
探索肿瘤特异性免疫细胞杀伤骨肉瘤的实现方法,并分析使用过继性细胞输注免疫治疗对骨肉瘤产生的治疗效果。
使用地西他滨(Decitabine,DAC)作为去甲基化药物对HOS及U2OS骨肉瘤细胞系进行治疗,采用PCR及Western Blot检测治疗后肿瘤-睾丸抗原(cancer-testis antigen,CTA)的表达情况。在动物实验中,使用转染了萤火虫荧光素酶和HLA-A0201的人源肿瘤细胞系HOS在免疫缺陷NOD-SCID小鼠上成瘤,并使用DiR染色标记体外培养扩增的CTA特异性对应HLA人源CD8+ T细胞输注,通过小动物活体成像系统检测T细胞在小鼠体内的分布,同时监测治疗过程中小鼠瘤块的生长情况。使用鼠源骨肉瘤细胞系K7M2在免疫健全鼠BALB/c成瘤,进行去甲基化,使用流式细胞仪分析治疗前后肿瘤块内淋巴细胞的比例、数量以及CD8+ T细胞的活化情况,判断去甲基化对自体淋巴细胞浸润、活化的作用。
使用DAC对骨肉瘤细胞系HOS及U2OS进行去甲基化后,所有被检测的CTA表达均不同程度的提高。在体外培养的骨肉瘤细胞经过至少5 d的DAC治疗后能被CTA特异性CD8+ T细胞显著杀伤,DAC本身对骨肉瘤细胞系生长可产生抑制作用。在免疫缺陷动物模型中,经过DAC去甲基化预治疗的荷瘤小鼠能观测到明显的CTA特异性T细胞向肿瘤组织归巢现象,同时,去甲基化预治疗联合CTA特异性T细胞输注治疗显著抑制了骨肉瘤移植瘤的生长。在免疫健全鼠肿瘤模型中,去甲基化能促进自体T细胞向肿瘤组织的归巢,并提高肿瘤内CD8+ T细胞的活性及其分泌的干扰素γ、颗粒酶B、穿孔素水平。
去甲基化能在抑制骨肉瘤细胞生长的同时,提高骨肉瘤细胞的CTA表达,为以CTA为靶点的特异性细胞免疫输注治疗提供条件。
版权归中华医学会所有。
未经授权,不得转载、摘编本刊文章,不得使用本刊的版式设计。
除非特别声明,本刊刊出的所有文章不代表中华医学会和本刊编委会的观点。
骨肉瘤是青少年中最常见的原发恶性骨肿瘤,具有局部侵犯及早期易发生转移的特点[1]。尽管目前关于骨肉瘤的常规治疗方案(术前化疗+手术+术后化疗)已较为成熟,但不可忽视的是,其一线化疗方案中的核心药物已延用几十年之久,化疗后效果达到了平台期,一旦骨肉瘤患者发生化疗耐药,则预后极差[2,3]。
骨肉瘤的免疫治疗相关研究在近几年取得了较大进展[4]。T细胞是效应十分强大的免疫细胞,在肿瘤免疫中发挥极其重要的作用。在T细胞各类亚群的相关研究中,Merchant等[5]在骨肉瘤小鼠模型中输注初始T细胞后观测到小鼠的免疫重建现象,并发现骨肉瘤转移灶的生长被显著抑制乃至消除;非特异性γδT细胞经唑来膦酸刺激后有一定的抗骨肉瘤活性,但在动物模型中单纯输注γδT细胞对骨肉瘤的杀伤能力有限,文献报道可考虑采用肿瘤特异性CD8+ T细胞杀伤骨肉瘤,并以肿瘤-睾丸抗原(cancer-testis antigen,CTA)作为靶点[6]。CTA包括MAGE-A家族、NY-ESO-1及GAGE等,几乎只表达于骨肉瘤、胶质瘤、乳腺癌等恶性肿瘤,以及睾丸、绒毛膜滋养层等免疫逃逸区[7,8,9,10]。因此,其特异性使得以CTA为靶点的效应T细胞不容易发生自身免疫攻击。
CTA在骨肉瘤中常处于沉默状态,若能找到一种较为有效的方法提高骨肉瘤中CTA的表达,骨肉瘤的免疫原性则将会得到增强,且表达的CTA可以作为CD8+ T细胞的靶点。Sang等[11]发现肿瘤中CTA基因启动子区域常常处于高甲基化状态(hypermethylation),从而导致了CTA的沉默。
这种高甲基化的状态可以通过去甲基化去除,即通过使用药物如地西他滨(Decitabine,DAC)对其去甲基化。去甲基化后,在多种恶性肿瘤如淋巴瘤、胰腺癌、神经母细胞瘤等均可以观察到显著的CTA表达增高的现象[12,13,14]。同时,DAC可以通过逆转骨肉瘤抑癌基因GADD45A的高甲基化状态,唤醒GADD45A的表达,从而导致骨肉瘤凋亡。结合在其他实体肿瘤的相关研究结果,这种在杀伤肿瘤细胞的同时提高肿瘤免疫原性的方法相对简单、有效。因此,有必要进一步探讨DAC去甲基化对骨肉瘤中CTA表达的影响,检验以CTA为靶点进行骨肉瘤细胞免疫治疗是否可行。
本研究中,我们使用体外试验和体内模型检测去甲基化前后骨肉瘤细胞及淋巴细胞的状态,使用DAC对骨肉瘤细胞系在体外进行治疗,检测治疗前后CTA的表达变化,使用人源骨肉瘤细胞系在免疫缺陷鼠上建立移植瘤模型,检测去甲基化联合CTA特异性CD8+ T细胞过继输注的抗肿瘤疗效,并用小动物活体成像系统监测T细胞的分布;同时,鼠源骨肉瘤细胞系在免疫健全鼠上建立移植瘤模型,检测去甲基化前后肿瘤内淋巴细胞的浸润数量及活化状态,旨在:①观察DAC去甲基化对免疫反应的作用;②观察DAC去甲基化前后骨肉瘤CTA表达的变化;③验证去甲基化能否通过提高CTA表达而诱导CTA特异性CD8+ T细胞对骨肉瘤的识别、杀伤。
由于本实验涉及人源细胞的采集,因此我们所有进行的涉及伦理问题的实验操作均报备了浙江大学医学院附属第二医院伦理委员会,并已获得伦理委员会批准。动物实验亦严格按照浙江大学医学院附属第二医院动物福利要求进行。
本研究采用人源骨肉瘤细胞系U2OS、HOS以及鼠源骨肉瘤系K7M2(均采购自中科院上海细胞库),其中U2OS细胞低表达MAGE-A1与MAGE-A4,HOS细胞所有的CTA均无法测得,鼠K7M2细胞强表达NY-ESO-1。U2OS细胞采用RPMI 1640培养基培养,HOS及K7M2细胞采用DMEM培养基培养,两种细胞系的完全培养基均含10% FBS(HyClone公司,美国)、100 μg/ml青-链霉素,并在37 ℃、体积分数为5%的CO2环境下培养。
本研究中DAC(Sigma-Aldich公司,美国)低浓度水溶液不稳定,故每次进行DAC治疗前均需新鲜配置,质量浓度为1 μmol/L的DAC的完全培养基每24 h更换一次,总治疗时间1~7 d,用于动物模型的HOS细胞转染荧光素酶Luciferase和人类白细胞抗原A位点0201基因型(HLA-A0201)。
使用RIPA提取全蛋白,经Bicinchoninic acid(BCA)蛋白定量法测定蛋白浓度后在10% SDS-PAGE胶中每孔加入30 μg蛋白,经电泳后湿转至PVDF膜。5%脱脂牛奶封闭2 h后,4 ℃一抗孵育过夜。一抗采用抗人6C1 MAGE-A(Santa Cruz公司,美国)、NY-ESO-1(Santa Cruz公司,美国)及GAPDH(Abcam公司,美国)。其中6C1抗体与MAGE-A1、A2、A3、A4、A6、A10进行交叉反应,MAGE-A1~A6相对分子质量均为45~50×103 Da,MAGE-A10则为72×103 Da。PVDF膜经二抗孵育后采用ECL检测法,使用ChemiDocTM XRS+ imaging system(BIO-RAD公司,美国)系统成像。
使用Trizol抽取总RNA,并采用RNA-PCR试剂盒(Takara公司,日本)进行逆转录,使用Sybr Green Master Mix(Takara公司,日本)行定量PCR(表1)。以GAPDH作为标准化参照,使用ΔΔCT法计算不同基因的相对表达状况。

qRT-PCR中采用的引物序列
qRT-PCR中采用的引物序列
| 基因 | 引物序列 |
|---|---|
| GAPDH | Forward: 5’-GAAGGTGAAGGTCGGAGTC-3’ |
| Reverse: 5’-GAAGATGGTGATGGGATTTC-3’ | |
| MAGE-A1 | Forward: 5’-GCTCTGTGAGGAGGCAAGG-3’ |
| Reverse: 5’-GCAGCAGGCAGGAGTGTG-3’ | |
| MAGE-A2 | Forward: 5’-ATCTGCCTGTGGGTCTTCATTG-3’ |
| Reverse: 5’-AGCGGTCTGCTGCTCCTC-3’ | |
| MAGE-A3 | Forward: 5’-TCGGTGAGGAGGCAAGGTTC-3’ |
| Reverse: 5’-CGGGAGTGTGGGCAGGAG-3’ | |
| MAGE-A4 | Forward: 5’-GAGCAGACAGGCCAACCG-3’ |
| Reverse: 5’-AAGGACTCTGCGTCAGGC-3’ | |
| MAGE-A6 | Forward: 5’-GGAAGGTGGCCAAGTTGGTTC-3’ |
| Reverse: 5’-CCAGCTGCAAGGAATCGGAAG-3’ | |
| MAGE-A10 | Forward: 5’-CACAGAGCAGCACTGAAGGAG-3’ |
| Reverse: 5’-CTGGGTAAAGACTCACTGTCTGG-3’ | |
| MAGE-A12 | Forward: 5’-CGTCGGTGGAGGGAAGCAG-3’ |
| Reverse: 5’-GGCAGCAGGTAGGAGTGTGG-3’ | |
| NY-ESO-1 | Forward: 5’-GCGGCTTCAGGGCTGAATGGATG-3’ |
| Reverse: 5’-AAGCCGTCCTCCTCCAGCGACA-3’ |
由HLA-A0201阳性志愿者提供20 ml/次外周血,通过Ficoll液梯度离心后获得外周血单核细胞(peripheral blood mononuclear cell,PBMC)。将PBMC在10% FBS的RPMI 1640培养基培养2 h后,转移上清液,保留贴壁细胞,随后在含1 000 U/ml的GM-CSF(R&D Systems公司,美国)以及10 ng/ml的IL-4(R&D Systems公司,美国)的RPMI 1640完全培养基中培养5 d,以获得未成熟树突状细胞(dentritic cell,DC)。后加入10 ng/ml TNF-α、IL-1β、IL-6、PGE-2(Gibco公司,美国),培育2 d获得DC。
再使DC荷载合成的HLA-A0201限定MAGE-A多肽(序列为YLEYRQVPV)[15]和NY-ESO-1多肽(序列为SLLMWITQC),可获得提呈MAGE-A家族及NY-ESO-1的DC。获得后,可使用流式细胞仪鉴定DC的纯度。
PBMC培养2 h后分离上清,将上清中的细胞先行冻存。在树突状细胞培养成熟的前一天复苏,于10% FBS的RPMI1640培养基中培养。随后按树突状细胞∶上清细胞为1∶20的比例将上清细胞加入到荷载CTA多肽DC的培养体系中,加入IL-7、IL-15及IL-2(Gibco公司,美国),经14 d后(每4.5 d换液一次)可获得大量CTA特异性CD8+ T细胞和少部分CD4+ T细胞、自然杀伤细胞。
使用IFN-γ酶联免疫斑点检测(ELISpot assay)测定所培养的CD8+ T细胞的特异性。在预包被抗IFN-γ抗体的ELISpot培养板(R&D Systems公司,美国)96孔板中每孔加入50 000个细胞,随后加入MAGE-A和NY-ESO-1多肽。培养后洗板、加入二抗、基底液后进行读板。
使用MTS试验测定CTA特异性CD8+ T细胞对骨肉瘤的体外杀伤活性。
将骨肉瘤细胞分别以103、2×103、6×103每孔的细胞量种入96孔板,对应DAC治疗时间为5 d、3 d、1 d。每天更换含DAC的培养基。当DAC治疗完毕后,更换为适合T细胞生长的RPMI 1640完全培养基,每孔加入2×105个T细胞。经过4 h孵育后,去除上清液,使用PBS轻柔冲洗去除T细胞,保留贴壁的肿瘤细胞。随后进行MTS试验,每孔加入10 μl的MTS溶液,在37 ℃孵育4 h,使用酶标仪在490 nm读取各孔吸光度值进行分析。
5周龄免疫健全BLA B/C及免疫缺陷NOD-SCID雌性小鼠购自浙江中医药大学动物房。在免疫健全BAL B/C小鼠模型中,将1×106 K7M2注射入小鼠的胫骨髓腔内。
两周后将20只成瘤小鼠分成4组,分别为对照组,DAC治疗量为0.1 μg/g、0.5 μg/g和1.0 μg/g治疗组。DAC以0.1~1.0 μg/g体重的剂量进行腹腔注射,在注射肿瘤两周后开始进行,每日一次,治疗两周后将所有小鼠安乐死,将荷瘤下肢进行截肢、称重。随后剥离肿瘤组织,将肿瘤组织用刀片切碎后在裂解液(0.2 mg/ml的胶原酶Ⅳ,0.1 mg/ml的透明质酸酶,0.1 mg/ml的DNA酶,0.2 mg/ml的BSA溶解于DMEM培养基中)中37 ℃孵育1 h,随后经70 μm过滤器获取细胞用于流式细胞仪检测。
在免疫缺陷NOD-SCID小鼠模型中将转染luciferase和HLA-A0201的人骨肉瘤细胞系HOS以5×106每只进行皮下注射。7 d后使用小动物活体成像系统观测成瘤情况,并在随后的过程中使用卡尺记录肿瘤的增殖状况。总共使用24只成瘤的小鼠,分为对照组、DAC组、T细胞组和DAC预处理后T细胞输注组。在DAC单用组和DAC+T细胞组的动物模型腹腔注射1 μg/g的DAC溶液5 d,每天一次。DAC治疗后在DAC+T细胞组小鼠输注5×107/只的CTA特异性CD8+ T细胞,每2 d一次,总共注射3次。其中在第一次注射前采用DiR对T细胞进行染色,注射后1 d使用活体成像系统观测T细胞在小鼠体内的分布情况。
经过3次T细胞注射后将所有小鼠安乐死,剥离肿瘤组织后称重。
待流式检测的细胞通过滤网后使用流式染色缓冲液(含1% FBS和0.1%叠氮钠的PBS)重悬后使用相应的抗体进行染色。表面抗原的抗体在4 ℃避光结合1 h,随后使用胞内抗体染色试剂盒(Bioleg-end公司,美国)进行固定、破膜。胞内抗体4 ℃避光孵育过夜,次日使用染色缓冲液洗涤、离心重悬后准备使用FACSCanto流式仪进行分析。所有抗原的gating方法均根据荧光扣除对照(fluorescence minus one,FMO)决定。
DC纯度分析所用的人表面抗原抗体:CD1a(克隆H149)、CD11c(克隆3.9)、CD83(克隆HB15e)和HLA-DR(克隆L243)均购自BD Bioscience公司(美国)。肿瘤内淋巴细胞分析所用的鼠抗原抗体:CD3(克隆17A2)、CD4(克隆GK1.5)、CD8a(克隆53-6.7)、FasL(克隆MFL3)、CD25(克隆PC61)、Foxp3(克隆MF-14)、IFN-γ(克隆XMG1.2)、granzyme B(克隆NGZB)、perforin(克隆eBiOMAK-D)均购自eBioscience公司(美国)。死活染色通过LIVE/DEAD ®(ThermoFisher公司,美国)完成。
采用SPSS 13.0(SPSS公司,美国)统计软件包进行统计学分析,并采用Graphpad Prism 5(Graphpad公司,美国)进行图像处理。体外实验数据采用单因素方差分析合并Bonferroni多重分析进行统计学计算,体内实验数据采用单因素方差分析合并Bonferroni多重分析或双因素方差分析合并Bonferroni多重分析进行计算。检验水准α值取双侧0.05。
使用免疫健全的BAL B/C小鼠建立鼠骨肉瘤模型,测试去甲基化对自发肿瘤免疫反应的影响,流式细胞仪分析肿瘤浸润淋巴细胞的状况发现,对照组肿瘤内浸润的CD3+淋巴细胞数量极少,其中的CD8+ T细胞在所有细胞中的比例低至0.2%左右。CD8+ T细胞比例随着DAC治疗剂量的提高而升高,其中1.0 μg/g组小鼠肿瘤浸润CD8+ T细胞在所有细胞中的比例达到最高,平均约为3.0%,是对照组的15倍,差异有统计学意义(P<0.05,图1)。


对照组CD8+ T/Treg细胞数量比值为2.4,DAC治疗组中比值随着治疗剂量的上升而升高,比值在1.0 μg/g组中达到最高,约为4.3,与对照组对比差异有统计学意义(P=0.007,图1)。
流式细胞仪分析肿瘤内CD8+ T细胞的活化指标FasL、干扰素γ、颗粒酶B、穿孔素发现,在对照组中,CD8+ T细胞的活化率很低,干扰素γ表达率的中位数为1.24%,颗粒酶B为16.21%,穿孔素为4.72%,FasL为4.1%。治疗组中,DAC 0.1 μg/g组干扰素γ、颗粒酶B、穿孔素、FasL在CD8+ T细胞表达率的中位数分别为1.38%、17.66%、3.93%、3.35%,在DAC 0.5 μg/g组分别为16.61%、42.98%、15.06%、10.11%。在DAC 1.0 μg/g组的肿瘤浸润CD8+ T中,干扰素γ表达率的中位数为23.81%,颗粒酶B为71.21%,穿孔素为13.32%,FasL为10.20%。因此,DAC 1.0 μg/g组与对照组的差异,均具有统计学意义(t干扰素γ=7.535,P干扰素γ<0.05;t颗粒酶B=6.810,P颗粒酶B<0.05;t穿孔素=7.613,P穿孔素<0.05;tFasL=4.376,PFasL<0.05,图2)。


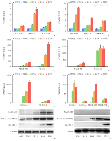
使用qRT-PCR和Western Blot检测经不同时间梯度DAC治疗的骨肉瘤中CTA表达情况,可发现几乎所有MAGE-A家族、NY-ESO-1在U2OS和HOS中的表达均得到提高,且与治疗时间正相关(图3)。


U2OS本来就表达少量的MAGE-A家族蛋白,亦能从DAC治疗中得到显著收益(图3A,图3B,图3C,图3G)。HOS在治疗前不表达任何被检测的CTA,在DAC治疗3 d后MAGE-A家族开始表达,7 d后NY-ESO-1开始表达,但MAGE-A10始终不表达(图3)。
Western Blot结果与qRT-PCR结果一致。
使用流式细胞仪鉴定培养的DC,发现待测的活细胞中约90%为成熟DC表面特征标记物阳性,纯度足够适用于培养CD8+ T细胞(图4A,图4B,图4C)。将这些成熟的DC细胞荷载HLA限定CTA多肽后与T细胞共培养,经过抗原递呈后则可获得大量CTA特异性CD8+ T细胞。


通过ELISpot检测明确CD8+ T细胞对CTA的特异性,可发现MAGE-A、NY-ESO-1多肽组平均58个印迹点,阴性对照组平均2个印迹点(图5)。


使用MTS实验以检测CTA特异性CD8+ T细胞对骨肉瘤细胞的杀伤作用。在未经DAC预处理的骨肉瘤U2OS细胞中(对照组),CTA特异性CD8+ T细胞对骨肉瘤细胞的杀伤率约为2.1%;在经过5 d的DAC预处理后,CTA特异性CD8+ T细胞对骨肉瘤细胞的杀伤率为50.5%,与对照组的差异具有统计学意义(P<0.05)。
在HOS中也观察到了类似的情况。在未经DAC预处理的对照组中,T细胞对HOS细胞的杀伤率约1.3%;在经过5 d的DAC预处理后,T细胞对HOS细胞的杀伤率为62.7%,与对照组的差异具有统计学意义(P<0.05,图5)。
DAC治疗本身对两个骨肉瘤细胞系具有一定的杀伤作用。DAC治疗3 d后对骨肉瘤细胞的杀伤作用开始体现,U2OS中DAC治疗5 d组对肿瘤细胞的杀伤率约为33.5%,HOS中为32.1%,与对照组的差异均有统计学意义(P<0.05),这个结果与其他研究团队的结论相吻合[12]。
在免疫缺陷NOD-SCID小鼠中建立人源骨肉瘤移植瘤模型,验证去甲基化预治疗对CTA特异性CD8+ T细胞输注的作用。通过小动物活体成像系统发现,在未经DAC预处理的小鼠,T细胞主要分布于肝、肺等器官,肿瘤组织未见T细胞信号;经DAC预处理的小鼠中,T细胞能归巢到肿瘤组织(图6)。


在治疗过程中测量肿瘤的体积大小,第19 d的DAC预治疗联合T细胞输注组平均肿瘤体积为388.1 mm3(172~700 mm3),对照组827.7 mm3(416~1250 mm3),DAC单用组878.3 mm3(650~1090 mm3),T细胞单用组824 mm3(405~1250 mm3,图7,图8)。




瘤体称重发现,联合组平均为0.261 g(0.19~0.403 g),对照组0.880 g(0.498~1.558 g),DAC单用组0.841 g(0.705~0.982 g),T细胞单用组为0.795 g (0.435~1.035 g,图7)。对照组、DAC单用组、T细胞单用组3组之间互相无统计学差异。
DAC单用或CTA特异性CD8+ T细胞输注单用在动物模型中均无法获得肿瘤抑制效果,而联合DAC和T细胞组观察到了明显的肿瘤生长抑制。
分析肿瘤体积的数据,联合组自17 d开始与其余3组比较的差异有统计学意义(联合组vs.对照组,P=0.039),在第19天时与对照组比较有统计学意义(P=0.012)。分析肿瘤重量数据,联合组与对照组、T细胞单用组、DAC单用组的差异均具有统计学意义(P<0.05)。
将肿瘤组织进行Western Blot并长时间曝光可发现,DAC治疗后肿瘤组织的MAGE-A家族以及NY-ESO-1的表达可被检测到(图8),说明治疗后骨肉瘤移植瘤的CTA表达得到了显著提高。
骨肉瘤的传统非手术疗法研究过去集中于更改化疗方案,然而多年来一直未能有新的药物进入一线化疗方案。免疫治疗作为与传统化疗、放疗完全不冲突的一种治疗手段,最近获得了学术界的注意力。骨肉瘤的免疫治疗亦有相当的研究。在非特异性免疫治疗领域,曾有数篇报道说明自然杀伤细胞对骨肉瘤有一定的杀伤活性[18,19,20]。而我们也曾研究γδ T细胞对骨肉瘤的杀伤作用,并联合二磷酸盐后发现能提高γδ T细胞的杀伤活性[21]。近期有以HER-2为靶点的嵌合抗原受体T细胞(CAR T-cell)的研究表明,在HER-2阳性的骨肉瘤患者中,HER-2特异性CAR-T细胞能成功在患者体内扩增、浸润肿瘤细胞。HER-2在骨肉瘤中表达程度变化很大,且只在大约20%患者的骨肉瘤组织中表达,这无疑为以HER-2为靶点的T细胞治疗带来了很大的限制[22,23]。亦有研究尝试以白介素11受体α、胰岛素样生长因子1受体为靶点,然而这些抗原均表达于正常组织,具有自身免疫攻击的危险。由于骨肉瘤本身肿瘤特异性抗原的表达非常稀少,若能通过简单的方法提高骨肉瘤的肿瘤特异性表达,将会给骨肉瘤的特异性免疫治疗带来很大的帮助。
CTA是特异性很强的肿瘤抗原,以NY-ESO-1为靶点输注T细胞治疗滑膜肉瘤已取得成功[24],在其他肿瘤中以CTA为靶点亦获得了收益。然而,由于CTA在一些肿瘤中的表达会下降,这为CTA特异的T细胞治疗带来了困难。而且CTA成员庞大,特别是MAGE-A家族,以MAGE-A3位靶点在肺癌中研究较多[25,26,27],而以本研究为例,骨肉瘤主要表达MAGE-A4。Bao等[15]成功制造出高亲和力的可变多肽片段p248V9(序列YLEYRQVPV),它可以同时作为MAGE-A1、A2、A3、A4、A6、A10和A12的多肽片段,故而以p248V9刺激T细胞后可获得同时识别以上7种CTA的T细胞。而去甲基化能提高几乎所有CTA的表达,这对CTA特异性CD8+ T细胞识别骨肉瘤带来了很大的便利。
DAC于2006年被美国FDA批准用于数种白血病的治疗,拥有足够的临床应用经验及数据证明其安全性,其也曾被多项临床试验选入治疗难治性的实体肿瘤,但单用的效果并不令人满意[28,29,30]。随后,DAC被发现能通过去甲基化作用诱导肿瘤CTA的表达从而诱导CTA特异性T细胞对肿瘤的杀伤,并率先在急性髓性白血病得到验证,随后在复发的霍奇金淋巴瘤中亦得到了相似的结果[12,13]。以DAC为代表的去甲基化药物并不会导致正常组织的CTA表达提高,而且对T细胞的表型、功能几乎没有影响[13,14,31]。因此,使用去甲基化提高CTA表达,使其作为靶点,是一种安全、方便的手段。
在本研究的体外和体内试验中,DAC能促进骨肉瘤细胞/组织几乎所有被检测CTA的表达。虽然根据qRT-PCR结果我们发现MAGE-A10在U2OS中、MAGE-A6在HOS中表达提高幅度极大,但我们考虑这是由于在原先的骨肉瘤细胞系中,这两个CTA基础表达率过低。在U2OS中,MAGE-A1和MAGE-A4的基础表达率较高,但DAC治疗仍能提高这两者的表达。在HOS中,NY-ESO-1的表达提高很明显,且能被western blot检测到。值得一提的是,去甲基化能促进肿瘤表面MHC-Ⅰ、细胞间细胞黏附分子-1等与T细胞识别、杀伤肿瘤有关的小分子物质的表达。但在本研究中,检测了去甲基化前后骨肉瘤MHC-Ⅰ、细胞间细胞黏附分子-1等的表达,并未发现明显的变化。因此,我们认为在体外环境下,去甲基化带来的CTA表达提高为CTA特异性CD8+ T细胞识别、杀伤骨肉瘤的主要因素之一。
本研究中,成功地体外培养了广谱的CTA特异性CD8+ T细胞,通过DAC预处理成功观测到了T细胞对骨肉瘤的杀伤作用,说明DAC去甲基化诱导的CTA表达可以作为T细胞杀伤骨肉瘤的靶点。在免疫缺陷鼠骨肉瘤模型中,此观点得到验证。在未经DAC预处理的荷瘤小鼠中,输注的CTA特异性T细胞完全无法归巢至肿瘤组织区域,无法对肿瘤进行杀伤。而经过DAC预处理后,能明显观察到输注的T细胞聚集在肿瘤区域,说明这些CTA特异性T细胞能识别经DAC治疗后CTA表达提高的骨肉瘤。另外,免疫健全小鼠模型中的去甲基化提示DAC治疗本身就能提高自体淋巴细胞向骨肉瘤组织的浸润,且能提高肿瘤内CD8+ T细胞的活性。治疗后FasL的表达提高说明了肿瘤浸润CD8+ T细胞的活化状态得到了提高,而且治疗后肿瘤内CD8+ T细胞能分泌更多的干扰素γ、颗粒酶B和穿孔素,这些细胞因子都是T细胞直接杀伤肿瘤的重要手段。另外,在提高CD8+ T细胞向肿瘤组织浸润的同时,CD8+ T细胞与Treg细胞数量的比值比对照组显著更高,这些证据均说明DAC治疗后肿瘤免疫反应增强。由于在体外较难培养鼠CTA特异性的鼠CD8+ T细胞,我们无法验证DAC治疗后免疫增强是否为CTA表达提高的结果。但毫无疑问DAC治疗在免疫健全的个体能促进免疫细胞对肿瘤的攻击。最后,结合qRT-PCR和qRT-PCR和Western Blot结果,可考虑利用MAGE-A4和NY-ESO-1作为骨肉瘤的T细胞识别靶点,DAC可以考虑用于临床的骨肉瘤患者细胞免疫治疗佐剂。
本次研究的结果提示骨肉瘤的去甲基化预处理能成功诱导肿瘤特异性CD8+ T细胞识别、杀伤骨肉瘤。去甲基化能促进淋巴细胞向骨肉瘤归巢,提高肿瘤内杀伤细胞的活性,并显著地提高骨肉瘤CTA表达,尤其是MAGE-A4和NY-ESO-1。本研究为骨肉瘤的特异性免疫治疗,特别是为过继性T细胞输注疗法提供了一定的基础依据。





















