
介绍发现胫骨髁间隆突孔的研究过程,并描述其结构,初步探索胫骨髁间隆突孔造成胫骨近端侵袭性肿瘤隐匿及突入行为特定的结构性原因。
采用回顾性研究方法,在影像中心数据库中随机纳入2017年5月至2017年11月200例患者的CT扫描及三维重建资料,男115例,女85例,年龄18~90岁,平均(49.2±7.3)岁。观察胫骨髁间隆突孔是否存在,并行影像学定位、测量。通过50例膝关节置换截取的胫骨平台、5例车祸或肿瘤截肢新鲜标本,实物证明胫骨髁间隆突孔存在,并对其具体位置、小孔周围结构、小孔近端覆盖情况、小孔内容物、孔口、孔壁及孔底组织进行研究分析,同时进行病理学染色浸润观察。
200例患者全部存在胫骨髁间隆突孔,该孔位于髁间隆突中部凹陷处、前后叉韧带止点之间。孔呈圆形,直径(1.6±0.3)mm,深度(9.1±2.5)mm。106例(106/200,53%)可观察到主孔周围(半径≤ 7 mm)存在1~3个副孔,直径及深度均小于主孔。CT值示孔口(472.5±30.1)HU>孔壁(312.3±22.5)HU>孔底(202.4±17.3)HU>孔内(118.3±10.4)HU>孔口覆盖物(75.0±11.1)HU。孔口与关节腔只有厚度约1 mm滑膜组织间隔,孔口周围为软骨组织,孔壁及底均为松质骨,内容物为较致密结缔组织,与孔壁并不完全帖附、存在缝隙。孔内滴入亚甲蓝示周围松质骨易浸润,术前造影示孔周围及孔内阻挡能力薄弱。
胫骨髁间隆突孔是人体固有结构,覆盖薄弱,容易造成肿瘤隐匿而复发,肿瘤可能经此孔在胫骨近端和关节腔之间双向突入。
版权归中华医学会所有。
未经授权,不得转载、摘编本刊文章,不得使用本刊的版式设计。
除非特别声明,本刊刊出的所有文章不代表中华医学会和本刊编委会的观点。
膝关节骨巨细胞瘤常侵入关节腔内,其原发软组织肿瘤以腱鞘巨细胞瘤最常见。目前相关研究侧重于手术方式的选择、病理学诊断或邻近重要结构侵犯的报道,并未深入探讨干骺端某些微结构造成肿瘤隐匿、甚至与膝关节腔相通的可能性[1,2,3]。胫骨近端侵袭性肿瘤术后相对易复发,而避免复发的关键在于肿瘤是否清除彻底[7,8]。由于肿瘤清除不彻底导致术后复发的相关危险因素及包括是否存在胫骨近端的结构性原因,目前尚无系统性研究。
胫骨近端关节软骨是侵袭性肿瘤的天然屏障,我们在临床上也罕有遇到肿瘤突破关节软骨的病例。但是我们通过实验证实,关节腔内骨质并未实现关节软骨的全覆盖。在髁间隆突区,不但有关节软骨"覆盖薄弱区",甚至有"非覆盖区",这就是我们要研究的"髁间隆突孔":通常将胫骨平台分为内外侧,并由软骨覆盖[7]。这种软骨保护的机制在许多动物中均可以见到[8,9]。然而内外侧胫骨平台间存在着覆盖相对薄弱的髁间隆突,在许多髁间隆突的实体解剖或者CT及MRI薄层扫描可见到一个类圆形孔状结构,尚无严格意义的解剖学命名及研究。通过查阅大量文献及解剖学资料,对这个孔道结构都没有提及。Bryant等[10]对25例骨关节炎胫骨近端标本进行软骨下骨研究,文献中冠状位CT扫描三维重建图片可清晰显示胫骨髁间隆突处的孔道结构,但并未对此进行系统描述。
鉴于此,本研究通过回顾2017年5月至2017年11月我院影像中心数据库200例患者的胫骨平台的影像学资料和55例实体标本的解剖学结构,目的在于:①观察"胫骨髁间隆突孔"的普遍性,明确"胫骨髁间隆突孔"的构造;②分析"胫骨髁间隆突孔"与胫骨近端侵袭性肿瘤术后较高复发率的关联性;③探讨改进手术方法,降低复发率。
纳入标准:①18岁≤年龄≤90岁;②胫骨近端发育正常;③CT薄层扫描层间距≤1.2 mm,层厚0.6~1.2 mm。
排除标准:①胫骨近端完整性受外伤等因素破坏。②合并膝关节严重退变、类风湿性关节炎等,观察条件不理想。
依上述纳入及排除标准,随机纳入2017年5月至2017年11月影像中心数据库200例患者膝关节CT扫描及三维重建的资料,男115例,女85例;年龄18~90岁,平均(49.2±7.3)岁;左膝91例,右膝109例。本组200例中退变117例(58.5%,117/200),外伤62例(31%,62/200),肿瘤21例(10.5%,21/200)。
观察胫骨髁间隆突孔是否存在。行影像学定位,在观察测量孔道位置、形状、直径、深度;测量对孔道及周围组织CT值,并以此初步判断孔道及周围结构组成成分。
纳入标准:①骨关节炎膝关节置换截取的胫骨平台,具有良好完整性,髁间区增生不严重;②术中定位钉道未破坏胫骨髁间隆突孔所在位置。
排除标准:①老年关节严重退变、髁间区严重增生、类风湿性关节炎等导致观察条件不理想;②既往膝关节手术史,尤其是交叉韧带重建术;③严重的膝关节外伤史。
根据纳入排除标准,共50例膝关节置换截取的胫骨平台标本纳入本研究,男22例,女28例;年龄60~75岁,平均(67.9±4.6)岁;左侧21例,右侧29例。通过实物解剖,证实胫骨髁间隆突孔的存在,并通过横断面、冠状面、矢状面的显露,对其具体位置、周围结构、与周围组织关系、近端覆盖情况进行观测,对小孔内容物组织、孔口孔壁及孔底组织使用HE染色进行组织学分析。
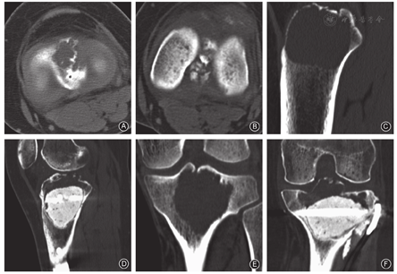
5份新鲜完整标本(车祸1例,肿瘤4例),按照标准解剖流程,显露胫骨髁间隆突,观察胫骨髁间隆突孔的存在,观察与周围结构的关系、推测其功能;行CT扫描三维重建对该孔进行定位(图1)。采用HE染色对胫骨髁间隆突孔的具体位置、周围结构、与周围组织关系、近端覆盖情况进行观测,对小孔内容物组织、孔口孔壁及孔底组织进行组织学分析,并使用亚甲蓝自孔口滴入孔道,直观观察孔道内及周围组织浸润情况。


向1例膝关节腔(并侵入胫骨近端)色素沉着绒毛结节性滑膜炎患者关节腔内无菌注射造影剂(碘海醇),迅速成像,通过造影剂显像分布判断肿瘤分布及侵袭路径,观察"隐匿突入"现象,进而判断与胫骨髁间隆突孔的关联。病灶造影检查为常规检查,目的彻底清除肿瘤,已患者及家属交代病情及造影检查方案。并另附1例典型病例影像资料,直观展示肿瘤可能通过胫骨髁间隆突孔隐匿复发并突入关节腔的行为。
本组200例膝关节CT扫描三维重建全部观查到胫骨髁间隆突孔结构。胫骨髁间隆突孔位于胫骨髁间隆突中部凹陷处、前后叉韧带止点之间,呈圆形。直径(1.6±0.3)mm,深度(9.1±2.5)mm。其中106例(106/200,53%)可见主孔周围(半径≤7 mm)存在1~3个"副孔",直径及深度均小于主孔。
孔道及周围CT值测量结果示,按CT值大小排列:孔口(472.5±30.1)HU>孔壁(312.3±22.5)HU>孔底(202.4±17.3)HU>孔内(118.3±10.4)HU>孔口覆盖物(75.0±11.1)HU(图1)。
50例胫骨平台实物证明孔道存在(图2)。孔口与关节腔仅存在1层厚度约1 mm膜组织间隔,壁及底均为骨松质,解剖实物见孔口呈圆形,孔口直径为(2.0±0.4)mm,孔道深度为(9.1±2.5)mm,中部直径(1.6±0.3)mm,与影像学测量结果相一致。孔道内容物HE染色结果显示为较致密结缔组织及松质骨,未见上皮及滑膜细胞。孔内容物与孔壁并不完全帖附、存在缝隙。


CT引导下在髁间隆突中凹处使用直径≤1 mm的针头可轻易探到孔道,进针深度与孔道深度基本一致。可见孔口位于髁间隆突中凹处、前后叉韧带止点之间,周围区域与骨质仅有一薄膜间隔。HE染色显示孔口周围为软骨,孔道中部孔壁及孔底为松质骨,孔内容物为较致密结缔组织,孔道口覆盖物为滑膜(图3,图4)。




使用亚甲蓝自孔口滴入孔道,即时剖面直观观察孔道内及周围组织浸润情况,结果示孔道内及周围组织即时浸润明显,并可在30 min内充分浸润。
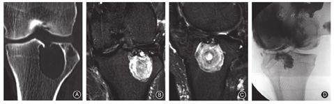
本组1例膝关节腔内色素沉着绒毛结节性滑膜炎患者,关节镜术后3年出现复发,CT扫描示胫骨近端近髁间隆突处骨质破坏,MRI示胫骨近端近髁间隆突处肿瘤占位,与关节腔交界处存在"瘤蒂",第2次关节腔切开清理术前,向关节腔注入碘海醇,"C"型臂X线机透视造影剂自隆突中凹部孔道所在位置向胫骨近端瘤腔渗入(图5)。


1例胫骨近端骨巨细胞瘤,患者术前CT扫描示瘤腔与"胫骨髁间隆突孔"相通,行刮除植骨+骨水泥填充术,术后6个月复发,复发后CT扫描示肿瘤由髁间突入关节腔(图6)。


对胫骨髁间隆突孔的生理功能,我们首先假设及排查了其为滋养孔的可能性。目前组织分析未见上皮细胞。李建涛等[11]对199例(398侧胫骨)CT扫描随机样本系统分析了胫骨滋养孔个数、滋养血管长度及滋养孔至胫骨平台距离,发现其中2.3%未见胫骨滋养孔存在,2.5%的样本上存在2个滋养孔,而95.2%可见一个滋养孔,其发生部位绝大多数骨干处,距离胫骨结节平均约66 mm处。本研究我们观察到胫骨髁间隆突孔周围有毛细血管分布,所以目前并不完全排除主孔或副孔为滋养孔的可能性。
关于胫骨髁间隆突孔孔口覆盖情况、与膝关节内重要韧带结构附着点的关系,结合相关文献,我们认为前交叉韧带其在胫骨附着处的长度和形态多变,且因人而异[12]。有学者认为前交叉韧带的胫骨止点多呈现"C"形,而病理结果显示其胫骨止点30.8%为韧带,其余为滑膜及小血管成分[13]。以上观点与我们发现的胫骨髁间隆突孔结构不符合。对于后交叉韧带而言,其常分为前外、后内两束,胫骨附着点趋于髁间隆突后方[14],与我们发现的"胫骨髁间隆突孔位置不符。综上所述,前、后交叉韧带都与胫骨髁间隆突孔关系不大,而半月板韧带、前外侧韧带、滑膜皱襞等结构的起止点、发生率与生理功能与胫骨髁间隆突孔亦不相吻合[15,16],因此,我们认为胫骨髁间隆突孔为相对独立存在的解剖学结构。
而最终确定胫骨髁间隆突孔的解剖学及生理学意义,仍需要更多例数的标本解剖及功能性测验加以完善。
胫骨近端侵袭性肿瘤避免复发的关键在于肿瘤是否清除彻底。胫骨髁间隆突孔是人体固有结构,无关节软骨和交叉韧带止点覆盖,是肿瘤防线的一个薄弱点。"隐匿突入"是基于胫骨髁间隆突孔等孔道结构作出的胫骨近端侵袭性肿瘤复发甚至突入关节的一种特定机制的设想。对于胫骨近端侵袭性肿瘤,容易造成肿瘤隐匿或未彻底清除而复发。肿瘤侵袭此孔道后,容易由此突入关节腔;某些关节腔内肿瘤还可以由此孔侵入胫骨近端。赵立明等[17]认为骨巨细胞瘤还可以累及滑膜组织、关节囊、韧带及肌腱等,甚至可以沿软组织侵及关节对侧骨质。
胫骨髁间隆突孔的发现,以及由此产生的"隐匿及突入"设想是对固有的"关节软骨屏障"理论做的一个特殊位置的完善补充,阐述了肿瘤复发甚至突入关节腔的可能机制。本研究样本量较小且缺乏对照,还需生物学及细胞学实验直接验证。
对于胫骨近端侵袭性肿瘤,行刮除还是切除术,追求更彻底的肿瘤清除还是更良好的功能,国内外学界一直存在争议[18,19,20]。我们认为,手术方式的选择及具体手术方法,应考虑胫骨髁间隆突孔可能带来的负面效应:①肿瘤隐匿,清除不彻底;②胫骨近端与膝关节腔肿瘤的双向突入。若术前已明确肿瘤侵及胫骨髁间隆突孔,又选择行刮除术,为防止"隐匿突入",需要更积极的手术方法,对孔道和关节腔进行特定处理,如孔道刮除、清理、封堵,辅以微波灭活、关节镜术、关节腔清理等。可减少复发率,改善患者预后及生活质量。但关于"胫骨髁间隆突孔"与"隐匿突入"的具体关系、临床意义及相关术式选择,仍需进一步明确。





















