
为提高临床对虫螨腈中毒的重视,探讨虫螨腈中毒的诊断救治策略。本文收集河北医科大学第二医院急诊科接诊虫螨腈中毒患者4例和文献复习病例4例,总结国内含虫螨腈成分农药中毒病例的临床特点,并结合接诊病例临床资料进行归纳分析。8例虫螨腈中毒患者中死亡7例,呼吸道和消化道途径暴露虫螨腈均呈高致死性;发热、多汗、肌酶升高和进行性加重的中枢神经损害是其突出的临床特点;暴露初始症状多不严重,部分患者尤其暴露剂量低者,经或不经临床诊治存在一个相对稳定阶段,一旦出现大汗、明显发热、意识障碍则病情迅速恶化,呼吸循环衰竭并可导致死亡。随着产能和市场投放增加,人群暴露虫螨腈机会增多,迫切需要加强虫螨腈中毒的基础和临床研究;应当重视中毒初始稳定阶段的观察治疗,同为氧化磷酸化解偶联毒剂(五氯酚钠)中毒的救治方法有借鉴意义。
版权归中华医学会所有。
未经授权,不得转载、摘编本刊文章,不得使用本刊的版式设计。
除非特别声明,本刊刊出的所有文章不代表中华医学会和本刊编委会的观点。
杀虫剂是农业生产中主要应用的农药,其中有机磷杀虫剂占主导地位,但随着高毒、剧毒有机磷杀虫农药的禁用,新型杀虫剂不断出现。虫螨腈又名溴虫腈(chlorfenapyr),是新型吡咯类化合物,具有良好杀虫、杀螨效果且作用持久[1];虫螨腈应用日益广泛,临床中毒致死事件也不断增加,但其高致死性并不为临床医师所知,应引起临床尤其急诊医师高度警觉。我们对收治的4例虫螨腈中毒死亡病例进行分析并结合文献复习,分析其致死性临床特点,探讨救治策略,以供借鉴。
自2019年10月至2020年11月,我院急诊科共接诊4例虫螨腈中毒患者(简称本组病例),口服中毒2例,其中1例为混配农药甲维·虫螨腈中毒;另2例为呼吸道吸收,资料如下。
病例1 患者女,50岁,因"口服甲维·虫螨腈6 d"于2019年10月19日19:35入院。患者6 d前口服甲维·虫螨腈约60 ml(12%悬浮液),诉头晕,伴恶心、呕吐,就诊于当地医院,毒物分析(服药后1 d):血液中检出阿维菌素成分(甲维盐)3.5 μmol/L、虫螨腈成分2.1 μmol/L。给予对症补液治疗,5 d前患者出现阵发性意识不清伴多汗,收入我科进一步诊治。既往抑郁、高血压3年。入院体格检查:T 38.3 ℃,P 90次/min,R 19次/min,BP 121/81 mmHg,意识清,多汗,余未见明显阳性体征。辅助检查:血常规:白细胞计数(WBC)8.1×109/L,中性粒细胞比例(NEUT%)79.1%,余正常;凝血常规未见明显异常;生化全项:肌红蛋白(MYO)1 810 ng/ml,肌酸激酶(CK)1 960.0 U/L,肌酸激酶同工酶(CKMB)49.0 U/L,丙氨酸氨基转移酶(ALT)47.7 U/L,天门冬氨酸氨基转移酶(AST)95.0 U/L,余未见明显异常。血气分析[吸入气中氧浓度分数(FiO2):33%]:pH 7.34,动脉血二氧化碳分压(PCO2)42.6 mmHg,动脉血氧分压(PO2)78 mmHg,总血红蛋白量(tHb)18.7 g/dl,乳酸(Lac)2.5 mmol/L。入院给予补液、营养神经、保护脏器功能及血液灌流(HP)等支持治疗,患者意识不清进行性加重,2019年10月20日13:02进入深昏迷状态,体温进行性升高达40 ℃,R 30次/min,HR 184次/min,血氧饱和度(SPO2)下降达89%,BP自主维持在120/70 mmHg;给予气管插管,呼吸机辅助通气,SPO2上升至96%,并继续给予控制HR、药物降温、补液等综合治疗,体温仍无下降,于当日13:05 HR下降至84次/min,BP下降至75/43 mmHg,应用去甲肾上腺素无反应,随后心跳停止,给予规范心肺复苏1 h,患者死亡出院。
病例2 患者男,50岁,因"吸入粉状虫螨腈后周身乏力7 d,呼吸急促3 d"于2020年3月25日12:35就诊。患者7 d前车间劳动过程中吸入粉状虫螨腈(具体剂量不详),当时无明显不适,0.5 d后出现周身出汗,轻度发热,伴四肢无力,偶有胸闷、气短,未予诊治。患者3 d前出现呼吸急促,发热、多汗加重,就诊于当地医院,给予对症处理,未见明显改善,遂来就诊。既往体健,无药物过敏史。入院体格检查:T 38.1 ℃,P 92次/min,R 26次/min,BP 104/67 mmHg,嗜睡,多汗,双侧瞳孔直径约3 mm,对光反射灵敏,双肺呼吸音粗,余未见明显阳性体征。入院辅助检查:血常规:WBC 9.5×109/L,NEUT% 84.0%,余正常;凝血常规未见明显异常;生化全项:MYO 547 ng/ml,CK 1 590.0 U/L,乳酸脱氢酶(LDH)333.0 U/L,ALT 84 U/L,余正常;血气分析(FiO2:29%):pH 7.38,PCO2 32.6 mmHg,PO2 75 mmHg,tHb 13.8 g/dl,Lac 2.3 mmol/L。入院给予补液、营养神经、保护脏器功能、抗感染、降温等综合治疗。患者意识障碍进行性加重,疼痛刺激无反应,于2020年3月26日13:50体温高达41 ℃,HR 156次/min,SPO2下降至93%,14:15出现下颌式呼吸(8次/min),随后HR、BP下降,给予气管插管呼吸机辅助通气、升压药维持BP后无改善,14:18给予患者规范心肺复苏1 h,抢救无效死亡。
病例3 患者男,38岁,因"头晕、乏力、出汗3 d,意识不清伴发热6 h"于2020年11月25日16:12就诊。患者3 d前无明显诱因出现头晕、乏力、多汗症状,未予特殊治疗,头晕无缓解,6 h前患者出现嗜睡,伴发热,体温38.8 ℃,无发冷、寒战,就诊于当地医院,对症退热治疗,未见明显好转,意识不清加重,呼之不应,遂来就诊。既往体健,否认药物过敏史,已在虫螨腈生产车间工作1个月,工友称4 d前吸入虫螨腈粉剂,当日精神不振,出汗。入院体格检查:T 39.5 ℃,P 123次/min,R 23次/min,BP 130/69 mmHg,浅昏迷,多汗,双侧瞳孔直径约4 mm,对光反射消失,余未见明显阳性体征。入院辅助检查:血常规:WBC 6.8×109/L,NEUT% 82.3%,余正常;凝血常规未见明显异常;生化常规:MYO 1 136 ng/ml,CK 5 945 U/L,LDH 350 U/L,ALT 189 U/L,余未见明显异常;血气分析(FiO2:37%):pH 7.31,PCO2 33.6 mmHg,PO2 69 mmHg,tHb 13.0 g/dl,Lac 2.8 mmol/L。入院给予抗感染、脱水降颅压、降温等综合治疗,患者体温始终维持在40 ℃,于16:40进入深昏迷,双侧瞳孔散大固定,对光反射消失,疼痛刺激无反应,SPO2进行性下降90%以下,立即气管插管呼吸机纯氧辅助通气,SPO2达93%,HR仍进行性减慢,BP测不出,随后心跳停止,立即给予持续胸外心脏按压,肾上腺素间断静脉注射,给予碳酸氢钠纠正酸中毒,抢救约4 h,患者最终死亡。
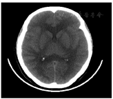
病例4 患者女,32岁,因"口服虫螨腈20 d,头痛头晕7 d,嗜睡1 d"于2020年11月26日18:05就诊。患者20 d前口服虫螨腈约5 ml(10%悬浮液),未诉不适,未行洗胃、导泻,当地诊所输液(具体药物不详)治疗1 d。7 d前出现头痛伴恶心、呕吐、多汗,到当地医院就诊,体温偏高(具体不详)、多汗,行颅脑MR示两侧脑组织大面积对称性斑片状肿胀,小脑扁桃体下疝;予以脱水、营养脑细胞、抗病毒药物治疗,1 d前患者出现嗜睡转诊我院。入院体格检查:T 38.1℃,P 98次/min,R 20次/min,BP 128/90 mmHg,嗜睡,多汗,双侧瞳孔直径约3 mm,对光反射迟钝;心肺腹未见明显异常,四肢肌4级,双侧Babinski征(-)。入院辅助检查:脑电图示广泛轻度异常,血常规、凝血常规、心电图未见明显异常;生化常规:MYO 346 ng/ml,CK3 762 U/L,CKMB 57 U/L,LDH 266 U/L,余未见明显异常;血气分析(FiO2:37%):pH 7.35,PCO2 35.6 mmHg,PO2 86 mmHg,tHb 14.2 g/dl,Lac 2.1 mmol/L。给予吸氧、脱水降颅压等综合治疗,入院后症状逐渐加重,2020年11月27日3:00出现昏迷,体温40.1 ℃,给予药物及冰毯物理降温无效,于6:00出现呼吸浅快、血氧饱和度下降,给予气管插管呼吸机辅助通气,升压药维持BP,呼吸机支持下复查颅脑CT示两侧诸脑沟、裂及脑池变窄/消失,脑室系统明显变窄,提示脑组织弥漫性肿胀(图1)。2020年11月27日14:05体温高达41.8 ℃,双侧瞳孔散大固定,对光反射消失,BP下降,随后心跳停止,拒绝医院心肺复苏出院。


分别以"虫螨腈"和"溴虫腈"为检索词,检索中国知网、万方医学和维普网站,截止日期2021年1月1日,国内共报道4例(简称报道病例)[2,3,4,5]。结合本组病例4例,将8例总结归纳。见表1。

虫螨腈中毒病例的临床表现及预后特点
虫螨腈中毒病例的临床表现及预后特点
| 病例 | 农药名称、接触途径和剂量 | 暴露至出现症状时间 | 临床表现 | ||||
|---|---|---|---|---|---|---|---|
| 初始症状 | 消化道症状 | 肝肾功能 | 心血管系统 | 体温及大汗 | |||
| 本组1 | 甲维·虫螨腈(口服80 g) | 立即 | 头晕、恶心、呕吐、阵发性意识不清 | 恶心、呕吐 | 基本正常 | CK、MYO进行性升高 | 大汗、发热 |
| 本组2 | 虫螨腈(呼吸道) | 1d内 | 头晕、乏力 | 无 | 基本正常 | CK、MYO进行性升高 | 大汗、发热 |
| 本组3 | 虫螨腈(呼吸道) | 1d内 | 头晕、乏力 | 无 | 基本正常 | CK、MYO进行性升高 | 大汗、发热 |
| 本组4 | 虫螨腈(口服5 ml) | 13 d | 头晕、头痛、恶心 | 恶心 | 正常 | CK、MYO进行性升高 | 大汗、发热 |
| 报道1 | 甲维·虫螨腈(口服200 ml) | 立即 | 头晕、萎靡、乏力、呕吐 | 呕吐 | 正常 | ECG正常,CK无记述 | 无记述 |
| 报道2 | 虫螨腈(口服50 ml) | 30 min | 头晕、萎靡、乏力、50 min后意识障碍 | 无 | 初始正常,后期Cr、AST轻度升高 | 初始窦速,CK进行性升高 | 大汗,第5天高热 |
| 报道3 | 虫螨腈(口服剂量不详) | 不详 | 头痛、头晕 | 无 | 基本正常 | CK、cTnI升高,ECG广泛ST-T异常,窦性停搏 | 有发热,无多汗记述 |
| 报道4 | 甲维·虫螨腈(口服20 ml) | 立即 | 头晕、乏力、视物模糊 | 恶心 | 轻度异常 | CK、MYO进行性升高 | 初始大汗,第2天发热 |
| 病例 | 血气分析特点 | 血液净化及疗效 | 农药暴露距死亡时间 | 发现体温≥38 ℃至死亡时间 | 记录最高体温 | 持续意识不清至死亡时间 | 末次接诊到死亡时间 | 预后 |
|---|---|---|---|---|---|---|---|---|
| 本组1 | 后期PaO2下降,呼吸急促 | 1次HP,无效 | 7d | 1d | 40 ℃ | 1d | 18 h | 死亡 |
| 本组2 | 后期PaO2下降,呼吸急促 | 无 | 8d | 2d | 41.3 ℃ | 2d | 23 h | 死亡 |
| 本组3 | 后期PaO2下降,呼吸急促 | 无 | 4d | 16 h | 40 ℃ | 11 h | 5 h | 死亡 |
| 本组4 | 后期PaO2下降,呼吸急促 | 无 | 21 d | 1.5 d | 41.8 ℃ | 2 h | 20 h | 死亡 |
| 报道1 | 正常 | 3次HP | - | 不详 | 无记述 | - | - | 住院3 d好转出院 |
| 报道2 | 初始无异常,后期PaO2下降,呼吸急促 | 1次HP,症状好转 | 6d | 4 h | 41 ℃ | 2 d | 5 d | 死亡 |
| 报道3 | 无记述 | 无 | 12 d | 不详 | 无记述 | 不详 | 不详 | 死亡 |
| 报道4 | 无记述 | CRRT及HP各1次,无效 | 6d | 4 d | 41 ℃ | 1 d | 4-5 d | 死亡 |
注:CK:肌酸激酶;MYO:肌红蛋白;PO2:动脉血氧分压;HP:血液灌流;ECG:心电图;Cr:肌酐;AST:天门冬氨酸氨基转移酶;cTnI:肌钙蛋白I;CKMB:肌酸激酶同工酶;CRRT:连续肾脏替代治疗;"-"代表不适用
所有中毒患者的诊断均基于毒物接触史,仅本组病例1有血液检测结果。虫螨腈中毒症状初始多表现轻微,仅有头晕、乏力、恶心、呕吐等非特异性表现,多能耐受;暴露剂量越小,潜伏期越长;消化道接触患者早期可有恶心、呕吐等表现,呼吸道接触早期消化道症状不明显;与单纯虫螨腈中毒比较,混合农药甲维·虫螨腈中毒中枢神经症状均立即出现且表现突出。多数病例存在相对稳定的"临床缓解"阶段。发热(≥37.4 ℃):除报道病例1外均有发热,多数伴出汗甚至大汗。中枢神经损害:后期均出现进行性严重意识障碍甚至脑疝;有影像学资料2例,表现为白质病变、脑疝和脑水肿。心电图开始有窦性心动过速、临终窦性心动过缓,部分出现心律失常,ST-T异常,多数有呼吸急促。
早期肝肾功能多无明显损害或损害很轻,血WBC可升高或正常,但以中性分类偏高为主,动脉血气分析早期无低氧血症或较轻,后期呈现低氧血症,多数肌酶进行性升高。
虫螨腈中毒无特效解毒药,目前均采取对症处理,常规药物和物理降温效果差,部分病例行血液净化治疗,其中报道病例1进行了3次HP,最终患者存活;报道病例2进行1次HP后病情出现好转;报道病例4进行HP和连续肾脏替代治疗(CRRT)后未见明显疗效;本组病例1进行1次HP后未见明显疗效。
单纯/混合虫螨腈中毒、呼吸道/消化道途径接触,均表现高致死性,8例患者中仅1例存活,且为住院3 d出院时情况,无随访资料;本文分析虫螨腈中毒院内记录病死率为87.5%(7/8)。7例患者死亡时间为毒物暴露后4~21 d,平均9.1 d,呈现迟发高致死性特点;本组病例4仅误服约5 ml,最终仍死亡。本组有2例经呼吸道暴露,均在当天出现症状,分别在4、8 d后死亡,未显示更长的病程;3例经消化道摄入甲维·虫螨腈,其中1例存活,2例分别在6、7 d后死亡;3例经消化道摄入虫螨腈,分别在6、12、21 d后死亡,提示单纯虫螨腈摄入有更长的稳定期。虫螨腈中毒一旦出现体温超过38 ℃或意识障碍,多预后不良。出现持续意识不清者,多在2 d内死亡;体温超过38 ℃者,多与持续意识障碍同步,也很少存活超过2 d,且一旦呼吸循环衰竭均无法逆转,心搏骤停也不易复苏成功。
以农药"虫螨腈"在中国农药信息网检索,可见有132家农药注册企业生产虫螨腈或含虫螨腈的混配农药,尤其近年注册企业数量大量增加,近3年注册企业数量占比近40%(截至2020年12月31日)[6]。随着更多含虫螨腈农药的入市应用,虫螨腈人群暴露机会增加是必然趋势,了解其毒理机制及临床特点、诊断和治疗方法,对临床医师尤其急诊医师更为迫切。本组4例,由于前期就诊基层医院,症状轻微,在急性中毒救治的"窗口期",未进行血液净化排毒治疗,当出现危重情况时已进入不可逆转的状态,很快死亡。虫螨腈中毒早期呈现的这种"非急症"特点,往往被医患双方忽视,甚至延误诊疗。
虫螨腈的杀虫机制是在昆虫体内多功能氧化酶的作用下,抑制线粒体中二磷酸腺苷(ADP)向三磷酸腺苷(ATP)转化,使细胞合成因缺少能量而停止生命功能[7]。虫螨腈在人体毒代动力学及毒理机制的相关研究尚未见文献报道,推测与细胞线粒体能量合成受阻,使机体ATP合成不足或缺乏有关。虫螨腈中毒后高耗能耗氧器官如横纹肌及中枢神经功能受损表现突出,严重时呼吸循环衰竭甚至多器官功能衰竭,这与同是线粒体磷酸化解耦联毒物五氯酚钠中毒临床表现相似[8],也佐证其人体毒作用靶点同样在线粒体能量合成环节。混配农药甲维·虫螨腈中的甲氨基阿维菌素是一种新型的农畜两用大环内酯类抗生素,属低毒农药,其主要作用机制是增强中枢神经抑制性神经递质(如γ-氨基丁酸和谷氨酸等)的作用,致使神经细胞外的氯离子大量内流,阻滞神经电信号传导,使效应器不能行使正常生理功能,最终导致昆虫麻痹死亡;与虫螨腈呈现相加和协同作用,增强杀虫效果[9,10]。混配农药对人的毒理机制所知甚少,人单纯口服急性大环内酯类杀虫剂中毒表现有中枢神经系统抑制症状,常伴瞳孔扩大、共济失调、肌肉震颤等,多在2 h内出现中毒表现,本文中3例甲维·虫螨腈中毒,毒性症状立即出现,而且暴露至死亡时间较短,可能与甲氨基阿维菌素的协同作用有关。
急性中毒的诊断主要是临床诊断,毒物接触史通常为诊断的基础,但存在诊断的不确定性。急性中毒的临床表现呈现剂量-效应关系,进入机体毒物剂量越大发病症状越快,也越严重[8,11]。报道病例1摄入毒物量与临床表现不甚一致,或许与其反复HP有关,其他病例均遵循剂量-效应规律,口服5 ml者在13 d后出现中枢神经非特异性症状;误服50 ml者在田间劳动0.5 h才出现症状;2例呼吸道途径暴露(剂量不详)在1 d内出现症状,尽管呼吸道吸收剂量难以评估,但更能说明虫螨腈毒性高,而WHO定义其为中等毒性[12]。且本组2例呼吸道途径吸入为粉末虫螨腈,并无溶介剂,不支持溶介剂增加毒性的观点[7]。尽管虫螨腈人类致死量尚无确切数据,但和其他中毒一样,暴露剂量影响了其病情进展,较少剂量摄入,主要影响中枢神经和包括心肌在内的横纹肌损害,表现非特异性头晕、萎靡、乏力等症状;当消化道暴露达到一定量时可引起恶心、呕吐等机体保护反应;由于能量合成障碍,作为代偿表现的呼吸急促也较为常见;随着摄入剂量增加,可能波及任何器官,因此病程中出现任何症状均不意外。一旦出现高热、意识障碍,可能意味着机体ATP能量的耗竭,此时对任何药物治疗不再遵循常规反应,死亡难以避免。由于虫螨腈暴露到机体能量耗竭的代谢过程及毒作用机制并不清楚,使临床干预多为对症处理,缺乏针对性,因此虫螨腈在人体毒代动力学及毒理机制尚需更多了解。
几乎所有患者中毒后主要表现为发热、多汗、肌酶升高和进行性加重的中枢神经损害,说明脑组织及横纹肌是主要靶组织,其中3例有脑组织影像学资料支持,与国外报道表现相似[13,14,15],而一旦进入循环衰竭阶段则呈现多器官功能衰竭。国外文献发现,动物(犬)实验和临床中毒病例均显示,高热、横纹肌溶解及逐渐恶化的神经症状是虫螨腈中毒的特征表现,且认为在临床研究中不论暴露剂量大小,早期积极治疗与延迟治疗、血液净化与非血液净化治疗预后均较差,普遍致死,死亡大多发生在7~20 d[16,17,18]。国内病例也符合上述规律,死亡发生在4~21 d。
本文除报道病例1好转出院(住院3 d)外,其余7例均死亡,且临床表现相似,具体如下:(1)暴露初始症状并不严重,部分患者,尤其暴露剂量低者经或不经临床诊治存在一个相对稳定阶段,消化道摄入足以致死[17],与除草剂百草枯中毒表现类似[19]。(2)混配农药中甲维盐的毒性作用较为缓和,主要表现为虫螨腈中毒,最终致死,虫螨腈起主导作用。(3)一旦出现大汗、明显发热、意识障碍则病情迅速恶化,体温快速上升出现高热甚至超高热,常规药物及物理降温效果差;很快出现呼吸循环衰竭,需要机械通气,但大剂量血管活性药物难以维持血压,高热、昏迷预示很快死亡。(4)目前通用急性中毒的解救措施没有显示明显效果,虫螨腈水溶性低,具有强烈的亲脂性和电子亲和性[20],从已报道病例资料显示HP有效[2,3],临床可以试用,但应用时机应为毒物尚在血液未进入靶器官和组织之前,但本组病例1和病例4给予HP治疗未显示有效,提示血液净化的具体方法、应用时机及疗程仍有待探讨。
ATP合成受阻理论上可以导致任何器官和组织功能障碍,但从临床资料看,患者暴露后早期包括肝肾等对缺氧有较强耐受性的重要脏器功能多数基本正常,PO2早期下降不明显或下降与其严重程度不相符,WBC早期正常或偏高,以中性分类偏高多见,炎症反应并不明显。且发现本组4例患者在SPO2及PO2并无严重下降情况下,出现心跳停止,提示机体可能存在氧利用障碍。临床医师习惯于将PO2及指脉氧作为危重情况的观察指标,但对于线粒体氧利用障碍的中毒,观察动静脉氧分压差或氧利用率可能更有意义,尤其对于造成细胞内呼吸障碍的中毒,氧利用率的观察应作为急性中毒的常规观察指标。
同样是氧化磷酸化解偶联毒剂五氯酚钠中毒也有一定潜伏期,也以高耗氧器官为主要靶器官,同样有大汗、高热及中枢损害,一定程度后迅速恶化,快速致死[8,21]。患者出现发热、多汗、呼吸急促,被认为由于氧化磷酸化解偶联,ADP形成ATP受阻,ADP浓度增加刺激了细胞内呼吸作用,使细胞耗氧量增加,表现呼吸急促;体内物质氧化所释放出的能量因不能储存,只能以热的形式散发出去,导致基础代谢和体温升高,出汗则是机体散热的主要形式之一,尚不清楚虫螨腈及代谢成分是否导致胆碱能神经兴奋参与其中。但与虫螨腈中毒不同,在当时医疗条件下,有相当部分五氯酚钠中毒患者进入高热及意识障碍后仍存活[22,23,24]。有学者提出,巴比妥类药物与五氯酚钠有协同作用会增加毒性;阿托品抑制出汗影响散热和排毒作用并加快HR会造成病情恶化;解热药物可增加出汗引起虚脱,应列为禁忌[24]。如此观点在救治虫螨腈中毒时应予借鉴。中医中药、安宫牛黄丸及冬眠药物等应用[22,23,24,25]仍有启示作用,但本文8例均无相关疗法应用。
总之,虫螨腈中毒早期症状不典型,表现"不急",中毒后却普遍致死,很可能是继联吡啶类除草剂之后中毒救治领域的又一严峻挑战,中毒靶脏器和组织以中枢神经及横纹肌为主,尽管针对中毒的现有治疗措施未显示出明显效果,但包括HP的血液净化治疗应深入探讨,同为氧化磷酸化解偶联毒剂(五氯酚钠)中毒的治疗有借鉴意义。对治疗后病情缓解的患者切不可掉以轻心,仍需密切观察,直至超过潜伏期。本文病例数较少,未能显示全部临床特点,但其高致死性特点应引起足够重视,特别是随着虫螨腈产能增加,暴露机会增多,虫螨腈中毒的基础和临床研究更为迫切。
所有作者均声明不存在利益冲突





















