
长期石棉暴露可导致间皮瘤、肺癌等多种疾病的发生,但石棉致恶性腹膜间皮瘤同时合并肺癌的案例极为罕见。本文通过对2018年浙江省肿瘤医院收治的1例恶性腹膜间皮瘤合并肺癌患者的临床资料进行回顾性分析,探讨恶性腹膜间皮瘤合并肺癌患者的临床特点及诊疗方法,以提高人们对该病的认识。
版权归中华医学会所有。
未经授权,不得转载、摘编本刊文章,不得使用本刊的版式设计。
除非特别声明,本刊刊出的所有文章不代表中华医学会和本刊编委会的观点。
恶性腹膜间皮瘤(malignant peritoneal mesothelioma,MPM)是一种起源于腹膜间皮细胞的高侵袭性肿瘤,临床预后较差。5%长期密切接触石棉的人群可发展为恶性间皮瘤[1],常以胸膜间皮瘤为主,腹膜恶性间皮瘤且合并肺癌的患者临床罕见。现将我院2018年收治的1例石棉致MPM合并肺癌病例,报告如下。
患者女,67岁,于1980年至2003年在某石棉工厂车间内从事织绳、织布工作,期间密切接触石棉纤维(23年)。脱离石棉环境15年后发病,同工种工人中已有多人诊断为恶性间皮瘤。
患者2018年5月无明显诱因下出现下腹隐痛,无发热盗汗,无异常阴道流液等不适。于2018年6月20日就诊于当地医院,入院后查CA 125:168.3 U/ml,血常规、生化结果无明显异常。CT检查结果示:大网膜、腹膜增厚浑浊,伴腹水形成(见图1)。2018年7月6日PET-CT结果示:腹腔内大网膜及肠系膜饼状,双附件区增厚,FDG代谢增高,腹盆腔积液,后腹膜、肠系膜间多发小淋巴结。当地医院初诊断为卵巢恶性肿瘤。


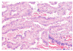
2018年8月8日患者为进一步治疗来我院就诊,入院后查体:T 37.1 ℃、P 101次/min、R 19次/min、Bp 122/73 mmHg,心肺未见异常,腹部稍膨隆,未触及包块,无压痛反跳痛,移动性浊音阳性,神经系统检查未见异常。实验室检查:白细胞8.1×109/L,血红蛋白119 g/L,血小板402×109/L。患者于2018年8月14日在全麻下行卵巢癌根治术,术中查见:大网膜挛缩呈饼状,大小约15 cm×10 cm×4 cm;小网膜、胃表面多发颗粒状肿瘤,部分浸润胃壁肌层;双侧结肠旁沟、小肠系膜、腹壁腹膜散在粟粒样结节;双侧卵巢肿瘤,大小约3 cm×1 cm×1 cm,与直肠前壁分界不清,双侧输卵管挛缩。术后病理结果显示:左、右卵巢表面,腹膜内见恶性肿瘤,结合形态及免疫组化,符合上皮样恶性间皮瘤(图2)。免疫组化结果:CR/Calretinin(+)、D2-40(+)、WT-1(+)、CK5/6(部分+)、CEA(-)、Napsin A(-)、Ki-67(+,30%)、CK7(+)、ER(-)、PR(-)、P53(部分+)、P16(-)、PAX2(-)、Bob.1(-)、PLAP(-)、Ber-EP4(-)、HBME-1(+)、EMA(-)、PAX-8(-)。术后予以6周期培美曲塞+卡铂辅助化疗。


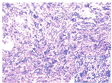
患者2019年5月29日胸部CT检查发现右肺下叶占位,大小约2.26 cm×2.13 cm(图3)。经我院MDT团队讨论,综合病史,首先考虑患者为肺部第二原发肿瘤,全面评估后认为患者具有手术指征。遂于2019年7月3日在全麻下行右肺癌根治术(右下肺切除+系统性淋巴结清扫术)。术后病理结果示:(右下)肺结节型(瘤体2 cm×2 cm×1.8 cm)浸润性腺癌(腺泡为主型,部分区呈乳头状生长),淋巴结阴性(见图4)。术后分期为pT1bN0M0 Ⅰ期。免疫组化:ROS1(-)、c-Met(++,约占60%)、NapsinA(+)、TTF-1(+)、CK5/6(-)、P40(-)、P63(少量+)、CK7(+)。目前患者定期复查,疾病基本维持稳定。




MPM为临床罕见疾病,发病率约为1~2/100万,发病年龄通常为40~65岁[2]。石棉是其公认的高危致病因素,多项研究均表明[3,4],长期职业性石棉暴露可导致间皮瘤、肺癌、喉癌等多种肿瘤的发生,但同时合并MPM和肺癌的案例极为罕见。
MPM起病隐匿,常表现为腹胀、腹痛、体重减轻等症状,因其临床表现缺乏特异性,常易误诊。该患者入院诊断为卵巢恶性肿瘤,分析其误诊原因:(1)患者为老年女性,为卵巢癌的高发人群;(2)主要临床表现为下腹部隐痛、腹胀,缺乏特异性;(3)肿瘤标记物CA125明显升高,影像学表现为双附件区网膜增厚,FDG代谢增高,腹盆腔积液,鉴别诊断困难。目前MPM确诊仍需依靠病理诊断。Cal、WT-1、CK5/6和D2-40是诊断MPM的阳性免疫组化标记物,CEA、ER、Moc31、Ber-Ep4是重要的阴性免疫组化标记物,需要至少有2个间皮瘤指标阳性和2个其他鉴别肿瘤指标阴性才能建立MPM的诊断[6,7]。
肿瘤细胞减灭术联合腹腔热灌注化疗是目前MPM的有效治疗方法,患者生存期为29.5~92个月,5年生存率为39%~63%[8,9,10]。除部分携带有遗传突变的患者可获得较长PFS外,其术后复发率为35%,60天内死亡率为6%[11],因此术前应仔细评估患者的疾病情况,严格掌握手术指征。本例患者通过行肿瘤细胞减灭术联合术后辅助化疗,腹部病灶控制良好。
肺癌的发病风险随石棉暴露量的增加呈现上升趋势[12],但与间皮瘤不同,研究认为及时中止石棉接触后,可降低石棉暴露人群的肺癌发生率[13]。因此,严格控制石棉的生产使用,是减少石棉致肺癌的有效措施。该患者于MPM术后9月余复查发现右肺下叶占位病灶,结合患者石棉暴露史和临床表现,排除转移可能后,首先考虑为石棉所致原发肺癌,经多学科会诊全面评估后,认为患者具有手术指征,肺部病灶予以手术切除。目前患者定期复查,疾病稳定。
综上所述,石棉暴露可导致间皮瘤、肺癌等多种肿瘤的发生,且起病隐匿,容易漏诊误诊。因此,需严格控制石棉的生产和使用,减少相关肿瘤的发生。
所有作者均声明不存在利益冲突





















