3例伴呼吸困难),胸闷6例,咳嗽3例。
27例接受支气管镜检查的患者中,11例BALF六胺银染色阳性,为确诊患者;16例BALF六胺银染色阴性但BALF-mNGS检出肺孢子菌DNA,为临床诊断患者。19例未行气管镜检查的患者经PB-mNGS检出肺孢子菌DNA,结合临床表现、影像特征、实验室检查及治疗转归综合诊断为PJP。8例患者BALF-mNGS同时检出多种病原体,其中3例检出CMV;16例患者PB-mNGS同时检出多种病原体,其中13例检出CMV。检测结果及治疗方案详见表1。mNGS检出CMV的患者,经PCR复核拷贝数均<1 000/ml。

35例临床诊断肺孢子菌肺炎(PJP)的血液病患者支气管镜肺泡灌洗液及外周血mNGS病原体检测结果及治疗方案
35例临床诊断肺孢子菌肺炎(PJP)的血液病患者支气管镜肺泡灌洗液及外周血mNGS病原体检测结果及治疗方案
| 例号 | 标本来源 | 病原体 | PJ序列数 | 抗感染方案 |
|---|---|---|---|---|
| 1 | BALF | PJ | 26 716 | SMZ+MEM+LNZ |
| 2 | BALF | PJ+RV | 321 | SMZ+CAS |
| 3 | BALF | PJ+HHV7 | 3 086 | SMZ+CAS |
| 4 | BALF | PJ | 1 250 | SMZ+PIS |
| 5 | BALF | PJ+CMV | 20 980 | SMZ+CAS+MP+PFD |
| 6 | BALF | PJ | 12 496 | SMZ+CAS+CSL+DEX |
| 7 | BALF | PJ | 735 | SMZ+CAS |
| 8 | BALF | PJ+TTV | 412 | SMZ+IPM+LNZ+VOR |
| 9 | BALF | PJ+CMV | 50 916 | SMZ+CAS+MFX+MP |
| 10 | BALF | PJ | 360 | SMZ+MP |
| 11 | BALF | PJ+EBV+CMV+TTV+PA | 37 | SMZ+CAS+CZA+LNZ+MEM+VOR |
| 12 | BALF | PJ | 231 | SMZ |
| 13 | BALF | PJ | 119 | SMZ+PIS+LNZ+VOR |
| 14 | BALF | PJ+PA | 138 | CAS+FEP |
| 15 | BALF | PJ+PY | 5 | SMZ+CAS+MEM+VAN |
| 16 | BALF | PJ | 71 299 | SMZ+CAS+MP |
| 17 | PB | PJ+CMV | 1 | SMZ |
| 18 | PB | PJ | 18 | SMZ+MEM+Posaconazole+AMB |
| 19 | PB | PJ+CMV | 14 | SMZ+CAS+MEM+LNZ |
| 20 | PB | PJ+CMV+Rhizopus | 25 | SMZ+CAS+Posaconazole+MFX+TGC |
| 21 | PB | PJ+CMV | 12 | CAS+LNZ+IPM |
| 22 | PB | PJ | 20 | CAS+MP |
| 23 | PB | PJ+CMV+HSV2 | 55 | SMZ+Micafungin+CSL |
| 24 | PB | PJ+CMV | 2 | SMZ+CAS+MEM+LNZ+MP |
| 25 | PB | PJ+CMV | 175 | CAS+MEM+LNZ+VOR |
| 26 | PB | PJ+CMV | 1 | SMZ+CAS+MEM+Foscarnet |
| 27 | PB | PJ+CMV | 7 | SMZ+TGC+VOR+Foscarnet |
| 28 | PB | PJ | 2 | SMZ+CAS+MEM+Posaconazole |
| 29 | PB | PJ+CMV | 1 | CAS+CZA+TGC+VAN+Posaconazole |
| 30 | PB | PJ+TTV+HSV1+BKV | 25 | SMZ+CAS+MEM |
| 31 | PB | PJ+CMV+TTV | 1 | SMZ+CAS+MP |
| 32 | PB | PJ+HHV6 | 6 | SMZ+VOR+MEM+CSL+VOR |
| 33 | PB | PJ+CMV | 10 | SMZ+CAS+MFX+VOR |
| 34 | PB | PJ+BKV+EBV+CMV | 99 | SMZ+CAS+MEM+VOR+AMB+GCV+LNZ |
| 35 | PB | PJ+BKV | 249 | SMZ+CAS+MP |
注 mNGS:宏基因组二代测序;BALF:肺泡灌洗液;PB:外周血;PJ:肺孢子菌;RV:鼻病毒;HHV:人类疱疹病毒;CMV:巨细胞病毒;TTV:细环病毒;EBV:EB病毒;PA:铜绿假单胞菌;PY:多瘤病毒;Rhizopus:根霉菌;HSV:单纯疱疹病毒;BKV:BK病毒;SMZ:复方磺胺甲
唑;MEM:美罗培南;LNZ:利奈唑胺;CAS:卡泊芬净;PIS:哌拉西林他唑巴坦;MP:甲泼尼龙;PFD:吡非尼酮;CSL:头孢哌酮舒巴坦;DEX:地塞米松;IPM:亚胺培南;VOR:伏立康唑;CZA:头孢他啶阿维巴坦;FEP:头孢吡肟;VAN:万古霉素;Posaconazole:泊沙康唑;AMB:两性霉素B;MFX:莫西沙星;TGC:替加环素;Micafungin:米卡芬净;Foscarnet:磷甲酸;GCV:更昔洛韦
46例患者全部行血常规检查,29例(63.0%)外周血淋巴细胞减少(<0.8×109/L);39例患者进行了G试验,10例(25.6%)G试验阳性(>95 ng/L);35例患者检测了血清LDH水平,27例(77.1%)LDH增高(>248 U/L);其中G试验和LDH双阳性者6例、双阴性者5例。46例患者全部行血浆白蛋白检测,其中30例(65.2%)白蛋白水平降低(<35 g/L)。
46例患者初始胸部CT检查均可见异常,磨玻璃型26例(56.5%)、结节型10例(21.7%)、纤维化型4例(8.7%)、混合型6例(13.0%)。确诊、PB-mNGS诊断和BALF-mNGS诊断患者的CT类型分布见表2,差异无统计学意义(χ2=11.039,P=0.087)。确诊患者和PB-mNGS诊断患者均以磨玻璃型表现为主,分别占63.6%、73.7%,而BALF-mNGS诊断组CT表现以结节型居多,占37.5%,磨玻璃型占31.3%。19例allo-HSCT受者和27例非移植患者在CT类型差异亦无统计学意义(χ2=5.847,P=0.119),均以磨玻璃型表现为主,分别占57.9%、55.6%(表2)。不同CT类型患者的外周血淋巴细胞减少率、G试验阳性率和LDH升高率的差异均无统计学意义(表2)。

PJP不同诊断依据、是否移植及实验室检查分组与CT表现征象分型的分布特征[例(%)]
PJP不同诊断依据、是否移植及实验室检查分组与CT表现征象分型的分布特征[例(%)]
| 分组 | 例数 | 磨玻璃型 | 结节型 | 纤维化型 | 混合型 | χ2值 | P值 |
|---|---|---|---|---|---|---|---|
| 诊断依据 | 11.039 | 0.087 | |||||
| 确诊 | 11 | 7(63.6) | 1(9.1) | 2(18.2) | 1(9.1) | ||
| BALF-mNGS诊断 | 16 | 5(31.3) | 6(37.5) | 2(12.5) | 3(18.8) | ||
| PB-mNGS诊断 | 19 | 14(73.7) | 3(15.8) | 0(0.0) | 2(10.5) | ||
| 是否移植 | 5.847 | 0.119 | |||||
| 移植 | 19 | 11(57.9) | 6(31.6) | 0(0.0) | 2(10.5) | ||
| 非移植 | 27 | 15(55.6) | 4(14.8) | 4(14.8) | 4(14.8) | ||
| 是否淋巴细胞减少 | 1.985 | 0.575 | |||||
| 是 | 29 | 15(51.7) | 8(27.6) | 2(6.9) | 4(13.8) | ||
| 否 | 17 | 11(64.7) | 2(11.8) | 2(11.8) | 2(11.8) | ||
| G试验 | 6.168 | 0.104 | |||||
| 阳性 | 10 | 8(80.0) | 0(0.0) | 1(10.0) | 1(10.0) | ||
| 阴性 | 36 | 18(50.0) | 10(27.8) | 3(8.3) | 5(13.9) | ||
| 是否LDH升高 | 4.677 | 0.197 | |||||
| 是 | 27 | 18(66.7) | 4(14.8) | 3(11.1) | 2(7.4) | ||
| 否 | 19 | 8(42.1) | 6(31.6) | 1(5.3) | 4(21.1) |
注 PJP:肺孢子菌肺炎;BALF:肺泡灌洗液;PB:外周血;mNGS:宏基因组二代测序;淋巴细胞减少:外周血淋巴细胞绝对计数<0.8×109/L;G试验:(1,3)-β-D-葡聚糖试验,>95 ng/L定义为阳性;LDH升高:LDH>248 U/L
46例患者中12例伴有胸腔积液,其中11例为低蛋白血症;无胸腔积液的34例患者中19例为低蛋白血症,合并胸腔积液患者的低蛋白血症比例明显高于无胸腔积液者(91.7%对55.9%,Fisher,P=0.035)。
46例患者中,1例患者病变持续进展,最终死于呼吸衰竭;2例患者放弃治疗(经电话随访确认死亡);其余43例患者经抗PJP治疗后均完全康复。肺部CT显示病变大部分消失,仅少数遗留纤维索条影。
免疫抑制宿主合并PJP其CT多表现为肺门周围分布的磨玻璃影、胸膜下区一般不受累[8],少数可表现为单发或多发结节、树芽征、实变、空洞、纵隔淋巴结增大和胸腔积液等[1, 9,10,11,12]。本组结果显示,血液病患者合并PJP最常见(56.5%)的CT表现为两肺弥漫多发磨玻璃影,与文献报道相符。但与既往研究不同的是,本组病例中21.7%的患者CT为表现为多发结节,这部分患者多数(60%)经BALF-mNGS检测获得病原学结果。此外另有13.0%和8.7%的患者CT表现为混合型和纤维化型,12例(26.1%)患者伴有胸腔积液。
既往研究指出PJP患者CT表现为肺小叶中心结节、边界不清的磨玻璃结节和实变影多为PJP合并CMV感染所致[13];本组CT表现为结节型的患者中2例经PB-mNGS检出CMV-NDA,但经PCR复核拷贝数均<1 000/ml,抗PJP治疗后痊愈,因此我们认为结节型可能与CMV并不直接相关。李喆等[14]发现慢性肾病合并PJP患者CMV血症阳性率较高,但CMV并未加重肺部损伤和炎症反应,而是导致免疫系统损伤更重,我们的病例与之有相似之处。此外,有学者将结节型PJP称为肉芽肿型PJP,认为是由于抗PJP治疗不充分所致[15];但本组10例均为初诊患者,后经抗PJP治疗痊愈。因此,结节型可能是血液病合并PJP初始肺CT的独特表现之一,需引起临床重视。牟向东等[16]认为纤维化是PJP晚期表现,但本组4例患者初诊即表现为纤维化型,且本组6例患者表现为混合型,经抗PJP治疗后肺内病灶均逐渐消散。因此,对于血液病合并PJP,纤维化型并不完全提示终末期改变,仍需积极治疗以争取良好结局。本组12例患者伴有胸腔积液,其中91.7%的患者存在低蛋白血症,这与既往研究[17]相符,即胸腔积液可能是低蛋白血症或者合并其他感染所致。
血液病患者合并PJP的CT表现复杂多样,对临床高度怀疑而肺部影像表现为非磨玻璃型的患者,不能轻易排除PJP的可能。应结合患者基础病、临床表现、实验室检查及CT表现综合诊断,有条件的患者需尽早进行病原学检测明确诊断。本组结果显示六胺银染色确诊患者与BALF-mNGS和(或)PB-mNGS检出病原体的患者相比,CT表现类型差异无统计学意义。提示对于非磨玻璃型CT表现的患者,多种方式可获得病原学结果,对于难以行支气管镜检查的患者,PB-mNGS检测对诊断也有重要的参考价值。
本组患者原发病包括ALL、AML、NHL、MDS、AA、CML、AIHA、MM,其中19例接受allo-HSCT、27例接受化疗或免疫抑制治疗,疾病谱和治疗方案与文献报道基本相符;Mansharamani等[18]研究显示PJP患者外周血淋巴细胞减少较为明显,尤以CD4+淋巴细胞减少为著,约91%的患者外周血CD4+淋巴细胞计数小于300/μl。由于本研究为回顾性分析,大部分患者在诊断为PJP时未行淋巴细胞亚群检测,结果显示63%的患者外周血淋巴细胞计数减少,以磨玻璃型和结节型为主;而外周血淋巴细胞计数正常的患者,以磨玻璃型为主。推测不同CT表现可能与淋巴细胞介导的免疫反应有一定关系[3],即随着细胞免疫功能的减弱,肺部CT表现趋于多样化,提示对于具有罹患PJP高危因素而肺部CT表现为结节型、纤维化型和混合型的患者,不能完全除外PJP的诊断,需尽可能取得病原学证据。
此外,既往研究[19,20]显示G试验和LDH可作为PJP诊断的参考指标,但本组结果显示G试验阳性率仅为21.7%,明显低于上述文献报道;而LDH增高率为58.7%,与上述文献基本相符。研究认为G试验的阴性预测值可高达96%,低于80 ng/L几乎可以排除PJP[21],但这些观点大部分是基于对非血液病患者的研究得出。我们的结果提示,血液病合并PJP的患者G试验阳性率偏低,一方面可能与入组病例选择偏倚有关,另一方面提示G实验对于血液病患者合并PJP的诊断价值有待于进一步研究,在临床工作中还需要重视LDH增高的诊断价值。其原因可能与血液病患者PJP菌量负荷较低有关[22],也可能与检测试剂不同有关。然而,即使是采用80 ng/L作为cut-off值,本组也仅有16例(34.8%)患者G试验阳性。Mikulska等[23]对血液病患者G试验诊断效能进行荟萃分析发现,与其他患者群体比较恶性血液病患者合并PJP后G试验敏感性较低。Jiang等[24]针对国人非HIV免疫损伤患者合并PJP的研究显示,G试验的敏感度仅为67.4%,而mNGS的敏感度可达100.0%,且血液与BALF标本的mNGS检测一致性达100.0%。因此,mNGS对于血液病患者合并PJP的诊断具有重要的提示价值,尤其是不能行支气管镜检查的患者,PB-mNGS检测更突显其独特的临床价值,可能的机制是肺感染时孢子菌核酸入血能够被核酸测序识别[25]。但对于mNGS是否能够鉴别PJP定植和感染尚无确切结论,有待于深入研究。
综上,本研究提示G试验阳性、LDH增高、肺CT以磨玻璃型表现为主对血液病患者合并PJP的诊断有重要提示价值。但本组病例数目相对较少,结果和结论可能存在偏倚,有待于大样本研究进一步探索。
所有作者声明无利益冲突





















