
版权归中华医学会所有。
未经授权,不得转载、摘编本刊文章,不得使用本刊的版式设计。
除非特别声明,本刊刊出的所有文章不代表中华医学会和本刊编委会的观点。
肝素是临床常用的抗凝药物,肝素诱导的血小板减少症是一种与抗凝相关的血小板异常激活状态,突出表现为一过性或进行性血小板减少,伴或不伴病理性血栓形成。伴病理性血栓形成者称为肝素诱导的血小板减少性血栓栓塞症(Heparininduced thrombocytopenia with thrombosis,HITT)。血栓栓塞可出现在四肢及内脏器官,处理棘手,严重者危及生命,死亡率极高。
低分子肝素是关节置换术后最常用的抗凝剂,国内文献报道低分子肝素引起的血小板减少症的发生率为0.3%(4/1 376)[1,2],国外文献为0.6%(12/1 873)[3]。因肝素诱导的血小板减少症发生率低,临床医生对其认识不足,容易出现漏诊。
本文通过我们诊治的1例双膝关节置换术后低分子肝素抗凝引发HITT的病例回顾及既往文献复习,分析肝素诱导的血小板减少症的早期诊断及处理措施,提高临床医生对关节置换术后肝素诱导的血小板减少症的认识。
女,66岁,以"反复双膝部疼痛8年,加重1月"为主诉于2014年2月入院。体格检查:双膝关节局部无红肿,皮温升高,周围压痛,无皮肤色素沉着及静脉曲张,被动伸膝或主动屈伸活动时疼痛加剧,局部皮肤无破损,无明显皮下波动感及硬结,双下肢肌力Ⅴ级,肌张力正常。肢端血运、感觉良好。诊断为双膝骨关节炎。既往体健,术前血常规、凝血功能检查均正常,双下肢动静脉血管彩超未见异常。
入院后第4天行一期双膝关节置换术。腰硬联合麻醉,患者仰卧位。先做右侧,再做左侧,止血带每侧使用约20 min。常规膝前正中切口,长约14 cm,起于髌骨上方腱腹交界处,止于胫骨结节内侧1 cm。切开皮肤、皮下组织,自股直肌与股内侧肌间隙腱腹交界处向远端沿髌骨内侧切开肌腱、关节囊及髌内侧支持带。彻底切除滑膜,前、后十字韧带,半月板,咬除骨赘。安装4号股骨假体、4号胫骨平台假体及9 mm固定型高交联聚乙烯半月板衬垫(Tibial Insert TC SB,施乐辉,美国)。测试膝关节活动幅度、韧带稳定性和髌骨轨迹良好,冲洗创面,放置引流管,外接引流袋。每侧出血约300 ml,每侧手术时间约90 min。术后引流管夹闭6 h后开放,术后24 h内拔除,总引流量约600 ml。术后麻醉消退后指导踝泵运动及股四头肌锻炼,术后第3天在助步器辅助下行走。
术后6 h给予低分子肝素钙(博璞青,天津红日药业股份有限公司,中国)2 000 IU,次日起4 000 IU, 1次/d。术后前7天,患者双膝关节活动恢复良好,手术切口愈合,无渗液、红肿,术后第1、3、5天复查血常规提示血小板计数均正常。
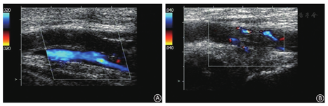
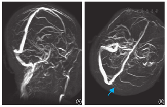
术后第8天晚,患者突发双侧腹股沟区、腘窝至小腿后内侧放射性绞痛,予以杜冷丁肌内注射后缓解。次日膝关节周围轻度胀痛,双下肢无淤血及肿胀,肢端血运良好,考虑功能锻炼引起,继续予以镇痛处理。第11天,血小板计数34.4×109/L。术后第13天,双侧腘窝及小腿胀痛加剧,双下肢皮温稍低,足背动脉搏动减弱。急查双下肢血管彩色超声检查显示双侧腘动脉不全栓塞(图1)。请血管外科会诊,继续低分子肝素治疗,加用盐酸沙格雷酯片(100 mg,3次/d)抗血栓、红外线照射(2次/d)。第14天,患者出现轻微头痛,无恶心、呕吐,未予特殊处理。第16天血小板计数57.4×109/L,继续低分子肝素治疗。当晚患者头痛加剧,伴恶心及喷射状呕吐,颅脑MRI示脑静脉窦栓塞(图2),血压190/100 mmHg,随后出现休克、神志不清、深度昏迷,经抢救无效死亡。




按发病机制肝素诱导的血小板减少症分成两型。一为非免疫介导型,常无临床症状,血小板计数轻度减少(多大于100×109/L),持续时间较短,可自行恢复,无需特殊处理。二为免疫介导型,血小板计数小于100×109/L或较基础值下降50%,严重者伴血栓形成。免疫介导型的发病机制是血小板被激活后存在于血小板α颗粒、血小板和内皮细胞表面的血小板因子4 (Platelet factor 4,PF4 )被释放出来,其C端含高浓度赖氨酸残基且带正电荷的四聚体与带大量负电荷的肝素分子高亲和力结合,形成肝素-PF4 (Heparin-PF4, H-PF4)复合物。形成H-PF4复合物后,两者构象均发生改变,暴露出多个新的抗原表位,成为免疫原,发生免疫反应,产生免疫球蛋白,也称为肝素诱导的血小板减少症抗体。该抗体直接与H-PF4作用形成IgG-H-PF4复合物,IgG-H-PF4结合到血小板膜受体上,血小板广泛激活后血小板膜囊泡释放具有促凝作用的微颗粒;该抗体也可与单核细胞相互作用,使单核细胞释放组织因子。微颗粒和组织因子的释放引发凝血酶生成过多,最终发生静脉或动脉血栓形成,并消耗血小板,致血小板计数减少[4,5]。
血小板减少是首发临床表现,常迅速下降至20×109~80× 109/L或下降基线水平的50%以上,多发生于肝素使用5~14 d以后[6,7]。血栓形成是肝素诱导的血小板减少症的另一个重要特征,也是导致患者死亡的主要原因。血栓形成多为静脉血栓,以下肢深静脉血栓和肺栓塞最常见,上肢深静脉血栓、静脉性肢体坏疽、脑静脉窦血栓少见。若脑静脉窦血栓形成,可基本确诊HITT。动脉血栓较罕见,常发生于脑、外周动脉或留置导管部位,可引起卒中、缺血或梗死等严重并发症[8]。另外也可出现皮肤损伤和急性炎症反应:发热、寒战、高血压、心动过速、呼吸困难等并发症[9]。
最早由Warkentin提出的4Ts评分系统是目前临床诊断肝素诱导的血小板减少症的主要依据。此评分系统从四个方面评估患者血小板减少症发生的可能性(表1),每项0~2分,总分8分[10]。0~3分为低可能性,4~5分为中可能性,6~8分为高可能性。4Ts评分系统诊断肝素诱导的血小板减少症敏感性高,低可能性的阴性预测值为99.8%、中度和高度可能性为14%和64%[10]。评分≤3分,则基本可排除肝素诱导的血小板减少症;评分>3分,则肝素诱导的血小板减少症可能性大,但仍不能确诊,确诊还需结合实验室检查[10]。

4Ts评分系统
4Ts评分系统
| 参数 | 2分 | 1分 | 0分 |
|---|---|---|---|
| 血小板减少 | 相对降低>50%,或绝对值降至20×10°~100×109/L | 相对降低30%~50%,或绝对值降至10×109~19×109/L | 相对降低<30%,或绝对值降至10×109/L以下 |
| 血小板减少的发生时间 | 5~10 d或者≤1 d(近30 d内有肝素应用史) | >10 d或者≤1 d(近30~100 d内有肝素应用史) | ≤ 4 d(无近期肝素应用史) |
| 血栓或其他后遗症 | 新发血栓、皮肤坏疽、静脉注射肝素后出现急性系统性反应 | 再发血栓或血栓加重、非坏死型皮肤损伤、可疑血栓(未证实) | 无 |
| 其他引起血小板减少的原因 | 无 | 可能 | 确定 |
血小板功能检测14C-血清素释放试验被认为是诊断肝素诱导的血小板减少症的金标准,特异性及灵敏度极高。14C具有放射性,且操作复杂,因此该检查难以在临床广泛应用[11,12]。目前肝素诱导的血小板减少症的诊断主要依靠临床,诊断标准包括[13]:①使用肝素类制剂前血小板计数正常;②血小板计数减少至20×109~80×109 /L,或较原基础值下降>50%;③典型病例一般为应用肝素初始治疗5~14 d后出现血小板减少,若之前有肝素类制剂应用史,血小板减少可更早出现;④发生急性血栓事件;⑤除外其他原因引起的血小板减少;⑥停用肝素类制剂后血小板计数恢复正常;⑦肝素诱导的血小板减少症抗体阳性。
肝素诱导的血小板减少症的治疗主要依据4Ts评分,若4Ts评分为≤3分,则继续使用肝素类制剂抗凝,但要除外可能导致血小板减少的其他原因;若评分>3分,无论是否伴有血栓形成,都应立即停用肝素类制剂,改用其他替代抗凝药物。根据美国胸科医师学会第9版指南[14],对肾功能正常的肝素诱导的血小板减少症患者建议选择阿加曲班、来匹卢定或达那肝素;肾功能不全者建议使用阿加曲班。目前新型口服直接凝血酶抑制剂,如利伐沙班和阿哌沙班,与PF4均不存在交叉作用[15],有望成为肝素诱导的血小板减少症患者抗凝替代的理想药物。急性期禁忌使用华法林,先用其他替代抗凝药物至血小板计数恢复至150×109/L以上[16];稳定后再从小剂量开始使用华法林,且与替代抗凝药物重叠使用至少5 d,至国际标准化比率2.0~3.0,否则易导致皮肤坏死及四肢静脉坏疽。肝素诱导的血小板减少症患者建议使用华法林治疗4~6周,而HITT患者建议应用3个月[14]。原则上,肝素诱导的血小板减少症患者应避免输注血小板,而在对HITT患者行侵入性操作时才建议输注血小板[15]。
本例应用低分子肝素抗凝至术后第11天时血小板计数减少至34.4×109/L,术后第14天双下肢动静脉彩超检查发现双下肢腘动脉不全栓塞及术后第16天颅脑MR静脉血管检查发现脑静脉窦血栓,能除外其他原因引起的血小板减少,4Ts评分为8分,基本可确诊为HITT。治疗期间血小板计数明显下降,且先后出现双下肢疼痛及头痛,但未能尽早行下肢血管超声及颅脑血管造影检查,没有及时诊断HITT及停用低分子肝素,导致范围较大的血栓形成。HITT的预后与诊断的时间有关,越早发现和治疗,预后越好。临床医生应加强对关节置换术后应用低分子肝素抗凝导致血小板减少症的认识,严密监测血小板计数,做到早期诊断和及时治疗。





















